JavaScript is disabled in your browser. Please enable JavaScript to view this website.
AB238446

Anti-MEF2A + MEF2C antibody [EPR19089-34] - BSA and Azide free

Be the first to review this product! Submit a review

|

(1 Publication)

Rabbit Recombinant Monoclonal MEF2C antibody. Carrier free. Suitable for ICC/IF, Flow Cyt (Intra), IHC-P, WB and reacts with Human, Mouse, Rat samples. Cited in 1 publication.

View Alternative Names

Myocyte-specific enhancer factor 2C, Myocyte enhancer factor 2C, MEF2C

12 Images
Immunocytochemistry/ Immunofluorescence - Anti-MEF2A + MEF2C antibody [EPR19089-34] - BSA and Azide free (AB238446)
  • ICC/IF

Supplier Data

Immunocytochemistry/ Immunofluorescence - Anti-MEF2A + MEF2C antibody [EPR19089-34] - BSA and Azide free (AB238446)

Immunofluorescent analysis of 4% paraformaldehyde-fixed, 0.1% Triton X-100 permeabilized K562 (Human chronic myelogenous leukemia cells from bone marrow) cells labeling MEF2C with ab197070 at 1/250 dilution, followed by Goat anti-rabbit IgG (Alexa Fluor® 488) (ab150077) secondary antibody at 1/1000 dilution (green). Confocal image showing nuclear staining on K562 cell line. The nuclear counterstain is DAPI (blue). Tubulin is detected with ab7291 (anti-Tubulin mouse mAb) at 1/1000 dilution and ab150120 (AlexaFluor®594 Goat anti-Mouse secondary) at 1/1000 dilution (red).

The negative controls are as follows : -

-ve control 1 : ab197070 at 1/250 dilution followed by ab150120 (AlexaFluor®594 Goat anti-Mouse secondary) at 1/1000 dilution.

-ve control 2 : ab7291 (anti-Tubulin mouse mAb) at 1/1000 dilution followed by ab150077 (Alexa Fluor®488 Goat Anti-Rabbit IgG H&L) at 1/1000 dilution.

This data was developed using the same antibody clone in a different buffer formulation containing PBS, BSA, glycerol, and sodium azide (ab197070).

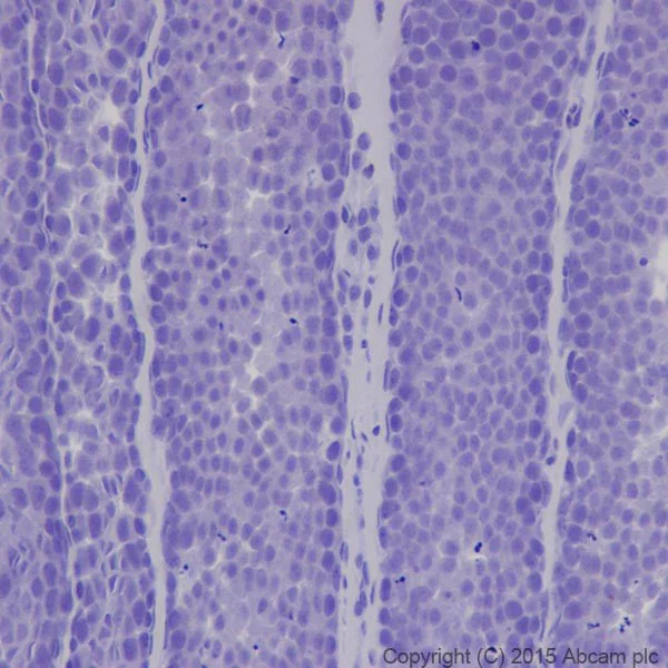
Immunohistochemistry (Formalin/PFA-fixed paraffin-embedded sections) - Anti-MEF2A + MEF2C antibody [EPR19089-34] - BSA and Azide free (AB238446)
  • IHC-P

Supplier Data

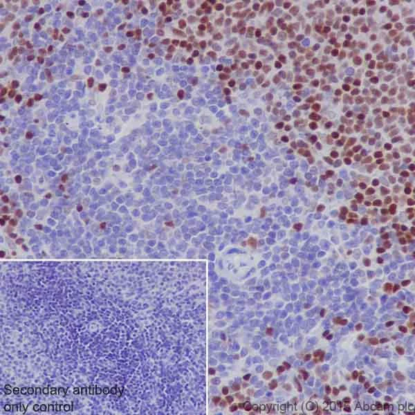
Immunohistochemistry (Formalin/PFA-fixed paraffin-embedded sections) - Anti-MEF2A + MEF2C antibody [EPR19089-34] - BSA and Azide free (AB238446)

Immunohistochemical analysis of paraffin-embedded Human tonsil tissue labeling MEF2C with ab197070 at 1/500 dilution, followed by Goat Anti-Rabbit IgG H&L (HRP) (ab97051) at 1/500 dilution. Nuclear staining on B lymphocytes of the Human tonsil is observed. Counter stained with Hematoxylin.

Secondary antibody only control : Used PBS instead of primary antibody, secondary antibody is Goat Anti-Rabbit IgG H&L (HRP) (ab97051) at 1/500 dilution.

This data was developed using the same antibody clone in a different buffer formulation containing PBS, BSA, glycerol, and sodium azide (ab197070).

Perform heat mediated antigen retrieval with Tris/EDTA buffer pH 9.0 before commencing with IHC staining protocol.

Immunohistochemistry (Formalin/PFA-fixed paraffin-embedded sections) - Anti-MEF2A + MEF2C antibody [EPR19089-34] - BSA and Azide free (AB238446)
  • IHC-P

Supplier Data

Immunohistochemistry (Formalin/PFA-fixed paraffin-embedded sections) - Anti-MEF2A + MEF2C antibody [EPR19089-34] - BSA and Azide free (AB238446)

Immunohistochemical analysis of paraffin-embedded Human thymus tissue labeling MEF2C with ab197070 at 1/500 dilution, followed by Goat Anti-Rabbit IgG H&L (HRP) (ab97051) at 1/500 dilution. Negative staining on normal Human thymus is observed. Counter stained with Hematoxylin.

This data was developed using the same antibody clone in a different buffer formulation containing PBS, BSA, glycerol, and sodium azide (ab197070).

Perform heat mediated antigen retrieval with Tris/EDTA buffer pH 9.0 before commencing with IHC staining protocol.

Immunohistochemistry (Formalin/PFA-fixed paraffin-embedded sections) - Anti-MEF2A + MEF2C antibody [EPR19089-34] - BSA and Azide free (AB238446)
  • IHC-P

Supplier Data

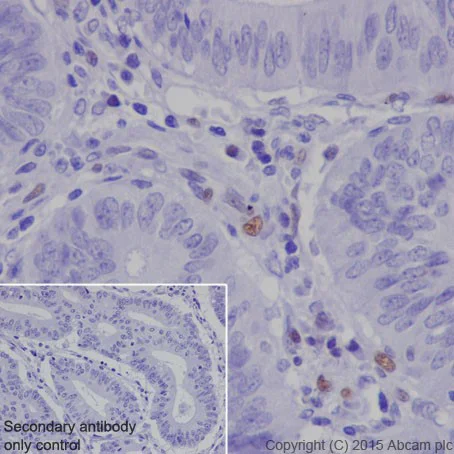
Immunohistochemistry (Formalin/PFA-fixed paraffin-embedded sections) - Anti-MEF2A + MEF2C antibody [EPR19089-34] - BSA and Azide free (AB238446)

Immunohistochemical analysis of paraffin-embedded Human colonic adenocarcinoma tissue labeling MEF2C with ab197070 at 1/500 dilution, followed by Goat Anti-Rabbit IgG H&L (HRP) (ab97051) at 1/500 dilution. Nucleus staining on lymphocytes of the colonic adenocarcinoma is observed. Counter stained with Hematoxylin.

Secondary antibody only control : Used PBS instead of primary antibody, secondary antibody is Goat Anti-Rabbit IgG H&L (HRP) (ab97051) at 1/500 dilution.

This data was developed using the same antibody clone in a different buffer formulation containing PBS, BSA, glycerol, and sodium azide (ab197070).

Perform heat mediated antigen retrieval with Tris/EDTA buffer pH 9.0 before commencing with IHC staining protocol.

Immunocytochemistry/ Immunofluorescence - Anti-MEF2A + MEF2C antibody [EPR19089-34] - BSA and Azide free (AB238446)
  • ICC/IF

Supplier Data

Immunocytochemistry/ Immunofluorescence - Anti-MEF2A + MEF2C antibody [EPR19089-34] - BSA and Azide free (AB238446)

Immunofluorescent analysis of 4% paraformaldehyde-fixed, 0.1% Triton X-100 permeabilized Raji (Human Burkitt's lymphoma cell line) and Jurkat (Human T cell leukemia cells from peripheral blood) cells labeling MEF2C with ab197070 at 1/250 dilution, followed by Goat anti-rabbit IgG (Alexa Fluor® 488) (ab150077) secondary antibody at 1/1000 dilution (green). Confocal image showing nuclear staining on Raji cell line. Negative expression in Jurkat cells. The nuclear counterstain is DAPI (blue). Tubulin is detected with ab7291 (anti-Tubulin mouse mAb) at 1/1000 dilution and ab150120 (AlexaFluor®594 Goat anti-Mouse secondary) at 1/1000 dilution (red).

The negative controls are as follows : -

-ve control 1 : ab197070 at 1/250 dilution followed by ab150120 (AlexaFluor®594 Goat anti-Mouse secondary) at 1/1000 dilution.

-ve control 2 : ab7291 (anti-Tubulin mouse mAb) at 1/1000 dilution followed by ab150077 (Alexa Fluor®488 Goat Anti-Rabbit IgG H&L) at 1/1000 dilution.

This data was developed using the same antibody clone in a different buffer formulation containing PBS, BSA, glycerol, and sodium azide (ab197070).

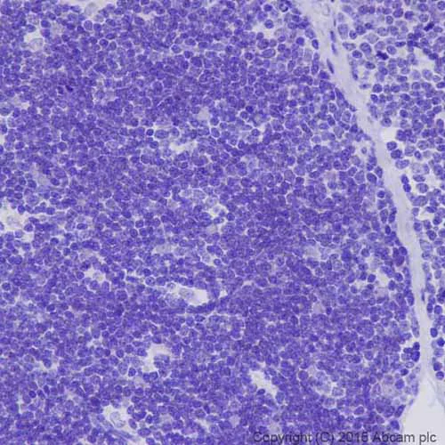
Immunohistochemistry (Formalin/PFA-fixed paraffin-embedded sections) - Anti-MEF2A + MEF2C antibody [EPR19089-34] - BSA and Azide free (AB238446)
  • IHC-P

Supplier Data

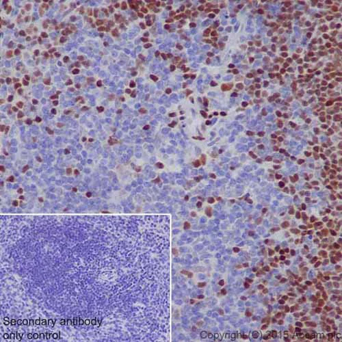
Immunohistochemistry (Formalin/PFA-fixed paraffin-embedded sections) - Anti-MEF2A + MEF2C antibody [EPR19089-34] - BSA and Azide free (AB238446)

Immunohistochemical analysis of paraffin-embedded Rat spleen tissue labeling MEF2C with ab197070 at 1/500 dilution, followed by Goat Anti-Rabbit IgG H&L (HRP) (ab97051) at 1/500 dilution. Nuclear staining on B lymphocytes of the rat spleen, the T cells in the periarterial lymphatic sheath showed negative staining. Counter stained with Hematoxylin.

Secondary antibody only control : Used PBS instead of primary antibody, secondary antibody is Goat Anti-Rabbit IgG H&L (HRP) (ab97051) at 1/500 dilution.

This data was developed using the same antibody clone in a different buffer formulation containing PBS, BSA, glycerol, and sodium azide (ab197070).

Perform heat mediated antigen retrieval with Tris/EDTA buffer pH 9.0 before commencing with IHC staining protocol.

Immunohistochemistry (Formalin/PFA-fixed paraffin-embedded sections) - Anti-MEF2A + MEF2C antibody [EPR19089-34] - BSA and Azide free (AB238446)
  • IHC-P

Supplier Data

Immunohistochemistry (Formalin/PFA-fixed paraffin-embedded sections) - Anti-MEF2A + MEF2C antibody [EPR19089-34] - BSA and Azide free (AB238446)

Immunohistochemical analysis of paraffin-embedded Rat testis tissue labeling MEF2C with ab197070 at 1/500 dilution, followed by Goat Anti-Rabbit IgG H&L (HRP) (ab97051) at 1/500 dilution. Negative staining on rat testis is observed. Counter stained with Hematoxylin.

This data was developed using the same antibody clone in a different buffer formulation containing PBS, BSA, glycerol, and sodium azide (ab197070).

Perform heat mediated antigen retrieval with Tris/EDTA buffer pH 9.0 before commencing with IHC staining protocol.

Immunohistochemistry (Formalin/PFA-fixed paraffin-embedded sections) - Anti-MEF2A + MEF2C antibody [EPR19089-34] - BSA and Azide free (AB238446)
  • IHC-P

Supplier Data

Immunohistochemistry (Formalin/PFA-fixed paraffin-embedded sections) - Anti-MEF2A + MEF2C antibody [EPR19089-34] - BSA and Azide free (AB238446)

Immunohistochemical analysis of paraffin-embedded Mouse spleen tissue labeling MEF2C with ab197070 at 1/500 dilution, followed by Goat Anti-Rabbit IgG H&L (HRP) (ab97051) at 1/500 dilution. Nuclear staining on B lymphocytes of the mouse spleen, the T cells in the periarterial lymphatic sheath showed negative staining. Counter stained with Hematoxylin.

Secondary antibody only control : Used PBS instead of primary antibody, secondary antibody is Goat Anti-Rabbit IgG H&L (HRP) (ab97051) at 1/500 dilution.

This data was developed using the same antibody clone in a different buffer formulation containing PBS, BSA, glycerol, and sodium azide (ab197070).

Perform heat mediated antigen retrieval with Tris/EDTA buffer pH 9.0 before commencing with IHC staining protocol.

Immunohistochemistry (Formalin/PFA-fixed paraffin-embedded sections) - Anti-MEF2A + MEF2C antibody [EPR19089-34] - BSA and Azide free (AB238446)
  • IHC-P

Supplier Data

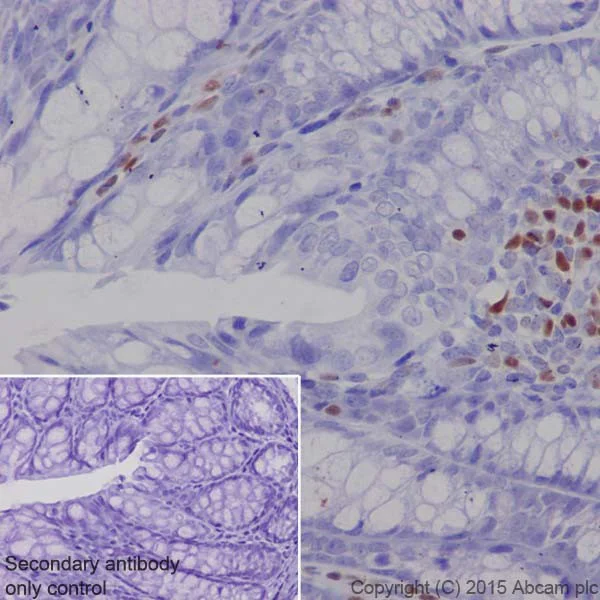
Immunohistochemistry (Formalin/PFA-fixed paraffin-embedded sections) - Anti-MEF2A + MEF2C antibody [EPR19089-34] - BSA and Azide free (AB238446)

Immunohistochemical analysis of paraffin-embedded Mouse colon tissue labeling MEF2C with ab197070 at 1/500 dilution, followed by Goat Anti-Rabbit IgG H&L (HRP) (ab97051) at 1/500 dilution. Negative staining on the mouse colon epithelium, the lymphocytes on the interstitial substance showed nuclear staining. Counter stained with Hematoxylin.

Secondary antibody only control : Used PBS instead of primary antibody, secondary antibody is Goat Anti-Rabbit IgG H&L (HRP) (ab97051) at 1/500 dilution.

This data was developed using the same antibody clone in a different buffer formulation containing PBS, BSA, glycerol, and sodium azide (ab197070).

Perform heat mediated antigen retrieval with Tris/EDTA buffer pH 9.0 before commencing with IHC staining protocol.

Western blot - Anti-MEF2A + MEF2C antibody [EPR19089-34] - BSA and Azide free (AB238446)
  • WB

Supplier Data

Western blot - Anti-MEF2A + MEF2C antibody [EPR19089-34] - BSA and Azide free (AB238446)

False colour image of Western blot : Anti-MEF2A + MEF2C antibody [EPR19089-34] staining at 1/1000 dilution, shown in green; Mouse anti-GAPDH antibody [6C5] (ab8245) loading control staining at 1/20000 dilution, shown in red. In Western blot, ab197070 was shown to bind specifically to MEF2C. A band was observed at 55/60 kDa in wild-type THP-1 cell lysates with no signal observed at this size in MEF2C knockout cell line (ab313739). To generate this image, wild-type and MEF2C knockout THP-1 cell lysates were analysed. First, samples were run on an SDS-PAGE gel then transferred onto a nitrocellulose membrane. Membranes were blocked in 3 % milk in TBS-0.1 % Tween® 20 (TBS-T) before incubation with primary antibodies overnight at 4 °C. Blots were washed four times in TBS-T, incubated with secondary antibodies for 1 h at room temperature, washed again four times then imaged. Secondary antibodies used were Goat anti-Rabbit IgG H&L 800CW and Goat anti-Mouse IgG H&L 680RD at 1/20000 dilution.

This data was developed using the same antibody clone in a different buffer formulation containing PBS, BSA, glycerol, and sodium azide (ab197070).

All lanes:

Western blot - Anti-MEF2A + MEF2C antibody [EPR19089-34] (<a href='/en-us/products/primary-antibodies/mef2a-mef2c-antibody-epr19089-34-ab197070'>ab197070</a>) at 1/1000 dilution

Lane 1:

Wild-type THP-1 cell lysate at 20 µg

Lane 2:

MEF2C knockout THP-1 cell lysate at 20 µg

Lane 2:

Western blot - Human MEF2C knockout THP-1 cell line (<a href='/en-us/products/cell-lines/human-mef2c-knockout-thp-1-cell-line-ab313739'>ab313739</a>)

Lane 2:

Western blot - Human MEF2C knockout THP-1 cell line (<a href='/en-us/products/cell-lines/human-mef2c-knockout-thp-1-cell-line-ab288702'>ab288702</a>)

Lane 3:

Daudi cell lysate at 20 µg

Lane 4:

Jurkat cell lysate at 20 µg

Secondary

All lanes:

Goat anti-Rabbit IgG H&L 800CW and Goat anti-Mouse IgG H&L 680RD at 1/20000 dilution

Observed band size: 55/60 kDa,37 kDa

false

Flow Cytometry (Intracellular) - Anti-MEF2A + MEF2C antibody [EPR19089-34] - BSA and Azide free (AB238446)
  • Flow Cyt (Intra)

Unknown

Flow Cytometry (Intracellular) - Anti-MEF2A + MEF2C antibody [EPR19089-34] - BSA and Azide free (AB238446)

Intracellular Flow Cytometry analysis of Raji (human Burkitt's lymphoma) labelling MEF2A + MEF2C with purified ab197070 at 1/30 (red). Cells were fixed with 4% paraformaldehyde and permeabilised with 90% methanol. Alexa Fluor® 488 goat anti-rabbit IgG (1/2000) was used as the secondary antibody. Black - Isotype control, rabbit monoclonal IgG. Blue - Unlabelled control, cells without incubation with primary and secondary antibodies.

This data was developed using the same antibody clone in a different buffer formulation containing PBS, BSA, glycerol, and sodium azide (ab197070).

Immunocytochemistry/ Immunofluorescence - Anti-MEF2A + MEF2C antibody [EPR19089-34] - BSA and Azide free (AB238446)
  • ICC/IF

Supplier Data

Immunocytochemistry/ Immunofluorescence - Anti-MEF2A + MEF2C antibody [EPR19089-34] - BSA and Azide free (AB238446)

Immunofluorescent analysis of 4% paraformaldehyde-fixed, 0.1% Triton X-100 permeabilized Raji (Human Burkitt's lymphoma cell line) cells labeling MEF2C with ab197070 at 1/250 dilution, followed by Goat anti-rabbit IgG (Alexa Fluor® 488) (ab150077) secondary antibody at 1/1000 dilution (green). Confocal image showing nuclear staining on Raji cell line. The nuclear counterstain is DAPI (blue). Tubulin is detected with ab7291 (anti-Tubulin mouse mAb) at 1/1000 dilution and ab150120 (AlexaFluor®594 Goat anti-Mouse secondary) at 1/1000 dilution (red).

The negative controls are as follows : -

-ve control 1 : ab197070 at 1/250 dilution followed by ab150120 (AlexaFluor®594 Goat anti-Mouse secondary) at 1/1000 dilution.

-ve control 2 : ab7291 (anti-Tubulin mouse mAb) at 1/1000 dilution followed by ab150077 (Alexa Fluor®488 Goat Anti-Rabbit IgG H&L) at 1/1000 dilution.

This data was developed using the same antibody clone in a different buffer formulation containing PBS, BSA, glycerol, and sodium azide (ab197070).

Key facts

Host species

Rabbit

Clonality

Monoclonal

Clone number

EPR19089-34

Isotype

IgG

Carrier free

Yes

Reacts with

Mouse, Rat, Human

Applications

ICC/IF, Flow Cyt (Intra), WB, IHC-P

applications

Immunogen

The exact immunogen used to generate this antibody is proprietary information.

Reactivity data

{ "title": "Reactivity Data", "filters": { "stats": ["", "Species", "Dilution Info", "Notes"], "tabs": { "all-applications": {"fullname" : "All Applications", "shortname": "All Applications"}, "ICCIF" : {"fullname" : "Immunocytochemistry/ Immunofluorescence", "shortname":"ICC/IF"}, "FlowCytIntra" : {"fullname" : "Flow Cytometry (Intracellular)", "shortname":"Flow Cyt (Intra)"}, "IHCP" : {"fullname" : "Immunohistochemistry (Formalin/PFA-fixed paraffin-embedded sections)", "shortname":"IHC-P"}, "WB" : {"fullname" : "Western blot", "shortname":"WB"} }, "product-promise": { "all": "all", "testedAndGuaranteed": "tested", "guaranteed": "expected", "predicted": "predicted", "notRecommended": "not-recommended" } }, "values": { "Human": { "ICCIF-species-checked": "testedAndGuaranteed", "ICCIF-species-dilution-info": "", "ICCIF-species-notes": "<p></p>", "FlowCytIntra-species-checked": "testedAndGuaranteed", "FlowCytIntra-species-dilution-info": "", "FlowCytIntra-species-notes": "<p></p>", "IHCP-species-checked": "testedAndGuaranteed", "IHCP-species-dilution-info": "", "IHCP-species-notes": "<p></p> Perform heat-mediated antigen retrieval with Tris/EDTA buffer pH 9.0 before commencing with IHC staining protocol.", "WB-species-checked": "testedAndGuaranteed", "WB-species-dilution-info": "", "WB-species-notes": "<p></p>" }, "Mouse": { "ICCIF-species-checked": "guaranteed", "ICCIF-species-dilution-info": "", "ICCIF-species-notes": "", "FlowCytIntra-species-checked": "guaranteed", "FlowCytIntra-species-dilution-info": "", "FlowCytIntra-species-notes": "", "IHCP-species-checked": "testedAndGuaranteed", "IHCP-species-dilution-info": "", "IHCP-species-notes": "<p></p> Perform heat-mediated antigen retrieval with Tris/EDTA buffer pH 9.0 before commencing with IHC staining protocol.", "WB-species-checked": "testedAndGuaranteed", "WB-species-dilution-info": "", "WB-species-notes": "<p></p>" }, "Rat": { "ICCIF-species-checked": "guaranteed", "ICCIF-species-dilution-info": "", "ICCIF-species-notes": "", "FlowCytIntra-species-checked": "guaranteed", "FlowCytIntra-species-dilution-info": "", "FlowCytIntra-species-notes": "", "IHCP-species-checked": "testedAndGuaranteed", "IHCP-species-dilution-info": "", "IHCP-species-notes": "<p></p> Perform heat-mediated antigen retrieval with Tris/EDTA buffer pH 9.0 before commencing with IHC staining protocol.", "WB-species-checked": "testedAndGuaranteed", "WB-species-dilution-info": "", "WB-species-notes": "<p></p>" } } }

Product details

ab238446 is the carrier-free version of ab197070.

Patented technology
Our RabMAb® technology is a patented hybridoma-based technology for making rabbit monoclonal antibodies. For details on our patents, please refer to RabMAb® patents.

What are the advantages of a recombinant monoclonal antibody?
This product is a recombinant monoclonal antibody, which offers several advantages including:

  • - High batch-to-batch consistency and reproducibility
  • - Improved sensitivity and specificity
  • - Long-term security of supply
  • - Animal-free batch production

For more information, read more on recombinant antibodies.

Conjugation ready
Our carrier-free antibodies are typically supplied in a PBS-only formulation, purified and free of BSA, sodium azide and glycerol. This conjugation-ready format is designed for use with fluorochromes, metal isotopes, oligonucleotides, and enzymes, which makes them ideal for antibody labelling, functional and cell-based assays, flow-based assays (e.g. mass cytometry) and Multiplex Imaging applications.

Use our conjugation kits for antibody conjugates that are ready-to-use in as little as 20 minutes with 1 minute hands-on-time and 100% antibody recovery: available for fluorescent dyes, HRP, biotin and gold.

Compatibility
This product is compatible with the Maxpar® Antibody Labeling Kit from Fluidigm, without the need for antibody preparation. Maxpar® is a trademark of Fluidigm Canada Inc.

Properties and storage information

Form
Liquid
Purification technique
Affinity purification Protein A
Storage buffer
pH: 7.2 - 7.4 Constituents: PBS
Shipped at conditions
Blue Ice
Appropriate short-term storage conditions
+4°C
Appropriate long-term storage conditions
+4°C
Storage information
Do Not Freeze

Supplementary information

This supplementary information is collated from multiple sources and compiled automatically.

MEF2A (Myocyte Enhancer Factor 2A) and MEF2C (Myocyte Enhancer Factor 2C) are transcription factors belonging to the MEF2 family. MEF2A has a molecular mass of approximately 55 kDa while MEF2C is around 51 kDa. Both MEF2A and MEF2C modulate gene expression through direct binding to regulatory DNA sequences. These proteins express in numerous tissues including muscle brain and vascular tissues indicating their extensive role in various cellular processes. MEF2A and MEF2C closely relate due to their structural similarities and functional overlap often working in concert with similar cofactors and regulatory proteins.
Biological function summary

MEF2A and MEF2C regulate multiple cellular processes especially in muscle differentiation and neuronal development. They frequently form complexes with other transcriptional regulators and play a significant role in the activation and repression of target genes. Through their interaction with the regulatory regions of DNA they help coordinate the transcriptional response necessary for cell growth development and survival. Their important involvement in muscle and nervous system development positions them as central players in maintaining proper cellular function during these processes.

Pathways

MEF2A and MEF2C serve as integral components in the MAPK and calcium signaling pathways. These pathways impact cellular response to environmental stimuli and regulate critical processes such as cell growth and differentiation. Interacting proteins like HDACs (histone deacetylases) further modulate the activity of MEF2A and MEF2C affecting their ability to regulate gene expression in response to various signals. This relationship is essential because it sustains the balance between activation and repression of target genes within these pathways.

MEF2A and MEF2C have significant implications in cardiovascular diseases and neurological disorders. Mutations or dysregulation in MEF2A often link to coronary artery disease highlighting its importance in cardiovascular health. Meanwhile MEF2C plays a role in autism spectrum disorders with abnormalities in its expression or function disrupting normal neuronal development. Both MEF2A and MEF2C interact with proteins such as GATA4 in the context of cardiac function and synaptic proteins for neuronal development respectively providing potential therapeutic targets for addressing the associated diseases and disorders.

Product protocols

For this product, it's our understanding that no specific protocols are required. You can visit:

Target data

Transcription activator which binds specifically to the MEF2 element present in the regulatory regions of many muscle-specific genes. Controls cardiac morphogenesis and myogenesis, and is also involved in vascular development. Enhances transcriptional activation mediated by SOX18. Plays an essential role in hippocampal-dependent learning and memory by suppressing the number of excitatory synapses and thus regulating basal and evoked synaptic transmission. Crucial for normal neuronal development, distribution, and electrical activity in the neocortex. Necessary for proper development of megakaryocytes and platelets and for bone marrow B-lymphopoiesis. Required for B-cell survival and proliferation in response to BCR stimulation, efficient IgG1 antibody responses to T-cell-dependent antigens and for normal induction of germinal center B-cells. May also be involved in neurogenesis and in the development of cortical architecture (By similarity). Isoforms that lack the repressor domain are more active than isoform 1.
See full target information MEF2C

Additional targets

MEF2A

Publications (1)

Recent publications for all applications. Explore the full list and refine your search

Nature communications 14:7348 PubMed37963875

2023

An adaptive stress response that confers cellular resilience to decreased ubiquitination.

Applications

Unspecified application

Species

Unspecified reactive species

Liam C Hunt,Vishwajeeth Pagala,Anna Stephan,Boer Xie,Kiran Kodali,Kanisha Kavdia,Yong-Dong Wang,Abbas Shirinifard,Michelle Curley,Flavia A Graca,Yingxue Fu,Suresh Poudel,Yuxin Li,Xusheng Wang,Haiyan Tan,Junmin Peng,Fabio Demontis
View all publications

Product promise

We are committed to supporting your work with high-quality reagents, and we're here for you every step of the way. In the unlikely event that one of our products does not perform as expected, you're protected by our Product Promise.
For full details, please see our Terms & Conditions

Please note: All products are 'FOR RESEARCH USE ONLY. NOT FOR USE IN DIAGNOSTIC OR THERAPEUTIC PROCEDURES'.

For licensing inquiries, please contact partnerships@abcam.com