JavaScript is disabled in your browser. Please enable JavaScript to view this website.
AB197070

Anti-MEF2A + MEF2C antibody [EPR19089-34]

5

(2 Reviews)

|

(14 Publications)

Anti-MEF2A + MEF2C antibody [EPR19089-34] (ab197070) is a rabbit monoclonal antibody detecting MEF2A in Western Blot, Flow Cytometry (Intra), Flow Cytometry, IHC-P, ICC/IF. Suitable for Human, Mouse, Rat.

- KO validated for confirmed specificity
- Biophysical QC for unrivalled batch-batch consistency
- Over 10 publications

View Alternative Names

Myocyte-specific enhancer factor 2C, Myocyte enhancer factor 2C, MEF2C

17 Images
Immunocytochemistry/ Immunofluorescence - Anti-MEF2A + MEF2C antibody [EPR19089-34] (AB197070)
  • ICC/IF

Supplier Data

Immunocytochemistry/ Immunofluorescence - Anti-MEF2A + MEF2C antibody [EPR19089-34] (AB197070)

Immunofluorescent analysis of 4% paraformaldehyde-fixed, 0.1% Triton X-100 permeabilized K562 (Human chronic myelogenous leukemia cells from bone marrow) cells labeling MEF2C with ab197070 at 1/250 dilution, followed by Goat anti-rabbit IgG (Alexa Fluor® 488) (ab150077) secondary antibody at 1/1000 dilution (green). Confocal image showing nuclear staining on K562 cell line. The nuclear counterstain is DAPI (blue). Tubulin is detected with ab7291 (anti-Tubulin mouse mAb) at 1/1000 dilution and ab150120 (AlexaFluor®594 Goat anti-Mouse secondary) at 1/1000 dilution (red).

The negative controls are as follows : -

-ve control 1 : ab197070 at 1/250 dilution followed by ab150120 (AlexaFluor®594 Goat anti-Mouse secondary) at 1/1000 dilution.

-ve control 2 : ab7291 (anti-Tubulin mouse mAb) at 1/1000 dilution followed by ab150077 (Alexa Fluor®488 Goat Anti-Rabbit IgG H&L) at 1/1000 dilution.

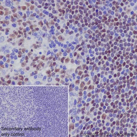
Immunohistochemistry (Formalin/PFA-fixed paraffin-embedded sections) - Anti-MEF2A + MEF2C antibody [EPR19089-34] (AB197070)
  • IHC-P

Supplier Data

Immunohistochemistry (Formalin/PFA-fixed paraffin-embedded sections) - Anti-MEF2A + MEF2C antibody [EPR19089-34] (AB197070)

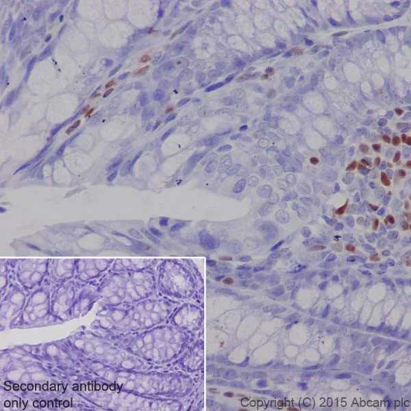
Immunohistochemical analysis of paraffin-embedded Human colonic adenocarcinoma tissue labeling MEF2C with ab197070 at 1/500 dilution, followed by Goat Anti-Rabbit IgG H&L (HRP) (ab97051) at 1/500 dilution. Nucleus staining on lymphocytes of the colonic adenocarcinoma is observed. Counter stained with Hematoxylin.

Secondary antibody only control : Used PBS instead of primary antibody, secondary antibody is Goat Anti-Rabbit IgG H&L (HRP) (ab97051) at 1/500 dilution.

Perform heat mediated antigen retrieval with Tris/EDTA buffer pH 9.0 before commencing with IHC staining protocol.

Immunohistochemistry (Formalin/PFA-fixed paraffin-embedded sections) - Anti-MEF2A + MEF2C antibody [EPR19089-34] (AB197070)
  • IHC-P

Supplier Data

Immunohistochemistry (Formalin/PFA-fixed paraffin-embedded sections) - Anti-MEF2A + MEF2C antibody [EPR19089-34] (AB197070)

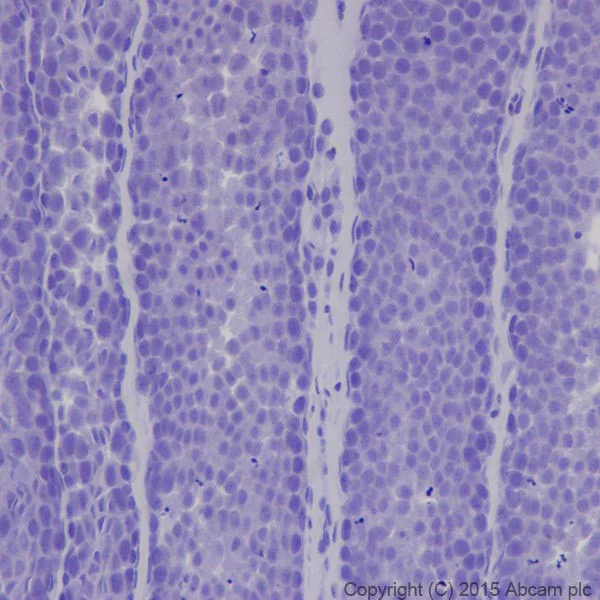
Immunohistochemical analysis of paraffin-embedded Human thymus tissue labeling MEF2C with ab197070 at 1/500 dilution, followed by Goat Anti-Rabbit IgG H&L (HRP) (ab97051) at 1/500 dilution. Negative staining on normal Human thymus is observed. Counter stained with Hematoxylin.

Perform heat mediated antigen retrieval with Tris/EDTA buffer pH 9.0 before commencing with IHC staining protocol.

Immunohistochemistry (Formalin/PFA-fixed paraffin-embedded sections) - Anti-MEF2A + MEF2C antibody [EPR19089-34] (AB197070)
  • IHC-P

Supplier Data

Immunohistochemistry (Formalin/PFA-fixed paraffin-embedded sections) - Anti-MEF2A + MEF2C antibody [EPR19089-34] (AB197070)

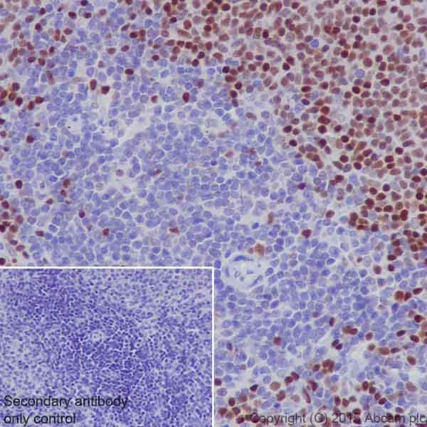
Immunohistochemical analysis of paraffin-embedded Human tonsil tissue labeling MEF2C with ab197070 at 1/500 dilution, followed by Goat Anti-Rabbit IgG H&L (HRP) (ab97051) at 1/500 dilution. Nuclear staining on B lymphocytes of the Human tonsil is observed. Counter stained with Hematoxylin.

Secondary antibody only control : Used PBS instead of primary antibody, secondary antibody is Goat Anti-Rabbit IgG H&L (HRP) (ab97051) at 1/500 dilution.

Perform heat mediated antigen retrieval with Tris/EDTA buffer pH 9.0 before commencing with IHC staining protocol.

Immunocytochemistry/ Immunofluorescence - Anti-MEF2A + MEF2C antibody [EPR19089-34] (AB197070)
  • ICC/IF

Supplier Data

Immunocytochemistry/ Immunofluorescence - Anti-MEF2A + MEF2C antibody [EPR19089-34] (AB197070)

Immunofluorescent analysis of 4% paraformaldehyde-fixed, 0.1% Triton X-100 permeabilized Raji (Human Burkitt's lymphoma cell line) and Jurkat (Human T cell leukemia cells from peripheral blood) cells labeling MEF2C with ab197070 at 1/250 dilution, followed by Goat anti-rabbit IgG (Alexa Fluor® 488) (ab150077) secondary antibody at 1/1000 dilution (green). Confocal image showing nuclear staining on Raji cell line. Negative expression in Jurkat cells. The nuclear counterstain is DAPI (blue). Tubulin is detected with ab7291 (anti-Tubulin mouse mAb) at 1/1000 dilution and ab150120 (AlexaFluor®594 Goat anti-Mouse secondary) at 1/1000 dilution (red).

The negative controls are as follows : -

-ve control 1 : ab197070 at 1/250 dilution followed by ab150120 (AlexaFluor®594 Goat anti-Mouse secondary) at 1/1000 dilution.

-ve control 2 : ab7291 (anti-Tubulin mouse mAb) at 1/1000 dilution followed by ab150077 (Alexa Fluor®488 Goat Anti-Rabbit IgG H&L) at 1/1000 dilution.

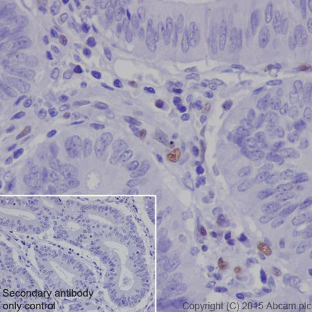
Immunohistochemistry (Formalin/PFA-fixed paraffin-embedded sections) - Anti-MEF2A + MEF2C antibody [EPR19089-34] (AB197070)
  • IHC-P

Supplier Data

Immunohistochemistry (Formalin/PFA-fixed paraffin-embedded sections) - Anti-MEF2A + MEF2C antibody [EPR19089-34] (AB197070)

Immunohistochemical analysis of paraffin-embedded Mouse colon tissue labeling MEF2C with ab197070 at 1/500 dilution, followed by Goat Anti-Rabbit IgG H&L (HRP) (ab97051) at 1/500 dilution. Negative staining on the mouse colon epithelium, the lymphocytes on the interstitial substance showed nuclear staining. Counter stained with Hematoxylin.

Secondary antibody only control : Used PBS instead of primary antibody, secondary antibody is Goat Anti-Rabbit IgG H&L (HRP) (ab97051) at 1/500 dilution.

Perform heat mediated antigen retrieval with Tris/EDTA buffer pH 9.0 before commencing with IHC staining protocol.

Immunohistochemistry (Formalin/PFA-fixed paraffin-embedded sections) - Anti-MEF2A + MEF2C antibody [EPR19089-34] (AB197070)
  • IHC-P

Supplier Data

Immunohistochemistry (Formalin/PFA-fixed paraffin-embedded sections) - Anti-MEF2A + MEF2C antibody [EPR19089-34] (AB197070)

Immunohistochemical analysis of paraffin-embedded Rat testis tissue labeling MEF2C with ab197070 at 1/500 dilution, followed by Goat Anti-Rabbit IgG H&L (HRP) (ab97051) at 1/500 dilution. Negative staining on rat testis is observed. Counter stained with Hematoxylin.

Perform heat mediated antigen retrieval with Tris/EDTA buffer pH 9.0 before commencing with IHC staining protocol.

Immunohistochemistry (Formalin/PFA-fixed paraffin-embedded sections) - Anti-MEF2A + MEF2C antibody [EPR19089-34] (AB197070)
  • IHC-P

Supplier Data

Immunohistochemistry (Formalin/PFA-fixed paraffin-embedded sections) - Anti-MEF2A + MEF2C antibody [EPR19089-34] (AB197070)

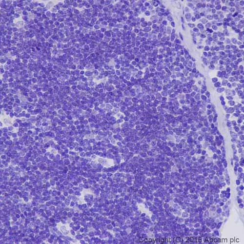
Immunohistochemical analysis of paraffin-embedded Mouse spleen tissue labeling MEF2C with ab197070 at 1/500 dilution, followed by Goat Anti-Rabbit IgG H&L (HRP) (ab97051) at 1/500 dilution. Nuclear staining on B lymphocytes of the mouse spleen, the T cells in the periarterial lymphatic sheath showed negative staining. Counter stained with Hematoxylin.

Secondary antibody only control : Used PBS instead of primary antibody, secondary antibody is Goat Anti-Rabbit IgG H&L (HRP) (ab97051) at 1/500 dilution.

Perform heat mediated antigen retrieval with Tris/EDTA buffer pH 9.0 before commencing with IHC staining protocol.

Immunohistochemistry (Formalin/PFA-fixed paraffin-embedded sections) - Anti-MEF2A + MEF2C antibody [EPR19089-34] (AB197070)
  • IHC-P

Supplier Data

Immunohistochemistry (Formalin/PFA-fixed paraffin-embedded sections) - Anti-MEF2A + MEF2C antibody [EPR19089-34] (AB197070)

Immunohistochemical analysis of paraffin-embedded Rat spleen tissue labeling MEF2C with ab197070 at 1/500 dilution, followed by Goat Anti-Rabbit IgG H&L (HRP) (ab97051) at 1/500 dilution. Nuclear staining on B lymphocytes of the rat spleen, the T cells in the periarterial lymphatic sheath showed negative staining. Counter stained with Hematoxylin.

Secondary antibody only control : Used PBS instead of primary antibody, secondary antibody is Goat Anti-Rabbit IgG H&L (HRP) (ab97051) at 1/500 dilution.

Perform heat mediated antigen retrieval with Tris/EDTA buffer pH 9.0 before commencing with IHC staining protocol.

Western blot - Anti-MEF2A + MEF2C antibody [EPR19089-34] (AB197070)
  • WB

Supplier Data

Western blot - Anti-MEF2A + MEF2C antibody [EPR19089-34] (AB197070)

Blocking/Dilution buffer : 5% NFDM/TBST.

MEF2C is expressed specifically in cells from B-lymphocyte lineage but not T cell lineage. Jurkat cell lysate serves as a negative control (PMID : 9798649).

The 50-60KD bands observed are consistent with what has been described in the literature (PMID : 18450586)

All lanes:

Western blot - Anti-MEF2A + MEF2C antibody [EPR19089-34] (ab197070) at 1/1000 dilution

Lane 1:

Raji (Human Burkitt's lymphoma cell line) whole cell lysate at 20 µg

Lane 2:

Ramos (Human Burkitt's lymphoma cell line) whole cell lysate at 20 µg

Lane 3:

Daudi (Human Burkitt's lymphoma cell line) whole cell lysate at 20 µg

Lane 4:

Jurkat (Human T cell leukemia cells from peripheral blood) whole cell lysate at 20 µg

Secondary

All lanes:

Western blot - Goat Anti-Rabbit IgG H&L (HRP) (<a href='/en-us/products/secondary-antibodies/goat-rabbit-igg-h-l-hrp-ab97051'>ab97051</a>) at 1/100000 dilution

Observed band size: 50-60 kDa

false

Exposure time: 3min

Western blot - Anti-MEF2A + MEF2C antibody [EPR19089-34] (AB197070)
  • WB

Supplier Data

Western blot - Anti-MEF2A + MEF2C antibody [EPR19089-34] (AB197070)

False colour image of Western blot : Anti-MEF2A + MEF2C antibody [EPR19089-34] staining at 1/1000 dilution, shown in green; Mouse anti-GAPDH antibody [6C5] (ab8245) loading control staining at 1/20000 dilution, shown in red. In Western blot, ab197070 was shown to bind specifically to MEF2C. A band was observed at 55/60 kDa in wild-type THP-1 cell lysates with no signal observed at this size in MEF2C knockout cell line (ab313739). To generate this image, wild-type and MEF2C knockout THP-1 cell lysates were analysed. First, samples were run on an SDS-PAGE gel then transferred onto a nitrocellulose membrane. Membranes were blocked in 3 % milk in TBS-0.1 % Tween® 20 (TBS-T) before incubation with primary antibodies overnight at 4 °C. Blots were washed four times in TBS-T, incubated with secondary antibodies for 1 h at room temperature, washed again four times then imaged. Secondary antibodies used were Goat anti-Rabbit IgG H&L 800CW and Goat anti-Mouse IgG H&L 680RD at 1/20000 dilution.

All lanes:

Western blot - Anti-MEF2A + MEF2C antibody [EPR19089-34] (ab197070) at 1/1000 dilution

Lane 1:

Wild-type THP-1 cell lysate at 20 µg

Lane 2:

MEF2C knockout THP-1 cell lysate at 20 µg

Lane 2:

Western blot - Human MEF2C knockout THP-1 cell line (<a href='/en-us/products/cell-lines/human-mef2c-knockout-thp-1-cell-line-ab313739'>ab313739</a>)

Lane 2:

Western blot - Human MEF2C knockout THP-1 cell line (<a href='/en-us/products/cell-lines/human-mef2c-knockout-thp-1-cell-line-ab288702'>ab288702</a>)

Lane 3:

Daudi cell lysate at 20 µg

Lane 4:

Jurkat cell lysate at 20 µg

Secondary

All lanes:

Goat anti-Rabbit IgG H&L 800CW and Goat anti-Mouse IgG H&L 680RD at 1/20000 dilution

Observed band size: 55/60 kDa,37 kDa

false

Western blot - Anti-MEF2A + MEF2C antibody [EPR19089-34] (AB197070)
  • WB

Supplier Data

Western blot - Anti-MEF2A + MEF2C antibody [EPR19089-34] (AB197070)

Blocking/Dilution buffer : 5% NFDM/TBST.

Exposure time : Lane 1 : 1minute; Lane 2 and 3 : 3minutes.

The 50-60KD bands observed are consistent with what has been described in the literature (PMID : 18450586).

All lanes:

Western blot - Anti-MEF2A + MEF2C antibody [EPR19089-34] (ab197070) at 1/1000 dilution

Lane 1:

Mouse brain lysate at 10 µg

Lane 2:

Rat brain lysate at 10 µg

Lane 3:

Rat spleen lysate at 10 µg

Secondary

All lanes:

Western blot - Goat Anti-Rabbit IgG H&L (HRP) (<a href='/en-us/products/secondary-antibodies/goat-rabbit-igg-h-l-hrp-ab97051'>ab97051</a>) at 1/100000 dilution

Observed band size: 50-60 kDa

false

Western blot - Anti-MEF2A + MEF2C antibody [EPR19089-34] (AB197070)
  • WB

Supplier Data

Western blot - Anti-MEF2A + MEF2C antibody [EPR19089-34] (AB197070)

Blocking/Dilution buffer : 5% NFDM/TBST.

Exposure time : Lane 1 : 15 seconds; Lane 2 : 30 seconds.

The 50-60KD bands observed are consistent with what has been described in the literature (PMID : 18450586).

All lanes:

Western blot - Anti-MEF2A + MEF2C antibody [EPR19089-34] (ab197070) at 1/1000 dilution

Lane 1:

C6 (Rat glial tumor cells) whole cell lysate at 10 µg

Lane 2:

Raw264.7 (Mouse macrophage cells transformed with Abelson murine leukemia virus) whole cell lysate at 10 µg

Secondary

All lanes:

Western blot - Goat Anti-Rabbit IgG H&L (HRP) (<a href='/en-us/products/secondary-antibodies/goat-rabbit-igg-h-l-hrp-ab97051'>ab97051</a>) at 1/100000 dilution

Observed band size: 50-60 kDa

false

Flow Cytometry (Intracellular) - Anti-MEF2A + MEF2C antibody [EPR19089-34] (AB197070)
  • Flow Cyt (Intra)

Unknown

Flow Cytometry (Intracellular) - Anti-MEF2A + MEF2C antibody [EPR19089-34] (AB197070)

Intracellular Flow Cytometry analysis of Raji (human Burkitt's lymphoma) labelling MEF2A + MEF2C with purified ab197070 at 1/30 (red). Cells were fixed with 4% paraformaldehyde and permeabilised with 90% methanol. Alexa Fluor® 488 goat anti-rabbit IgG (1/2000) was used as the secondary antibody. Black - Isotype control, rabbit monoclonal IgG. Blue - Unlabelled control, cells without incubation with primary and secondary antibodies.

Immunocytochemistry/ Immunofluorescence - Anti-MEF2A + MEF2C antibody [EPR19089-34] (AB197070)
  • ICC/IF

Supplier Data

Immunocytochemistry/ Immunofluorescence - Anti-MEF2A + MEF2C antibody [EPR19089-34] (AB197070)

Immunofluorescent analysis of 4% paraformaldehyde-fixed, 0.1% Triton X-100 permeabilized Raji (Human Burkitt's lymphoma cell line) cells labeling MEF2C with ab197070 at 1/250 dilution, followed by Goat anti-rabbit IgG (Alexa Fluor® 488) (ab150077) secondary antibody at 1/1000 dilution (green). Confocal image showing nuclear staining on Raji cell line. The nuclear counterstain is DAPI (blue). Tubulin is detected with ab7291 (anti-Tubulin mouse mAb) at 1/1000 dilution and ab150120 (AlexaFluor®594 Goat anti-Mouse secondary) at 1/1000 dilution (red).

The negative controls are as follows : -

-ve control 1 : ab197070 at 1/250 dilution followed by ab150120 (AlexaFluor®594 Goat anti-Mouse secondary) at 1/1000 dilution.

-ve control 2 : ab7291 (anti-Tubulin mouse mAb) at 1/1000 dilution followed by ab150077 (Alexa Fluor®488 Goat Anti-Rabbit IgG H&L) at 1/1000 dilution.

Western blot - Anti-MEF2A + MEF2C antibody [EPR19089-34] (AB197070)
  • WB

Supplier Data

Western blot - Anti-MEF2A + MEF2C antibody [EPR19089-34] (AB197070)

Blocking/Dilution buffer : 5% NFDM/TBST.

The 50-60KD bands observed are consistent with what has been described in the literature (PMID : 18450586)

All lanes:

Western blot - Anti-MEF2A + MEF2C antibody [EPR19089-34] (ab197070) at 1/5000 dilution

Lane 1:

Mouse cerebral cortex lysate at 20 µg

Lane 2:

Rat cerebral cortex lysate at 20 µg

Secondary

All lanes:

Western blot - Goat Anti-Rabbit IgG H&L (HRP) (<a href='/en-us/products/secondary-antibodies/goat-rabbit-igg-h-l-hrp-ab97051'>ab97051</a>) at 1/100000 dilution

Observed band size: 50-60 kDa

false

Exposure time: 15s

Western blot - Anti-MEF2A + MEF2C antibody [EPR19089-34] (AB197070)
  • WB

Lab

Western blot - Anti-MEF2A + MEF2C antibody [EPR19089-34] (AB197070)

ab197070 recognizes the full length tagged recombinant proteins MEF2A and MEF2C which have expected molecular weights of 83 and 55 kDa respectively.

This blot was produced using a 4-12% Bis-tris gel under the MOPS buffer system. The gel was run at 200V for 50 minutes before being transferred onto a Nitrocellulose membrane at 30V for 70 minutes. The membrane was then blocked for an hour using 2% Bovine Serum Albumin before being incubated with ab197070 overnight at 4°C. Antibody binding was detected using an anti-rabbit antibody conjugated to HRP, and visualised using ECL development solution ab133406.

All lanes:

Western blot - Anti-MEF2A + MEF2C antibody [EPR19089-34] (ab197070) at 1/1000 dilution

Lane 1:

Recombinant Human MEF2A protein (<a href='/en-us/products/unavailable/recombinant-human-mef2a-protein-ab152519'>ab152519</a>) at 0.1 µg

Lane 2:

Human MEF2C full length protein at 0.1 µg

Secondary

All lanes:

Goat Anti-Rabbit IgG H&L (HRP) preadsorbed at 1/50000 dilution

Observed band size: 55 kDa,83 kDa

true

Exposure time: 1min

Key facts

Host species

Rabbit

Clonality

Monoclonal

Clone number

EPR19089-34

Isotype

IgG

Carrier free

No

Reacts with

Mouse, Rat, Human

Applications

Flow Cyt (Intra), ICC/IF, IHC-P, WB

applications

Immunogen

The exact immunogen used to generate this antibody is proprietary information.

Reactivity data

{ "title": "Reactivity Data", "filters": { "stats": ["", "Species", "Dilution Info", "Notes"], "tabs": { "all-applications": {"fullname" : "All Applications", "shortname": "All Applications"}, "WB" : {"fullname" : "Western blot", "shortname":"WB"}, "ICCIF" : {"fullname" : "Immunocytochemistry/ Immunofluorescence", "shortname":"ICC/IF"}, "FlowCytIntra" : {"fullname" : "Flow Cytometry (Intracellular)", "shortname":"Flow Cyt (Intra)"}, "IHCP" : {"fullname" : "Immunohistochemistry (Formalin/PFA-fixed paraffin-embedded sections)", "shortname":"IHC-P"} }, "product-promise": { "all": "all", "testedAndGuaranteed": "tested", "guaranteed": "expected", "predicted": "predicted", "notRecommended": "not-recommended" } }, "values": { "Human": { "WB-species-checked": "testedAndGuaranteed", "WB-species-dilution-info": "1/1000", "WB-species-notes": "<p></p>", "ICCIF-species-checked": "testedAndGuaranteed", "ICCIF-species-dilution-info": "1/250", "ICCIF-species-notes": "<p></p>", "FlowCytIntra-species-checked": "testedAndGuaranteed", "FlowCytIntra-species-dilution-info": "1/30", "FlowCytIntra-species-notes": "<p></p>", "IHCP-species-checked": "testedAndGuaranteed", "IHCP-species-dilution-info": "1/500", "IHCP-species-notes": "<p></p> Perform heat-mediated antigen retrieval with Tris/EDTA buffer pH 9.0 before commencing with IHC staining protocol." }, "Mouse": { "WB-species-checked": "testedAndGuaranteed", "WB-species-dilution-info": "1/1000", "WB-species-notes": "<p></p>", "ICCIF-species-checked": "guaranteed", "ICCIF-species-dilution-info": "", "ICCIF-species-notes": "", "FlowCytIntra-species-checked": "guaranteed", "FlowCytIntra-species-dilution-info": "", "FlowCytIntra-species-notes": "", "IHCP-species-checked": "testedAndGuaranteed", "IHCP-species-dilution-info": "1/500", "IHCP-species-notes": "<p></p> Perform heat-mediated antigen retrieval with Tris/EDTA buffer pH 9.0 before commencing with IHC staining protocol." }, "Rat": { "WB-species-checked": "testedAndGuaranteed", "WB-species-dilution-info": "1/1000", "WB-species-notes": "<p></p>", "ICCIF-species-checked": "guaranteed", "ICCIF-species-dilution-info": "", "ICCIF-species-notes": "", "FlowCytIntra-species-checked": "guaranteed", "FlowCytIntra-species-dilution-info": "", "FlowCytIntra-species-notes": "", "IHCP-species-checked": "testedAndGuaranteed", "IHCP-species-dilution-info": "1/500", "IHCP-species-notes": "<p></p> Perform heat-mediated antigen retrieval with Tris/EDTA buffer pH 9.0 before commencing with IHC staining protocol." }, "Recombinant full length protein - Human": { "WB-species-checked": "testedAndGuaranteed", "WB-species-dilution-info": "1/1000", "WB-species-notes": "<p></p>", "ICCIF-species-checked": "notRecommended", "ICCIF-species-dilution-info": "", "ICCIF-species-notes": "", "FlowCytIntra-species-checked": "notRecommended", "FlowCytIntra-species-dilution-info": "", "FlowCytIntra-species-notes": "", "IHCP-species-checked": "notRecommended", "IHCP-species-dilution-info": "", "IHCP-species-notes": "" } } }

Product details

What is this antibody validated in?
Anti-MEF2A + MEF2C antibody [EPR19089-34] (ab197070) is a rabbit recombinant monoclonal antibody and is validated for use in Western Blot (WB), Flow Cytometry (Intra), Flow Cytometry (Flow Cyt), Immunohistochemistry (IHC-P), Immunocytochemistry/immunofluorescence (ICC/IF) in Human, Mouse, Rat samples.

What is the molecular weight of MEF2A?
Anti-MEF2A + MEF2C [EPR19089-34] (ab197070) specifically detects a band for MEF2A (UniProt: Q06413) at a molecular weight of 51kDa.

Trusted by the scientific community
Anti-MEF2A + MEF2C [EPR19089-34] (ab197070) was first used in a scientific publication in 2015 and has been cited over 10 times in peer-reviewed journals.

Trial sizes available!
Test your antibody or perform pre-screening before committing to a larger quantity. Sold in 10µl. Discover our selection of trial-size antibodies.

Specificity confirmed
The specificity of Anti-MEF2A + MEF2C antibody [EPR19089-34] (ab197070) has been confirmed by Western blot testing in MEF2C Knockout THP-1 cell line, ab313739.

Other related products
We have a range of other formats of antibody clone [EPR19089-34] also available for your convenience: ab197070, Carrier free - ab238446, Carrier free - ab282242

Patented technology
Our RabMAb® technology is a patented hybridoma-based technology for making rabbit monoclonal antibodies. For details on our patents, please refer to RabMAb® patents.

What are the advantages of a recombinant monoclonal antibody?
This product is a recombinant monoclonal antibody, which offers several advantages including:

  • - High batch-to-batch consistency and reproducibility
  • - Improved sensitivity and specificity
  • - Long-term security of supply
  • - Animal-free batch production

For more information, read more on recombinant antibodies.

Properties and storage information

Form
Liquid
Purification technique
Affinity purification Protein A
Storage buffer
pH: 7.2 - 7.4 Preservative: 0.01% Sodium azide Constituents: PBS, 40% Glycerol (glycerin, glycerine), 0.05% BSA
Shipped at conditions
Blue Ice
Appropriate short-term storage duration
1-2 weeks
Appropriate short-term storage conditions
+4°C
Appropriate long-term storage conditions
-20°C
Aliquoting information
Upon delivery aliquot
Storage information
Avoid freeze / thaw cycle

Supplementary information

This supplementary information is collated from multiple sources and compiled automatically.

MEF2A (Myocyte Enhancer Factor 2A) and MEF2C (Myocyte Enhancer Factor 2C) are transcription factors belonging to the MEF2 family. MEF2A has a molecular mass of approximately 55 kDa while MEF2C is around 51 kDa. Both MEF2A and MEF2C modulate gene expression through direct binding to regulatory DNA sequences. These proteins express in numerous tissues including muscle brain and vascular tissues indicating their extensive role in various cellular processes. MEF2A and MEF2C closely relate due to their structural similarities and functional overlap often working in concert with similar cofactors and regulatory proteins.
Biological function summary

MEF2A and MEF2C regulate multiple cellular processes especially in muscle differentiation and neuronal development. They frequently form complexes with other transcriptional regulators and play a significant role in the activation and repression of target genes. Through their interaction with the regulatory regions of DNA they help coordinate the transcriptional response necessary for cell growth development and survival. Their important involvement in muscle and nervous system development positions them as central players in maintaining proper cellular function during these processes.

Pathways

MEF2A and MEF2C serve as integral components in the MAPK and calcium signaling pathways. These pathways impact cellular response to environmental stimuli and regulate critical processes such as cell growth and differentiation. Interacting proteins like HDACs (histone deacetylases) further modulate the activity of MEF2A and MEF2C affecting their ability to regulate gene expression in response to various signals. This relationship is essential because it sustains the balance between activation and repression of target genes within these pathways.

MEF2A and MEF2C have significant implications in cardiovascular diseases and neurological disorders. Mutations or dysregulation in MEF2A often link to coronary artery disease highlighting its importance in cardiovascular health. Meanwhile MEF2C plays a role in autism spectrum disorders with abnormalities in its expression or function disrupting normal neuronal development. Both MEF2A and MEF2C interact with proteins such as GATA4 in the context of cardiac function and synaptic proteins for neuronal development respectively providing potential therapeutic targets for addressing the associated diseases and disorders.

Product protocols

For this product, it's our understanding that no specific protocols are required. You can visit:

Target data

Transcription activator which binds specifically to the MEF2 element present in the regulatory regions of many muscle-specific genes. Controls cardiac morphogenesis and myogenesis, and is also involved in vascular development. Enhances transcriptional activation mediated by SOX18. Plays an essential role in hippocampal-dependent learning and memory by suppressing the number of excitatory synapses and thus regulating basal and evoked synaptic transmission. Crucial for normal neuronal development, distribution, and electrical activity in the neocortex. Necessary for proper development of megakaryocytes and platelets and for bone marrow B-lymphopoiesis. Required for B-cell survival and proliferation in response to BCR stimulation, efficient IgG1 antibody responses to T-cell-dependent antigens and for normal induction of germinal center B-cells. May also be involved in neurogenesis and in the development of cortical architecture (By similarity). Isoforms that lack the repressor domain are more active than isoform 1.
See full target information MEF2C

Additional targets

MEF2A

Publications (14)

Recent publications for all applications. Explore the full list and refine your search

Development (Cambridge, England) 152: PubMed39803985

2025

A cardiac transcriptional enhancer is repurposed during regeneration to activate an anti-proliferative program.

Applications

Unspecified application

Species

Unspecified reactive species

Anupama Rao,Andrew Russell,Jose Segura-Bermudez,Charles Franz,Rejenae Dockery,Anton Blatnik,Jacob Panten,Mateo Zevallos,Carson McNulty,Maciej Pietrzak,Joseph Aaron Goldman

iScience 27:108590 PubMed38161415

2024

Glucose restriction enhances oxidative fiber formation: A multi-omic signal network involving AMPK and CaMK2.

Applications

Unspecified application

Species

Unspecified reactive species

Kaiyi Zhang,Ning Xie,Huaqiong Ye,Jiakun Miao,Boce Xia,Yu Yang,Huanqi Peng,Shuang Xu,Tianwen Wu,Cong Tao,Jinxue Ruan,Yanfang Wang,Shulin Yang

Development (Cambridge, England) 150: PubMed37306388

2023

The translation initiation factor homolog eif4e1c regulates cardiomyocyte metabolism and proliferation during heart regeneration.

Applications

Unspecified application

Species

Unspecified reactive species

Anupama Rao,Baken Lyu,Ishrat Jahan,Anna Lubertozzi,Gao Zhou,Frank Tedeschi,Eckhard Jankowsky,Junsu Kang,Bryan Carstens,Kenneth D Poss,Kedryn Baskin,Joseph Aaron Goldman

Frontiers in endocrinology 13:1029750 PubMed36568083

2022

Quercetin alleviates diastolic dysfunction and suppresses adverse pro-hypertrophic signaling in diabetic rats.

Applications

Unspecified application

Species

Unspecified reactive species

Linda Bartosova,Csaba Horvath,Peter Galis,Kristina Ferenczyova,Barbora Kalocayova,Adrian Szobi,Adriana Duris-Adameova,Monika Bartekova,Tomas Rajtik

Nature cell biology 24:685-696 PubMed35513710

2022

Enhancer selection dictates gene expression responses in remote organs during tissue regeneration.

Applications

Unspecified application

Species

Unspecified reactive species

Fei Sun,Jianhong Ou,Adam R Shoffner,Yu Luan,Hongbo Yang,Lingyun Song,Alexias Safi,Jingli Cao,Feng Yue,Gregory E Crawford,Kenneth D Poss

Development (Cambridge, England) 148: PubMed34397091

2021

Live imaging of adult zebrafish cardiomyocyte proliferation ex vivo.

Applications

Unspecified application

Species

Unspecified reactive species

Hessel Honkoop,Phong D Nguyen,Veronique E M van der Velden,Katharina F Sonnen,Jeroen Bakkers

eLife 10: PubMed33764296

2021

In vivo proximity labeling identifies cardiomyocyte protein networks during zebrafish heart regeneration.

Applications

Unspecified application

Species

Unspecified reactive species

Mira I Pronobis,Susan Zheng,Sumeet Pal Singh,Joseph A Goldman,Kenneth D Poss

Cell reports 32:108089 PubMed32877671

2020

Tp53 Suppression Promotes Cardiomyocyte Proliferation during Zebrafish Heart Regeneration.

Applications

Unspecified application

Species

Unspecified reactive species

Adam Shoffner,Valentina Cigliola,Nutishia Lee,Jianhong Ou,Kenneth D Poss

eLife 9: PubMed32851972

2020

An essential role for MEF2C in the cortical response to loss of sleep in mice.

Applications

Unspecified application

Species

Unspecified reactive species

Theresa E Bjorness,Ashwinikumar Kulkarni,Volodymyr Rybalchenko,Ayako Suzuki,Catherine Bridges,Adam J Harrington,Christopher W Cowan,Joseph S Takahashi,Genevieve Konopka,Robert W Greene

Acta neuropathologica 140:63-80 PubMed32306066

2020

MEF2 impairment underlies skeletal muscle atrophy in polyglutamine disease.

Applications

Unspecified application

Species

Unspecified reactive species

Samir R Nath,Matthew L Lieberman,Zhigang Yu,Caterina Marchioretti,Samuel T Jones,Emily C E Danby,Kate M Van Pelt,Gianni Sorarù,Diane M Robins,Gillian P Bates,Maria Pennuto,Andrew P Lieberman
View all publications

Product promise

We are committed to supporting your work with high-quality reagents, and we're here for you every step of the way. In the unlikely event that one of our products does not perform as expected, you're protected by our Product Promise.
For full details, please see our Terms & Conditions

Please note: All products are 'FOR RESEARCH USE ONLY. NOT FOR USE IN DIAGNOSTIC OR THERAPEUTIC PROCEDURES'.

For licensing inquiries, please contact partnerships@abcam.com