JavaScript is disabled in your browser. Please enable JavaScript to view this website.
AB172972

Anti-ME3 antibody [EPR10378]

4

(1 Review)

|

(12 Publications)

Rabbit Recombinant Monoclonal ME3 antibody. Suitable for WB, IHC-P and reacts with Mouse, Rat, Human samples. Cited in 12 publications.

View Alternative Names

NADP-ME, Malic enzyme 3, ME3

5 Images
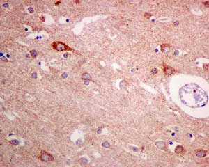
Immunohistochemistry (Formalin/PFA-fixed paraffin-embedded sections) - Anti-ME3 antibody [EPR10378] (AB172972)
  • IHC-P

Supplier Data

Immunohistochemistry (Formalin/PFA-fixed paraffin-embedded sections) - Anti-ME3 antibody [EPR10378] (AB172972)

Immunohistochemical analysis of paraffin-embedded Human brain tissue labeling ME3 with unpurified ab172972 at 1/50 dilution.

Immunohistochemistry (Formalin/PFA-fixed paraffin-embedded sections) - Anti-ME3 antibody [EPR10378] (AB172972)
  • IHC-P

Unknown

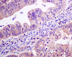
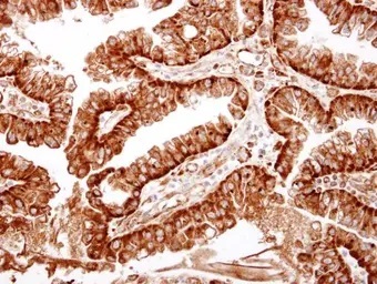
Immunohistochemistry (Formalin/PFA-fixed paraffin-embedded sections) - Anti-ME3 antibody [EPR10378] (AB172972)

Immunohistochemistry (Formalin/PFA-fixed paraffin-embedded sections) analysis of human colon tissue sections labeling ME3 with Purified ab172972 at 1 : 200 dilution. Heat mediated antigen retrieval was performed using ab93684 (Tris/EDTA buffer, pH 9.0). Tissue was counterstained with Hematoxylin. ImmunoHistoProbe one step HRP Polymer (ready to use) secondary antibody was used at 1 : 0 dilution. PBS instead of the primary antibody was used as the negative control.

Immunohistochemistry (Formalin/PFA-fixed paraffin-embedded sections) - Anti-ME3 antibody [EPR10378] (AB172972)
  • IHC-P

Supplier Data

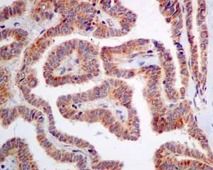
Immunohistochemistry (Formalin/PFA-fixed paraffin-embedded sections) - Anti-ME3 antibody [EPR10378] (AB172972)

Immunohistochemical analysis of paraffin-embedded Human thyroid gland carcinoma tissue labeling ME3 with unpurified ab172972 at 1/50 dilution.

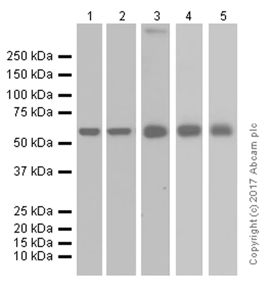
Western blot - Anti-ME3 antibody [EPR10378] (AB172972)
  • WB

Lab

Western blot - Anti-ME3 antibody [EPR10378] (AB172972)

Blocking and diluting buffer : 5% NFDM/TBST.

All lanes:

Western blot - Anti-ME3 antibody [EPR10378] (ab172972) at 1/5000 dilution

Lane 1:

Human fetal kidney lysates at 20 µg

Lane 2:

Mouse heart lysates at 20 µg

Lane 3:

Rat heart lysates at 20 µg

Lane 4:

Mouse brain lysates at 20 µg

Lane 5:

Rat brain lysates at 20 µg

Secondary

All lanes:

Goat Anti-Rabbit IgG (HRP) with minimal cross-reactivity with human IgG at 1/2000 dilution

Predicted band size: 67 kDa

Observed band size: 67 kDa

false

Western blot - Anti-ME3 antibody [EPR10378] (AB172972)
  • WB

Supplier Data

Western blot - Anti-ME3 antibody [EPR10378] (AB172972)

All lanes:

Western blot - Anti-ME3 antibody [EPR10378] (ab172972) at 1/1000 dilution

Lane 1:

Fetal brain lysate at 10 µg

Lane 2:

Fetal kidney lysate at 10 µg

Lane 3:

Fetal heart lysate at 10 µg

Lane 4:

HeLa cell lysate at 10 µg

Predicted band size: 67 kDa

false

  • Carrier free

    Anti-ME3 antibody [EPR10378] - BSA and Azide free

Key facts

Host species

Rabbit

Clonality

Monoclonal

Clone number

EPR10378

Isotype

IgG

Carrier free

No

Reacts with

Mouse, Rat, Human

Applications

WB, IHC-P

applications

Immunogen

The exact immunogen used to generate this antibody is proprietary information.

Specificity

The mouse and rat recommendation is based on the WB results. We do not guarantee IHC-P for mouse and rat.

Reactivity data

{ "title": "Reactivity Data", "filters": { "stats": ["", "Species", "Dilution Info", "Notes"], "tabs": { "all-applications": {"fullname" : "All Applications", "shortname": "All Applications"}, "WB" : {"fullname" : "Western blot", "shortname":"WB"}, "IHCP" : {"fullname" : "Immunohistochemistry (Formalin/PFA-fixed paraffin-embedded sections)", "shortname":"IHC-P"} }, "product-promise": { "all": "all", "testedAndGuaranteed": "tested", "guaranteed": "expected", "predicted": "predicted", "notRecommended": "not-recommended" } }, "values": { "Human": { "WB-species-checked": "testedAndGuaranteed", "WB-species-dilution-info": "1/1000 - 1/10000", "WB-species-notes": "<p></p>", "IHCP-species-checked": "testedAndGuaranteed", "IHCP-species-dilution-info": "1/200", "IHCP-species-notes": "<p>The mouse and rat recommendation is based on the WB results. We do not guarantee IHC-P for mouse and rat.</p><p><strong>For unpurified use at 1/50 - 1/100. </strong></p> Perform heat-mediated antigen retrieval with Tris/EDTA buffer pH 9.0 before commencing with IHC staining protocol." }, "Mouse": { "WB-species-checked": "testedAndGuaranteed", "WB-species-dilution-info": "1/1000 - 1/10000", "WB-species-notes": "<p></p> Perform heat-mediated antigen retrieval with Tris/EDTA buffer pH 9.0 before commencing with IHC staining protocol.", "IHCP-species-checked": "guaranteed", "IHCP-species-dilution-info": "", "IHCP-species-notes": "" }, "Rat": { "WB-species-checked": "testedAndGuaranteed", "WB-species-dilution-info": "1/1000 - 1/10000", "WB-species-notes": "<p></p>", "IHCP-species-checked": "guaranteed", "IHCP-species-dilution-info": "", "IHCP-species-notes": "" } } }

Product details

Patented technology
Our RabMAb® technology is a patented hybridoma-based technology for making rabbit monoclonal antibodies. For details on our patents, please refer to RabMAb® patents.

What are the advantages of a recombinant monoclonal antibody?
This product is a recombinant monoclonal antibody, which offers several advantages including:

  • - High batch-to-batch consistency and reproducibility
  • - Improved sensitivity and specificity
  • - Long-term security of supply
  • - Animal-free batch production

For more information, read more on recombinant antibodies.

Properties and storage information

Form
Liquid
Purification technique
Affinity purification Protein A
Storage buffer
Preservative: 0.01% Sodium azide Constituents: 59% PBS, 40% Glycerol (glycerin, glycerine), 0.05% BSA
Shipped at conditions
Blue Ice
Appropriate short-term storage duration
1-2 weeks
Appropriate short-term storage conditions
+4°C
Appropriate long-term storage conditions
-20°C
Aliquoting information
Upon delivery aliquot
Storage information
Avoid freeze / thaw cycle

Supplementary information

This supplementary information is collated from multiple sources and compiled automatically.

ME3 also known as malic enzyme 3 or mitochondrial NADP+-dependent malic enzyme plays an important role in cellular metabolism. It catalyzes the oxidative decarboxylation of malate to pyruvate generating NADPH in the process. The protein has a molecular mass of approximately 65 kDa. ME3 is mainly expressed in tissues with high metabolic demands such as the liver and adipose tissue where it supports various biosynthetic pathways.
Biological function summary

ME3 influences cellular redox balance via its production of NADPH an important reducing agent. It is not part of a larger protein complex but serves an essential function on its own. ME3 contributes to lipid biosynthesis by supplying NADPH for fatty acid elongation and cholesterol synthesis which supports cell growth and proliferation. Its activity impacts overall metabolic homeostasis.

Pathways

ME3 has a significant role in the tricarboxylic acid (TCA) cycle and lipid metabolism. It interfaces with the TCA cycle by providing a critical link between carbohydrate and lipid metabolism through pyruvate production. ME3 interacts with other metabolic enzymes like citrate synthase emphasizing its integrating function in energy production and storage pathways.

ME3's dysregulation associates with metabolic conditions such as obesity and non-alcoholic fatty liver disease (NAFLD). Altered ME3 activity can impact fatty acid metabolism and contribute to lipid accumulation in liver cells. It also interacts with proteins like acetyl-CoA carboxylase involved in fatty acid biosynthesis highlighting its potential role in disease progression. Understanding ME3's function offers insights into the etiology of these metabolic disorders and opportunities for therapeutic intervention.

Product protocols

For this product, it's our understanding that no specific protocols are required. You can visit:

Target data

Catalyzes the oxidative decarboxylation of (S)-malate to pyruvate using NADP(+) as a cofactor (PubMed : 7818469). Can also reverse the decarboxylation reaction, but only with significantly lower efficiency (PubMed : 7818469).
See full target information ME3

Publications (12)

Recent publications for all applications. Explore the full list and refine your search

Biochimica et biophysica acta. Bioenergetics 1864:148930 PubMed36272463

2022

Metabolic clearance of oxaloacetate and mitochondrial complex II respiration: Divergent control in skeletal muscle and brown adipose tissue.

Applications

Unspecified application

Species

Unspecified reactive species

Liping Yu,Brian D Fink,Ritu Som,Adam J Rauckhorst,Eric B Taylor,William I Sivitz

Nature cardiovascular research 1:817-829 PubMed36776621

2022

Integrated landscape of cardiac metabolism in end-stage human nonischemic dilated cardiomyopathy.

Applications

Unspecified application

Species

Unspecified reactive species

Emily Flam,Cholsoon Jang,Danielle Murashige,Yifan Yang,Michael P Morley,Sunhee Jung,Daniel S Kantner,Hannah Pepper,Kenneth C Bedi,Jeff Brandimarto,Benjamin L Prosser,Thomas Cappola,Nathaniel W Snyder,Joshua D Rabinowitz,Kenneth B Margulies,Zolt Arany

Molecular cell 82:435-446.e7 PubMed34847359

2021

Global mitochondrial protein import proteomics reveal distinct regulation by translation and translocation machinery.

Applications

Unspecified application

Species

Unspecified reactive species

Jasmin Adriana Schäfer,Süleyman Bozkurt,Jonas Benjamin Michaelis,Kevin Klann,Christian Münch

Cells 10: PubMed34199502

2021

Reduced mGluR5 Activity Modulates Mitochondrial Function.

Applications

Unspecified application

Species

Unspecified reactive species

Miguel A Gonzalez-Lozano,Joke Wortel,Rolinka J van der Loo,Jan R T van Weering,August B Smit,Ka Wan Li

Cell metabolism 33:1027-1041.e8 PubMed33770508

2021

Malic enzyme 2 connects the Krebs cycle intermediate fumarate to mitochondrial biogenesis.

Applications

Unspecified application

Species

Unspecified reactive species

Yi-Ping Wang,Azeem Sharda,Shuang-Nian Xu,Nick van Gastel,Cheuk Him Man,Una Choi,Wei Zhong Leong,Xi Li,David T Scadden

Cancers 13: PubMed33375130

2020

Metabolic Reprogramming by Malat1 Depletion in Prostate Cancer.

Applications

Unspecified application

Species

Unspecified reactive species

Simona Nanni,Aurora Aiello,Chiara Salis,Agnese Re,Chiara Cencioni,Lorenza Bacci,Francesco Pierconti,Francesco Pinto,Cristian Ripoli,Paola Ostano,Silvia Baroni,Giacomo Lazzarino,Barbara Tavazzi,Dario Pugliese,PierFrancesco Bassi,Claudio Grassi,Simona Panunzi,Giovanna Chiorino,Alfredo Pontecorvi,Carlo Gaetano,Antonella Farsetti

Neoplasma 66:896-907 PubMed31607129

2019

Effects of ME3 on the proliferation, invasion and metastasis of pancreatic cancer cells through epithelial-mesenchymal transition.

Applications

Unspecified application

Species

Unspecified reactive species

Q Zhang,J Li,X P Tan,Q Zhao

iScience 13:229-242 PubMed30870781

2019

Loss of RNA-Binding Protein Sfpq Causes Long-Gene Transcriptopathy in Skeletal Muscle and Severe Muscle Mass Reduction with Metabolic Myopathy.

Applications

Unspecified application

Species

Unspecified reactive species

Motoyasu Hosokawa,Akihide Takeuchi,Jun Tanihata,Kei Iida,Shin'ichi Takeda,Masatoshi Hagiwara

Cancer research 78:1972-1985 PubMed29654155

2018

ME1 Regulates NADPH Homeostasis to Promote Gastric Cancer Growth and Metastasis.

Applications

Unspecified application

Species

Unspecified reactive species

Yun-Xin Lu,Huai-Qiang Ju,Ze-Xian Liu,Dong-Liang Chen,Yun Wang,Qi Zhao,Qi-Nian Wu,Zhao-Lei Zeng,Hai-Bo Qiu,Pei-Shan Hu,Zhi-Qiang Wang,Dong-Sheng Zhang,Feng Wang,Rui-Hua Xu

Nature 542:119-123 PubMed28099419

2017

Genomic deletion of malic enzyme 2 confers collateral lethality in pancreatic cancer.

Applications

WB

Species

Human

Prasenjit Dey,Joelle Baddour,Florian Muller,Chia Chin Wu,Huamin Wang,Wen-Ting Liao,Zangdao Lan,Alina Chen,Tony Gutschner,Yaan Kang,Jason Fleming,Nikunj Satani,Di Zhao,Abhinav Achreja,Lifeng Yang,Jiyoon Lee,Edward Chang,Giannicola Genovese,Andrea Viale,Haoqiang Ying,Giulio Draetta,Anirban Maitra,Y Alan Wang,Deepak Nagrath,Ronald A DePinho
View all publications

Product promise

We are committed to supporting your work with high-quality reagents, and we're here for you every step of the way. In the unlikely event that one of our products does not perform as expected, you're protected by our Product Promise.
For full details, please see our Terms & Conditions

Please note: All products are 'FOR RESEARCH USE ONLY. NOT FOR USE IN DIAGNOSTIC OR THERAPEUTIC PROCEDURES'.

For licensing inquiries, please contact partnerships@abcam.com