JavaScript is disabled in your browser. Please enable JavaScript to view this website.
AB283591

Anti-MDC1 antibody [EPR24360-116] - BSA and Azide free

Be the first to review this product! Submit a review

|

(0 Publication)

Rabbit Recombinant Monoclonal MDC1 antibody. Carrier free. Suitable for Flow Cyt (Intra), WB, IHC-P, ICC/IF and reacts with Human samples.

View Alternative Names

KIAA0170, NFBD1, MDC1, Mediator of DNA damage checkpoint protein 1, Nuclear factor with BRCT domains 1

6 Images
Western blot - Anti-MDC1 antibody [EPR24360-116] - BSA and Azide free (AB283591)
  • WB

Lab

Western blot - Anti-MDC1 antibody [EPR24360-116] - BSA and Azide free (AB283591)

This data was developed using ab271061, the same antibody clone in a different buffer formulation.

Blocking and diluting buffer and concentration : 5% NFDM/TBST.

Fresh lysates were used in this WB.

This blot was developed using a higher sensitivity ECL substrate.

The expression profile/ molecular weight observed is consistent with what has been described in the literature ( PMID : 12607005; PMID : 26701181 )

Exposure time : 3 minutes

All lanes:

Western blot - Anti-MDC1 antibody [EPR24360-116] (<a href='/en-us/products/primary-antibodies/mdc1-antibody-epr24360-116-ab271061'>ab271061</a>) at 1/1000 dilution

Lane 1:

HeLa (human cervix adenocarcinoma epithelial cell) transfected with scrambled siRNA control whole cell lysate at 20 µg

Lane 2:

Hela transfected with MDC1 siRNA 1 whole cell lysate at 20 µg

Lane 3:

Hela transfected with MDC1 siRNA 2 whole cell lysate at 20 µg

Secondary

All lanes:

Goat Anti-Rabbit IgG, (H+L), Peroxidase conjugated (<a href='/en-us/products/secondary-antibodies/goat-rabbit-igg-h-l-hrp-ab97051'>ab97051</a>) at 1/100000 dilution

Predicted band size: 227 kDa

false

Flow Cytometry (Intracellular) - Anti-MDC1 antibody [EPR24360-116] - BSA and Azide free (AB283591)
  • Flow Cyt (Intra)

Supplier Data

Flow Cytometry (Intracellular) - Anti-MDC1 antibody [EPR24360-116] - BSA and Azide free (AB283591)

This data was developed using ab271061, the same antibody clone in a different buffer formulation.

Flow cytometric analysis of 4% paraformaldehyde fixed 90% methanol permeabilized HeLa (Human cervix adenocarcinoma epithelial cell) cells labelling MDC1 with ab271061 at 1/500 dilution (0.1μg)/ red (Red) compared with a Rabbit monoclonal IgG (ab172730) (Black) isotype control and an unlabelled control (cells without incubation with primary antibody and secondary antibody) (Blue). A Goat Anti-Rabbit IgG (Alexa Fluor® 488, ab150081) at 1/2000 dilution was used as the secondary antibody.

Flow Cytometry (Intracellular) - Anti-MDC1 antibody [EPR24360-116] - BSA and Azide free (AB283591)
  • Flow Cyt (Intra)

Supplier Data

Flow Cytometry (Intracellular) - Anti-MDC1 antibody [EPR24360-116] - BSA and Azide free (AB283591)

This data was developed using ab271061, the same antibody clone in a different buffer formulation.

Flow cytometric analysis of 4% paraformaldehyde fixed 90% methanol permeabilized HEK-293 (Human embryonic kidney epithelial cell) cells labelling MDC1 with ab271061 at 1/500 dilution (0.1μg)/ red (Red) compared with a Rabbit monoclonal IgG (ab172730) (Black) isotype control and an unlabelled control (cells without incubation with primary antibody and secondary antibody) (Blue). A Goat Anti-Rabbit IgG (Alexa Fluor® 488, ab150081) at 1/2000 dilution was used as the secondary antibody.

Immunocytochemistry/ Immunofluorescence - Anti-MDC1 antibody [EPR24360-116] - BSA and Azide free (AB283591)
  • ICC/IF

Supplier Data

Immunocytochemistry/ Immunofluorescence - Anti-MDC1 antibody [EPR24360-116] - BSA and Azide free (AB283591)

This data was developed using ab271061, the same antibody clone in a different buffer formulation.

Immunofluorescent analysis of 4% Paraformaldehyde-fixed, 0.1% TritonX-100 permeabilized HeLa cells labelling MDC1 with ab271061 at 1/50 (10.46 μg/ml) dilution, followed by ab150081 Goat Anti-Rabbit IgG H&L (Alexa Fluor® 488) preadsorbed antibody at 1/1000 (2μg/ml) dilution (Green). Confocal image showing nuclear staining in HeLa cells is observed. ab195889 Anti-alpha Tubulin mouse monoclonal antibody - Microtubule Marker (Alexa Fluor® 594) was used to counterstain tubulin at 1/200 (2.5μg/ml) dilution (Red). The Nuclear counterstain was DAPI (Blue).

Secondary antibody only control : Secondary antibody is ab150081 Goat Anti-Rabbit IgG H&L (Alexa Fluor® 488) preadsorbed at 1/1000 2ug/ml dilution.

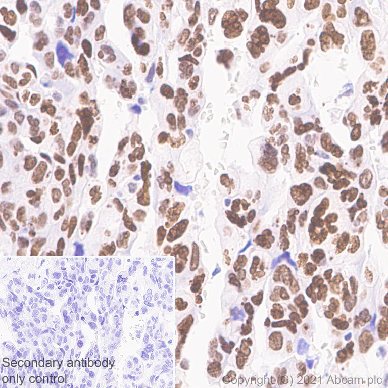
Immunohistochemistry (Formalin/PFA-fixed paraffin-embedded sections) - Anti-MDC1 antibody [EPR24360-116] - BSA and Azide free (AB283591)
  • IHC-P

Supplier Data

Immunohistochemistry (Formalin/PFA-fixed paraffin-embedded sections) - Anti-MDC1 antibody [EPR24360-116] - BSA and Azide free (AB283591)

This data was developed using ab271061, the same antibody clone in a different buffer formulation.

Immunohistochemical analysis of paraffin-embedded Human ovarian cancer tissue labelling MDC1 with ab271061 at 1/500 (1.046 μg/ml) followed by a ready to use LeicaDS9800 (Bond® Polymer Refine Detection) was used. Nuclear staining on human ovarian cancer. The section was incubated with ab271061 for 30 mins at room temperature.The immunostaining was performed on a Leica Biosystems BOND® RX instrument Counterstained with Hematoxylin.

Secondary antibody only control : Secondary antibody is a ready to use LeicaDS9800 (Bond® Polymer Refine Detection) was used.

Heat mediated antigen retrieval with Tris-EDTA buffer (pH 9.0, epitope retrieval solution2) for 20 mins

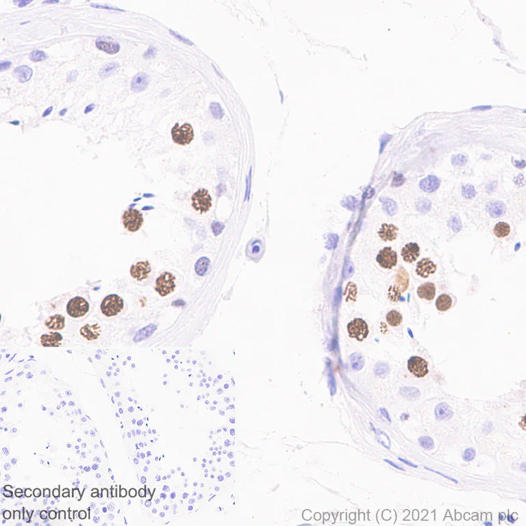
Immunohistochemistry (Formalin/PFA-fixed paraffin-embedded sections) - Anti-MDC1 antibody [EPR24360-116] - BSA and Azide free (AB283591)
  • IHC-P

Supplier Data

Immunohistochemistry (Formalin/PFA-fixed paraffin-embedded sections) - Anti-MDC1 antibody [EPR24360-116] - BSA and Azide free (AB283591)

This data was developed using ab271061, the same antibody clone in a different buffer formulation.

Immunohistochemical analysis of paraffin-embedded Human testis tissue labelling MDC1 with ab271061 at 1/500 (1.046 μg/ml) followed by a ready to use LeicaDS9800 (Bond® Polymer Refine Detection) was used. Nuclear staining on human testis. The section was incubated with ab271061 for 30 mins at room temperature.The immunostaining was performed on a Leica Biosystems BOND® RX instrument Counterstained with Hematoxylin.

Secondary antibody only control : Secondary antibody is a ready to use LeicaDS9800 (Bond® Polymer Refine Detection) was used.

Heat mediated antigen retrieval with Tris-EDTA buffer (pH 9.0, epitope retrieval solution2) for 20 mins

Key facts

Host species

Rabbit

Clonality

Monoclonal

Clone number

EPR24360-116

Isotype

IgG

Carrier free

Yes

Reacts with

Human

Applications

Flow Cyt (Intra), ICC/IF, IHC-P, WB

applications

Immunogen

The exact immunogen used to generate this antibody is proprietary information.

Reactivity data

{ "title": "Reactivity Data", "filters": { "stats": ["", "Species", "Dilution Info", "Notes"], "tabs": { "all-applications": {"fullname" : "All Applications", "shortname": "All Applications"}, "IP" : {"fullname" : "Immunoprecipitation", "shortname":"IP"}, "FlowCytIntra" : {"fullname" : "Flow Cytometry (Intracellular)", "shortname":"Flow Cyt (Intra)"}, "WB" : {"fullname" : "Western blot", "shortname":"WB"}, "IHCP" : {"fullname" : "Immunohistochemistry (Formalin/PFA-fixed paraffin-embedded sections)", "shortname":"IHC-P"}, "ICCIF" : {"fullname" : "Immunocytochemistry/ Immunofluorescence", "shortname":"ICC/IF"} }, "product-promise": { "all": "all", "testedAndGuaranteed": "tested", "guaranteed": "expected", "predicted": "predicted", "notRecommended": "not-recommended" } }, "values": { "Human": { "IP-species-checked": "notRecommended", "IP-species-dilution-info": "", "IP-species-notes": "<p></p>", "FlowCytIntra-species-checked": "testedAndGuaranteed", "FlowCytIntra-species-dilution-info": "", "FlowCytIntra-species-notes": "<p></p>", "WB-species-checked": "testedAndGuaranteed", "WB-species-dilution-info": "", "WB-species-notes": "<p></p>", "IHCP-species-checked": "testedAndGuaranteed", "IHCP-species-dilution-info": "", "IHCP-species-notes": "<p></p>", "ICCIF-species-checked": "testedAndGuaranteed", "ICCIF-species-dilution-info": "", "ICCIF-species-notes": "<p></p>" }, "Mouse": { "IP-species-checked": "notRecommended", "IP-species-dilution-info": "", "IP-species-notes": "", "FlowCytIntra-species-checked": "notRecommended", "FlowCytIntra-species-dilution-info": "", "FlowCytIntra-species-notes": "", "WB-species-checked": "notRecommended", "WB-species-dilution-info": "", "WB-species-notes": "<p></p>", "IHCP-species-checked": "notRecommended", "IHCP-species-dilution-info": "", "IHCP-species-notes": "<p></p>", "ICCIF-species-checked": "notRecommended", "ICCIF-species-dilution-info": "", "ICCIF-species-notes": "" }, "Rat": { "IP-species-checked": "notRecommended", "IP-species-dilution-info": "", "IP-species-notes": "", "FlowCytIntra-species-checked": "notRecommended", "FlowCytIntra-species-dilution-info": "", "FlowCytIntra-species-notes": "", "WB-species-checked": "notRecommended", "WB-species-dilution-info": "", "WB-species-notes": "<p></p>", "IHCP-species-checked": "notRecommended", "IHCP-species-dilution-info": "", "IHCP-species-notes": "<p></p>", "ICCIF-species-checked": "notRecommended", "ICCIF-species-dilution-info": "", "ICCIF-species-notes": "" } } }

Product details

ab283591 is the carrier-free version of ab271061.

Patented technology
Our RabMAb® technology is a patented hybridoma-based technology for making rabbit monoclonal antibodies. For details on our patents, please refer to RabMAb® patents.

What are the advantages of a recombinant monoclonal antibody?
This product is a recombinant monoclonal antibody, which offers several advantages including:

  • - High batch-to-batch consistency and reproducibility
  • - Improved sensitivity and specificity
  • - Long-term security of supply
  • - Animal-free batch production

For more information, read more on recombinant antibodies.

Conjugation ready
Our carrier-free antibodies are typically supplied in a PBS-only formulation, purified and free of BSA, sodium azide and glycerol. This conjugation-ready format is designed for use with fluorochromes, metal isotopes, oligonucleotides, and enzymes, which makes them ideal for antibody labelling, functional and cell-based assays, flow-based assays (e.g. mass cytometry) and Multiplex Imaging applications.

Use our conjugation kits for antibody conjugates that are ready-to-use in as little as 20 minutes with 1 minute hands-on-time and 100% antibody recovery: available for fluorescent dyes, HRP, biotin and gold.

Compatibility
This product is compatible with the Maxpar® Antibody Labeling Kit from Fluidigm, without the need for antibody preparation. Maxpar® is a trademark of Fluidigm Canada Inc.

Properties and storage information

Form
Liquid
Purification technique
Affinity purification Protein A
Storage buffer
pH: 7.2 - 7.4 Constituents: 100% PBS
Shipped at conditions
Blue Ice
Appropriate short-term storage conditions
+4°C
Appropriate long-term storage conditions
+4°C

Supplementary information

This supplementary information is collated from multiple sources and compiled automatically.

MDC1 also known as mediators of DNA damage checkpoint protein 1 or ABF-M 1711 is an important player in the DNA damage response (DDR). It has a mass of approximately 220 kDa. MDC1 is highly expressed in various human tissues particularly where cell turnover is high like in the bone marrow and lymphoid organs. In cellular operations MDC1 serves as a scaffold protein that coordinates recruitment and activation of DDR machinery at sites of double-strand breaks (DSBs) on DNA.
Biological function summary

This protein plays a vital role in maintaining genomic stability by binding to phosphorylated histone H2AX at DSB sites. It is not a solitary player; MDC1 functions as part of a larger protein complex including factors like RNF8 RNF168 and 53BP1. This complex is essential for amplifying the DDR signal and facilitating the repair process through non-homologous end joining (NHEJ) and homologous recombination (HR). MDC1's interaction with other repair proteins helps to extend the signal required for effective DNA repair.

Pathways

MDC1 significantly influences cellular pathways involving DNA damage sensing and repair and cell cycle checkpoints. It ties closely to the ATM kinase pathway which is activated in response to DSBs. MDC1 aids ATM in phosphorylating downstream targets like CHK2 and p53 for cell cycle arrest. It also connects with BRCA1 interacting in HR repair pathways to ensure accurate repair of DSBs. Both ATM and BRCA1 interactions illustrate MDC1's pivotal role in maintaining DNA integrity.

MDC1 expression and functionality have profound implications on cancer and immunodeficiencies. Abnormal MDC1 expression or mutations can lead to impaired DNA repair and genomic instability often associated with tumor progression in cancers such as breast cancer. Moreover MDC1 interacts with proteins like p53 which is a well-known tumor suppressor to hinder cancer development by stopping the cell cycle for repair or triggering apoptosis if the damage is beyond repair. Dysregulation in MDC1-related pathways can also compromise immune system effectiveness further underpinning its significance in disease contexts.

Product protocols

For this product, it's our understanding that no specific protocols are required. You can visit:

Target data

Histone reader protein required for checkpoint-mediated cell cycle arrest in response to DNA damage within both the S phase and G2/M phases of the cell cycle (PubMed : 12475977, PubMed : 12499369, PubMed : 12551934, PubMed : 12607003, PubMed : 12607004, PubMed : 12607005, PubMed : 12611903, PubMed : 14695167, PubMed : 15201865, PubMed : 15377652, PubMed : 16049003, PubMed : 16377563, PubMed : 30898438). Specifically recognizes and binds histone H2AX phosphorylated at 'Ser-139', a marker of DNA damage, serving as a scaffold for the recruitment of DNA repair and signal transduction proteins to discrete foci of DNA damage sites (PubMed : 12607005, PubMed : 15201865, PubMed : 16049003, PubMed : 16377563, PubMed : 30898438). Also required for downstream events subsequent to the recruitment of these proteins (PubMed : 12607005, PubMed : 15201865, PubMed : 16049003, PubMed : 16377563, PubMed : 18582474). These include phosphorylation and activation of the ATM, CHEK1 and CHEK2 kinases, and stabilization of TP53/p53 and apoptosis (PubMed : 12499369, PubMed : 12551934, PubMed : 12607004). ATM and CHEK2 may also be activated independently by a parallel pathway mediated by TP53BP1 (PubMed : 12499369, PubMed : 12551934, PubMed : 12607004). Required for chromosomal stability during mitosis by promoting recruitment of TOPBP1 to DNA double strand breaks (DSBs) : TOPBP1 forms filamentous assemblies that bridge MDC1 and tether broken chromosomes during mitosis (PubMed : 30898438). Required for the repair of DSBs via homologous recombination by promoting recruitment of NBN component of the MRN complex to DSBs (PubMed : 18411307, PubMed : 18582474, PubMed : 18583988, PubMed : 18678890).
See full target information MDC1

Product promise

We are committed to supporting your work with high-quality reagents, and we're here for you every step of the way. In the unlikely event that one of our products does not perform as expected, you're protected by our Product Promise.
For full details, please see our Terms & Conditions

Associated Products

Select an associated product type
Alternative Version
Primary Antibodies

AB300735

Alexa Fluor® 647 Anti-MDC1 antibody [EPR24360-116]

primary-antibodies

alexa-fluor-647-mdc1-antibody-epr24360-116-ab300735

0

(0 reviews)

Please note: All products are 'FOR RESEARCH USE ONLY. NOT FOR USE IN DIAGNOSTIC OR THERAPEUTIC PROCEDURES'.

For licensing inquiries, please contact partnerships@abcam.com