JavaScript is disabled in your browser. Please enable JavaScript to view this website.
AB248327

Anti-MED4 antibody [EPR7816] - BSA and Azide free

Be the first to review this product! Submit a review

|

(1 Publication)

Rabbit Recombinant Monoclonal MED4 antibody. Carrier free. Suitable for IHC-P, ICC/IF, WB and reacts with Human samples. Cited in 1 publication.

View Alternative Names

ARC36, DRIP36, VDRIP, HSPC126, MED4, Mediator of RNA polymerase II transcription subunit 4, Activator-recruited cofactor 36 kDa component, Mediator complex subunit 4, TRAP/SMCC/PC2 subunit p36 subunit, Vitamin D3 receptor-interacting protein complex 36 kDa component

5 Images
Immunohistochemistry (Formalin/PFA-fixed paraffin-embedded sections) - Anti-MED4 antibody [EPR7816] - BSA and Azide free (AB248327)
  • IHC-P

Unknown

Immunohistochemistry (Formalin/PFA-fixed paraffin-embedded sections) - Anti-MED4 antibody [EPR7816] - BSA and Azide free (AB248327)

This data was developed using ab129170, the same antibody clone in a different buffer formulation.

ab129170, at 1/100 dilution staining MED4 in paraffin-embedded Human breast carcinoma tissue, by Immunohistochemistry.

Perform heat mediated antigen retrieval before commencing with IHC staining protocol.

Immunocytochemistry/ Immunofluorescence - Anti-MED4 antibody [EPR7816] - BSA and Azide free (AB248327)
  • ICC/IF

Lab

Immunocytochemistry/ Immunofluorescence - Anti-MED4 antibody [EPR7816] - BSA and Azide free (AB248327)

This data was developed using ab129170, the same antibody clone in a different buffer formulation.

Immunocytochemistry/Immunofluorescence analysis of HepG2 cells labelling MED4 with ab129170 at 1/1000. Cells were fixed with 4% paraformaldehyde and permeabilized with 0.1% Triton X-100. ab150077, an Alexa Fluor® 488-conjugated goat anti-rabbit IgG (1/1000) was used as the secondary antibody.
Control : PBS only.
Nuclear counter stain : DAPI.

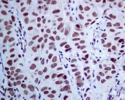
Immunohistochemistry (Formalin/PFA-fixed paraffin-embedded sections) - Anti-MED4 antibody [EPR7816] - BSA and Azide free (AB248327)
  • IHC-P

Unknown

Immunohistochemistry (Formalin/PFA-fixed paraffin-embedded sections) - Anti-MED4 antibody [EPR7816] - BSA and Azide free (AB248327)

This data was developed using ab129170, the same antibody clone in a different buffer formulation.

ab129170, at 1/100 dilution staining MED4 in paraffin-embedded Human colon tissue, by Immunohistochemistry.

Perform heat mediated antigen retrieval before commencing with IHC staining protocol.

Western blot - Anti-MED4 antibody [EPR7816] - BSA and Azide free (AB248327)
  • WB

Unknown

Western blot - Anti-MED4 antibody [EPR7816] - BSA and Azide free (AB248327)

This data was developed using ab129170, the same antibody clone in a different buffer formulation.

All lanes:

Western blot - Anti-MED4 antibody [EPR7816] (<a href='/en-us/products/primary-antibodies/med4-antibody-epr7816-ab129170'>ab129170</a>) at 1/1000 dilution

Lane 1:

HepG2 cell lysates at 10 µg

Lane 2:

T-47D cell lysates at 10 µg

Lane 3:

K562 cell lysates at 10 µg

Secondary

All lanes:

HRP labelled Goat anti-Rabbit IgG at 1/2000 dilution

Predicted band size: 30 kDa

false

OI-RD Scanning - Anti-MED4 antibody [EPR7816] - BSA and Azide free (AB248327)
  • OI-RD Scanning

Unknown

OI-RD Scanning - Anti-MED4 antibody [EPR7816] - BSA and Azide free (AB248327)

We have systematically measured KD (the equilibrium dissociation constant between the antibody and its antigen), of more than 840 recombinant antibodies to assess not only their individual KD values but also to see the average affinity of antibody. Based on the comparison with published literature values for mouse monoclonal antibodies, Recombinant antibodies appear to be on average 1-2 order of magnitude higher affinity.

Key facts

Host species

Rabbit

Clonality

Monoclonal

Clone number

EPR7816

Isotype

IgG

Carrier free

Yes

Reacts with

Human

Applications

WB, ICC/IF, IHC-P

applications

Immunogen

The exact immunogen used to generate this antibody is proprietary information.

Reactivity data

{ "title": "Reactivity Data", "filters": { "stats": ["", "Species", "Dilution Info", "Notes"], "tabs": { "all-applications": {"fullname" : "All Applications", "shortname": "All Applications"}, "IHCP" : {"fullname" : "Immunohistochemistry (Formalin/PFA-fixed paraffin-embedded sections)", "shortname":"IHC-P"}, "ICCIF" : {"fullname" : "Immunocytochemistry/ Immunofluorescence", "shortname":"ICC/IF"}, "WB" : {"fullname" : "Western blot", "shortname":"WB"} }, "product-promise": { "all": "all", "testedAndGuaranteed": "tested", "guaranteed": "expected", "predicted": "predicted", "notRecommended": "not-recommended" } }, "values": { "Human": { "IHCP-species-checked": "testedAndGuaranteed", "IHCP-species-dilution-info": "", "IHCP-species-notes": "<p></p>", "ICCIF-species-checked": "testedAndGuaranteed", "ICCIF-species-dilution-info": "", "ICCIF-species-notes": "<p></p>", "WB-species-checked": "testedAndGuaranteed", "WB-species-dilution-info": "", "WB-species-notes": "<p></p>" }, "Mouse": { "IHCP-species-checked": "predicted", "IHCP-species-dilution-info": "", "IHCP-species-notes": "", "ICCIF-species-checked": "predicted", "ICCIF-species-dilution-info": "", "ICCIF-species-notes": "", "WB-species-checked": "predicted", "WB-species-dilution-info": "", "WB-species-notes": "" }, "Rat": { "IHCP-species-checked": "predicted", "IHCP-species-dilution-info": "", "IHCP-species-notes": "", "ICCIF-species-checked": "predicted", "ICCIF-species-dilution-info": "", "ICCIF-species-notes": "", "WB-species-checked": "predicted", "WB-species-dilution-info": "", "WB-species-notes": "" }, "Xenopus laevis": { "IHCP-species-checked": "predicted", "IHCP-species-dilution-info": "", "IHCP-species-notes": "", "ICCIF-species-checked": "predicted", "ICCIF-species-dilution-info": "", "ICCIF-species-notes": "", "WB-species-checked": "predicted", "WB-species-dilution-info": "", "WB-species-notes": "" } } }

Product details

ab248327 is the carrier-free version of ab129170.

Patented technology
Our RabMAb® technology is a patented hybridoma-based technology for making rabbit monoclonal antibodies. For details on our patents, please refer to RabMAb® patents.

What are the advantages of a recombinant monoclonal antibody?
This product is a recombinant monoclonal antibody, which offers several advantages including:

  • - High batch-to-batch consistency and reproducibility
  • - Improved sensitivity and specificity
  • - Long-term security of supply
  • - Animal-free batch production

For more information, read more on recombinant antibodies.

Conjugation ready
Our carrier-free antibodies are typically supplied in a PBS-only formulation, purified and free of BSA, sodium azide and glycerol. This conjugation-ready format is designed for use with fluorochromes, metal isotopes, oligonucleotides, and enzymes, which makes them ideal for antibody labelling, functional and cell-based assays, flow-based assays (e.g. mass cytometry) and Multiplex Imaging applications.

Use our conjugation kits for antibody conjugates that are ready-to-use in as little as 20 minutes with 1 minute hands-on-time and 100% antibody recovery: available for fluorescent dyes, HRP, biotin and gold.

Compatibility
This product is compatible with the Maxpar® Antibody Labeling Kit from Fluidigm, without the need for antibody preparation. Maxpar® is a trademark of Fluidigm Canada Inc.

Properties and storage information

Form
Liquid
Purification technique
Affinity purification Protein A
Storage buffer
pH: 7.2 - 7.4 Constituents: PBS
Shipped at conditions
Blue Ice
Appropriate short-term storage conditions
+4°C
Appropriate long-term storage conditions
+4°C
Storage information
Do Not Freeze

Supplementary information

This supplementary information is collated from multiple sources and compiled automatically.

MED4 also known as mediator complex subunit 4 plays an important role in transcription regulation. MED4 forms part of the larger mediator complex which interacts with RNA polymerase II during the transcription initiation process. This protein has a mass of approximately 35 kilodaltons. Researchers have detected MED4 expression in various tissues with notable levels in the liver and lung implying its broad involvement in different cellular processes.
Biological function summary

MED4 operates as an integral component of the mediator complex a multi-protein machinery that transmits signals from transcription factors to RNA polymerase II facilitating the transcription of specific genes. This mediator complex acts as a bridge affecting transcription initiation and further steps. MED4's presence within this complex highlights its importance in regulating gene expression and maintaining normal cell function.

Pathways

MED4 directly contributes to the RNA polymerase II transcription initiation complex pathway. This pathway is important for transcribing genes into mRNA. MED4 also engages in chromatin-related processes through its mediator role influencing the transcription machinery's interaction with chromatin structures. Connections between MED4 and other proteins like MED1 and MED12 highlight its collaborative function in transcription regulation.

Abnormal MED4 function associates with certain types of cancer including breast cancer. Research suggests that dysfunctional MED4 can disrupt typical transcriptional regulation leading to uncontrolled cell proliferation. Additionally alterations in MED4 have links to neurological disorders as they may affect gene expression necessary for normal brain function. MED4's relationship with proteins like p53 in cancer further highlights its role in disease pathways.

Product protocols

For this product, it's our understanding that no specific protocols are required. You can visit:

Target data

Component of the Mediator complex, a coactivator involved in the regulated transcription of nearly all RNA polymerase II-dependent genes. Mediator functions as a bridge to convey information from gene-specific regulatory proteins to the basal RNA polymerase II transcription machinery. Mediator is recruited to promoters by direct interactions with regulatory proteins and serves as a scaffold for the assembly of a functional preinitiation complex with RNA polymerase II and the general transcription factors.
See full target information MED4

Publications (1)

Recent publications for all applications. Explore the full list and refine your search

Cell proliferation 56:e13400 PubMed36642844

2023

Non-SMC condensin I complex subunit H participates in anti-programmed cell death-1 resistance of clear cell renal cell carcinomas.

Applications

Unspecified application

Species

Unspecified reactive species

Zhi Chen,Weiqiang Ruan,Chunhao Guo,Ke Chen,Le Li,Jihua Tian,Zhiquan Hu,Dan Peng,Xing Zeng
View all publications

Product promise

We are committed to supporting your work with high-quality reagents, and we're here for you every step of the way. In the unlikely event that one of our products does not perform as expected, you're protected by our Product Promise.
For full details, please see our Terms & Conditions

Please note: All products are 'FOR RESEARCH USE ONLY. NOT FOR USE IN DIAGNOSTIC OR THERAPEUTIC PROCEDURES'.

For licensing inquiries, please contact partnerships@abcam.com