JavaScript is disabled in your browser. Please enable JavaScript to view this website.
AB131355

Anti-MDM2 (phospho S166) antibody

Be the first to review this product! Submit a review

|

(6 Publications)

Rabbit Polyclonal MDM2 phospho S166 antibody. Suitable for WB, IHC-P, ICC/IF and reacts with Human samples. Cited in 6 publications. Immunogen corresponding to Synthetic Peptide within Human MDM2 phospho S166 conjugated to Keyhole Limpet Haemocyanin.

View Alternative Names

E3 ubiquitin-protein ligase Mdm2, Double minute 2 protein, Oncoprotein Mdm2, RING-type E3 ubiquitin transferase Mdm2, p53-binding protein Mdm2, Hdm2, MDM2

3 Images
Immunocytochemistry/ Immunofluorescence - Anti-MDM2 (phospho S166) antibody (AB131355)
  • ICC/IF

Unknown

Immunocytochemistry/ Immunofluorescence - Anti-MDM2 (phospho S166) antibody (AB131355)

Immunofluorescence of methanol-fixed HeLa cells staining MDM2 (phospho S166) with ab131355 at a dilution of 1/100.

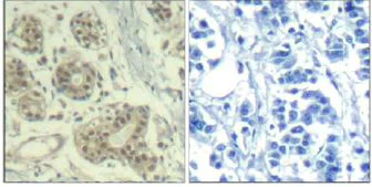
Immunohistochemistry (Formalin/PFA-fixed paraffin-embedded sections) - Anti-MDM2 (phospho S166) antibody (AB131355)
  • IHC-P

Unknown

Immunohistochemistry (Formalin/PFA-fixed paraffin-embedded sections) - Anti-MDM2 (phospho S166) antibody (AB131355)

Immunohistochemical analysis of paraffin embedded Human breast carcinoma tissue labelling MDM2 (phospho S166) with ab131355 at a dilution of 1/50. Picture on the right was preincubated with blocking peptide.

Western blot - Anti-MDM2 (phospho S166) antibody (AB131355)
  • WB

Unknown

Western blot - Anti-MDM2 (phospho S166) antibody (AB131355)

All lanes:

Western blot - Anti-MDM2 (phospho S166) antibody (ab131355) at 1/500 dilution

Lane 1:

293 cell extract untreated

Lane 2:

293 cell extract treated with hydroxyurea

Predicted band size: 55 kDa

Observed band size: 90 kDa

false

Key facts

Host species

Rabbit

Clonality

Polyclonal

Isotype

IgG

Carrier free

No

Reacts with

Human

Applications

IHC-P, WB, ICC/IF

applications

Immunogen

Synthetic Peptide within Human MDM2 phospho S166 conjugated to Keyhole Limpet Haemocyanin. The exact immunogen used to generate this antibody is proprietary information.

Q00987

Reactivity data

{ "title": "Reactivity Data", "filters": { "stats": ["", "Species", "Dilution Info", "Notes"], "tabs": { "all-applications": {"fullname" : "All Applications", "shortname": "All Applications"}, "WB" : {"fullname" : "Western blot", "shortname":"WB"}, "IHCP" : {"fullname" : "Immunohistochemistry (Formalin/PFA-fixed paraffin-embedded sections)", "shortname":"IHC-P"}, "ICCIF" : {"fullname" : "Immunocytochemistry/ Immunofluorescence", "shortname":"ICC/IF"} }, "product-promise": { "all": "all", "testedAndGuaranteed": "tested", "guaranteed": "expected", "predicted": "predicted", "notRecommended": "not-recommended" } }, "values": { "Human": { "WB-species-checked": "testedAndGuaranteed", "WB-species-dilution-info": "1/500 - 1/1000", "WB-species-notes": "<p></p>", "IHCP-species-checked": "testedAndGuaranteed", "IHCP-species-dilution-info": "1/50 - 1/100", "IHCP-species-notes": "<p></p>", "ICCIF-species-checked": "testedAndGuaranteed", "ICCIF-species-dilution-info": "1/100 - 1/200", "ICCIF-species-notes": "<p></p>" }, "Mouse": { "WB-species-checked": "predicted", "WB-species-dilution-info": "", "WB-species-notes": "", "IHCP-species-checked": "predicted", "IHCP-species-dilution-info": "", "IHCP-species-notes": "", "ICCIF-species-checked": "predicted", "ICCIF-species-dilution-info": "", "ICCIF-species-notes": "" } } }

Properties and storage information

Form
Liquid
Purification technique
Affinity purification Immunogen
Purification notes
ab131355 is purified by affinity-chromatography using epitope-specific phosphopeptide. Non-phospho specific antibodies were removed by chromatography using non-phosphopeptide.
Storage buffer
pH: 7.4 Preservative: 0.02% Sodium azide Constituents: PBS, 50% Glycerol (glycerin, glycerine), 0.88% Sodium chloride
Shipped at conditions
Blue Ice
Appropriate short-term storage conditions
+4°C
Appropriate long-term storage conditions
-20°C
Storage information
Stable for 12 months at -20°C

Supplementary information

This supplementary information is collated from multiple sources and compiled automatically.

MDM2 also known as murine double minute 2 is an important regulator of the p53 tumor suppressor protein. It functions as an E3 ubiquitin ligase targeting p53 for proteasomal degradation. The MDM2 protein has a molecular weight of approximately 55 kDa. It is expressed in various human tissues with higher levels in rapidly dividing cells. MDM2 interacts through its N-terminal domain with the transactivation domain of p53 inhibiting its transcriptional activity.
Biological function summary

The MDM2 protein plays a central role in cell cycle control and apoptosis regulation. It forms a complex with p53 which modulates p53's stability and activity. By binding to p53 MDM2 prevents p53 from inducing cell cycle arrest or apoptosis in response to DNA damage or oncogenic signals. Its interaction allows cells to proliferate even in the presence of potential growth-arrest signals maintaining homeostasis under normal physiological conditions.

Pathways

MDM2 and p53 form a critical axis within the DNA damage response and tumorigenesis pathways. The p53-MDM2 feedback loop is a well-studied mechanism that balances cell survival and death. When DNA damage occurs p53 gets activated and in turn upregulates MDM2 expression creating a feedback loop. Other proteins like ARF also interact with MDM2 inhibiting its activity towards p53 and thereby enhancing p53 function during cellular stress.

Mutations or overexpression of the MDM2 protein are often associated with various cancers including sarcoma and breast cancer. In these cancers MDM2 amplification leads to enhanced degradation of p53 resulting in unchecked cell proliferation. MDM2's involvement in these pathologies highlights its potential as a therapeutic target with inhibitors like Nutlin-3 being developed to disrupt the MDM2-p53 interaction. The relationship between MDM2 and other proteins such as HDM201 in the context of p53 alterations further highlights its importance in cancer biology.

Product protocols

For this product, it's our understanding that no specific protocols are required. You can visit:

Target data

E3 ubiquitin-protein ligase that mediates ubiquitination of p53/TP53, leading to its degradation by the proteasome (PubMed : 29681526). Inhibits p53/TP53- and p73/TP73-mediated cell cycle arrest and apoptosis by binding its transcriptional activation domain. Also acts as a ubiquitin ligase E3 toward itself and ARRB1. Permits the nuclear export of p53/TP53. Promotes proteasome-dependent ubiquitin-independent degradation of retinoblastoma RB1 protein. Inhibits DAXX-mediated apoptosis by inducing its ubiquitination and degradation. Component of the TRIM28/KAP1-MDM2-p53/TP53 complex involved in stabilizing p53/TP53. Also a component of the TRIM28/KAP1-ERBB4-MDM2 complex which links growth factor and DNA damage response pathways. Mediates ubiquitination and subsequent proteasome degradation of DYRK2 in nucleus. Ubiquitinates IGF1R and SNAI1 and promotes them to proteasomal degradation (PubMed : 12821780, PubMed : 15053880, PubMed : 15195100, PubMed : 15632057, PubMed : 16337594, PubMed : 17290220, PubMed : 19098711, PubMed : 19219073, PubMed : 19837670, PubMed : 19965871, PubMed : 20173098, PubMed : 20385133, PubMed : 20858735, PubMed : 22128911). Ubiquitinates DCX, leading to DCX degradation and reduction of the dendritic spine density of olfactory bulb granule cells (By similarity). Ubiquitinates DLG4, leading to proteasomal degradation of DLG4 which is required for AMPA receptor endocytosis (By similarity). Negatively regulates NDUFS1, leading to decreased mitochondrial respiration, marked oxidative stress, and commitment to the mitochondrial pathway of apoptosis (PubMed : 30879903). Binds NDUFS1 leading to its cytosolic retention rather than mitochondrial localization resulting in decreased supercomplex assembly (interactions between complex I and complex III), decreased complex I activity, ROS production, and apoptosis (PubMed : 30879903).
See full target information MDM2 phospho S166

Publications (6)

Recent publications for all applications. Explore the full list and refine your search

Molecular carcinogenesis 63:1768-1782 PubMed38869281

2024

14-3-3σ/Stratifin and p21 limit AKT-related malignant progression in skin carcinogenesis following MDM2-associated p53 loss.

Applications

Unspecified application

Species

Unspecified reactive species

Carol M McMenemy,Dajiang Guo,Jean A Quinn,David A Greenhalgh

Pathology international 71:803-813 PubMed34587661

2021

Investigation of the molecular causes underlying physical abnormalities in Diamond-Blackfan anemia patients with RPL5 haploinsufficiency.

Applications

Unspecified application

Species

Unspecified reactive species

Yuko Fukui,Satoru Hayano,Noriaki Kawanabe,Ziyi Wang,Akira Shimada,Megumu K Saito,Isao Asaka,Hiroshi Kamioka

International journal of molecular sciences 22: PubMed34298892

2021

Preconditioning-Activated AKT Controls Neuronal Tolerance to Ischemia through the MDM2-p53 Pathway.

Applications

Unspecified application

Species

Unspecified reactive species

Emilia Barrio,Rebeca Vecino,Irene Sánchez-Morán,Cristina Rodríguez,Alberto Suárez-Pindado,Juan P Bolaños,Angeles Almeida,Maria Delgado-Esteban

Cell death & disease 10:750 PubMed31582719

2019

The desmosomal cadherin desmoglein-3 acts as a keratinocyte anti-stress protein via suppression of p53.

Applications

Unspecified application

Species

Unspecified reactive species

Ambreen Rehman,Yang Cai,Christian Hünefeld,Hana Jedličková,Yunying Huang,Muy Teck Teh,Usama Sharif Ahmad,Jutamas Uttagomol,Ying Wang,Angray Kang,Gary Warnes,Catherine Harwood,Daniele Bergamaschi,Eric Kenneth Parkinson,Martin Röcken,Hong Wan

Journal of cellular and molecular medicine 22:4963-4974 PubMed30024092

2018

MircoRNA-1275 promotes proliferation, invasion and migration of glioma cells via SERPINE1.

Applications

Unspecified application

Species

Unspecified reactive species

Dong-Mei Wu,Shan Wang,Xin Wen,Xin-Rui Han,Yong-Jian Wang,Shao-Hua Fan,Zi-Feng Zhang,Qun Shan,Jun Lu,Yuan-Lin Zheng

Molecular medicine reports 17:2572-2580 PubMed29207130

2017

Ethanol extract from Cnidium monnieri (L.) Cusson induces cell cycle arrest and apoptosis via regulation of the p53‑independent pathway in HepG2 and Hep3B hepatocellular carcinoma cells.

Applications

Unspecified application

Species

Unspecified reactive species

Eun Gyeong Lim,Guen Tae Kim,Bo Min Kim,Eun Ji Kim,Sang-Yong Kim,Young Min Kim
View all publications

Product promise

We are committed to supporting your work with high-quality reagents, and we're here for you every step of the way. In the unlikely event that one of our products does not perform as expected, you're protected by our Product Promise.
For full details, please see our Terms & Conditions

Please note: All products are 'FOR RESEARCH USE ONLY. NOT FOR USE IN DIAGNOSTIC OR THERAPEUTIC PROCEDURES'.

For licensing inquiries, please contact partnerships@abcam.com