JavaScript is disabled in your browser. Please enable JavaScript to view this website.
AB121164

Anti-MDGA2 antibody

Be the first to review this product! Submit a review

|

(2 Publications)

Rabbit Polyclonal MDGA2 antibody. Suitable for IHC-P, ICC/IF and reacts with Human samples. Cited in 2 publications. Immunogen corresponding to Recombinant Fragment Protein within Human MDGA2 aa 500-700.

View Alternative Names

MAMDC1, UNQ8188/PRO23197, MDGA2, MAM domain-containing glycosylphosphatidylinositol anchor protein 2, MAM domain-containing protein 1

2 Images
Immunocytochemistry/ Immunofluorescence - Anti-MDGA2 antibody (AB121164)
  • ICC/IF

Unknown

Immunocytochemistry/ Immunofluorescence - Anti-MDGA2 antibody (AB121164)

Immunofluorescent staining of Human cell line U-251MG shows positivity in cytoplasm. Recommended concentration of ab121164 1-4 µg/ml. Cells treated with PFA/Triton X-100.

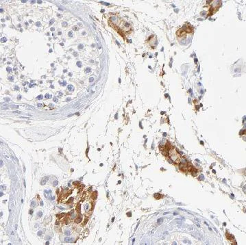
Immunohistochemistry (Formalin/PFA-fixed paraffin-embedded sections) - Anti-MDGA2 antibody (AB121164)
  • IHC-P

Unknown

Immunohistochemistry (Formalin/PFA-fixed paraffin-embedded sections) - Anti-MDGA2 antibody (AB121164)

ab121164 at 1/20 dilution staining MDGA2 in Paraffin-embedded Human testis tissue by Immunohistochemistry.

Key facts

Host species

Rabbit

Clonality

Polyclonal

Isotype

IgG

Carrier free

No

Reacts with

Human

Applications

ICC/IF, IHC-P

applications

Immunogen

Recombinant Fragment Protein within Human MDGA2 aa 500-700. The exact immunogen used to generate this antibody is proprietary information.

Q7Z553

Reactivity data

{ "title": "Reactivity Data", "filters": { "stats": ["", "Species", "Dilution Info", "Notes"], "tabs": { "all-applications": {"fullname" : "All Applications", "shortname": "All Applications"}, "IHCP" : {"fullname" : "Immunohistochemistry (Formalin/PFA-fixed paraffin-embedded sections)", "shortname":"IHC-P"}, "ICCIF" : {"fullname" : "Immunocytochemistry/ Immunofluorescence", "shortname":"ICC/IF"} }, "product-promise": { "all": "all", "testedAndGuaranteed": "tested", "guaranteed": "expected", "predicted": "predicted", "notRecommended": "not-recommended" } }, "values": { "Human": { "IHCP-species-checked": "testedAndGuaranteed", "IHCP-species-dilution-info": "1/50 - 1/200", "IHCP-species-notes": "<p></p> Perform heat-mediated antigen retrieval with citrate buffer pH 6 before commencing with IHC staining protocol.", "ICCIF-species-checked": "testedAndGuaranteed", "ICCIF-species-dilution-info": "1-4 µg/mL", "ICCIF-species-notes": "<p>Recommend PFA Fixation and Triton X-100 treatment</p>" } } }

Properties and storage information

Form
Liquid
Purification technique
Affinity purification Immunogen
Storage buffer
pH: 7.2 Preservative: 0.02% Sodium azide Constituents: PBS, 40% Glycerol (glycerin, glycerine)
Shipped at conditions
Blue Ice
Appropriate short-term storage conditions
+4°C
Appropriate long-term storage conditions
-20°C
Aliquoting information
Upon delivery aliquot
Storage information
Avoid freeze / thaw cycle

Supplementary information

This supplementary information is collated from multiple sources and compiled automatically.

MDGA2 also known as MAM Domain-Containing Glycosylphosphatidylinositol Anchor 2 is a neural cell adhesion molecule that belongs to the Ig superfamily. This protein has a mass of approximately 109 kDa and is expressed mainly in the brain particularly in regions important for learning and memory processes. MDGA2 plays a mechanical role in neuronal development by interacting with axonal growth cones and facilitating cell-cell communication through its extracellular MAM domain.
Biological function summary

MDGA2 participates in synaptic modulation and plasticity. It acts outside of synapses modulating interactions between molecules involved in synaptogenesis. MDGA2 is not known to form a complex by itself but it is often functionally linked with neuroligins and other synapse-related proteins which impact neural circuitry organization. Its activity highlights its role in regulating neuronal connectivity influencing basic properties of synaptic transmission.

Pathways

MDGA2 plays significant roles in the glutamatergic signaling and neuronal development pathways. It impacts the way in which neurons form connections and strengthen synapses over time processes that are vital for cognitive functions. In these pathways MDGA2 interacts with proteins such as neurexins (NRXN) to stabilize or destabilize synaptic contacts adjusting neuronal network activity accordingly.

Abnormal MDGA2 function relates to neurodevelopmental disorders such as autism spectrum disorder and schizophrenia. Changes in MDGA2 levels or structure can disrupt normal synaptic function and plasticity possibly leading to altered connectivity patterns in the brain. Through these disorders MDGA2 is often investigated alongside other proteins like neuregulin 1 (NRG1) due to their combined effects on neurodevelopment and synaptic maintenance.

Product protocols

For this product, it's our understanding that no specific protocols are required. You can visit:

Target data

May be involved in cell-cell interactions.
See full target information MDGA2

Publications (2)

Recent publications for all applications. Explore the full list and refine your search

PLoS biology 23:e3003047 PubMed40168357

2025

Mdga2 deficiency leads to an aberrant activation of BDNF/TrkB signaling that underlies autism-relevant synaptic and behavioral changes in mice.

Applications

Unspecified application

Species

Unspecified reactive species

Dongdong Zhao,Yuanhui Huo,Naizhen Zheng,Xiang Zhu,Dingting Yang,Yunqiang Zhou,Shengya Wang,Yiru Jiang,Yili Wu,Yun-Wu Zhang

Polymers 14: PubMed35893977

2022

Structural Exploration on Palmitoyltransferase DHHC3 from .

Applications

Unspecified application

Species

Unspecified reactive species

Meng Tang,Ying Xia,Taoran Xiao,Ruiyu Cao,Yu Cao,Bo Ouyang
View all publications

Product promise

We are committed to supporting your work with high-quality reagents, and we're here for you every step of the way. In the unlikely event that one of our products does not perform as expected, you're protected by our Product Promise.
For full details, please see our Terms & Conditions

Please note: All products are 'FOR RESEARCH USE ONLY. NOT FOR USE IN DIAGNOSTIC OR THERAPEUTIC PROCEDURES'.

For licensing inquiries, please contact partnerships@abcam.com