JavaScript is disabled in your browser. Please enable JavaScript to view this website.
AB263453

Anti-MDM2 antibody [SMP14]

Be the first to review this product! Submit a review

|

(2 Publications)

Mouse Monoclonal MDM2 antibody. Suitable for IHC-P, WB and reacts with Human samples. Cited in 2 publications. Immunogen corresponding to Synthetic Peptide within Human MDM2 aa 150-200.

View Alternative Names

E3 ubiquitin-protein ligase Mdm2, Double minute 2 protein, Oncoprotein Mdm2, RING-type E3 ubiquitin transferase Mdm2, p53-binding protein Mdm2, Hdm2, MDM2

2 Images
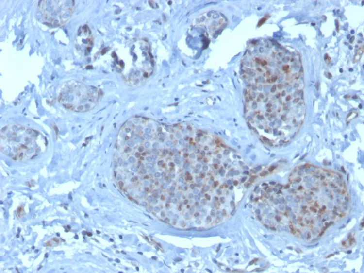
Immunohistochemistry (Formalin/PFA-fixed paraffin-embedded sections) - Anti-MDM2 antibody [SMP14] (AB263453)
  • IHC-P

Supplier Data

Immunohistochemistry (Formalin/PFA-fixed paraffin-embedded sections) - Anti-MDM2 antibody [SMP14] (AB263453)

Formalin-fixed, paraffin-embedded human breast carcinoma tissue stained for MDM2 using ab263453 at 2 μg/ml in immunohistochemistry.

Staining of formalin-fixed tissues requires boiling tissue sections in 10mM Citrate Buffer, pH 6.0, for 10-20 min followed by cooling at RT for 20 minutes.

Western blot - Anti-MDM2 antibody [SMP14] (AB263453)
  • WB

Supplier Data

Western blot - Anti-MDM2 antibody [SMP14] (AB263453)

All lanes:

Western blot - Anti-MDM2 antibody [SMP14] (ab263453) at 2 µg/mL

All lanes:

HepG2 (human liver hepatocellular carcinoma cell line) cell lysate

Predicted band size: 55 kDa

false

Key facts

Host species

Mouse

Clonality

Monoclonal

Clone number

SMP14

Isotype

IgG1

Light chain type

kappa

Carrier free

No

Reacts with

Human

Applications

IHC-P, WB

applications

Immunogen

Synthetic Peptide within Human MDM2 aa 150-200. The exact immunogen used to generate this antibody is proprietary information.

Q00987

Reactivity data

{ "title": "Reactivity Data", "filters": { "stats": ["", "Species", "Dilution Info", "Notes"], "tabs": { "all-applications": {"fullname" : "All Applications", "shortname": "All Applications"}, "IHCP" : {"fullname" : "Immunohistochemistry (Formalin/PFA-fixed paraffin-embedded sections)", "shortname":"IHC-P"}, "WB" : {"fullname" : "Western blot", "shortname":"WB"} }, "product-promise": { "all": "all", "testedAndGuaranteed": "tested", "guaranteed": "expected", "predicted": "predicted", "notRecommended": "not-recommended" } }, "values": { "Human": { "IHCP-species-checked": "testedAndGuaranteed", "IHCP-species-dilution-info": "1-2 µg/mL", "IHCP-species-notes": "<p>Incubate with primary antibody for 30 mins at RT.</p> Perform heat-mediated antigen retrieval with citrate buffer pH 6 before commencing with IHC staining protocol.", "WB-species-checked": "testedAndGuaranteed", "WB-species-dilution-info": "1-2 µg/mL", "WB-species-notes": "<p></p>" } } }

Properties and storage information

Form
Liquid
Purification technique
Affinity purification Protein A/G
Purification notes
Purified from bioreactor concentrate.
Storage buffer
pH: 7.2 - 7.4 Preservative: 0.05% Sodium azide Constituents: PBS, 0.05% BSA
Shipped at conditions
Blue Ice
Appropriate short-term storage duration
1-2 weeks
Appropriate short-term storage conditions
+4°C
Appropriate long-term storage conditions
-20°C
Aliquoting information
Upon delivery aliquot
Storage information
Avoid freeze / thaw cycle

Supplementary information

This supplementary information is collated from multiple sources and compiled automatically.

MDM2 also known as murine double minute 2 is an important regulator of the p53 tumor suppressor protein. It functions as an E3 ubiquitin ligase targeting p53 for proteasomal degradation. The MDM2 protein has a molecular weight of approximately 55 kDa. It is expressed in various human tissues with higher levels in rapidly dividing cells. MDM2 interacts through its N-terminal domain with the transactivation domain of p53 inhibiting its transcriptional activity.
Biological function summary

The MDM2 protein plays a central role in cell cycle control and apoptosis regulation. It forms a complex with p53 which modulates p53's stability and activity. By binding to p53 MDM2 prevents p53 from inducing cell cycle arrest or apoptosis in response to DNA damage or oncogenic signals. Its interaction allows cells to proliferate even in the presence of potential growth-arrest signals maintaining homeostasis under normal physiological conditions.

Pathways

MDM2 and p53 form a critical axis within the DNA damage response and tumorigenesis pathways. The p53-MDM2 feedback loop is a well-studied mechanism that balances cell survival and death. When DNA damage occurs p53 gets activated and in turn upregulates MDM2 expression creating a feedback loop. Other proteins like ARF also interact with MDM2 inhibiting its activity towards p53 and thereby enhancing p53 function during cellular stress.

Mutations or overexpression of the MDM2 protein are often associated with various cancers including sarcoma and breast cancer. In these cancers MDM2 amplification leads to enhanced degradation of p53 resulting in unchecked cell proliferation. MDM2's involvement in these pathologies highlights its potential as a therapeutic target with inhibitors like Nutlin-3 being developed to disrupt the MDM2-p53 interaction. The relationship between MDM2 and other proteins such as HDM201 in the context of p53 alterations further highlights its importance in cancer biology.

Product protocols

For this product, it's our understanding that no specific protocols are required. You can visit:

Target data

E3 ubiquitin-protein ligase that mediates ubiquitination of p53/TP53, leading to its degradation by the proteasome (PubMed : 29681526). Inhibits p53/TP53- and p73/TP73-mediated cell cycle arrest and apoptosis by binding its transcriptional activation domain. Also acts as a ubiquitin ligase E3 toward itself and ARRB1. Permits the nuclear export of p53/TP53. Promotes proteasome-dependent ubiquitin-independent degradation of retinoblastoma RB1 protein. Inhibits DAXX-mediated apoptosis by inducing its ubiquitination and degradation. Component of the TRIM28/KAP1-MDM2-p53/TP53 complex involved in stabilizing p53/TP53. Also a component of the TRIM28/KAP1-ERBB4-MDM2 complex which links growth factor and DNA damage response pathways. Mediates ubiquitination and subsequent proteasome degradation of DYRK2 in nucleus. Ubiquitinates IGF1R and SNAI1 and promotes them to proteasomal degradation (PubMed : 12821780, PubMed : 15053880, PubMed : 15195100, PubMed : 15632057, PubMed : 16337594, PubMed : 17290220, PubMed : 19098711, PubMed : 19219073, PubMed : 19837670, PubMed : 19965871, PubMed : 20173098, PubMed : 20385133, PubMed : 20858735, PubMed : 22128911). Ubiquitinates DCX, leading to DCX degradation and reduction of the dendritic spine density of olfactory bulb granule cells (By similarity). Ubiquitinates DLG4, leading to proteasomal degradation of DLG4 which is required for AMPA receptor endocytosis (By similarity). Negatively regulates NDUFS1, leading to decreased mitochondrial respiration, marked oxidative stress, and commitment to the mitochondrial pathway of apoptosis (PubMed : 30879903). Binds NDUFS1 leading to its cytosolic retention rather than mitochondrial localization resulting in decreased supercomplex assembly (interactions between complex I and complex III), decreased complex I activity, ROS production, and apoptosis (PubMed : 30879903).
See full target information MDM2

Publications (2)

Recent publications for all applications. Explore the full list and refine your search

Heliyon 10:e33738 PubMed39050439

2024

Identification of lncRNA-mRNA network linking ferroptosis and immune infiltration to colon adenocarcinoma suppression.

Applications

Unspecified application

Species

Unspecified reactive species

Xiao-Qiong Chen,Xuan Zhang,Ding-Guo Pan,Guo-Yu Li,Rui-Xi Hu,Tao Wu,Tao Shen,Xin-Yi Cai,Xian-Shuo Cheng,Junying Qin,Fu-Hui Xiao,Yun-Feng Li

Cancer research 69:8111-9 PubMed19808967

2009

Runt-related transcription factor RUNX3 is a target of MDM2-mediated ubiquitination.

Applications

Unspecified application

Species

Unspecified reactive species

Xin-Zi Chi,Jiyeon Kim,Yong-Hee Lee,Jung-Won Lee,Kyeong-Sook Lee,Heejun Wee,Wun-Jae Kim,Woo-Yoon Park,Byung-Chul Oh,Gary S Stein,Yoshiaki Ito,Andre J van Wijnen,Suk-Chul Bae
View all publications

Product promise

We are committed to supporting your work with high-quality reagents, and we're here for you every step of the way. In the unlikely event that one of our products does not perform as expected, you're protected by our Product Promise.
For full details, please see our Terms & Conditions

Please note: All products are 'FOR RESEARCH USE ONLY. NOT FOR USE IN DIAGNOSTIC OR THERAPEUTIC PROCEDURES'.

For licensing inquiries, please contact partnerships@abcam.com