JavaScript is disabled in your browser. Please enable JavaScript to view this website.
AB232459

Anti-ME3 antibody [EPR10378] - BSA and Azide free

Be the first to review this product! Submit a review

|

(1 Publication)

Rabbit Recombinant Monoclonal ME3 antibody. Carrier free. Suitable for WB, IHC-P and reacts with Mouse, Rat, Human samples. Cited in 1 publication.

View Alternative Names

NADP-ME, Malic enzyme 3, ME3

3 Images
Immunohistochemistry (Formalin/PFA-fixed paraffin-embedded sections) - Anti-ME3 antibody [EPR10378] - BSA and Azide free (AB232459)
  • IHC-P

Supplier Data

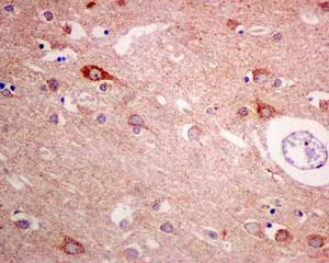
Immunohistochemistry (Formalin/PFA-fixed paraffin-embedded sections) - Anti-ME3 antibody [EPR10378] - BSA and Azide free (AB232459)

Immunohistochemical analysis of paraffin-embedded Human brain tissue labeling ME3 with unpurified ab172972 at 1/50 dilution.

This data was developed using the same antibody clone in a different buffer formulation containing PBS, BSA, glycerol, and sodium azide (ab172972).

Immunohistochemistry (Formalin/PFA-fixed paraffin-embedded sections) - Anti-ME3 antibody [EPR10378] - BSA and Azide free (AB232459)
  • IHC-P

Unknown

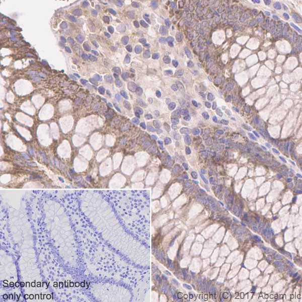
Immunohistochemistry (Formalin/PFA-fixed paraffin-embedded sections) - Anti-ME3 antibody [EPR10378] - BSA and Azide free (AB232459)

Immunohistochemistry (Formalin/PFA-fixed paraffin-embedded sections) analysis of human colon tissue sections labeling ME3 with Purified ab172972 at 1 : 200 dilution. Heat mediated antigen retrieval was performed using ab93684 (Tris/EDTA buffer, pH 9.0). Tissue was counterstained with Hematoxylin. ImmunoHistoProbe one step HRP Polymer (ready to use) secondary antibody was used undiluted. PBS instead of the primary antibody was used as the negative control.

This data was developed using the same antibody clone in a different buffer formulation containing PBS, BSA, glycerol, and sodium azide (ab172972).

Immunohistochemistry (Formalin/PFA-fixed paraffin-embedded sections) - Anti-ME3 antibody [EPR10378] - BSA and Azide free (AB232459)
  • IHC-P

Supplier Data

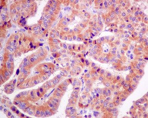
Immunohistochemistry (Formalin/PFA-fixed paraffin-embedded sections) - Anti-ME3 antibody [EPR10378] - BSA and Azide free (AB232459)

Immunohistochemical analysis of paraffin-embedded Human thyroid gland carcinoma tissue labeling ME3 with unpurified ab172972 at 1/50 dilution.

This data was developed using the same antibody clone in a different buffer formulation containing PBS, BSA, glycerol, and sodium azide (ab172972).

Key facts

Host species

Rabbit

Clonality

Monoclonal

Clone number

EPR10378

Isotype

IgG

Carrier free

Yes

Reacts with

Mouse, Rat, Human

Applications

IHC-P, WB

applications

Immunogen

The exact immunogen used to generate this antibody is proprietary information.

Specificity

The mouse and rat recommendation is based on the WB results. We do not guarantee IHC-P for mouse and rat.

Reactivity data

{ "title": "Reactivity Data", "filters": { "stats": ["", "Species", "Dilution Info", "Notes"], "tabs": { "all-applications": {"fullname" : "All Applications", "shortname": "All Applications"}, "WB" : {"fullname" : "Western blot", "shortname":"WB"}, "IHCP" : {"fullname" : "Immunohistochemistry (Formalin/PFA-fixed paraffin-embedded sections)", "shortname":"IHC-P"} }, "product-promise": { "all": "all", "testedAndGuaranteed": "tested", "guaranteed": "expected", "predicted": "predicted", "notRecommended": "not-recommended" } }, "values": { "Human": { "WB-species-checked": "guaranteed", "WB-species-dilution-info": "", "WB-species-notes": "<p></p>", "IHCP-species-checked": "testedAndGuaranteed", "IHCP-species-dilution-info": "", "IHCP-species-notes": "<p>We do not guarantee IHC-P for mouse and rat.</p>" }, "Mouse": { "WB-species-checked": "guaranteed", "WB-species-dilution-info": "", "WB-species-notes": "<p></p>", "IHCP-species-checked": "predicted", "IHCP-species-dilution-info": "", "IHCP-species-notes": "" }, "Rat": { "WB-species-checked": "guaranteed", "WB-species-dilution-info": "", "WB-species-notes": "<p></p>", "IHCP-species-checked": "predicted", "IHCP-species-dilution-info": "", "IHCP-species-notes": "" } } }

Product details

ab232459 is the carrier-free version of ab172972.

Patented technology
Our RabMAb® technology is a patented hybridoma-based technology for making rabbit monoclonal antibodies. For details on our patents, please refer to RabMAb® patents.

What are the advantages of a recombinant monoclonal antibody?
This product is a recombinant monoclonal antibody, which offers several advantages including:

  • - High batch-to-batch consistency and reproducibility
  • - Improved sensitivity and specificity
  • - Long-term security of supply
  • - Animal-free batch production

For more information, read more on recombinant antibodies.

Conjugation ready
Our carrier-free antibodies are typically supplied in a PBS-only formulation, purified and free of BSA, sodium azide and glycerol. This conjugation-ready format is designed for use with fluorochromes, metal isotopes, oligonucleotides, and enzymes, which makes them ideal for antibody labelling, functional and cell-based assays, flow-based assays (e.g. mass cytometry) and Multiplex Imaging applications.

Use our conjugation kits for antibody conjugates that are ready-to-use in as little as 20 minutes with 1 minute hands-on-time and 100% antibody recovery: available for fluorescent dyes, HRP, biotin and gold.

Compatibility
This product is compatible with the Maxpar® Antibody Labeling Kit from Fluidigm, without the need for antibody preparation. Maxpar® is a trademark of Fluidigm Canada Inc.

Properties and storage information

Form
Liquid
Purification technique
Affinity purification Protein A
Storage buffer
pH: 7.2 - 7.4 Constituents: PBS
Shipped at conditions
Blue Ice
Appropriate short-term storage conditions
+4°C
Appropriate long-term storage conditions
+4°C
Storage information
Do Not Freeze

Supplementary information

This supplementary information is collated from multiple sources and compiled automatically.

ME3 also known as malic enzyme 3 or mitochondrial NADP+-dependent malic enzyme plays an important role in cellular metabolism. It catalyzes the oxidative decarboxylation of malate to pyruvate generating NADPH in the process. The protein has a molecular mass of approximately 65 kDa. ME3 is mainly expressed in tissues with high metabolic demands such as the liver and adipose tissue where it supports various biosynthetic pathways.
Biological function summary

ME3 influences cellular redox balance via its production of NADPH an important reducing agent. It is not part of a larger protein complex but serves an essential function on its own. ME3 contributes to lipid biosynthesis by supplying NADPH for fatty acid elongation and cholesterol synthesis which supports cell growth and proliferation. Its activity impacts overall metabolic homeostasis.

Pathways

ME3 has a significant role in the tricarboxylic acid (TCA) cycle and lipid metabolism. It interfaces with the TCA cycle by providing a critical link between carbohydrate and lipid metabolism through pyruvate production. ME3 interacts with other metabolic enzymes like citrate synthase emphasizing its integrating function in energy production and storage pathways.

ME3's dysregulation associates with metabolic conditions such as obesity and non-alcoholic fatty liver disease (NAFLD). Altered ME3 activity can impact fatty acid metabolism and contribute to lipid accumulation in liver cells. It also interacts with proteins like acetyl-CoA carboxylase involved in fatty acid biosynthesis highlighting its potential role in disease progression. Understanding ME3's function offers insights into the etiology of these metabolic disorders and opportunities for therapeutic intervention.

Product protocols

For this product, it's our understanding that no specific protocols are required. You can visit:

Target data

Catalyzes the oxidative decarboxylation of (S)-malate to pyruvate using NADP(+) as a cofactor (PubMed : 7818469). Can also reverse the decarboxylation reaction, but only with significantly lower efficiency (PubMed : 7818469).
See full target information ME3

Publications (1)

Recent publications for all applications. Explore the full list and refine your search

Stem cell research & therapy 15:148 PubMed38778426

2024

TBX3 transfection and nodal signal pathway inhibition promote differentiation of adipose mesenchymal stem cell to cardiac pacemaker-like cells.

Applications

Unspecified application

Species

Unspecified reactive species

Faris Basalamah,Ismail Hadisoebroto Dilogo,Sunu Budhi Raharjo,Muchtaruddin Mansyur,Nuryati Chairani Siregar,Nurhadi Ibrahim,Budi Yuli Setianto,Yoga Yuniadi
View all publications

Product promise

We are committed to supporting your work with high-quality reagents, and we're here for you every step of the way. In the unlikely event that one of our products does not perform as expected, you're protected by our Product Promise.
For full details, please see our Terms & Conditions

Please note: All products are 'FOR RESEARCH USE ONLY. NOT FOR USE IN DIAGNOSTIC OR THERAPEUTIC PROCEDURES'.

For licensing inquiries, please contact partnerships@abcam.com