JavaScript is disabled in your browser. Please enable JavaScript to view this website.
AB240113

Anti-ME2 antibody [EP7217] - BSA and Azide free

Be the first to review this product! Submit a review

|

(1 Publication)

Rabbit Recombinant Monoclonal ME2 antibody. Carrier free. Suitable for IHC-P, WB, Flow Cyt (Intra), ICC/IF and reacts with Human, Mouse, Rat samples. Cited in 1 publication.

View Alternative Names

NAD-ME, Malic enzyme 2, ME2

7 Images
Immunohistochemistry (Formalin/PFA-fixed paraffin-embedded sections) - Anti-ME2 antibody [EP7217] - BSA and Azide free (AB240113)
  • IHC-P

Unknown

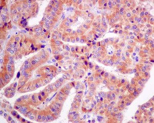
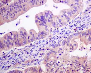
Immunohistochemistry (Formalin/PFA-fixed paraffin-embedded sections) - Anti-ME2 antibody [EP7217] - BSA and Azide free (AB240113)

Immunohistochemical analysis of paraffin-embedded Human papillary adenocarcinoma of thyroid tissue labeling ME2 with ab139686 at 1/50 dilution.

This data was developed using the same antibody clone in a different buffer formulation containing PBS, BSA, glycerol, and sodium azide (ab139686).

Perform heat mediated antigen retrieval with citrate buffer pH 6 before commencing with IHC staining protocol.

Immunohistochemistry (Formalin/PFA-fixed paraffin-embedded sections) - Anti-ME2 antibody [EP7217] - BSA and Azide free (AB240113)
  • IHC-P

Unknown

Immunohistochemistry (Formalin/PFA-fixed paraffin-embedded sections) - Anti-ME2 antibody [EP7217] - BSA and Azide free (AB240113)

Immunohistochemical analysis of paraffin embedded Normal Human Tonsil tissue using ab139686 showing +ve staining.

This data was developed using the same antibody clone in a different buffer formulation containing PBS, BSA, glycerol, and sodium azide (ab139686).

Perform heat mediated antigen retrieval with citrate buffer pH 6 before commencing with IHC staining protocol.

Immunohistochemistry (Formalin/PFA-fixed paraffin-embedded sections) - Anti-ME2 antibody [EP7217] - BSA and Azide free (AB240113)
  • IHC-P

Unknown

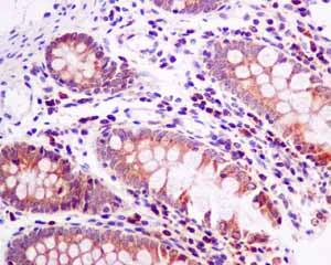
Immunohistochemistry (Formalin/PFA-fixed paraffin-embedded sections) - Anti-ME2 antibody [EP7217] - BSA and Azide free (AB240113)

Immunohistochemical analysis of paraffin embedded Normal Human Colon tissue using ab139686 showing +ve staining.

This data was developed using the same antibody clone in a different buffer formulation containing PBS, BSA, glycerol, and sodium azide (ab139686).

Perform heat mediated antigen retrieval with citrate buffer pH 6 before commencing with IHC staining protocol.

Immunohistochemistry (Formalin/PFA-fixed paraffin-embedded sections) - Anti-ME2 antibody [EP7217] - BSA and Azide free (AB240113)
  • IHC-P

Unknown

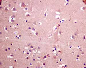
Immunohistochemistry (Formalin/PFA-fixed paraffin-embedded sections) - Anti-ME2 antibody [EP7217] - BSA and Azide free (AB240113)

Immunohistochemical analysis of paraffin embedded Normal Human Brain tissue using ab139686 showing +ve staining.

This data was developed using the same antibody clone in a different buffer formulation containing PBS, BSA, glycerol, and sodium azide (ab139686).

Perform heat mediated antigen retrieval with citrate buffer pH 6 before commencing with IHC staining protocol.

Immunohistochemistry (Formalin/PFA-fixed paraffin-embedded sections) - Anti-ME2 antibody [EP7217] - BSA and Azide free (AB240113)
  • IHC-P

Unknown

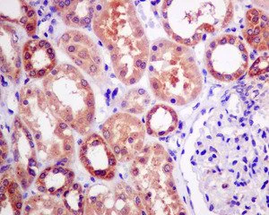
Immunohistochemistry (Formalin/PFA-fixed paraffin-embedded sections) - Anti-ME2 antibody [EP7217] - BSA and Azide free (AB240113)

Immunohistochemical analysis of paraffin-embedded Human kidney tissue labeling ME2 with ab139686 at 1/50 dilution.

This data was developed using the same antibody clone in a different buffer formulation containing PBS, BSA, glycerol, and sodium azide (ab139686).

Perform heat mediated antigen retrieval with citrate buffer pH 6 before commencing with IHC staining protocol.

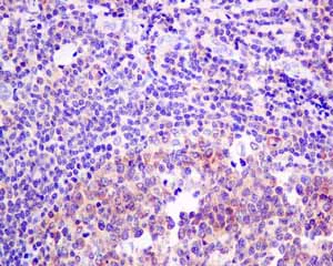
Immunohistochemistry (Formalin/PFA-fixed paraffin-embedded sections) - Anti-ME2 antibody [EP7217] - BSA and Azide free (AB240113)
  • IHC-P

Unknown

Immunohistochemistry (Formalin/PFA-fixed paraffin-embedded sections) - Anti-ME2 antibody [EP7217] - BSA and Azide free (AB240113)

Immunohistochemical analysis of paraffin embedded Human Ovarian carcinoma tissue using ab139686 showing +ve staining.

This data was developed using the same antibody clone in a different buffer formulation containing PBS, BSA, glycerol, and sodium azide (ab139686).

Perform heat mediated antigen retrieval with citrate buffer pH 6 before commencing with IHC staining protocol.

Flow Cytometry (Intracellular) - Anti-ME2 antibody [EP7217] - BSA and Azide free (AB240113)
  • Flow Cyt (Intra)

Unknown

Flow Cytometry (Intracellular) - Anti-ME2 antibody [EP7217] - BSA and Azide free (AB240113)

Overlay histogram showing HeLa cells stained with ab139686 (red line). The cells were fixed with 80% methanol (5 min) and then permeabilized with 0.1% PBS-Tween for 20 min. The cells were then incubated in 1x PBS / 10% normal goat serum / 0.3M glycine to block non-specific protein-protein interactions followed by the antibody (ab139686, 1/100 dilution) for 30 min at 22°C. The secondary antibody used was Alexa Fluor® 488 goat anti-rabbit IgG (H&L) (ab150077) at 1/2000 dilution for 30 min at 22°C. Isotype control antibody (black line) was rabbit IgG (monoclonal) (1μg/1x106 cells) used under the same conditions. Unlabelled sample (blue line) was also used as a control. Acquisition of >5,000 events were collected using a 20mW Argon ion laser (488nm) and 525/30 bandpass filter. This data was developed using the same antibody clone in a different buffer formulation containing PBS, BSA, glycerol, and sodium azide (ab139686).

Key facts

Host species

Rabbit

Clonality

Monoclonal

Clone number

EP7217

Isotype

IgG

Carrier free

Yes

Reacts with

Mouse, Rat, Human

Applications

ICC/IF, IHC-P, Flow Cyt (Intra), WB

applications

Immunogen

The exact immunogen used to generate this antibody is proprietary information.

Reactivity data

{ "title": "Reactivity Data", "filters": { "stats": ["", "Species", "Dilution Info", "Notes"], "tabs": { "all-applications": {"fullname" : "All Applications", "shortname": "All Applications"}, "IHCP" : {"fullname" : "Immunohistochemistry (Formalin/PFA-fixed paraffin-embedded sections)", "shortname":"IHC-P"}, "WB" : {"fullname" : "Western blot", "shortname":"WB"}, "FlowCytIntra" : {"fullname" : "Flow Cytometry (Intracellular)", "shortname":"Flow Cyt (Intra)"}, "ICCIF" : {"fullname" : "Immunocytochemistry/ Immunofluorescence", "shortname":"ICC/IF"} }, "product-promise": { "all": "all", "testedAndGuaranteed": "tested", "guaranteed": "expected", "predicted": "predicted", "notRecommended": "not-recommended" } }, "values": { "Human": { "IHCP-species-checked": "testedAndGuaranteed", "IHCP-species-dilution-info": "", "IHCP-species-notes": "<p></p> Perform heat-mediated antigen retrieval with citrate buffer pH 6 before commencing with IHC staining protocol.", "WB-species-checked": "testedAndGuaranteed", "WB-species-dilution-info": "", "WB-species-notes": "<p></p>", "FlowCytIntra-species-checked": "testedAndGuaranteed", "FlowCytIntra-species-dilution-info": "", "FlowCytIntra-species-notes": "<p><a href='/en-us/products/primary-antibodies/rabbit-igg-monoclonal-epr25a-isotype-control-low-endotoxin-azide-free-ab199376'>ab199376</a> - Rabbit monoclonal IgG, is suitable for use as an isotype control with this antibody.</p>", "ICCIF-species-checked": "guaranteed", "ICCIF-species-dilution-info": "", "ICCIF-species-notes": "<p></p>" }, "Mouse": { "IHCP-species-checked": "predicted", "IHCP-species-dilution-info": "", "IHCP-species-notes": "", "WB-species-checked": "predicted", "WB-species-dilution-info": "", "WB-species-notes": "", "FlowCytIntra-species-checked": "predicted", "FlowCytIntra-species-dilution-info": "", "FlowCytIntra-species-notes": "", "ICCIF-species-checked": "guaranteed", "ICCIF-species-dilution-info": "", "ICCIF-species-notes": "<p></p>" }, "Rat": { "IHCP-species-checked": "predicted", "IHCP-species-dilution-info": "", "IHCP-species-notes": "", "WB-species-checked": "predicted", "WB-species-dilution-info": "", "WB-species-notes": "", "FlowCytIntra-species-checked": "predicted", "FlowCytIntra-species-dilution-info": "", "FlowCytIntra-species-notes": "", "ICCIF-species-checked": "guaranteed", "ICCIF-species-dilution-info": "", "ICCIF-species-notes": "<p></p>" } } }

Product details

ab240113 is the carrier-free version of ab139686.

Patented technology
Our RabMAb® technology is a patented hybridoma-based technology for making rabbit monoclonal antibodies. For details on our patents, please refer to RabMAb® patents.

Conjugation ready
Our carrier-free antibodies are typically supplied in a PBS-only formulation, purified and free of BSA, sodium azide and glycerol. This conjugation-ready format is designed for use with fluorochromes, metal isotopes, oligonucleotides, and enzymes, which makes them ideal for antibody labelling, functional and cell-based assays, flow-based assays (e.g. mass cytometry) and Multiplex Imaging applications.

Use our conjugation kits for antibody conjugates that are ready-to-use in as little as 20 minutes with 1 minute hands-on-time and 100% antibody recovery: available for fluorescent dyes, HRP, biotin and gold.

Compatibility
This product is compatible with the Maxpar® Antibody Labeling Kit from Fluidigm, without the need for antibody preparation. Maxpar® is a trademark of Fluidigm Canada Inc.

Properties and storage information

Form
Liquid
Purification technique
Affinity purification Protein A
Storage buffer
pH: 7.2 - 7.4 Constituents: PBS
Shipped at conditions
Blue Ice
Appropriate short-term storage conditions
+4°C
Appropriate long-term storage conditions
+4°C
Storage information
Do Not Freeze

Supplementary information

This supplementary information is collated from multiple sources and compiled automatically.

The protein ME2 also known as mitochondrial malic enzyme 2 is a mitochondrial enzyme with a molecular mass of approximately 65 kDa. It catalyzes the oxidative decarboxylation of malate to pyruvate in the tricarboxylic acid cycle converting NAD+ to NADH. ME2 is primarily expressed in tissues with high metabolic activity such as liver and muscle. The enzyme plays a role in energy production and is found across various species reflecting its evolutionary conservation.
Biological function summary

ME2 is an important regulator of cellular metabolism and part of the mitochondrial malate-aspartate shuttle. The enzyme helps facilitate the transfer of reducing equivalents across the mitochondrial membrane. ME2 does not function alone and might interact with other metabolite transporters in mitochondrial membranes contributing to the balance of metabolic intermediates and maintenance of cellular energy homeostasis.

Pathways

Malate metabolism and energy production involve ME2's role in the tricarboxylic acid cycle and glycolysis. The tricarboxylic acid cycle requires ME2 for effective conversion of nutrients into usable energy. ME2 links with other metabolic enzymes including citrate synthase for efficient energy flow. Additionally the enzyme's activity affects the synthesis of biosynthetic intermediates integrating nutrient signals with bioenergetic demands.

ME2 alterations can impact conditions like metabolic syndromes and neurodegenerative diseases. Research indicates ME2 changes might relate to diabetes where altered energy metabolism disrupts insulin signaling. ME2 also bears connection to Alzheimer's disease likely due to its involvement in mitochondrial dysfunction a characteristic of the disorder. Understanding these links can guide therapeutic strategies aimed at correcting metabolic disturbances.

Product protocols

For this product, it's our understanding that no specific protocols are required. You can visit:

Target data

NAD-dependent mitochondrial malic enzyme that catalyzes the oxidative decarboxylation of malate to pyruvate.
See full target information ME2

Publications (1)

Recent publications for all applications. Explore the full list and refine your search

Cellular & molecular biology letters 28:40 PubMed37189051

2023

Galectin-1 promotes angiogenesis and chondrogenesis during antler regeneration.

Applications

Unspecified application

Species

Unspecified reactive species

Xunsheng Li,Wanwan Shi,Guanning Wei,Jinpeng Lv,Datao Wang,Baorui Xing,Jue Zhou,Jianwei Zhao,Hongmei Sun
View all publications

Product promise

We are committed to supporting your work with high-quality reagents, and we're here for you every step of the way. In the unlikely event that one of our products does not perform as expected, you're protected by our Product Promise.
For full details, please see our Terms & Conditions

Please note: All products are 'FOR RESEARCH USE ONLY. NOT FOR USE IN DIAGNOSTIC OR THERAPEUTIC PROCEDURES'.

For licensing inquiries, please contact partnerships@abcam.com