JavaScript is disabled in your browser. Please enable JavaScript to view this website.
AB30644

Anti-MEF2A (phospho T312) antibody

4

(2 Reviews)

|

(6 Publications)

Rabbit Polyclonal MEF2A phospho T312 antibody. Suitable for WB, IHC-P and reacts with Mouse, Human samples. Cited in 6 publications. Immunogen corresponding to Synthetic Peptide within Human MEF2A phospho T312.

View Alternative Names

MEF2, MEF2A, Myocyte-specific enhancer factor 2A, Serum response factor-like protein 1

3 Images
Western blot - Anti-MEF2A (phospho T312) antibody (AB30644)
  • WB

AbReview43157****

Western blot - Anti-MEF2A (phospho T312) antibody (AB30644)

All lanes:

Western blot - Anti-MEF2A (phospho T312) antibody (ab30644) at 1/1000 dilution

All lanes:

Mouse liver tissue lysate - whole at 40 µg

Secondary

All lanes:

HRP-conjugated goat anti-rabbit IgG polyclonal at 1/10000 dilution

Predicted band size: 55 kDa

Observed band size: 55 kDa

true

Exposure time: 1min

This image is courtesy of an anonymous Abreview

Immunohistochemistry (Formalin/PFA-fixed paraffin-embedded sections) - Anti-MEF2A (phospho T312) antibody (AB30644)
  • IHC-P

Supplier Data

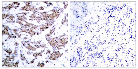
Immunohistochemistry (Formalin/PFA-fixed paraffin-embedded sections) - Anti-MEF2A (phospho T312) antibody (AB30644)

Immunohistochemical analysis of paraffin-embedded human breast carcinoma. Left : using ab30644 (10ug/ml); right : the same antibody preincubated with synthesized phosphopeptide.

Western blot - Anti-MEF2A (phospho T312) antibody (AB30644)
  • WB

Unknown

Western blot - Anti-MEF2A (phospho T312) antibody (AB30644)

All lanes:

Western blot - Anti-MEF2A (phospho T312) antibody (ab30644) at 1 µg/mL

Lane 1:

Untreated NIH/3T3 cells (5-30ug).

Lane 2:

NIH/3T3 cells treated with PMA (5-30ug)

Predicted band size: 34 kDa,55 kDa

Observed band size: 65 kDa

false

Key facts

Host species

Rabbit

Clonality

Polyclonal

Isotype

IgG

Carrier free

No

Reacts with

Mouse, Human

Applications

WB, IHC-P

applications

Immunogen

Synthetic Peptide within Human MEF2A phospho T312. The exact immunogen used to generate this antibody is proprietary information.

Q02078

Reactivity data

{ "title": "Reactivity Data", "filters": { "stats": ["", "Species", "Dilution Info", "Notes"], "tabs": { "all-applications": {"fullname" : "All Applications", "shortname": "All Applications"}, "WB" : {"fullname" : "Western blot", "shortname":"WB"}, "IHCP" : {"fullname" : "Immunohistochemistry (Formalin/PFA-fixed paraffin-embedded sections)", "shortname":"IHC-P"} }, "product-promise": { "all": "all", "testedAndGuaranteed": "tested", "guaranteed": "expected", "predicted": "predicted", "notRecommended": "not-recommended" } }, "values": { "Human": { "WB-species-checked": "guaranteed", "WB-species-dilution-info": "", "WB-species-notes": "", "IHCP-species-checked": "testedAndGuaranteed", "IHCP-species-dilution-info": "1/50 - 1/100", "IHCP-species-notes": "<p></p>" }, "Mouse": { "WB-species-checked": "testedAndGuaranteed", "WB-species-dilution-info": "1/500 - 1/1000", "WB-species-notes": "<p></p>", "IHCP-species-checked": "guaranteed", "IHCP-species-dilution-info": "", "IHCP-species-notes": "" } } }

Properties and storage information

Form
Liquid
Purification technique
Affinity purification Immunogen
Purification notes
The antibody was affinity-purified from rabbit antiserum by affinity-chromatography using epitope-specific phosphopeptide. The antibody against non-phosphopeptide was removed by chromatography using non-phosphopeptide corresponding to the phosphorylation site.
Storage buffer
pH: 7.4 Preservative: 0.02% Sodium azide Constituents: PBS, 50% Glycerol (glycerin, glycerine), 0.87% Sodium chloride
Shipped at conditions
Blue Ice
Appropriate short-term storage conditions
+4°C
Appropriate long-term storage conditions
-20°C
Aliquoting information
Upon delivery aliquot
Storage information
Avoid freeze / thaw cycle

Supplementary information

This supplementary information is collated from multiple sources and compiled automatically.

MEF2A or Myocyte Enhancer Factor 2A is a transcription factor involved in regulating gene expression. MEF2A is approximately 55 kDa in size and is expressed in a variety of tissues including muscle brain and heart. It is part of the MEF2 family of transcription factors which all share a similar MADS-box/MEF2 domain structure. MEF2A binds to DNA and influences the transcription of genes involved in muscle differentiation and development.
Biological function summary

MEF2A participates in transcriptional regulation as part of a larger complex that includes other regulatory proteins. This transcription factor plays an essential role in the development and function of muscles. It activates the transcription of genes necessary for muscle fiber formation and adaptation. MEF2A also influences the expression of genes related to neuronal survival and plasticity impacting cognitive function and memory in the brain.

Pathways

MEF2A is involved in both the MAPK/ERK and PI3K/Akt pathways which are significant for cellular growth survival and differentiation. MEF2A interacts with proteins like MAPK and PI3K impacting these signaling pathways that regulate cell proliferation and apoptosis. This interaction highlights its role in cellular response to external stimuli and stress signals positioning MEF2A as an important factor in cell fate decisions.

Mutations or dysregulation of MEF2A are connected to cardiovascular diseases particularly coronary artery disease. MEF2A mutations can disrupt normal transcriptional regulation leading to impaired cardiovascular function. Additionally alterations in MEF2A function are linked to neurodegenerative disorders such as Alzheimer's disease where it may interact with proteins including Tau and amyloid precursor protein influencing neuronal health and survival.

Product protocols

For this product, it's our understanding that no specific protocols are required. You can visit:

Target data

Transcriptional activator which binds specifically to the MEF2 element, 5'-YTA[AT](4)TAR-3', found in numerous muscle-specific genes. Also involved in the activation of numerous growth factor- and stress-induced genes. Mediates cellular functions not only in skeletal and cardiac muscle development, but also in neuronal differentiation and survival. Plays diverse roles in the control of cell growth, survival and apoptosis via p38 MAPK signaling in muscle-specific and/or growth factor-related transcription. In cerebellar granule neurons, phosphorylated and sumoylated MEF2A represses transcription of NUR77 promoting synaptic differentiation. Associates with chromatin to the ZNF16 promoter.
See full target information MEF2A phospho T312

Publications (6)

Recent publications for all applications. Explore the full list and refine your search

Scientific reports 15:17364 PubMed40389489

2025

Inhibitory effects of high extracellular L-glutamate concentrations on skeletal myogenesis.

Applications

Unspecified application

Species

Unspecified reactive species

Himiko Ban,Koji Nobe,Soushi Kobayashi

Redox biology 36:101669 PubMed32818796

2020

Oxidation of HDAC4 by Nox4-derived HO maintains tube formation by endothelial cells.

Applications

Unspecified application

Species

Unspecified reactive species

Tim Schader,Oliver Löwe,Christina Reschke,Pedro Malacarne,Fabian Hahner,Niklas Müller,Anna Gajos-Draus,Johannes Backs,Katrin Schröder

Journal of clinical biochemistry and nutrition 61:6-13 PubMed28751803

2017

CAPE increases the expression of SOD3 through epigenetics in human retinal endothelial cells.

Applications

Unspecified application

Species

Unspecified reactive species

Atsuko Ohashi,Hiroyuki Yasuda,Tetsuro Kamiya,Hirokazu Hara,Tetsuo Adachi

The Biochemical journal 459:427-39 PubMed24517375

2014

A novel p38 MAPK docking-groove-targeted compound is a potent inhibitor of inflammatory hyperalgesia.

Applications

Unspecified application

Species

Unspecified reactive species

Hanneke L D M Willemen,Pedro M Campos,Elisa Lucas,Antonio Morreale,Rubén Gil-Redondo,Juan Agut,Florenci V González,Paula Ramos,Cobi Heijnen,Federico Mayor,Annemieke Kavelaars,Cristina Murga

Arteriosclerosis, thrombosis, and vascular biology 29:1902-8 PubMed19696400

2009

Flow activation of AMP-activated protein kinase in vascular endothelium leads to Krüppel-like factor 2 expression.

Applications

Unspecified application

Species

Unspecified reactive species

Angela Young,Wei Wu,Wei Sun,H Benjamin Larman,Harry B Larman,Nanping Wang,Yi-Shuan Li,John Y Shyy,Shu Chien,Guillermo García-Cardeña

The Journal of neuroscience : the official journal of the Society for Neuroscience 29:6700-9 PubMed19458239

2009

A retrograde neuronal survival response: target-derived neurotrophins regulate MEF2D and bcl-w.

Applications

WB

Species

Rat

Maria F Pazyra-Murphy,Aymeric Hans,Stephanie L Courchesne,Christoph Karch,Katharina E Cosker,Heather M Heerssen,Fiona L Watson,Taekyung Kim,Michael E Greenberg,Rosalind A Segal
View all publications

Product promise

We are committed to supporting your work with high-quality reagents, and we're here for you every step of the way. In the unlikely event that one of our products does not perform as expected, you're protected by our Product Promise.
For full details, please see our Terms & Conditions

Please note: All products are 'FOR RESEARCH USE ONLY. NOT FOR USE IN DIAGNOSTIC OR THERAPEUTIC PROCEDURES'.

For licensing inquiries, please contact partnerships@abcam.com