JavaScript is disabled in your browser. Please enable JavaScript to view this website.
AB16895

Anti-MDM2 antibody [2A10]

4

(5 Reviews)

|

(134 Publications)

Anti-MDM2 antibody [2A10] (ab16895) is a mouse monoclonal antibody detecting MDM2 in Western Blot, Flow Cytometry, IHC-P, ICC/IF. Suitable for Human.

- Over 110 publications
- Trusted since 2005

View Alternative Names

E3 ubiquitin-protein ligase Mdm2, Double minute 2 protein, Oncoprotein Mdm2, RING-type E3 ubiquitin transferase Mdm2, p53-binding protein Mdm2, Hdm2, MDM2

7 Images
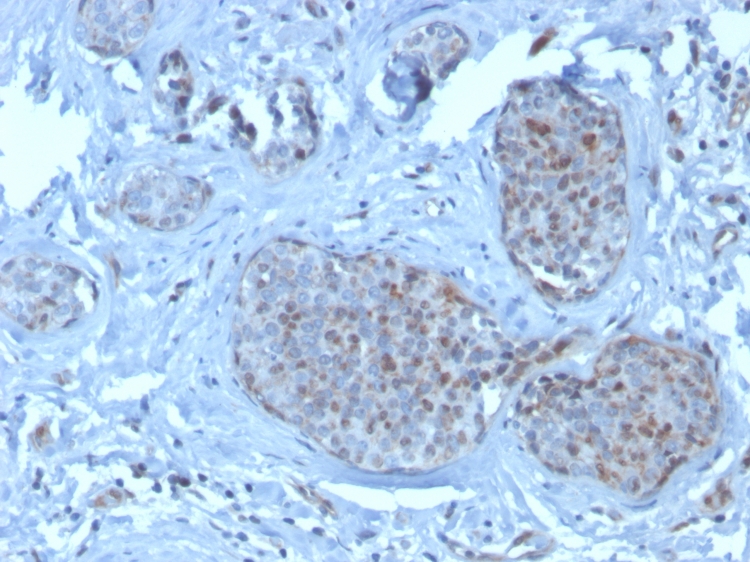
Immunohistochemistry (Formalin/PFA-fixed paraffin-embedded sections) - Anti-MDM2 antibody [2A10] (AB16895)
  • IHC-P

PubMed

Immunohistochemistry (Formalin/PFA-fixed paraffin-embedded sections) - Anti-MDM2 antibody [2A10] (AB16895)

Immunohistochemistry (Formalin/PFA-fixed paraffin-embedded sections) analysis of ameloblastoma tissue sections labeling MDM2 with ab16895. The sections were de-paraffinized, hydrated and then rinsed in phosphate-buffered solution (PBS). They were immersed in heat-induced epitope retrieval citrate buffer of concentration 15mMol and pH 6.0, diluted 1/10 with distilled water and incubated at 95°C for 10 minutes. They were then placed in fresh citrate, cooled in water for 20 minutes and then rinsed in PBS for 6 minutes. Peroxidase blocking reagent was added to each section for 5 minutes, and the sections were rinsed in 0.1% PBS for 6 minutes. The specimen were incubated for 30 minutes with 1/100 dilution of Anti-MDM2 antibody [2A10] (ab16895), then rinsed with PBS, followed by incubation with undiluted HRP for 20 minutes. 1ml of diaminobenzidine solution was added to cover the specimen, followed by incubation in a humidity chamber for 15 minutes. The sections were then immersed in aqueous haematoxylin and rinsed in distilled water for 5 minutes. The tissue was dehydrated and subsequently rinsed with xylene. Distyrene plasticizer in xylene mounting fluid was then applied, and a cover slip placed. Hematoxylin and eosin staining.

This image was generated using the ascites version of the product.

Image from Udeabor, Samuel Ebele et al. The Pan African Medical Journal 20 (2015): 140. doi:10.11604/pamj.2015.20. Fig 4. Reproduced under the Creative Commons license http://creativecommons.org/licenses/by/4.0/.

Immunocytochemistry - Anti-MDM2 antibody [2A10] (AB16895)
  • ICC

AbReview25300****

Immunocytochemistry - Anti-MDM2 antibody [2A10] (AB16895)

ab16895 (1/200) staining MDM2 in assynchronous HeLa cells (green). Cells were fixed with paraformaldehyde, permeabilized with 0.5% Triton X100 and counterstained with DAPI in order to highlight the nucleus (red). Please refer to Abreview for further experimental details.

This image was generated using the ascites version of the product.

Image courtesy of an Abreview submitted by Dr. Kirk McManus, Univ. of Manitoba/Cancer Care MICB, Canada

Immunohistochemistry (Formalin/PFA-fixed paraffin-embedded sections) - Anti-MDM2 antibody [2A10] (AB16895)
  • IHC-P

Lab

Immunohistochemistry (Formalin/PFA-fixed paraffin-embedded sections) - Anti-MDM2 antibody [2A10] (AB16895)

ab16895 staining Human normal tonsil. Staining is localised to nuclear + cytoplasmic compartments. Left panel : with primary antibody at 1 µg/ml. Right panel : isotype control.

Sections were stained using an automated system DAKO Autostainer Plus, at RT : sections were rehydrated and antigen retrieved with the Dako 3 in 1 AR buffers citrate pH6.1 in a DAKO PT Link. Slides were peroxidase blocked in 3% H2O2 in methanol for 10 min. They were then blocked with Dako Protein block for 10 min (containing casein 0.25% in PBS) , incubated with primary antibody for 20 min and detected with Dako envision flex amplification kit for 30 min. Colorimetric detection was completed with DAB for 5 min. Slides were counterstained with Haematoxylin and coverslipped under DePeX.

This image was generated using the ascites version of the product.

Please note: for manual staining we recommend to optimize primary antibody concentration and incubation time (overnight incubation); amplification may be required.

Flow Cytometry - Anti-MDM2 antibody [2A10] (AB16895)
  • Flow Cyt

Unknown

Flow Cytometry - Anti-MDM2 antibody [2A10] (AB16895)

Overlay histogram showing HeLa cells stained with ab16895 (red line). The cells were fixed with 80% methanol (5 min) and then permeabilized with 0.1% PBS-Tween for 20 min. The cells were then incubated in 1x PBS / 10% normal goat serum (ab7481) / 0.3M glycine to block non-specific protein-protein interactions followed by the antibody (ab16895, 0.5μg/1x106 cells) for 30 min at 22°C. The secondary antibody used was DyLight® 488 goat anti-mouse IgG (H+L) (ab96879) at 1/500 dilution for 30 min at 22°C. Isotype control antibody (black line) was mouse IgG2a [ICIGG2A] (ab91361, 1μg/1x106 cells) used under the same conditions. Acquisition of >5,000 events was performed.

This image was generated using the ascites version of the product.

Immunocytochemistry/ Immunofluorescence - Anti-MDM2 antibody [2A10] (AB16895)
  • ICC/IF

Unknown

Immunocytochemistry/ Immunofluorescence - Anti-MDM2 antibody [2A10] (AB16895)

ab16895 staining MDM2 in MCF7 cells treated with progesterone (ab141252), by ICC/IF. Decrease in MDM2 expression correlates with increased concentration of progesterone, as described in literature.
The cells were incubated at 37°C for 24 hour in media containing different concentrations of ab141252 (progesterone) in DMSO, fixed with 4% formaldehyde for 10 minutes at room temperature and blocked with PBS containing 10% goat serum, 0.3 M glycine, 1% BSA and 0.1% tween for 2h at room temperature. Staining of the treated cells with ab16895 (5 μg/ml) was performed overnight at 4°C in PBS containing 1% BSA and 0.1% tween. A DyLight 488 anti-mouse polyclonal antibody (ab96879) at 1/250 dilution was used as the secondary antibody. Nuclei were counterstained with DAPI and are shown in blue.

This image was generated using the ascites version of the product.

Western blot - Anti-MDM2 antibody [2A10] (AB16895)
  • WB

Supplier Data

Western blot - Anti-MDM2 antibody [2A10] (AB16895)

Detection : chemiluminescence.

This image was generated using the ascites version of the product.

All lanes:

Western blot - Anti-MDM2 antibody [2A10] (ab16895) at 2 µg/mL

All lanes:

A549 whole cell lysate

Predicted band size: 55 kDa

false

Western blot - Anti-MDM2 antibody [2A10] (AB16895)
  • WB

AbReview43155****

Western blot - Anti-MDM2 antibody [2A10] (AB16895)

This image was generated using the ascites version of the product.

All lanes:

Western blot - Anti-MDM2 antibody [2A10] (ab16895) at 1/1000 dilution

All lanes:

Mouse Liver lysate at 40 µg

Secondary

All lanes:

Donkey anti-mouse IgG (HRP) at 1/10000 dilution

Predicted band size: 55 kDa

Observed band size: 55 kDa

false

Exposure time: 1min

Image is courtesy of an anonymous Abreview

Key facts

Host species

Mouse

Clonality

Monoclonal

Clone number

2A10

Isotype

IgG2a

Carrier free

No

Reacts with

Human

Applications

IHC-P, ICC/IF, Flow Cyt, ICC, WB

applications

Immunogen

Full Length Protein corresponding to Human MDM2 aa 250-350. The exact immunogen used to generate this antibody is proprietary information.

Q00987

Epitope

Within amino acids 294-339.

Specificity

Recognizes the ~90 kDa (apparent MW) MDM2 protein in A549 cells.

Reactivity data

{ "title": "Reactivity Data", "filters": { "stats": ["", "Species", "Dilution Info", "Notes"], "tabs": { "all-applications": {"fullname" : "All Applications", "shortname": "All Applications"}, "ICCIF" : {"fullname" : "Immunocytochemistry/ Immunofluorescence", "shortname":"ICC/IF"}, "ICC" : {"fullname" : "Immunocytochemistry", "shortname":"ICC"}, "FlowCyt" : {"fullname" : "Flow Cytometry", "shortname":"Flow Cyt"}, "WB" : {"fullname" : "Western blot", "shortname":"WB"}, "IHCP" : {"fullname" : "Immunohistochemistry (Formalin/PFA-fixed paraffin-embedded sections)", "shortname":"IHC-P"} }, "product-promise": { "all": "all", "testedAndGuaranteed": "tested", "guaranteed": "expected", "predicted": "predicted", "notRecommended": "not-recommended" } }, "values": { "Human": { "ICCIF-species-checked": "testedAndGuaranteed", "ICCIF-species-dilution-info": "", "ICCIF-species-notes": "<p></p>", "ICC-species-checked": "testedAndGuaranteed", "ICC-species-dilution-info": "", "ICC-species-notes": "<p></p>", "FlowCyt-species-checked": "testedAndGuaranteed", "FlowCyt-species-dilution-info": "", "FlowCyt-species-notes": "<p><a href='/en-us/products/primary-antibodies/mouse-igg2c-kappa-monoclonal-18c8bc7ad10-isotype-control-ab170191'>ab170191</a> - Mouse monoclonal IgG2a, is suitable for use as an isotype control with this antibody.</p>", "WB-species-checked": "testedAndGuaranteed", "WB-species-dilution-info": "", "WB-species-notes": "<p></p>", "IHCP-species-checked": "testedAndGuaranteed", "IHCP-species-dilution-info": "", "IHCP-species-notes": "<p></p>" } } }

Product details

What is this antibody validated in?
Anti-MDM2 antibody [2A10] (ab16895) is a mouse monoclonal antibody and is validated for use in Western Blot (WB), Flow Cytometry (Flow Cyt), Immunohistochemistry (IHC-P), Immunocytochemistry/immunofluorescence (ICC/IF) in Human samples.

What is the molecular weight of MDM2?
Anti-MDM2 [2A10] (ab16895) specifically detects a band for MDM2 (UniProt: Q00987) at a molecular weight of 55kDa.

Trusted by the scientific community
Anti-MDM2 [2A10] (ab16895) was first used in a scientific publication in 2005 and has been cited over 110 times in peer-reviewed journals.

Reviewed by scientists
Anti-MDM2 [2A10] (ab16895) has over 5 independent reviews from customers.

Properties and storage information

Form
Liquid
Purity
Tissue culture supernatant
Purification notes
Purified from TCS.
Storage buffer
pH: 7.4 Preservative: 0.05% Sodium azide Constituents: Tris glycine, 0.88% Sodium chloride
Shipped at conditions
Blue Ice
Appropriate short-term storage duration
Up to 12 months
Appropriate short-term storage conditions
+4°C
Appropriate long-term storage conditions
-20°C
Storage information
Do Not Freeze

Supplementary information

This supplementary information is collated from multiple sources and compiled automatically.

MDM2 also known as murine double minute 2 is an important regulator of the p53 tumor suppressor protein. It functions as an E3 ubiquitin ligase targeting p53 for proteasomal degradation. The MDM2 protein has a molecular weight of approximately 55 kDa. It is expressed in various human tissues with higher levels in rapidly dividing cells. MDM2 interacts through its N-terminal domain with the transactivation domain of p53 inhibiting its transcriptional activity.
Biological function summary

The MDM2 protein plays a central role in cell cycle control and apoptosis regulation. It forms a complex with p53 which modulates p53's stability and activity. By binding to p53 MDM2 prevents p53 from inducing cell cycle arrest or apoptosis in response to DNA damage or oncogenic signals. Its interaction allows cells to proliferate even in the presence of potential growth-arrest signals maintaining homeostasis under normal physiological conditions.

Pathways

MDM2 and p53 form a critical axis within the DNA damage response and tumorigenesis pathways. The p53-MDM2 feedback loop is a well-studied mechanism that balances cell survival and death. When DNA damage occurs p53 gets activated and in turn upregulates MDM2 expression creating a feedback loop. Other proteins like ARF also interact with MDM2 inhibiting its activity towards p53 and thereby enhancing p53 function during cellular stress.

Mutations or overexpression of the MDM2 protein are often associated with various cancers including sarcoma and breast cancer. In these cancers MDM2 amplification leads to enhanced degradation of p53 resulting in unchecked cell proliferation. MDM2's involvement in these pathologies highlights its potential as a therapeutic target with inhibitors like Nutlin-3 being developed to disrupt the MDM2-p53 interaction. The relationship between MDM2 and other proteins such as HDM201 in the context of p53 alterations further highlights its importance in cancer biology.

Product protocols

For this product, it's our understanding that no specific protocols are required. You can visit:

Target data

E3 ubiquitin-protein ligase that mediates ubiquitination of p53/TP53, leading to its degradation by the proteasome (PubMed : 29681526). Inhibits p53/TP53- and p73/TP73-mediated cell cycle arrest and apoptosis by binding its transcriptional activation domain. Also acts as a ubiquitin ligase E3 toward itself and ARRB1. Permits the nuclear export of p53/TP53. Promotes proteasome-dependent ubiquitin-independent degradation of retinoblastoma RB1 protein. Inhibits DAXX-mediated apoptosis by inducing its ubiquitination and degradation. Component of the TRIM28/KAP1-MDM2-p53/TP53 complex involved in stabilizing p53/TP53. Also a component of the TRIM28/KAP1-ERBB4-MDM2 complex which links growth factor and DNA damage response pathways. Mediates ubiquitination and subsequent proteasome degradation of DYRK2 in nucleus. Ubiquitinates IGF1R and SNAI1 and promotes them to proteasomal degradation (PubMed : 12821780, PubMed : 15053880, PubMed : 15195100, PubMed : 15632057, PubMed : 16337594, PubMed : 17290220, PubMed : 19098711, PubMed : 19219073, PubMed : 19837670, PubMed : 19965871, PubMed : 20173098, PubMed : 20385133, PubMed : 20858735, PubMed : 22128911). Ubiquitinates DCX, leading to DCX degradation and reduction of the dendritic spine density of olfactory bulb granule cells (By similarity). Ubiquitinates DLG4, leading to proteasomal degradation of DLG4 which is required for AMPA receptor endocytosis (By similarity). Negatively regulates NDUFS1, leading to decreased mitochondrial respiration, marked oxidative stress, and commitment to the mitochondrial pathway of apoptosis (PubMed : 30879903). Binds NDUFS1 leading to its cytosolic retention rather than mitochondrial localization resulting in decreased supercomplex assembly (interactions between complex I and complex III), decreased complex I activity, ROS production, and apoptosis (PubMed : 30879903).
See full target information MDM2

Publications (134)

Recent publications for all applications. Explore the full list and refine your search

Research (Washington, D.C.) 8:0859 PubMed40917497

2025

Proteogenomic Analysis Identifies Clinically Relevant Subgroups of Collecting Duct Carcinoma.

Applications

Unspecified application

Species

Unspecified reactive species

Yuanyuan Qu,Xiaoru Pei,Jinwen Feng,Xin Yan,Linhui Zhang,Jun Wang,Xin Yao,Jiasheng Bian,Yu Gan,Hualei Gan,Xuewen Jiang,Ping Yang,Maoping Cai,Liqing Li,Xinqiang Wu,Weiwei Jing,Chao Zhang,Jianyuan Zhao,Hailiang Zhang,Guohai Shi,Xiang Zhou,Dingwei Ye,Chen Ding

International journal of molecular sciences 26: PubMed40806296

2025

Extracellular Vesicles of Adipose Multipotent Mesenchymal Stromal Cells Propagate Senescent Phenotype by Affecting PTEN Nuclear Import.

Applications

Unspecified application

Species

Unspecified reactive species

Elizaveta Chechekhina,Semyon Kamenkov,Vadim Chechekhin,Anna Zinoveva,Elizaveta Bakhchinyan,Anastasia Efimenko,Natalia Kalinina,Vsevolod Tkachuk,Konstantin Kulebyakin,Pyotr Tyurin-Kuzmin

Biochemistry and biophysics reports 43:102158 PubMed40746849

2025

Mechanism of SC targeting RhoA regulation and its potential value in gastric cancer therapy.

Applications

Unspecified application

Species

Unspecified reactive species

Haixiu Ma,Ping Jiang,Ronghua Ma,Jing Zhao,Qi Wang,Yonghua Xing,Chengzhu Cao,Zhanhai Su

NPJ precision oncology 9:255 PubMed40707718

2025

LINE1 insertion into the NACC2 locus disrupts the HDM2 axis and activates lung oncogenic signaling.

Applications

Unspecified application

Species

Unspecified reactive species

Pasano Bojang,Yingshan Wang,Kenneth S Ramos

iScience 28:112333 PubMed40276769

2025

Downregulation of rRNA synthesis by BCL-2 induces chemoresistance in diffuse large B cell lymphoma.

Applications

Unspecified application

Species

Unspecified reactive species

Alessandra Rossi,Saveria Mazzara,Dorotea Salemi,Simone Zanetti,Maria Rosaria Sapienza,Stefania Orecchioni,Giovanna Talarico,Paolo Falvo,Alessandro Davini,Claudio Ceccarelli,Giovanna Motta,Federica Melle,Valentina Tabanelli,Claudio Agostinelli,Davide Trerè,Marianna Penzo,Chiara Corsini,Elena Baiardi,Angelica Calleri,Umberto Vitolo,Francesco Bertolini,Pier Luigi Zinzani,Roberto Chiarle,Corrado Tarella,Stefano Pileri,Enrico Derenzini

Advanced science (Weinheim, Baden-Wurttemberg, Germany) 11:e2407370 PubMed39475053

2024

Targeting BRIX1 via Engineered Exosomes Induces Nucleolar Stress to Suppress Cancer Progression.

Applications

Unspecified application

Species

Unspecified reactive species

Yu Gan,Qian Hao,Tao Han,Jing Tong,Qingya Yan,Hongguang Zhong,Bo Gao,Yanan Li,Zhisheng Xuan,Pengfei Li,Litong Yao,Yingying Xu,Yi-Zhou Jiang,Zhi-Ming Shao,Jun Deng,Jiaxiang Chen,Xiang Zhou

International journal of oncology 65: PubMed39450547

2024

is a novel gene of colorectal cancer that promotes tumor growth potentially via inhibition of p53 expression.

Applications

Unspecified application

Species

Unspecified reactive species

Yusuke Nakano,Takaaki Masuda,Takeharu Sakamoto,Noritaka Tanaka,Taro Tobo,Masahiro Hashimoto,Takanari Tatsumi,Hideyuki Saito,Junichi Takahashi,Kensuke Koike,Tadashi Abe,Yuki Ando,Yuki Ozato,Kiyotaka Hosoda,Kosuke Hirose,Satoshi Higuchi,Tomohiko Ikehara,Yuichi Hisamatsu,Takeo Toshima,Yusuke Yonemura,Takayuki Ogino,Mamoru Uemura,Hidetoshi Eguchi,Yuichiro Doki,Koshi Mimori

Advanced science (Weinheim, Baden-Wurttemberg, Germany) 11:e2405907 PubMed39324579

2024

SNPs Give LACTB Oncogene-Like Functions and Prompt Tumor Progression via Dual-Regulating p53.

Applications

Unspecified application

Species

Unspecified reactive species

Guanyu Huang,Jiajun Zhang,Yu Xu,Fei Wu,Yiwei Fu,Xuelin Zhang,Hanxiao Yin,Yuanyuan You,Peng Zhao,Weihai Liu,Jingnan Shen,Junqiang Yin

iScience 27:110604 PubMed39252971

2024

Patient-derived tumor organoids mimic treatment-induced DNA damage response in glioblastoma.

Applications

Unspecified application

Species

Unspecified reactive species

Bernarda Majc,Anamarija Habič,Marta Malavolta,Miloš Vittori,Andrej Porčnik,Roman Bošnjak,Jernej Mlakar,Alenka Matjašič,Andrej Zupan,Marija Skoblar Vidmar,Tamara Lah Turnšek,Aleksander Sadikov,Barbara Breznik,Metka Novak

Nephrology (Carlton, Vic.) 29:555-564 PubMed39011853

2024

Rhodojaponin VI ameliorates podocyte injury related with MDM2/Notch1 pathway in rat experimental membranous nephropathy.

Applications

Unspecified application

Species

Unspecified reactive species

Anni Song,Ruiwei Yan,Yue Qiu,Xingjie Yin,Jing Xiong,Guangmin Yao,Chun Zhang
View all publications

Product promise

We are committed to supporting your work with high-quality reagents, and we're here for you every step of the way. In the unlikely event that one of our products does not perform as expected, you're protected by our Product Promise.
For full details, please see our Terms & Conditions

Please note: All products are 'FOR RESEARCH USE ONLY. NOT FOR USE IN DIAGNOSTIC OR THERAPEUTIC PROCEDURES'.

For licensing inquiries, please contact partnerships@abcam.com