JavaScript is disabled in your browser. Please enable JavaScript to view this website.
AB181873

Anti-MDH2 antibody [EPR14882(B)]

5

(1 Review)

|

(9 Publications)

Rabbit Recombinant Monoclonal MDH2 antibody. Suitable for IHC-P, WB and reacts with Mouse, Human samples. Cited in 9 publications.

View Alternative Names

MDH2

4 Images
Immunohistochemistry (Formalin/PFA-fixed paraffin-embedded sections) - Anti-MDH2 antibody [EPR14882(B)] (AB181873)
  • IHC-P

Supplier Data

Immunohistochemistry (Formalin/PFA-fixed paraffin-embedded sections) - Anti-MDH2 antibody [EPR14882(B)] (AB181873)

Immunohistochemical analysis of Human infiltrating duct carcinoma of breast tissue staining MDH2 with ab181873 at 1/50 dilution. Detected using HRP Polymer for Rabbit IgG and counter-stained using hematoxylin.

Perform heat mediated antigen retrieval with citrate buffer pH 6 before commencing with IHC staining protocol.

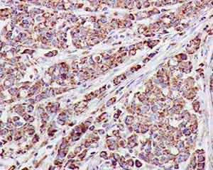
Immunohistochemistry (Formalin/PFA-fixed paraffin-embedded sections) - Anti-MDH2 antibody [EPR14882(B)] (AB181873)
  • IHC-P

Supplier Data

Immunohistochemistry (Formalin/PFA-fixed paraffin-embedded sections) - Anti-MDH2 antibody [EPR14882(B)] (AB181873)

Immunohistochemical analysis of mouse testis tissue staining MDH2 with ab181873 at 1/50 dilution. Detected using HRP Polymer for Rabbit IgG and counter-stained using hematoxylin.

Perform heat mediated antigen retrieval with citrate buffer pH 6 before commencing with IHC staining protocol.

Western blot - Anti-MDH2 antibody [EPR14882(B)] (AB181873)
  • WB

Supplier Data

Western blot - Anti-MDH2 antibody [EPR14882(B)] (AB181873)

All lanes:

Western blot - Anti-MDH2 antibody [EPR14882(B)] (ab181873) at 1/50000 dilution

Lane 1:

Jurkat cell lysate at 20 µg

Lane 2:

K562 cell lysate at 20 µg

Lane 3:

HepG2 cell lysate at 20 µg

Lane 4:

HeLa cell lysate at 20 µg

Secondary

All lanes:

Goat Anti-Rabbit IgG, (H+L), Peroxidase conjugated at 1/1000 dilution

Predicted band size: 36 kDa

false

Western blot - Anti-MDH2 antibody [EPR14882(B)] (AB181873)
  • WB

Lab

Western blot - Anti-MDH2 antibody [EPR14882(B)] (AB181873)

Lanes 1-4 : Merged signal (red and green). Green - ab181873 observed at 36 kDa. Red - loading control ab7291 observed at 50 kDa.

ab181873 Anti-MDH2 antibody [EPR14882(B)] was shown to specifically react with MDH2 in wild-type HEK293T cells. Loss of signal was observed when knockout cell line ab266449 (knockout cell lysate ab257533) was used. Wild-type and MDH2 knockout samples were subjected to SDS-PAGE. ab181873 and Anti-alpha Tubulin antibody [DM1A] - Loading Control (ab7291) were incubated overnight at 4°C at 1 in 1000 dilution and 1 in 20000 dilution respectively. Blots were developed with Goat anti-Rabbit IgG H&L (IRDye® 800CW) preadsorbed (ab216773) and Goat anti-Mouse IgG H&L (IRDye® 680RD) preadsorbed (ab216776) secondary antibodies at 1 in 20000 dilution for 1 hour at room temperature before imaging.

All lanes:

Western blot - Anti-MDH2 antibody [EPR14882(B)] (ab181873) at 1/1000 dilution

Lane 1:

Wild-type HEK293T cell lysate at 20 µg

Lane 2:

MDH2 knockout HEK293T cell lysate at 20 µg

Lane 2:

Western blot - Human MDH2 knockout HEK-293T cell line (<a href='/en-us/products/cell-lines/human-mdh2-knockout-hek-293t-cell-line-ab266449'>ab266449</a>)

Lane 3:

K-562 cell lysate at 20 µg

Lane 4:

Human eyeball tissue lysate at 20 µg

Secondary

All lanes:

Western blot - Goat anti-Rabbit IgG H&L (IRDye® 800CW) preadsorbed (<a href='/en-us/products/secondary-antibodies/goat-rabbit-igg-h-l-irdye-800cw-preadsorbed-ab216773'>ab216773</a>) at 1/10000 dilution

Predicted band size: 36 kDa

Observed band size: 36 kDa

false

  • Carrier free

    Anti-MDH2 antibody [EPR14882(B)] - BSA and Azide free

Key facts

Host species

Rabbit

Clonality

Monoclonal

Clone number

EPR14882(B)

Isotype

IgG

Carrier free

No

Reacts with

Mouse, Human

Applications

IHC-P, WB

applications

Immunogen

The exact immunogen used to generate this antibody is proprietary information.

Reactivity data

{ "title": "Reactivity Data", "filters": { "stats": ["", "Species", "Dilution Info", "Notes"], "tabs": { "all-applications": {"fullname" : "All Applications", "shortname": "All Applications"}, "IHCP" : {"fullname" : "Immunohistochemistry (Formalin/PFA-fixed paraffin-embedded sections)", "shortname":"IHC-P"}, "WB" : {"fullname" : "Western blot", "shortname":"WB"} }, "product-promise": { "all": "all", "testedAndGuaranteed": "tested", "guaranteed": "expected", "predicted": "predicted", "notRecommended": "not-recommended" } }, "values": { "Human": { "IHCP-species-checked": "testedAndGuaranteed", "IHCP-species-dilution-info": "1/50", "IHCP-species-notes": "<p></p>", "WB-species-checked": "testedAndGuaranteed", "WB-species-dilution-info": "1/10000 - 1/50000", "WB-species-notes": "<p></p>" }, "Mouse": { "IHCP-species-checked": "testedAndGuaranteed", "IHCP-species-dilution-info": "1/50", "IHCP-species-notes": "<p></p>", "WB-species-checked": "guaranteed", "WB-species-dilution-info": "", "WB-species-notes": "" }, "Rat": { "IHCP-species-checked": "predicted", "IHCP-species-dilution-info": "", "IHCP-species-notes": "", "WB-species-checked": "predicted", "WB-species-dilution-info": "", "WB-species-notes": "" } } }

Product details

Patented technology
Our RabMAb® technology is a patented hybridoma-based technology for making rabbit monoclonal antibodies. For details on our patents, please refer to RabMAb® patents.

What are the advantages of a recombinant monoclonal antibody?
This product is a recombinant monoclonal antibody, which offers several advantages including:

  • - High batch-to-batch consistency and reproducibility
  • - Improved sensitivity and specificity
  • - Long-term security of supply
  • - Animal-free batch production

For more information, read more on recombinant antibodies.

Properties and storage information

Form
Liquid
Purity
Tissue culture supernatant
Storage buffer
Preservative: 0.01% Sodium azide Constituents: PBS, 40% Glycerol (glycerin, glycerine), 0.05% BSA
Shipped at conditions
Blue Ice
Appropriate short-term storage duration
1-2 weeks
Appropriate short-term storage conditions
+4°C
Appropriate long-term storage conditions
-20°C
Aliquoting information
Upon delivery aliquot
Storage information
Avoid freeze / thaw cycle

Supplementary information

This supplementary information is collated from multiple sources and compiled automatically.

MDH2 also known as malate dehydrogenase 2 or mitochondrial malate dehydrogenase is an enzyme with a molecular mass of approximately 35 kDa. This enzyme catalyzes the conversion of malate to oxaloacetate using NAD+ as a cofactor. It is predominantly expressed in the mitochondria where it plays an important role in cellular respiration. The enzyme enables the malate dehydrogenase reaction which is key for the functioning of the tricarboxylic acid cycle.
Biological function summary

MDH2 participates in the critical process of energy production within the cell. While it does not form a complex itself its activity is intimately connected with other enzymes in mitochondrial energy metabolism. The malate dehydrogenase assay often measures the activity of MDH2 to understand the metabolic status of cells. By facilitating the oxidation of malate MDH2 aids in maintaining the efficiency of the mitochondrial electron transport chain by regenerating NADH.

Pathways

The enzyme is essential in the tricarboxylic acid (TCA) cycle and the malate-aspartate shuttle. In the TCA cycle MDH2 collaborates with enzymes like citrate synthase and isocitrate dehydrogenase to assist in the conversion of acetyl-CoA into energy-rich molecules. The malate-aspartate shuttle on the other hand involves MDH2 working closely with aspartate transaminase to transfer reducing equivalents into the mitochondria. These pathways highlight MDH2’s importance in cellular energy homeostasis.

Mutations or dysregulation in MDH2 have connections to certain metabolic conditions and cancers. For example alterations in MDH2 activity might contribute to conditions like mitochondrial myopathy altering energy metabolism. Moreover MDH2 is associated with NADH-producing enzymes whose dysregulation can support oncogenic pathways in cancer. Understanding these associations helps researchers pursue therapeutic targets that modulate MDH2 activity.

Product protocols

For this product, it's our understanding that no specific protocols are required. You can visit:

Publications (9)

Recent publications for all applications. Explore the full list and refine your search

Computational and mathematical methods in medicine 2022:2023500 PubMed36158123

2022

MDH1 and MDH2 Promote Cell Viability of Primary AT2 Cells by Increasing Glucose Uptake.

Applications

Unspecified application

Species

Unspecified reactive species

Mu Hu,JieLai Yang,Yang Xu,Jiao Liu

Frontiers in immunology 13:962986 PubMed36159820

2022

Integrated genomic, transcriptomic and metabolomic analysis reveals MDH2 mutation-induced metabolic disorder in recurrent focal segmental glomerulosclerosis.

Applications

Unspecified application

Species

Unspecified reactive species

Qixia Shen,Lisha Teng,Yucheng Wang,Luying Guo,Feng Xu,Hongfeng Huang,Wenqing Xie,Qin Zhou,Ying Chen,Junwen Wang,Youying Mao,Jianghua Chen,Hong Jiang

Brain sciences 12: PubMed35884650

2022

Energy Metabolic Disorder of Astrocytes May Be an Inducer of Migraine Attack.

Applications

Unspecified application

Species

Unspecified reactive species

Junhua Li,Xiaotong Ye,Yang Zhou,Shiqiao Peng,Peibing Zheng,Xiaoxiao Zhang,Jiajun Yang,Yanhong Xu

The Journal of clinical endocrinology and metabolism 107:668-684 PubMed34718610

2021

Gain of Function of Malate Dehydrogenase 2 and Familial Hyperglycemia.

Applications

Unspecified application

Species

Unspecified reactive species

Prapaporn Jungtrakoon Thamtarana,Antonella Marucci,Luca Pannone,Amélie Bonnefond,Serena Pezzilli,Tommaso Biagini,Patinut Buranasupkajorn,Timothy Hastings,Christine Mendonca,Lorella Marselli,Rosa Di Paola,Zuroida Abubakar,Luana Mercuri,Federica Alberico,Elisabetta Flex,Julian Ceròn,Montserrat Porta-de-la-Riva,Ornella Ludovico,Massimo Carella,Simone Martinelli,Piero Marchetti,Tommaso Mazza,Philippe Froguel,Vincenzo Trischitta,Alessandro Doria,Sabrina Prudente

Virology journal 18:39 PubMed33602268

2021

Differential mitochondrial proteomic analysis of A549 cells infected with avian influenza virus subtypes H5 and H9.

Applications

Unspecified application

Species

Unspecified reactive species

Yuting Yang,Yun Zhang,Changcheng Yang,Fang Fang,Ying Wang,Haiyan Chang,Ze Chen,Ping Chen

Scientific reports 10:20324 PubMed33230189

2020

Effects of inflammatory and anti-inflammatory environments on the macrophage mitochondrial function.

Applications

Unspecified application

Species

Unspecified reactive species

Dong Ji,Jian-Yun Yin,Dan-Feng Li,Chang-Tai Zhu,Jian-Ping Ye,Yuan-Qing Pan

Proteomics 18:e1700375 PubMed29350465

2018

Proteomics Analysis of Skeletal Muscle from Leptin-Deficient ob/ob Mice Reveals Adaptive Remodeling of Metabolic Characteristics and Fiber Type Composition.

Applications

Unspecified application

Species

Unspecified reactive species

Milena Schönke,Marie Björnholm,Alexander V Chibalin,Juleen R Zierath,Atul S Deshmukh

Nature chemical biology 14:36-41 PubMed29131144

2017

Top-down characterization of endogenous protein complexes with native proteomics.

Applications

Unspecified application

Species

Unspecified reactive species

Owen S Skinner,Nicole A Haverland,Luca Fornelli,Rafael D Melani,Luis H F Do Vale,Henrique S Seckler,Peter F Doubleday,Luis F Schachner,Kristina Srzentić,Neil L Kelleher,Philip D Compton

Cancer & metabolism 5:5 PubMed28680592

2017

HIF prolyl hydroxylase PHD3 regulates translational machinery and glucose metabolism in clear cell renal cell carcinoma.

Applications

Unspecified application

Species

Unspecified reactive species

Petra Miikkulainen,Heidi Högel,Krista Rantanen,Tomi Suomi,Petri Kouvonen,Laura L Elo,Panu M Jaakkola
View all publications

Product promise

We are committed to supporting your work with high-quality reagents, and we're here for you every step of the way. In the unlikely event that one of our products does not perform as expected, you're protected by our Product Promise.
For full details, please see our Terms & Conditions

Please note: All products are 'FOR RESEARCH USE ONLY. NOT FOR USE IN DIAGNOSTIC OR THERAPEUTIC PROCEDURES'.

For licensing inquiries, please contact partnerships@abcam.com