JavaScript is disabled in your browser. Please enable JavaScript to view this website.
AB248127

Anti-ME2 antibody [EPR7218] - BSA and Azide free

Be the first to review this product! Submit a review

|

(0 Publication)

Rabbit Recombinant Monoclonal ME2 antibody. Carrier free. Suitable for IHC-P, ICC/IF, WB, Flow Cyt (Intra) and reacts with Human samples.

View Alternative Names

NAD-ME, Malic enzyme 2, ME2

7 Images
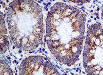
Immunohistochemistry (Formalin/PFA-fixed paraffin-embedded sections) - Anti-ME2 antibody [EPR7218] - BSA and Azide free (AB248127)
  • IHC-P

Unknown

Immunohistochemistry (Formalin/PFA-fixed paraffin-embedded sections) - Anti-ME2 antibody [EPR7218] - BSA and Azide free (AB248127)

This data was developed using ab126616, the same antibody clone in a different buffer formulation.

Immunohistochemistry (Formalin/PFA-fixed paraffin-embedded sections) analysis of human colon tissue sections labeling Me2 with Purified ab126616 at 1 : 1000 dilution (1.4 μg/ml). Heat mediated antigen retrieval was performed using ab93684 (Tris/EDTA buffer, pH 9.0). Tissue was counterstained with Hematoxylin. ImmunoHistoProbe one step HRP Polymer (ready to use) secondary antibody was used at 1 : 0 dilution. PBS instead of the primary antibody was used as the negative control.

Immunocytochemistry/ Immunofluorescence - Anti-ME2 antibody [EPR7218] - BSA and Azide free (AB248127)
  • ICC/IF

Unknown

Immunocytochemistry/ Immunofluorescence - Anti-ME2 antibody [EPR7218] - BSA and Azide free (AB248127)

This data was developed using ab126616, the same antibody clone in a different buffer formulation.

Unpurified ab126616, at 1/100 dilution, staining ME2 in HeLa cells by Immunofluorescence.

Flow Cytometry (Intracellular) - Anti-ME2 antibody [EPR7218] - BSA and Azide free (AB248127)
  • Flow Cyt (Intra)

Unknown

Flow Cytometry (Intracellular) - Anti-ME2 antibody [EPR7218] - BSA and Azide free (AB248127)

This data was developed using ab126616, the same antibody clone in a different buffer formulation.

Intracellular Flow Cytometry analysis of Jurkat (Human T cell leukemia T lymphocyte) cells labeling ME2 with purified ab126616 at 1/150 dilution (10 ug/ml) (red). Cells were fixed with 4% Paraformaldehyde and permeabilized with 90% Methanol. A Goat anti rabbit IgG (Alexa Fluor® 488) secondary antibody was used at 1/2000 dilution. Isotype control - Rabbit monoclonal IgG (Black). Unlabeled control - Cell without incubation with primary antibody and secondary antibody (Blue).

Western blot - Anti-ME2 antibody [EPR7218] - BSA and Azide free (AB248127)
  • WB

Unknown

Western blot - Anti-ME2 antibody [EPR7218] - BSA and Azide free (AB248127)

This data was developed using ab126616, the same antibody clone in a different buffer formulation.

All lanes:

Western blot - Anti-ME2 antibody [EPR7218] (<a href='/en-us/products/primary-antibodies/me2-antibody-epr7218-ab126616'>ab126616</a>) at 1/1000 dilution

Lane 1:

293T (Human embryonic kidney epithelial cell) cell lysate at 10 µg

Lane 2:

Jurkat cell lysate at 10 µg

Lane 3:

HeLa cell lysate at 10 µg

Lane 4:

K562 cell lysate at 10 µg

Lane 5:

MOLT4 cell lysate at 10 µg

Secondary

All lanes:

Goat Anti-rabbit HRP at 1/2000 dilution

Predicted band size: 65 kDa

false

Immunohistochemistry (Formalin/PFA-fixed paraffin-embedded sections) - Anti-ME2 antibody [EPR7218] - BSA and Azide free (AB248127)
  • IHC-P

Unknown

Immunohistochemistry (Formalin/PFA-fixed paraffin-embedded sections) - Anti-ME2 antibody [EPR7218] - BSA and Azide free (AB248127)

This data was developed using ab126616, the same antibody clone in a different buffer formulation.

Unpurified ab126616, at 1/50 dilution, staining ME2 in Formalin-fixed, Paraffin-embedded Human colon tissue by Immunohistochemistry.

Perform heat mediated antigen retrieval before commencing with IHC staining protocol.

Immunocytochemistry/ Immunofluorescence - Anti-ME2 antibody [EPR7218] - BSA and Azide free (AB248127)
  • ICC/IF

Unknown

Immunocytochemistry/ Immunofluorescence - Anti-ME2 antibody [EPR7218] - BSA and Azide free (AB248127)

This data was developed using ab126616, the same antibody clone in a different buffer formulation.

Immunocytochemistry/ Immunofluorescence analysis of HeLa (Human cervix adenocarcinoma epithelial cell) cells labeling ME2 with purified ab126616 at 1 : 150 dilution (9.1μg/ml). Cells were fixed in 100% Methanol. ab150077 Goat anti rabbit IgG(Alexa Fluor® 488) was used as the secondary antibody at 1 : 1000 dilution. DAPI nuclear counterstain. PBS instead of the primary antibody was used as the secondary antibody only control.

Western blot - Anti-ME2 antibody [EPR7218] - BSA and Azide free (AB248127)
  • WB

Lab

Western blot - Anti-ME2 antibody [EPR7218] - BSA and Azide free (AB248127)

This data was developed using ab126616, the same antibody clone in a different buffer formulation.

Blocking and dilution buffer : 5% NFDM/TBST.

All lanes:

Western blot - Anti-ME2 antibody [EPR7218] (<a href='/en-us/products/primary-antibodies/me2-antibody-epr7218-ab126616'>ab126616</a>) at 1/5000 dilution

Lane 1:

HeLa (Human cervix adenocarcinoma epithelial cell) whole cell lysates at 15 µg

Lane 2:

293T (Human embryonic kidney epithelial cell) whole cell lysates at 15 µg

Secondary

All lanes:

Western blot - Goat Anti-Rabbit IgG H&L (HRP) (<a href='/en-us/products/secondary-antibodies/goat-rabbit-igg-h-l-hrp-ab97051'>ab97051</a>) at 1/20000 dilution

Predicted band size: 65 kDa

false

Key facts

Host species

Rabbit

Clonality

Monoclonal

Clone number

EPR7218

Isotype

IgG

Carrier free

Yes

Reacts with

Human

Applications

Flow Cyt (Intra), WB, ICC/IF, IHC-P

applications

Immunogen

The exact immunogen used to generate this antibody is proprietary information.

Reactivity data

{ "title": "Reactivity Data", "filters": { "stats": ["", "Species", "Dilution Info", "Notes"], "tabs": { "all-applications": {"fullname" : "All Applications", "shortname": "All Applications"}, "IHCP" : {"fullname" : "Immunohistochemistry (Formalin/PFA-fixed paraffin-embedded sections)", "shortname":"IHC-P"}, "ICCIF" : {"fullname" : "Immunocytochemistry/ Immunofluorescence", "shortname":"ICC/IF"}, "WB" : {"fullname" : "Western blot", "shortname":"WB"}, "FlowCytIntra" : {"fullname" : "Flow Cytometry (Intracellular)", "shortname":"Flow Cyt (Intra)"} }, "product-promise": { "all": "all", "testedAndGuaranteed": "tested", "guaranteed": "expected", "predicted": "predicted", "notRecommended": "not-recommended" } }, "values": { "Human": { "IHCP-species-checked": "testedAndGuaranteed", "IHCP-species-dilution-info": "", "IHCP-species-notes": "<p></p> Perform heat-mediated antigen retrieval before commencing with IHC staining protocol.", "ICCIF-species-checked": "testedAndGuaranteed", "ICCIF-species-dilution-info": "", "ICCIF-species-notes": "<p></p>", "WB-species-checked": "testedAndGuaranteed", "WB-species-dilution-info": "", "WB-species-notes": "<p></p>", "FlowCytIntra-species-checked": "testedAndGuaranteed", "FlowCytIntra-species-dilution-info": "", "FlowCytIntra-species-notes": "<p></p>" }, "Rat": { "IHCP-species-checked": "notRecommended", "IHCP-species-dilution-info": "", "IHCP-species-notes": "<p></p> Perform heat-mediated antigen retrieval before commencing with IHC staining protocol.", "ICCIF-species-checked": "notRecommended", "ICCIF-species-dilution-info": "", "ICCIF-species-notes": "<p></p>", "WB-species-checked": "notRecommended", "WB-species-dilution-info": "", "WB-species-notes": "<p></p>", "FlowCytIntra-species-checked": "notRecommended", "FlowCytIntra-species-dilution-info": "", "FlowCytIntra-species-notes": "<p></p>" } } }

Product details

ab248127 is the carrier-free version of ab126616.

Species reactivity
Mouse: We have preliminary internal testing data to indicate this antibody may not react with this species.
Please contact us for more information.

Patented technology
Our RabMAb® technology is a patented hybridoma-based technology for making rabbit monoclonal antibodies. For details on our patents, please refer to RabMAb® patents.

What are the advantages of a recombinant monoclonal antibody?
This product is a recombinant monoclonal antibody, which offers several advantages including:

  • - High batch-to-batch consistency and reproducibility
  • - Improved sensitivity and specificity
  • - Long-term security of supply
  • - Animal-free batch production

For more information, read more on recombinant antibodies.

Conjugation ready
Our carrier-free antibodies are typically supplied in a PBS-only formulation, purified and free of BSA, sodium azide and glycerol. This conjugation-ready format is designed for use with fluorochromes, metal isotopes, oligonucleotides, and enzymes, which makes them ideal for antibody labelling, functional and cell-based assays, flow-based assays (e.g. mass cytometry) and Multiplex Imaging applications.

Use our conjugation kits for antibody conjugates that are ready-to-use in as little as 20 minutes with 1 minute hands-on-time and 100% antibody recovery: available for fluorescent dyes, HRP, biotin and gold.

Compatibility
This product is compatible with the Maxpar® Antibody Labeling Kit from Fluidigm, without the need for antibody preparation. Maxpar® is a trademark of Fluidigm Canada Inc.

Properties and storage information

Form
Liquid
Purification technique
Affinity purification Protein A
Storage buffer
pH: 7.2 - 7.4 Constituents: PBS
Shipped at conditions
Blue Ice
Appropriate short-term storage conditions
+4°C
Appropriate long-term storage conditions
+4°C
Storage information
Do Not Freeze

Supplementary information

This supplementary information is collated from multiple sources and compiled automatically.

The protein ME2 also known as mitochondrial malic enzyme 2 is a mitochondrial enzyme with a molecular mass of approximately 65 kDa. It catalyzes the oxidative decarboxylation of malate to pyruvate in the tricarboxylic acid cycle converting NAD+ to NADH. ME2 is primarily expressed in tissues with high metabolic activity such as liver and muscle. The enzyme plays a role in energy production and is found across various species reflecting its evolutionary conservation.
Biological function summary

ME2 is an important regulator of cellular metabolism and part of the mitochondrial malate-aspartate shuttle. The enzyme helps facilitate the transfer of reducing equivalents across the mitochondrial membrane. ME2 does not function alone and might interact with other metabolite transporters in mitochondrial membranes contributing to the balance of metabolic intermediates and maintenance of cellular energy homeostasis.

Pathways

Malate metabolism and energy production involve ME2's role in the tricarboxylic acid cycle and glycolysis. The tricarboxylic acid cycle requires ME2 for effective conversion of nutrients into usable energy. ME2 links with other metabolic enzymes including citrate synthase for efficient energy flow. Additionally the enzyme's activity affects the synthesis of biosynthetic intermediates integrating nutrient signals with bioenergetic demands.

ME2 alterations can impact conditions like metabolic syndromes and neurodegenerative diseases. Research indicates ME2 changes might relate to diabetes where altered energy metabolism disrupts insulin signaling. ME2 also bears connection to Alzheimer's disease likely due to its involvement in mitochondrial dysfunction a characteristic of the disorder. Understanding these links can guide therapeutic strategies aimed at correcting metabolic disturbances.

Product protocols

For this product, it's our understanding that no specific protocols are required. You can visit:

Target data

NAD-dependent mitochondrial malic enzyme that catalyzes the oxidative decarboxylation of malate to pyruvate.
See full target information ME2

Product promise

We are committed to supporting your work with high-quality reagents, and we're here for you every step of the way. In the unlikely event that one of our products does not perform as expected, you're protected by our Product Promise.
For full details, please see our Terms & Conditions

Please note: All products are 'FOR RESEARCH USE ONLY. NOT FOR USE IN DIAGNOSTIC OR THERAPEUTIC PROCEDURES'.

For licensing inquiries, please contact partnerships@abcam.com