JavaScript is disabled in your browser. Please enable JavaScript to view this website.
AB249560

Anti-MDM2 (phospho S166) antibody [EPR1450(2)] - BSA and Azide free

Be the first to review this product! Submit a review

|

(1 Publication)

Rabbit Recombinant Monoclonal MDM2 phospho S166 antibody. Carrier free. Suitable for IHC-P, Dot, WB and reacts with Human, Synthetic peptide samples. Cited in 1 publication.

View Alternative Names

E3 ubiquitin-protein ligase Mdm2, Double minute 2 protein, Oncoprotein Mdm2, RING-type E3 ubiquitin transferase Mdm2, p53-binding protein Mdm2, Hdm2, MDM2

5 Images
Immunohistochemistry (Formalin/PFA-fixed paraffin-embedded sections) - Anti-MDM2 (phospho S166) antibody [EPR1450(2)] - BSA and Azide free (AB249560)
  • IHC-P

Supplier Data

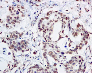
Immunohistochemistry (Formalin/PFA-fixed paraffin-embedded sections) - Anti-MDM2 (phospho S166) antibody [EPR1450(2)] - BSA and Azide free (AB249560)

This data was developed using ab170880, the same antibody clone in a different buffer formulation.

Immunohistochemical analysis of paraffin-embedded human gastric carcinoma tissue labeling MDM2 (phospho S166) using ab170880 at a 1/50 dilution.

Perform heat mediated antigen retrieval with citrate buffer pH 6 before commencing with IHC staining protocol.

Immunohistochemistry (Formalin/PFA-fixed paraffin-embedded sections) - Anti-MDM2 (phospho S166) antibody [EPR1450(2)] - BSA and Azide free (AB249560)
  • IHC-P

Supplier Data

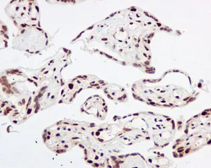
Immunohistochemistry (Formalin/PFA-fixed paraffin-embedded sections) - Anti-MDM2 (phospho S166) antibody [EPR1450(2)] - BSA and Azide free (AB249560)

This data was developed using ab170880, the same antibody clone in a different buffer formulation.

Immunohistochemical analysis of paraffin-embedded human placenta tissue labeling MDM2 (phospho S166) using ab170880 at a 1/50 dilution.

Perform heat mediated antigen retrieval with citrate buffer pH 6 before commencing with IHC staining protocol.

Western blot - Anti-MDM2 (phospho S166) antibody [EPR1450(2)] - BSA and Azide free (AB249560)
  • WB

Supplier Data

Western blot - Anti-MDM2 (phospho S166) antibody [EPR1450(2)] - BSA and Azide free (AB249560)

This data was developed using ab170880, the same antibody clone in a different buffer formulation.

All lanes:

Western blot - Anti-MDM2 (phospho S166) antibody [EPR1450(2)] (<a href='/en-us/products/primary-antibodies/mdm2-phospho-s166-antibody-epr14502-ab170880'>ab170880</a>) at 1/50000 dilution

Lane 1:

MCF7 cell lysate at 10 µg

Lane 2:

MCF7 cell lysate treated with IGF-1 at 10 µg

Secondary

All lanes:

HRP labelled goat anti-rabbit IgG at 1/2000 dilution

Predicted band size: 55 kDa,62 kDa

Observed band size: 55 kDa

false

Western blot - Anti-MDM2 (phospho S166) antibody [EPR1450(2)] - BSA and Azide free (AB249560)
  • WB

Lab

Western blot - Anti-MDM2 (phospho S166) antibody [EPR1450(2)] - BSA and Azide free (AB249560)

This data was developed using ab170880, the same antibody clone in a different buffer formulation.

Blocking and dilution buffer : 2% BSA/TBST.

The molecular weight is the same with the one from this paper PMID : 25392082.

All lanes:

Western blot - Anti-MDM2 (phospho S166) antibody [EPR1450(2)] (<a href='/en-us/products/primary-antibodies/mdm2-phospho-s166-antibody-epr14502-ab170880'>ab170880</a>) at 1/100000 dilution

Lane 1:

A549 (Human lung carcinoma epithelial cell) whole cell lysate at 15 µg

Lane 2:

A549 (Human lung carcinoma epithelial cell) treated with insulin at 1ug/ml for 150 minutes. Whole cell lysate at 15 µg

Lane 3:

A549 (Human lung carcinoma epithelial cell) treated with insulin at 1ug/ml for 150 minutes. Whole cell lysate. Then the membrane was incubated with phosphatase at 15 µg

Secondary

All lanes:

Western blot - Goat Anti-Rabbit IgG H&L (HRP) (<a href='/en-us/products/secondary-antibodies/goat-rabbit-igg-h-l-hrp-ab97051'>ab97051</a>) at 1/20000 dilution

Predicted band size: 55 kDa

Observed band size: 90-140 kDa

false

Exposure time: 5s

Dot Blot - Anti-MDM2 (phospho S166) antibody [EPR1450(2)] - BSA and Azide free (AB249560)
  • Dot

Supplier Data

Dot Blot - Anti-MDM2 (phospho S166) antibody [EPR1450(2)] - BSA and Azide free (AB249560)

This data was developed using ab170880, the same antibody clone in a different buffer formulation.

Dot blot analysis of MDM2 (phospho S166) phospho peptide (Lane 1), MDM2 non-phospho peptide (Lane 2), labeling MDM2 (phospho S166) with ab170880 at a dilution of 1/1000. Goat Anti-Rabbit IgG, (H+L), Peroxidase conjugated (ab97051) was used as the secondary antibody at a dilution of 1/100000.

Blocking and dilution buffer : 5% NFDM/TBST.

Exposure time : 3 minutes.

  • Unconjugated

    Anti-MDM2 (phospho S166) antibody [EPR1450(2)]

Key facts

Host species

Rabbit

Clonality

Monoclonal

Clone number

EPR1450(2)

Isotype

IgG

Carrier free

Yes

Reacts with

Human

Applications

WB, IHC-P, Dot

applications

Immunogen

The exact immunogen used to generate this antibody is proprietary information.

Reactivity data

{ "title": "Reactivity Data", "filters": { "stats": ["", "Species", "Dilution Info", "Notes"], "tabs": { "all-applications": {"fullname" : "All Applications", "shortname": "All Applications"}, "IHCP" : {"fullname" : "Immunohistochemistry (Formalin/PFA-fixed paraffin-embedded sections)", "shortname":"IHC-P"}, "ICCIF" : {"fullname" : "Immunocytochemistry/ Immunofluorescence", "shortname":"ICC/IF"}, "IP" : {"fullname" : "Immunoprecipitation", "shortname":"IP"}, "FlowCyt" : {"fullname" : "Flow Cytometry", "shortname":"Flow Cyt"}, "Dot" : {"fullname" : "Dot Blot", "shortname":"Dot"}, "WB" : {"fullname" : "Western blot", "shortname":"WB"} }, "product-promise": { "all": "all", "testedAndGuaranteed": "tested", "guaranteed": "expected", "predicted": "predicted", "notRecommended": "not-recommended" } }, "values": { "Human": { "IHCP-species-checked": "testedAndGuaranteed", "IHCP-species-dilution-info": "", "IHCP-species-notes": "<p></p>", "ICCIF-species-checked": "notRecommended", "ICCIF-species-dilution-info": "", "ICCIF-species-notes": "<p></p>", "IP-species-checked": "notRecommended", "IP-species-dilution-info": "", "IP-species-notes": "<p></p>", "FlowCyt-species-checked": "notRecommended", "FlowCyt-species-dilution-info": "", "FlowCyt-species-notes": "<p></p>", "Dot-species-checked": "guaranteed", "Dot-species-dilution-info": "", "Dot-species-notes": "", "WB-species-checked": "testedAndGuaranteed", "WB-species-dilution-info": "", "WB-species-notes": "<p></p>" }, "Mouse": { "IHCP-species-checked": "notRecommended", "IHCP-species-dilution-info": "", "IHCP-species-notes": "<p></p>", "ICCIF-species-checked": "notRecommended", "ICCIF-species-dilution-info": "", "ICCIF-species-notes": "<p></p>", "IP-species-checked": "notRecommended", "IP-species-dilution-info": "", "IP-species-notes": "<p></p>", "FlowCyt-species-checked": "notRecommended", "FlowCyt-species-dilution-info": "", "FlowCyt-species-notes": "<p></p>", "Dot-species-checked": "notRecommended", "Dot-species-dilution-info": "", "Dot-species-notes": "<p></p>", "WB-species-checked": "notRecommended", "WB-species-dilution-info": "", "WB-species-notes": "<p></p>" }, "Rat": { "IHCP-species-checked": "notRecommended", "IHCP-species-dilution-info": "", "IHCP-species-notes": "", "ICCIF-species-checked": "notRecommended", "ICCIF-species-dilution-info": "", "ICCIF-species-notes": "", "IP-species-checked": "notRecommended", "IP-species-dilution-info": "", "IP-species-notes": "", "FlowCyt-species-checked": "notRecommended", "FlowCyt-species-dilution-info": "", "FlowCyt-species-notes": "", "Dot-species-checked": "notRecommended", "Dot-species-dilution-info": "", "Dot-species-notes": "", "WB-species-checked": "notRecommended", "WB-species-dilution-info": "", "WB-species-notes": "" }, "Synthetic peptide": { "IHCP-species-checked": "notRecommended", "IHCP-species-dilution-info": "", "IHCP-species-notes": "", "ICCIF-species-checked": "notRecommended", "ICCIF-species-dilution-info": "", "ICCIF-species-notes": "", "IP-species-checked": "notRecommended", "IP-species-dilution-info": "", "IP-species-notes": "", "FlowCyt-species-checked": "notRecommended", "FlowCyt-species-dilution-info": "", "FlowCyt-species-notes": "", "Dot-species-checked": "testedAndGuaranteed", "Dot-species-dilution-info": "", "Dot-species-notes": "<p></p>", "WB-species-checked": "notRecommended", "WB-species-dilution-info": "", "WB-species-notes": "" } } }

Product details

ab249560 is the carrier-free version of ab170880.

Patented technology
Our RabMAb® technology is a patented hybridoma-based technology for making rabbit monoclonal antibodies. For details on our patents, please refer to RabMAb® patents.

What are the advantages of a recombinant monoclonal antibody?
This product is a recombinant monoclonal antibody, which offers several advantages including:

  • - High batch-to-batch consistency and reproducibility
  • - Improved sensitivity and specificity
  • - Long-term security of supply
  • - Animal-free batch production

For more information, read more on recombinant antibodies.

Conjugation ready
Our carrier-free antibodies are typically supplied in a PBS-only formulation, purified and free of BSA, sodium azide and glycerol. This conjugation-ready format is designed for use with fluorochromes, metal isotopes, oligonucleotides, and enzymes, which makes them ideal for antibody labelling, functional and cell-based assays, flow-based assays (e.g. mass cytometry) and Multiplex Imaging applications.

Use our conjugation kits for antibody conjugates that are ready-to-use in as little as 20 minutes with 1 minute hands-on-time and 100% antibody recovery: available for fluorescent dyes, HRP, biotin and gold.

Compatibility
This product is compatible with the Maxpar® Antibody Labeling Kit from Fluidigm, without the need for antibody preparation. Maxpar® is a trademark of Fluidigm Canada Inc.

Properties and storage information

Form
Liquid
Purification technique
Affinity purification
Storage buffer
pH: 7.2 - 7.4 Constituents: PBS
Shipped at conditions
Blue Ice
Appropriate short-term storage conditions
+4°C
Appropriate long-term storage conditions
+4°C
Storage information
Do Not Freeze

Supplementary information

This supplementary information is collated from multiple sources and compiled automatically.

MDM2 also known as murine double minute 2 is an important regulator of the p53 tumor suppressor protein. It functions as an E3 ubiquitin ligase targeting p53 for proteasomal degradation. The MDM2 protein has a molecular weight of approximately 55 kDa. It is expressed in various human tissues with higher levels in rapidly dividing cells. MDM2 interacts through its N-terminal domain with the transactivation domain of p53 inhibiting its transcriptional activity.
Biological function summary

The MDM2 protein plays a central role in cell cycle control and apoptosis regulation. It forms a complex with p53 which modulates p53's stability and activity. By binding to p53 MDM2 prevents p53 from inducing cell cycle arrest or apoptosis in response to DNA damage or oncogenic signals. Its interaction allows cells to proliferate even in the presence of potential growth-arrest signals maintaining homeostasis under normal physiological conditions.

Pathways

MDM2 and p53 form a critical axis within the DNA damage response and tumorigenesis pathways. The p53-MDM2 feedback loop is a well-studied mechanism that balances cell survival and death. When DNA damage occurs p53 gets activated and in turn upregulates MDM2 expression creating a feedback loop. Other proteins like ARF also interact with MDM2 inhibiting its activity towards p53 and thereby enhancing p53 function during cellular stress.

Mutations or overexpression of the MDM2 protein are often associated with various cancers including sarcoma and breast cancer. In these cancers MDM2 amplification leads to enhanced degradation of p53 resulting in unchecked cell proliferation. MDM2's involvement in these pathologies highlights its potential as a therapeutic target with inhibitors like Nutlin-3 being developed to disrupt the MDM2-p53 interaction. The relationship between MDM2 and other proteins such as HDM201 in the context of p53 alterations further highlights its importance in cancer biology.

Product protocols

For this product, it's our understanding that no specific protocols are required. You can visit:

Target data

E3 ubiquitin-protein ligase that mediates ubiquitination of p53/TP53, leading to its degradation by the proteasome (PubMed : 29681526). Inhibits p53/TP53- and p73/TP73-mediated cell cycle arrest and apoptosis by binding its transcriptional activation domain. Also acts as a ubiquitin ligase E3 toward itself and ARRB1. Permits the nuclear export of p53/TP53. Promotes proteasome-dependent ubiquitin-independent degradation of retinoblastoma RB1 protein. Inhibits DAXX-mediated apoptosis by inducing its ubiquitination and degradation. Component of the TRIM28/KAP1-MDM2-p53/TP53 complex involved in stabilizing p53/TP53. Also a component of the TRIM28/KAP1-ERBB4-MDM2 complex which links growth factor and DNA damage response pathways. Mediates ubiquitination and subsequent proteasome degradation of DYRK2 in nucleus. Ubiquitinates IGF1R and SNAI1 and promotes them to proteasomal degradation (PubMed : 12821780, PubMed : 15053880, PubMed : 15195100, PubMed : 15632057, PubMed : 16337594, PubMed : 17290220, PubMed : 19098711, PubMed : 19219073, PubMed : 19837670, PubMed : 19965871, PubMed : 20173098, PubMed : 20385133, PubMed : 20858735, PubMed : 22128911). Ubiquitinates DCX, leading to DCX degradation and reduction of the dendritic spine density of olfactory bulb granule cells (By similarity). Ubiquitinates DLG4, leading to proteasomal degradation of DLG4 which is required for AMPA receptor endocytosis (By similarity). Negatively regulates NDUFS1, leading to decreased mitochondrial respiration, marked oxidative stress, and commitment to the mitochondrial pathway of apoptosis (PubMed : 30879903). Binds NDUFS1 leading to its cytosolic retention rather than mitochondrial localization resulting in decreased supercomplex assembly (interactions between complex I and complex III), decreased complex I activity, ROS production, and apoptosis (PubMed : 30879903).
See full target information MDM2 phospho S166

Publications (1)

Recent publications for all applications. Explore the full list and refine your search

Frontiers in immunology 14:1162669 PubMed37207208

2023

Naproxen chemoprevention induces proliferation of cytotoxic lymphocytes in Lynch Syndrome colorectal mucosa.

Applications

Unspecified application

Species

Unspecified reactive species

Charles M Bowen,Nan Deng,Laura Reyes-Uribe,Edwin Roger Parra,Pedro Rocha,Luisa M Solis,Ignacio I Wistuba,Valerie O Sepeda,Lana Vornik,Marjorie Perloff,Eva Szabo,Asad Umar,Krishna M Sinha,Powel H Brown,Eduardo Vilar
View all publications

Product promise

We are committed to supporting your work with high-quality reagents, and we're here for you every step of the way. In the unlikely event that one of our products does not perform as expected, you're protected by our Product Promise.
For full details, please see our Terms & Conditions

Please note: All products are 'FOR RESEARCH USE ONLY. NOT FOR USE IN DIAGNOSTIC OR THERAPEUTIC PROCEDURES'.

For licensing inquiries, please contact partnerships@abcam.com