JavaScript is disabled in your browser. Please enable JavaScript to view this website.
AB273059

Anti-MeCP2 antibody [EPR23201-3] - BSA and Azide free

  • BOND RX™ Validated
  • KO Validated
  • RabMAb
  • Recombinant
  • What is this?

Be the first to review this product! Submit a review

|

(0 Publication)

Rabbit Recombinant Monoclonal MECP2 antibody. Carrier free. Suitable for IHC-P, WB, ICC/IF, Flow Cyt (Intra), IP and reacts with Rat, Mouse, Human samples.

View Alternative Names

Methyl-CpG-binding protein 2, MeCp-2 protein, MeCp2, MECP2

14 Images
Immunohistochemistry (Formalin/PFA-fixed paraffin-embedded sections) - Anti-MeCP2 antibody [EPR23201-3] - BSA and Azide free (AB273059)
  • IHC-P

Unknown

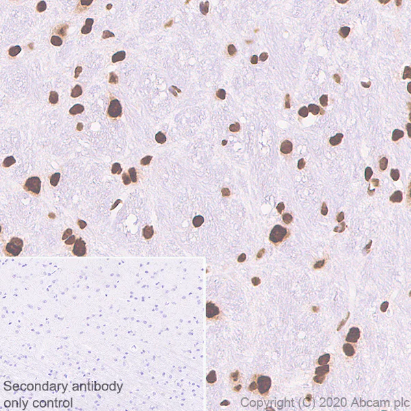
Immunohistochemistry (Formalin/PFA-fixed paraffin-embedded sections) - Anti-MeCP2 antibody [EPR23201-3] - BSA and Azide free (AB273059)

Immunohistochemical analysis of paraffin-embedded Human astrocytoma tissue labeling MeCP2 with ab253197 at 1/4000 dilution (0.158 ug/ml) dilution followed by a ready to use Rabbit specific IHC polymer detection kit HRP/DAB (ab209101). Nuclear staining on human astrocytoma (PMID : 11809720). The section was incubated with ab253197 for 10 mins at room temperature.The immunostaining was performed on a Leica Biosystems BOND® RX instrument. Counterstained with Hematoxylin.

Secondary antibody only control : Secondary antibody is a ready to use Rabbit specific IHC polymer detection kit HRP/DAB (ab209101).

Heat mediated antigen retrieval with Citrate buffer (pH 6.0, epitope retrieval solution 1) for 20 mins

This data was developed using the same antibody clone in a different buffer formulation containing PBS, BSA, glycerol, and sodium azide (ab253197).

Immunocytochemistry/ Immunofluorescence - Anti-MeCP2 antibody [EPR23201-3] - BSA and Azide free (AB273059)
  • ICC/IF

Unknown

Immunocytochemistry/ Immunofluorescence - Anti-MeCP2 antibody [EPR23201-3] - BSA and Azide free (AB273059)

Immunofluorescent analysis of 4% Paraformaldehyde-fixed, 0.1% TritonX-100 permeabilized SH-SY5Y cells labelling MeCP2 with ab253197 at 1/500 dilution, followed by ab150077 Goat Anti-Rabbit IgG H&L (Alexa Fluor® 488) antibody at 1/1000 2 ug/ml dilution (Green). Confocal image showing nuclear staining in SH-SY5Y cells. ab195889 Anti-alpha Tubulin antibody [DM1A] - Microtubule Marker (Alexa Fluor® 594) was used to counterstain tubulin at 1/200 2.5 dilution (Red). The Nuclear counterstain was DAPI (Blue). Secondary antibody only control : Secondary antibody is ab150077 Goat Anti-Rabbit IgG H&L (Alexa Fluor® 488) at 1000 2 ug/ml dilution.

This data was developed using the same antibody clone in a different buffer formulation containing PBS, BSA, glycerol, and sodium azide (ab253197).

Flow Cytometry (Intracellular) - Anti-MeCP2 antibody [EPR23201-3] - BSA and Azide free (AB273059)
  • Flow Cyt (Intra)

Unknown

Flow Cytometry (Intracellular) - Anti-MeCP2 antibody [EPR23201-3] - BSA and Azide free (AB273059)

Intracellular flow cytometric analysis of 4% paraformaldehyde fixed 90% methanol permeabilized SH-SY5Y (Human neuroblastoma epithelial cell) cells labelling MeCP2 with ab253197 at 1/600 dilution (0.1ug) (Red) compared with a Rabbit monoclonal IgG (ab172730) (Black) isotype control and an unlabelled control (cells without incubation with primary antibody and secondary antibody) (Blue). A Goat anti rabbit IgG (Alexa Fluor® 488, ab150077) at 1/2000 dilution was used as the secondary antibody. This data was developed using the same antibody clone in a different buffer formulation containing PBS, BSA, glycerol, and sodium azide (ab253197).

Immunohistochemistry (Formalin/PFA-fixed paraffin-embedded sections) - Anti-MeCP2 antibody [EPR23201-3] - BSA and Azide free (AB273059)
  • IHC-P

Unknown

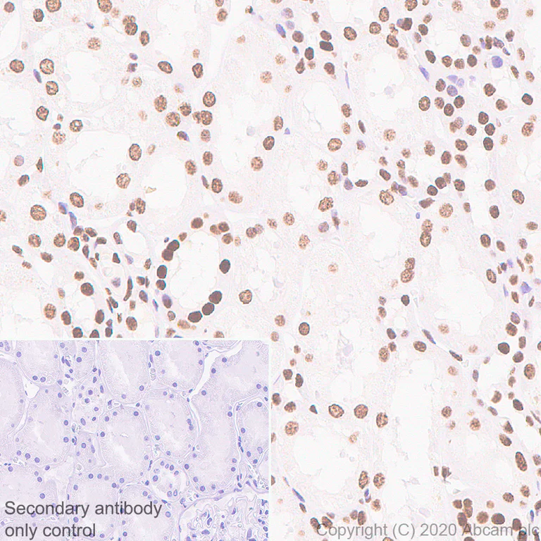
Immunohistochemistry (Formalin/PFA-fixed paraffin-embedded sections) - Anti-MeCP2 antibody [EPR23201-3] - BSA and Azide free (AB273059)

Immunohistochemical analysis of paraffin-embedded Human kidney tissue labeling MeCP2 with ab253197 at 1/4000 dilution (0.158 ug/ml) dilution followed by a ready to use Rabbit specific IHC polymer detection kit HRP/DAB (ab209101). Nuclear staining on human kidney (PMID : 11809720). The section was incubated with ab253197 for 10 mins at room temperature.The immunostaining was performed on a Leica Biosystems BOND® RX instrument. Counterstained with Hematoxylin.

Secondary antibody only control : Secondary antibody is a ready to use Rabbit specific IHC polymer detection kit HRP/DAB (ab209101).

Heat mediated antigen retrieval with Citrate buffer (pH 6.0, epitope retrieval solution 1) for 20 mins

This data was developed using the same antibody clone in a different buffer formulation containing PBS, BSA, glycerol, and sodium azide (ab253197).

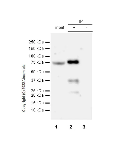
Immunoprecipitation - Anti-MeCP2 antibody [EPR23201-3] - BSA and Azide free (AB273059)
  • IP

Supplier Data

Immunoprecipitation - Anti-MeCP2 antibody [EPR23201-3] - BSA and Azide free (AB273059)

This data was developed using the same antibody clone in a different buffer formulation containing PBS, BSA, glycerol, and sodium azide (ab253197). MeCP2 was immunoprecipitated from 0.35 mg of 293T (human embryonic kidney epithelial cell), whole cell lysate with ab253197 at 1/30 dilution. Western blot was performed from the immunoprecipitate using ab253197 at 1/1000 dilution. VeriBlot for IP Detection Reagent (HRP) (ab131366), was used for detection at 1/5000 dilution. Lane 1 : 293T (human embryonic kidney epithelial cell), whole cell lysate 10 μg (Input). Lane 2 : ab253197 IP in 293T whole cell lysate Lane 3 : Rabbit monoclonal IgG (ab172730) instead of ab253197 in 293T whole cell lysate Blocking and dilution buffer and concentration : 5% NFDM/TBST. Exposure time : 58 seconds.

All lanes:

Immunoprecipitation - Anti-MeCP2 antibody [EPR23201-3] (<a href='/en-us/products/primary-antibodies/mecp2-antibody-epr23201-3-ab253197'>ab253197</a>) at 1/1000 dilution

All lanes:

293T (human embryonic kidney epithelial cell), whole cell lysate

Secondary

All lanes:

Immunoprecipitation - VeriBlot for IP Detection Reagent (HRP) (<a href='/en-us/products/reagents/veriblot-for-ip-detection-reagent-hrp-ab131366'>ab131366</a>) at 1/5000 dilution

false

Exposure time: 58s

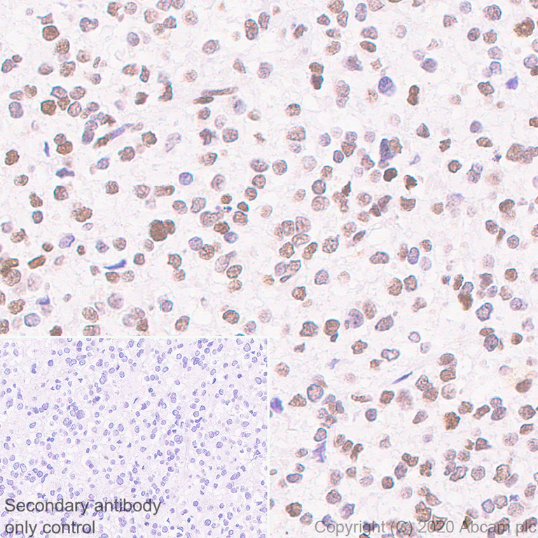
Immunohistochemistry (Formalin/PFA-fixed paraffin-embedded sections) - Anti-MeCP2 antibody [EPR23201-3] - BSA and Azide free (AB273059)
  • IHC-P

Unknown

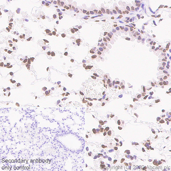
Immunohistochemistry (Formalin/PFA-fixed paraffin-embedded sections) - Anti-MeCP2 antibody [EPR23201-3] - BSA and Azide free (AB273059)

Immunohistochemical analysis of paraffin-embedded Mouse lung tissue labeling MeCP2 with ab253197 at 1/4000 dilution (0.158 ug/ml) dilution followed by a ready to use Rabbit specific IHC polymer detection kit HRP/DAB (ab209101). Nuclear staining on mouse lung (PMID : 11809720). The section was incubated with ab253197 for 10 mins at room temperature.The immunostaining was performed on a Leica Biosystems BOND® RX instrument. Counterstained with Hematoxylin.

Secondary antibody only control : Secondary antibody is a ready to use Rabbit specific IHC polymer detection kit HRP/DAB (ab209101).

Heat mediated antigen retrieval with Citrate buffer (pH 6.0, epitope retrieval solution 1) for 20 mins

This data was developed using the same antibody clone in a different buffer formulation containing PBS, BSA, glycerol, and sodium azide (ab253197).

Immunocytochemistry/ Immunofluorescence - Anti-MeCP2 antibody [EPR23201-3] - BSA and Azide free (AB273059)
  • ICC/IF

Unknown

Immunocytochemistry/ Immunofluorescence - Anti-MeCP2 antibody [EPR23201-3] - BSA and Azide free (AB273059)

Immunofluorescent analysis of 4% Paraformaldehyde-fixed, 0.1% TritonX-100 permeabilized Neuro-2a cells labelling MeCP2 with ab253197 at 1/500 dilution, followed by ab150077 Goat Anti-Rabbit IgG H&L (Alexa Fluor® 488) antibody at 1/1000 2 ug/ml dilution (Green). Confocal image showing nuclear staining in Neuro-2a cells. ab195889 Anti-alpha Tubulin antibody [DM1A] - Microtubule Marker (Alexa Fluor® 594) was used to counterstain tubulin at 1/200 2.5 dilution (Red). The Nuclear counterstain was DAPI (Blue). Secondary antibody only control : Secondary antibody is ab150077 Goat Anti-Rabbit IgG H&L (Alexa Fluor® 488) at 1000 2 ug/ml dilution.

This data was developed using the same antibody clone in a different buffer formulation containing PBS, BSA, glycerol, and sodium azide (ab253197).

Immunohistochemistry (Formalin/PFA-fixed paraffin-embedded sections) - Anti-MeCP2 antibody [EPR23201-3] - BSA and Azide free (AB273059)
  • IHC-P

Unknown

Immunohistochemistry (Formalin/PFA-fixed paraffin-embedded sections) - Anti-MeCP2 antibody [EPR23201-3] - BSA and Azide free (AB273059)

Immunohistochemical analysis of paraffin-embedded Mouse testis tissue labeling MeCP2 with ab253197 at 1/4000 dilution (0.158 ug/ml) dilution followed by a ready to use Rabbit specific IHC polymer detection kit HRP/DAB (ab209101). Nuclear staining on mouse testis (PMID : 11809720). The section was incubated with ab253197 for 10 mins at room temperature.The immunostaining was performed on a Leica Biosystems BOND® RX instrument. Counterstained with Hematoxylin.

Secondary antibody only control : Secondary antibody is a ready to use Rabbit specific IHC polymer detection kit HRP/DAB (ab209101).

Heat mediated antigen retrieval with Citrate buffer (pH 6.0, epitope retrieval solution 1) for 20 mins

This data was developed using the same antibody clone in a different buffer formulation containing PBS, BSA, glycerol, and sodium azide (ab253197).

Flow Cytometry (Intracellular) - Anti-MeCP2 antibody [EPR23201-3] - BSA and Azide free (AB273059)
  • Flow Cyt (Intra)

Unknown

Flow Cytometry (Intracellular) - Anti-MeCP2 antibody [EPR23201-3] - BSA and Azide free (AB273059)

Intracellular flow cytometric analysis of 4% paraformaldehyde fixed 90% methanol permeabilized Neuro-2a (Mouse neuroblastoma neuroblast) cells labelling MeCP2 with ab253197 at 1/600 dilution (0.1ug) (Red) compared with a Rabbit monoclonal IgG (ab172730) (Black) isotype control and an unlabelled control (cells without incubation with primary antibody and secondary antibody) (Blue). A Goat anti rabbit IgG (Alexa Fluor® 488, ab150077) at 1/2000 dilution was used as the secondary antibody. This data was developed using the same antibody clone in a different buffer formulation containing PBS, BSA, glycerol, and sodium azide (ab253197).

Immunohistochemistry (Formalin/PFA-fixed paraffin-embedded sections) - Anti-MeCP2 antibody [EPR23201-3] - BSA and Azide free (AB273059)
  • IHC-P

Unknown

Immunohistochemistry (Formalin/PFA-fixed paraffin-embedded sections) - Anti-MeCP2 antibody [EPR23201-3] - BSA and Azide free (AB273059)

Immunohistochemical analysis of paraffin-embedded Rat cerebrum tissue labeling MeCP2 with ab253197 at 1/4000 dilution (0.158 ug/ml) dilution followed by a ready to use Rabbit specific IHC polymer detection kit HRP/DAB (ab209101). Nuclear staining on rat cerebrum (PMID : 11809720). The section was incubated with ab253197 for 10 mins at room temperature.The immunostaining was performed on a Leica Biosystems BOND® RX instrument. Counterstained with Hematoxylin.

Secondary antibody only control : Secondary antibody is a ready to use Rabbit specific IHC polymer detection kit HRP/DAB (ab209101).

Heat mediated antigen retrieval with Citrate buffer (pH 6.0, epitope retrieval solution 1) for 20 mins

This data was developed using the same antibody clone in a different buffer formulation containing PBS, BSA, glycerol, and sodium azide (ab253197).

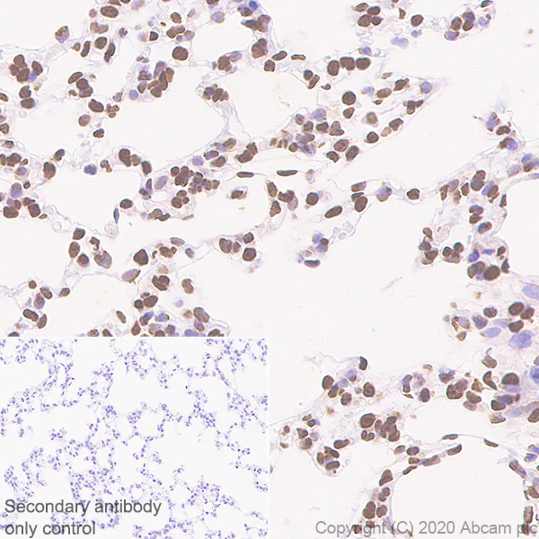
Immunohistochemistry (Formalin/PFA-fixed paraffin-embedded sections) - Anti-MeCP2 antibody [EPR23201-3] - BSA and Azide free (AB273059)
  • IHC-P

Unknown

Immunohistochemistry (Formalin/PFA-fixed paraffin-embedded sections) - Anti-MeCP2 antibody [EPR23201-3] - BSA and Azide free (AB273059)

Immunohistochemical analysis of paraffin-embedded Rat lung tissue labeling MeCP2 with ab253197 at 1/4000 dilution (0.158 ug/ml) dilution followed by a ready to use Rabbit specific IHC polymer detection kit HRP/DAB (ab209101). Nuclear staining on rat lung (PMID : 11809720). The section was incubated with ab253197 for 10 mins at room temperature.The immunostaining was performed on a Leica Biosystems BOND® RX instrument. Counterstained with Hematoxylin.

Secondary antibody only control : Secondary antibody is a ready to use Rabbit specific IHC polymer detection kit HRP/DAB (ab209101).

Heat mediated antigen retrieval with Citrate buffer (pH 6.0, epitope retrieval solution 1) for 20 mins

This data was developed using the same antibody clone in a different buffer formulation containing PBS, BSA, glycerol, and sodium azide (ab253197).

Immunoprecipitation - Anti-MeCP2 antibody [EPR23201-3] - BSA and Azide free (AB273059)
  • IP

Supplier Data

Immunoprecipitation - Anti-MeCP2 antibody [EPR23201-3] - BSA and Azide free (AB273059)

This data was developed using the same antibody clone in a different buffer formulation containing PBS, BSA, glycerol, and sodium azide (ab253197). MeCP2 was immunoprecipitated from 0.35 mg of Neuro-2a (mouse neuroblastoma neuroblast), whole cell lysate with ab253197 at 1/30 dilution. Western blot was performed from the immunoprecipitate using ab253197 at 1/1000 dilution. VeriBlot for IP Detection Reagent (HRP) (ab131366), was used for detection at 1/5000 dilution. Lane 1 : Neuro-2a whole cell lysate 10 μg (Input). Lane 2 : ab253197 IP in Neuro-2a whole cell lysate. Lane 3 : Rabbit monoclonal IgG (ab172730) instead of ab253197 in Neuro-2a whole cell lysate. Blocking and dilution buffer and concentration : 5% NFDM/TBST. Exposure time : 58 seconds.

All lanes:

Immunoprecipitation - Anti-MeCP2 antibody [EPR23201-3] (<a href='/en-us/products/primary-antibodies/mecp2-antibody-epr23201-3-ab253197'>ab253197</a>) at 1/1000 dilution

All lanes:

Neuro-2a (mouse neuroblastoma neuroblast), whole cell lysate

Secondary

All lanes:

Immunoprecipitation - VeriBlot for IP Detection Reagent (HRP) (<a href='/en-us/products/reagents/veriblot-for-ip-detection-reagent-hrp-ab131366'>ab131366</a>) at 1/5000 dilution

false

Exposure time: 58s

Western blot - Anti-MeCP2 antibody [EPR23201-3] - BSA and Azide free (AB273059)
  • WB

Lab

Western blot - Anti-MeCP2 antibody [EPR23201-3] - BSA and Azide free (AB273059)

This data was developed using the same antibody clone in a different buffer formulation (ab253197).

Lanes 1 - 5 : Merged signal (red and green). Green - ab253197 observed at 68-70 kDa. Red - loading control, ab8245 (Mouse anti-GAPDH antibody [6C5]) observed at 37kDa.

ab253197 was shown to react with MeCP2 in HAP1 wild-type cells in western blot. Loss of signal was observed when MECP2 knockout sample was used. Wild-type and MECP2 HAP1 knockout cell lysates were subjected to SDS-PAGE. Membranes were blocked in 5% milk in TBS-T (0.1% Tween®) before incubation with ab253197 and ab8245 (Mouse anti-GAPDH antibody [6C5]) overnight at 4°C at a 1 in 1000 dilution and a 1 in 20000 dilution respectively. Blots were incubated with Goat anti-Rabbit IgG H&L (IRDye® 800CW) preabsorbed (ab216773) and Goat anti-Mouse IgG H&L (IRDye® 680RD) preabsorbed (ab216776) secondary antibodies at 1 in 20000 dilution for 1 hour at room temperature before imaging.

All lanes:

Western blot - Anti-MeCP2 antibody [EPR23201-3] (<a href='/en-us/products/primary-antibodies/mecp2-antibody-epr23201-3-ab253197'>ab253197</a>) at 1/1000 dilution

Lane 1:

Wild-type HAP1 cell lysate at 20 µg

Lane 2:

MECP2 knockout HAP1 cell lysate at 20 µg

Lane 3:

SH-SY5Y cell lysate at 20 µg

Lane 4:

Mouse Brain cell lysate at 20 µg

Lane 5:

HepG2 cell lysate at 20 µg

Predicted band size: 52 kDa

Observed band size: 68-70 kDa

false

Western blot - Anti-MeCP2 antibody [EPR23201-3] - BSA and Azide free (AB273059)
  • WB

Lab

Western blot - Anti-MeCP2 antibody [EPR23201-3] - BSA and Azide free (AB273059)

This data was developed using ab253197, the same antibody clone in a different buffer formulation.

Western blot : Rabbit Monoclonal[EPR23201-3] to MeCP2 ab253197 staining at 1/1000 dilution, shown in green; Mouse anti GAPDH (ab8245) loading control staining at 1/20,000 dilution, shown in magenta. A band was observed at 52 kDa in Wild-type HCT 116 ab288559 cell lysates with no signal observed at this size in MECP2 knockout HCT 116 ab289193 cell line. To generate this image, samples were run on an SDS-PAGE gel then transferred onto a nitrocellulose membrane. Membranes were blocked in 5pc Milk in TBS-0.1 % Tween® 20 (TBS-T) before incubation with primary antibodies overnight at 4 °C. Blots were washed four times in TBS-T, incubated with secondary antibodies for 1 h at room temperature, washed again four times then imaged. Secondary antibodies used were Goat anti-Rabbit 800CW & Goat anti-Mouse 680RD at 1/20,000 dilution.

All lanes:

Western blot - Anti-MeCP2 antibody [EPR23201-3] (<a href='/en-us/products/primary-antibodies/mecp2-antibody-epr23201-3-ab253197'>ab253197</a>) at 1/1000 dilution

Lane 1:

Wild-type HCT 116 ab288559 at 20 µg

Lane 2:

Western blot - Human MECP2 knockout HCT116 cell line (<a href='/en-us/products/cell-lines/human-mecp2-knockout-hct116-cell-line-ab289193'>ab289193</a>) at 20 µg

Lane 3:

Wild-type HAP1 at 20 µg

Lane 4:

MECP2 knockout HAP1 at 20 µg

Secondary

All lanes:

Goat anti-Rabbit 800CW & Goat anti-Mouse 680RD at 1/20000 dilution

Predicted band size: 52 kDa

Observed band size: 52 kDa

false

  • Unconjugated

    Anti-MeCP2 antibody [EPR23201-3]

  • Carrier free

    Anti-MeCP2 antibody [EPR23201-3] - BSA and Azide free (Capture)

Key facts

Host species

Rabbit

Clonality

Monoclonal

Clone number

EPR23201-3

Isotype

IgG

Carrier free

Yes

Reacts with

Mouse, Rat, Human

Applications

IHC-P, IP, WB, ICC/IF, Flow Cyt (Intra)

applications

Immunogen

The exact immunogen used to generate this antibody is proprietary information.

Specificity

This antibody did not work in IHC in human brain samples.

Reactivity data

{ "title": "Reactivity Data", "filters": { "stats": ["", "Species", "Dilution Info", "Notes"], "tabs": { "all-applications": {"fullname" : "All Applications", "shortname": "All Applications"}, "IHCP" : {"fullname" : "Immunohistochemistry (Formalin/PFA-fixed paraffin-embedded sections)", "shortname":"IHC-P"}, "WB" : {"fullname" : "Western blot", "shortname":"WB"}, "ICCIF" : {"fullname" : "Immunocytochemistry/ Immunofluorescence", "shortname":"ICC/IF"}, "FlowCytIntra" : {"fullname" : "Flow Cytometry (Intracellular)", "shortname":"Flow Cyt (Intra)"}, "ChIP" : {"fullname" : "ChIP", "shortname":"ChIP"}, "IP" : {"fullname" : "Immunoprecipitation", "shortname":"IP"} }, "product-promise": { "all": "all", "testedAndGuaranteed": "tested", "guaranteed": "expected", "predicted": "predicted", "notRecommended": "not-recommended" } }, "values": { "Human": { "IHCP-species-checked": "testedAndGuaranteed", "IHCP-species-dilution-info": "", "IHCP-species-notes": "<p>This antibody did not work in IHC in human brain samples.</p>", "WB-species-checked": "testedAndGuaranteed", "WB-species-dilution-info": "", "WB-species-notes": "<p></p>", "ICCIF-species-checked": "testedAndGuaranteed", "ICCIF-species-dilution-info": "", "ICCIF-species-notes": "<p></p>", "FlowCytIntra-species-checked": "testedAndGuaranteed", "FlowCytIntra-species-dilution-info": "", "FlowCytIntra-species-notes": "<p></p>", "ChIP-species-checked": "notRecommended", "ChIP-species-dilution-info": "", "ChIP-species-notes": "<p></p>", "IP-species-checked": "testedAndGuaranteed", "IP-species-dilution-info": "", "IP-species-notes": "<p></p>" }, "Mouse": { "IHCP-species-checked": "testedAndGuaranteed", "IHCP-species-dilution-info": "", "IHCP-species-notes": "<p>This antibody did not work in IHC in human brain samples.</p>", "WB-species-checked": "testedAndGuaranteed", "WB-species-dilution-info": "", "WB-species-notes": "<p></p>", "ICCIF-species-checked": "testedAndGuaranteed", "ICCIF-species-dilution-info": "", "ICCIF-species-notes": "<p></p>", "FlowCytIntra-species-checked": "testedAndGuaranteed", "FlowCytIntra-species-dilution-info": "", "FlowCytIntra-species-notes": "<p></p>", "ChIP-species-checked": "notRecommended", "ChIP-species-dilution-info": "", "ChIP-species-notes": "<p></p>", "IP-species-checked": "testedAndGuaranteed", "IP-species-dilution-info": "", "IP-species-notes": "<p></p>" }, "Rat": { "IHCP-species-checked": "testedAndGuaranteed", "IHCP-species-dilution-info": "", "IHCP-species-notes": "<p>This antibody did not work in IHC in human brain samples.</p>", "WB-species-checked": "testedAndGuaranteed", "WB-species-dilution-info": "", "WB-species-notes": "<p></p>", "ICCIF-species-checked": "guaranteed", "ICCIF-species-dilution-info": "", "ICCIF-species-notes": "", "FlowCytIntra-species-checked": "guaranteed", "FlowCytIntra-species-dilution-info": "", "FlowCytIntra-species-notes": "", "ChIP-species-checked": "notRecommended", "ChIP-species-dilution-info": "", "ChIP-species-notes": "", "IP-species-checked": "guaranteed", "IP-species-dilution-info": "", "IP-species-notes": "<p></p>" } } }

Product details

ab273059 is the carrier-free version of ab253197.

Patented technology
Our RabMAb® technology is a patented hybridoma-based technology for making rabbit monoclonal antibodies. For details on our patents, please refer to RabMAb® patents.

What are the advantages of a recombinant monoclonal antibody?
This product is a recombinant monoclonal antibody, which offers several advantages including:

  • - High batch-to-batch consistency and reproducibility
  • - Improved sensitivity and specificity
  • - Long-term security of supply
  • - Animal-free batch production

For more information, read more on recombinant antibodies.

Conjugation ready
Our carrier-free antibodies are typically supplied in a PBS-only formulation, purified and free of BSA, sodium azide and glycerol. This conjugation-ready format is designed for use with fluorochromes, metal isotopes, oligonucleotides, and enzymes, which makes them ideal for antibody labelling, functional and cell-based assays, flow-based assays (e.g. mass cytometry) and Multiplex Imaging applications.

Use our conjugation kits for antibody conjugates that are ready-to-use in as little as 20 minutes with 1 minute hands-on-time and 100% antibody recovery: available for fluorescent dyes, HRP, biotin and gold.

Compatibility
This product is compatible with the Maxpar® Antibody Labeling Kit from Fluidigm, without the need for antibody preparation. Maxpar® is a trademark of Fluidigm Canada Inc.

Properties and storage information

Form
Liquid
Purification technique
Affinity purification Protein A
Storage buffer
pH: 7.2 - 7.4 Constituents: PBS
Shipped at conditions
Blue Ice
Appropriate short-term storage conditions
+4°C
Appropriate long-term storage conditions
+4°C
Storage information
Do Not Freeze

Product protocols

For this product, it's our understanding that no specific protocols are required. You can visit:

Target data

Chromosomal protein that binds to methylated DNA. It can bind specifically to a single methyl-CpG pair. It is not influenced by sequences flanking the methyl-CpGs. Mediates transcriptional repression through interaction with histone deacetylase and the corepressor SIN3A. Binds both 5-methylcytosine (5mC) and 5-hydroxymethylcytosine (5hmC)-containing DNA, with a preference for 5-methylcytosine (5mC).
See full target information MECP2

Product promise

We are committed to supporting your work with high-quality reagents, and we're here for you every step of the way. In the unlikely event that one of our products does not perform as expected, you're protected by our Product Promise.
For full details, please see our Terms & Conditions

Please note: All products are 'FOR RESEARCH USE ONLY. NOT FOR USE IN DIAGNOSTIC OR THERAPEUTIC PROCEDURES'.

For licensing inquiries, please contact partnerships@abcam.com