JavaScript is disabled in your browser. Please enable JavaScript to view this website.
AB242058

Anti-MEF2B antibody [EPR22193-26]

Be the first to review this product! Submit a review

|

(0 Publication)

Rabbit Recombinant Monoclonal MEF2B antibody. Suitable for IP, WB, Flow Cyt (Intra), IHC-P and reacts with Human samples.

View Alternative Names

XMEF2, MEF2B, Myocyte-specific enhancer factor 2B, RSRFR2, Serum response factor-like protein 2

6 Images
Immunohistochemistry (Formalin/PFA-fixed paraffin-embedded sections) - Anti-MEF2B antibody [EPR22193-26] (AB242058)
  • IHC-P

Supplier Data

Immunohistochemistry (Formalin/PFA-fixed paraffin-embedded sections) - Anti-MEF2B antibody [EPR22193-26] (AB242058)

Immunohistochemical analysis of paraffin-embedded human tonsil tissue labeling MEF2B with ab242058 at 1/500 dilution, followed by Goat Anti-Rabbit IgG H&L (HRP) ready to use. Nuclear staining on germinal center B cells of human tonsil (PMID : 23974956; PMID : 26089142) (PMID : 26089142) is observed. Counter stained with hematoxylin.

Secondary antibody only control : Used PBS instead of primary antibody, secondary antibody is Goat Anti-Rabbit IgG H&L (HRP) ready to use.

Perform heat mediated antigen retrieval with Tris/EDTA buffer pH 9.0 before commencing with IHC staining protocol.

Immunohistochemistry (Formalin/PFA-fixed paraffin-embedded sections) - Anti-MEF2B antibody [EPR22193-26] (AB242058)
  • IHC-P

Supplier Data

Immunohistochemistry (Formalin/PFA-fixed paraffin-embedded sections) - Anti-MEF2B antibody [EPR22193-26] (AB242058)

Immunohistochemical analysis of paraffin-embedded human diffuse large B cell lymphoma tissue labeling MEF2B with ab242058 at 1/500 dilution, followed by Goat Anti-Rabbit IgG H&L (HRP) ready to use. Nuclear staining on human diffuse large B-cell lymphoma cells (PMID : 26089142) is observed. Counter stained with hematoxylin.

Secondary antibody only control : Used PBS instead of primary antibody, secondary antibody is Goat Anti-Rabbit IgG H&L (HRP) ready to use.

Heat mediated antigen retrieval using ab93684 (Tris/EDTA buffer, pH 9.0).

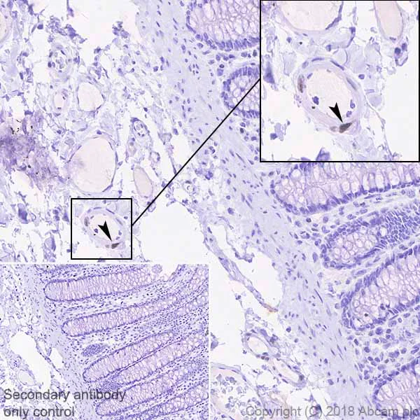
Immunohistochemistry (Formalin/PFA-fixed paraffin-embedded sections) - Anti-MEF2B antibody [EPR22193-26] (AB242058)
  • IHC-P

Supplier Data

Immunohistochemistry (Formalin/PFA-fixed paraffin-embedded sections) - Anti-MEF2B antibody [EPR22193-26] (AB242058)

Immunohistochemical analysis of paraffin-embedded human colon tissue labeling MEF2B with ab242058 at 1/500 dilution, followed by Goat Anti-Rabbit IgG H&L (HRP) ready to use. Nuclear staining on a subset of smooth muscle cells (arrowhead) of human colon (PMID : 26089142; PMID : 8668199) is observed. Counter stained with hematoxylin.

Secondary antibody only control : Used PBS instead of primary antibody, secondary antibody is Goat Anti-Rabbit IgG H&L (HRP) ready to use.

Heat mediated antigen retrieval using ab93684 (Tris/EDTA buffer, pH 9.0).

Immunoprecipitation - Anti-MEF2B antibody [EPR22193-26] (AB242058)
  • IP

Supplier Data

Immunoprecipitation - Anti-MEF2B antibody [EPR22193-26] (AB242058)

MEF2B was immunoprecipitated from 0.35 mg of Ramos (human Burkitt's lymphoma cell line) whole cell lysate with ab242058 at 1/30 dilution. Western blot was performed from the immunoprecipitate using ab242058 at 1/500 dilution. VeriBlot for IP Detection Reagent (HRP) (ab131366), was used for detection at 1/1000 dilution.

Lane 1 : Ramos whole lysate 10 μg (Input).
Lane 2 : ab242058 IP in Ramos whole cell lysate (+).
Lane 3 : Rabbit monoclonal IgG (ab172730) instead of ab242058 in Ramos whole cell lysate (-).

Blocking and dilution buffer and concentration : 5% NFDM/TBST.
Exposure time : 1 second.

All lanes:

Immunoprecipitation - Anti-MEF2B antibody [EPR22193-26] (ab242058)

Predicted band size: 39 kDa

false

Western blot - Anti-MEF2B antibody [EPR22193-26] (AB242058)
  • WB

Supplier Data

Western blot - Anti-MEF2B antibody [EPR22193-26] (AB242058)

Blocking and dilution buffer : 5% NFDM/TBST.

The 40-kDa target band is consistent with what has been described in the literature (PMID : 23974956). Minor bands below 40kDa are undetermined proteins, likely to be truncated MEF2B (PMID : 23974956).

Negative control : Hela (PMID : 8798771).

All lanes:

Western blot - Anti-MEF2B antibody [EPR22193-26] (ab242058) at 1/1000 dilution

Lane 1:

Daudi (human Burkitt's lymphoma cell line) whole cell lysate at 10 µg

Lane 2:

Ramos (human Burkitt's lymphoma cell line) whole cell lysate at 10 µg

Lane 3:

Raji (human Burkitt's lymphoma cell line) whole cell lysate at 10 µg

Lane 4:

HeLa (human epithelial cell line from cervix adenocarcinoma) whole cell lysate at 10 µg

Secondary

All lanes:

Western blot - VeriBlot for IP Detection Reagent (HRP) (<a href='/en-us/products/reagents/veriblot-for-ip-detection-reagent-hrp-ab131366'>ab131366</a>) at 1/1000 dilution

Predicted band size: 39 kDa

false

Flow Cytometry (Intracellular) - Anti-MEF2B antibody [EPR22193-26] (AB242058)
  • Flow Cyt (Intra)

Supplier Data

Flow Cytometry (Intracellular) - Anti-MEF2B antibody [EPR22193-26] (AB242058)

Intracellular flow cytometric analysis of4% paraformaldehyde-fixed, 90% methanol-permeabilized Daudi (human Burkitt's lymphoma cell line) cells labeling [MEF2B with ab242058 at 1/500 (red) compared with a rabbit monoclonal IgG (ab172730, black) and an unlabelled control (cells without incubation with primary antibody and secondary antibody) (blue). Goat Anti-Rabbit IgG H&L (Alexa Fluor® 488) (ab150077), at 1/2000 dilution was used as the secondary antibody.

  • Carrier free

    Anti-MEF2B antibody [EPR22193-26] - BSA and Azide free

Key facts

Host species

Rabbit

Clonality

Monoclonal

Clone number

EPR22193-26

Isotype

IgG

Carrier free

No

Reacts with

Human

Applications

IHC-P, IP, WB, Flow Cyt (Intra)

applications

Immunogen

The exact immunogen used to generate this antibody is proprietary information.

Reactivity data

{ "title": "Reactivity Data", "filters": { "stats": ["", "Species", "Dilution Info", "Notes"], "tabs": { "all-applications": {"fullname" : "All Applications", "shortname": "All Applications"}, "IP" : {"fullname" : "Immunoprecipitation", "shortname":"IP"}, "WB" : {"fullname" : "Western blot", "shortname":"WB"}, "ICCIF" : {"fullname" : "Immunocytochemistry/ Immunofluorescence", "shortname":"ICC/IF"}, "FlowCytIntra" : {"fullname" : "Flow Cytometry (Intracellular)", "shortname":"Flow Cyt (Intra)"}, "IHCP" : {"fullname" : "Immunohistochemistry (Formalin/PFA-fixed paraffin-embedded sections)", "shortname":"IHC-P"} }, "product-promise": { "all": "all", "testedAndGuaranteed": "tested", "guaranteed": "expected", "predicted": "predicted", "notRecommended": "not-recommended" } }, "values": { "Human": { "IP-species-checked": "testedAndGuaranteed", "IP-species-dilution-info": "1/30", "IP-species-notes": "<p></p>", "WB-species-checked": "testedAndGuaranteed", "WB-species-dilution-info": "1/1000", "WB-species-notes": "<p></p>", "ICCIF-species-checked": "notRecommended", "ICCIF-species-dilution-info": "", "ICCIF-species-notes": "<p></p>", "FlowCytIntra-species-checked": "testedAndGuaranteed", "FlowCytIntra-species-dilution-info": "1/500", "FlowCytIntra-species-notes": "<p></p>", "IHCP-species-checked": "testedAndGuaranteed", "IHCP-species-dilution-info": "1/500", "IHCP-species-notes": "<p></p>" } } }

Product details

Patented technology
Our RabMAb® technology is a patented hybridoma-based technology for making rabbit monoclonal antibodies. For details on our patents, please refer to RabMAb® patents.

What are the advantages of a recombinant monoclonal antibody?
This product is a recombinant monoclonal antibody, which offers several advantages including:

  • - High batch-to-batch consistency and reproducibility
  • - Improved sensitivity and specificity
  • - Long-term security of supply
  • - Animal-free batch production

For more information, read more on recombinant antibodies.

Properties and storage information

Form
Liquid
Purification technique
Affinity purification Protein A
Storage buffer
pH: 7.2 - 7.4 Preservative: 0.01% Sodium azide Constituents: PBS, 40% Glycerol (glycerin, glycerine), 0.05% BSA
Shipped at conditions
Blue Ice
Appropriate short-term storage duration
1-2 weeks
Appropriate short-term storage conditions
+4°C
Appropriate long-term storage conditions
-20°C
Aliquoting information
Upon delivery aliquot
Storage information
Avoid freeze / thaw cycle

Supplementary information

This supplementary information is collated from multiple sources and compiled automatically.

MEF2B also known as myocyte enhancer factor 2B plays an integral role in regulating gene expression. It is a transcription factor belonging to the MEF2 family which also includes MEF2A MEF2C and MEF2D. MEF2B has a molecular mass of approximately 50 kilodaltons. Researchers have found its expression mainly in lymphoid tissues but it is also present in other tissue types. Through its actions MEF2B influences various cellular processes by binding to DNA and facilitating transcriptional activation.
Biological function summary

MEF2B functions as a regulator of immune system development and differentiation. It acts at the level of transcription to determine the fate of cells by its interactions. MEF2B often partners with various cofactors to form a complex which enhances its ability to control gene expression. It is known to be highly involved in muscle development and cell proliferation underlining its diverse roles in cellular biology.

Pathways

MEF2B plays important roles in two key signaling networks: the MAPK signaling pathway and the calcium signaling pathway. These pathways manage diverse biological processes like cell growth apoptosis and differentiation. Through the MAPK pathway MEF2B interacts with proteins such as ERK leading to various cellular outcomes. In the calcium signaling pathway MEF2B works alongside calcineurin a phosphatase important for activating MEF2 family members.

MEF2B has been linked with specific health conditions particularly in lymphoma and leukemia. Mutations and dysregulation in MEF2B may contribute to the development of these cancers. MEF2B's interaction with other proteins like BCL6 a well-known repressor in lymphomagenesis highlights its importance in these contexts. Understanding MEF2B's role in these diseases may provide insights for potential therapeutic strategies.

Product protocols

For this product, it's our understanding that no specific protocols are required. You can visit:

Target data

Transcriptional activator which binds specifically to the MEF2 element, 5'-YTA[AT](4)TAR-3', found in numerous muscle-specific genes. Activates transcription via this element. May be involved in muscle-specific and/or growth factor-related transcription.
See full target information MEF2B

Product promise

We are committed to supporting your work with high-quality reagents, and we're here for you every step of the way. In the unlikely event that one of our products does not perform as expected, you're protected by our Product Promise.
For full details, please see our Terms & Conditions

Please note: All products are 'FOR RESEARCH USE ONLY. NOT FOR USE IN DIAGNOSTIC OR THERAPEUTIC PROCEDURES'.

For licensing inquiries, please contact partnerships@abcam.com