JavaScript is disabled in your browser. Please enable JavaScript to view this website.
AB236399

Anti-MED9 antibody [OTI7F11]

Be the first to review this product! Submit a review

|

(1 Publication)

Mouse Monoclonal MED9 antibody. Suitable for WB, IHC-P and reacts with Human samples. Cited in 1 publication. Immunogen corresponding to Recombinant Full Length Protein corresponding to Human MED9.

View Alternative Names

MED25, MED9, Mediator of RNA polymerase II transcription subunit 9, Mediator complex subunit 9

3 Images
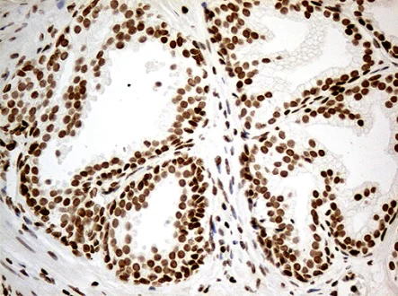
Immunohistochemistry (Formalin/PFA-fixed paraffin-embedded sections) - Anti-MED9 antibody [OTI7F11] (AB236399)
  • IHC-P

Supplier Data

Immunohistochemistry (Formalin/PFA-fixed paraffin-embedded sections) - Anti-MED9 antibody [OTI7F11] (AB236399)

Paraffin-embedded human prostate carcinoma tissue stained for MED9 using ab236399 at 1/1000 dilution in immunohistochemical analysis.

Heat-induced epitope retrieval was performed using 1 mM EDTA in 10 mM Tris buffer (pH 8.5) at 120°C for 3 minutes.

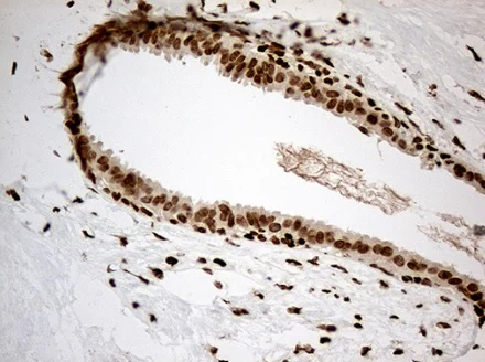
Immunohistochemistry (Formalin/PFA-fixed paraffin-embedded sections) - Anti-MED9 antibody [OTI7F11] (AB236399)
  • IHC-P

Supplier Data

Immunohistochemistry (Formalin/PFA-fixed paraffin-embedded sections) - Anti-MED9 antibody [OTI7F11] (AB236399)

Paraffin-embedded human breast tissue stained for MED9 using ab236399 at 1/1000 dilution in immunohistochemical analysis.

Heat-induced epitope retrieval was performed using 1 mM EDTA in 10 mM Tris buffer (pH 8.5) at 120°C for 3 minutes.

Western blot - Anti-MED9 antibody [OTI7F11] (AB236399)
  • WB

Supplier Data

Western blot - Anti-MED9 antibody [OTI7F11] (AB236399)

All lanes:

Western blot - Anti-MED9 antibody [OTI7F11] (ab236399) at 1/2000 dilution

Lane 1:

pCMV6-ENTRY control cDNA transfected HEK-293T (Human epithelial cell line from embryonic kidney transformed with large T antigen) cell lysate at 5 µg

Lane 2:

pCMV6-ENTRY MED9 cDNA transfected HEK-293T (Human epithelial cell line from embryonic kidney transformed with large T antigen) cell lysate at 5 µg

Predicted band size: 16 kDa

false

Key facts

Host species

Mouse

Clonality

Monoclonal

Clone number

OTI7F11

Isotype

IgG1

Carrier free

No

Reacts with

Human

Applications

WB, IHC-P

applications

Immunogen

Recombinant Full Length Protein corresponding to Human MED9.

Q9NWA0

Reactivity data

{ "title": "Reactivity Data", "filters": { "stats": ["", "Species", "Dilution Info", "Notes"], "tabs": { "all-applications": {"fullname" : "All Applications", "shortname": "All Applications"}, "WB" : {"fullname" : "Western blot", "shortname":"WB"}, "IHCP" : {"fullname" : "Immunohistochemistry (Formalin/PFA-fixed paraffin-embedded sections)", "shortname":"IHC-P"} }, "product-promise": { "all": "all", "testedAndGuaranteed": "tested", "guaranteed": "expected", "predicted": "predicted", "notRecommended": "not-recommended" } }, "values": { "Human": { "WB-species-checked": "testedAndGuaranteed", "WB-species-dilution-info": "1/2000", "WB-species-notes": "<p></p>", "IHCP-species-checked": "testedAndGuaranteed", "IHCP-species-dilution-info": "1/1000", "IHCP-species-notes": "<p>Heat-induced epitope retrieval by 1 mM EDTA in 10 mM Tris buffer (pH 8.5) at 120°C for 3 minutes.</p>" } } }

Properties and storage information

Form
Liquid
Purification technique
Affinity purification
Purification notes
Purified from cell culture supernatant.
Storage buffer
pH: 7.3 Preservative: 0.02% Sodium azide Constituents: PBS, 50% Glycerol (glycerin, glycerine), 1% BSA
Shipped at conditions
Blue Ice
Appropriate short-term storage duration
1-2 weeks
Appropriate short-term storage conditions
+4°C
Appropriate long-term storage conditions
-20°C
Aliquoting information
Upon delivery aliquot
Storage information
Avoid freeze / thaw cycle

Supplementary information

This supplementary information is collated from multiple sources and compiled automatically.

MED9 also known as mediator complex subunit 9 is a component of the larger mediator complex involved in transcriptional regulation. It plays a mechanical role in bridging transcriptional regulatory proteins to the RNA polymerase II enzyme. MED9 exhibits a molecular mass of approximately 11 kDa and is expressed widely in human tissue with notably higher levels in heart and skeletal muscle.
Biological function summary

MED9 is an integral part of the mediator complex which is essential for the transcription of nearly all RNA polymerase II-dependent genes. The mediator complex including MED9 facilitates communication between gene-specific regulatory proteins and the polymerase machinery which is important for transcription initiation. MED9 participates in the regulation of multiple genes impacting signal transduction pathways and influencing gene expression.

Pathways

The involvement of MED9 extends to significant biological processes including the MAPK signaling pathway and the Wnt signaling pathway. In these pathways MED9 works alongside other mediator subunits such as MED1 and MED12 to coordinate transcriptional activation. Through these interactions MED9 contributes to the regulation of genes essential for cell growth division and differentiation.

Dysregulation of MED9 has been linked to cancer and cardiac conditions. For instance aberrant MED9 activity may influence oncogenic pathways leading to uncontrolled cell proliferation. In cardiac disorders its interaction with other mediator complex subunits like MED13 and MED14 could result in impaired cardiac function and congenital heart defects. Understanding MED9's role in these contexts can help in designing targeted therapeutic strategies.

Product protocols

For this product, it's our understanding that no specific protocols are required. You can visit:

Target data

Component of the Mediator complex, a coactivator involved in the regulated transcription of nearly all RNA polymerase II-dependent genes. Mediator functions as a bridge to convey information from gene-specific regulatory proteins to the basal RNA polymerase II transcription machinery. Mediator is recruited to promoters by direct interactions with regulatory proteins and serves as a scaffold for the assembly of a functional preinitiation complex with RNA polymerase II and the general transcription factors.
See full target information MED9

Publications (1)

Recent publications for all applications. Explore the full list and refine your search

Aging 15:3807-3825 PubMed37166429

2023

Identification and validation of metabolism-related genes signature and immune infiltration landscape of rheumatoid arthritis based on machine learning.

Applications

Unspecified application

Species

Unspecified reactive species

Zhaoyang Guo,Yuanye Ma,Yaqing Wang,Hongfei Xiang,Huifei Cui,Zuoran Fan,Youfu Zhu,Dongming Xing,Bohua Chen,Hao Tao,Zhu Guo,Xiaolin Wu
View all publications

Product promise

We are committed to supporting your work with high-quality reagents, and we're here for you every step of the way. In the unlikely event that one of our products does not perform as expected, you're protected by our Product Promise.
For full details, please see our Terms & Conditions

Please note: All products are 'FOR RESEARCH USE ONLY. NOT FOR USE IN DIAGNOSTIC OR THERAPEUTIC PROCEDURES'.

For licensing inquiries, please contact partnerships@abcam.com