JavaScript is disabled in your browser. Please enable JavaScript to view this website.
AB242347

Anti-MEF2B antibody [EPR22193-26] - BSA and Azide free

Be the first to review this product! Submit a review

|

(1 Publication)

Rabbit Recombinant Monoclonal MEF2B antibody. Carrier free. Suitable for IP, WB, Flow Cyt (Intra), IHC-P and reacts with Human samples. Cited in 1 publication.

View Alternative Names

XMEF2, MEF2B, Myocyte-specific enhancer factor 2B, RSRFR2, Serum response factor-like protein 2

5 Images
Immunohistochemistry (Formalin/PFA-fixed paraffin-embedded sections) - Anti-MEF2B antibody [EPR22193-26] - BSA and Azide free (AB242347)
  • IHC-P

Supplier Data

Immunohistochemistry (Formalin/PFA-fixed paraffin-embedded sections) - Anti-MEF2B antibody [EPR22193-26] - BSA and Azide free (AB242347)

Immunohistochemical analysis of paraffin-embedded human tonsil tissue labeling MEF2B with ab242058 at 1/500 dilution, followed by Goat Anti-Rabbit IgG H&L (HRP) ready to use. Nuclear staining on germinal center B cells of human tonsil (PMID : 23974956; PMID : 26089142) (PMID : 26089142) is observed. Counter stained with hematoxylin.

Secondary antibody only control : Used PBS instead of primary antibody, secondary antibody is Goat Anti-Rabbit IgG H&L (HRP) ready to use.

This data was developed using the same antibody clone in a different buffer formulation containing PBS, BSA, glycerol, and sodium azide (ab242058).

Perform heat mediated antigen retrieval with Tris/EDTA buffer pH 9.0 before commencing with IHC staining protocol.

Immunohistochemistry (Formalin/PFA-fixed paraffin-embedded sections) - Anti-MEF2B antibody [EPR22193-26] - BSA and Azide free (AB242347)
  • IHC-P

Supplier Data

Immunohistochemistry (Formalin/PFA-fixed paraffin-embedded sections) - Anti-MEF2B antibody [EPR22193-26] - BSA and Azide free (AB242347)

Immunohistochemical analysis of paraffin-embedded human diffuse large B cell lymphoma tissue labeling MEF2B with ab242058 at 1/500 dilution, followed by Goat Anti-Rabbit IgG H&L (HRP) ready to use. Nuclear staining on human diffuse large B-cell lymphoma cells (PMID : 26089142) is observed. Counter stained with hematoxylin.

Secondary antibody only control : Used PBS instead of primary antibody, secondary antibody is Goat Anti-Rabbit IgG H&L (HRP) ready to use.

Heat mediated antigen retrieval using ab93684 (Tris/EDTA buffer, pH 9.0).

This data was developed using the same antibody clone in a different buffer formulation containing PBS, BSA, glycerol, and sodium azide (ab242058).

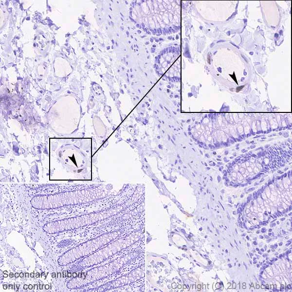
Immunohistochemistry (Formalin/PFA-fixed paraffin-embedded sections) - Anti-MEF2B antibody [EPR22193-26] - BSA and Azide free (AB242347)
  • IHC-P

Supplier Data

Immunohistochemistry (Formalin/PFA-fixed paraffin-embedded sections) - Anti-MEF2B antibody [EPR22193-26] - BSA and Azide free (AB242347)

Immunohistochemical analysis of paraffin-embedded human colon tissue labeling MEF2B with ab242058 at 1/500 dilution, followed by Goat Anti-Rabbit IgG H&L (HRP) ready to use. Nuclear staining on a subset of smooth muscle cells (arrowhead) of human colon (PMID : 26089142; PMID : 8668199) is observed. Counter stained with hematoxylin.

Secondary antibody only control : Used PBS instead of primary antibody, secondary antibody is Goat Anti-Rabbit IgG H&L (HRP) ready to use.

Heat mediated antigen retrieval using ab93684 (Tris/EDTA buffer, pH 9.0).

This data was developed using the same antibody clone in a different buffer formulation containing PBS, BSA, glycerol, and sodium azide (ab242058).

Flow Cytometry (Intracellular) - Anti-MEF2B antibody [EPR22193-26] - BSA and Azide free (AB242347)
  • Flow Cyt (Intra)

Supplier Data

Flow Cytometry (Intracellular) - Anti-MEF2B antibody [EPR22193-26] - BSA and Azide free (AB242347)

Intracellular flow cytometric analysis of4% paraformaldehyde-fixed, 90% methanol-permeabilized Daudi (human Burkitt's lymphoma cell line) cells labeling [MEF2B with ab242058 at 1/500 (red) compared with a rabbit monoclonal IgG (ab172730, black) and an unlabelled control (cells without incubation with primary antibody and secondary antibody) (blue). Goat Anti-Rabbit IgG H&L (Alexa Fluor® 488) (ab150077), at 1/2000 dilution was used as the secondary antibody.

This data was developed using the same antibody clone in a different buffer formulation containing PBS, BSA, glycerol, and sodium azide (ab242058).

Immunoprecipitation - Anti-MEF2B antibody [EPR22193-26] - BSA and Azide free (AB242347)
  • IP

Supplier Data

Immunoprecipitation - Anti-MEF2B antibody [EPR22193-26] - BSA and Azide free (AB242347)

MEF2B was immunoprecipitated from 0.35 mg of Ramos (human Burkitt's lymphoma cell line) whole cell lysate with ab242058 at 1/30 dilution. Western blot was performed from the immunoprecipitate using ab242058 at 1/500 dilution. VeriBlot for IP Detection Reagent (HRP) (ab131366), was used for detection at 1/1000 dilution.

Lane 1 : Ramos whole lysate 10 μg (Input).
Lane 2 : ab242058 IP in Ramos whole cell lysate (+).
Lane 3 : Rabbit monoclonal IgG (ab172730) instead of ab242058 in Ramos whole cell lysate (-).

Blocking and dilution buffer and concentration : 5% NFDM/TBST.
Exposure time : 1 second.

This data was developed using the same antibody clone in a different buffer formulation containing PBS, BSA, glycerol, and sodium azide (ab242058).

All lanes:

Immunoprecipitation - Anti-MEF2B antibody [EPR22193-26] (<a href='/en-us/products/primary-antibodies/mef2b-antibody-epr22193-26-ab242058'>ab242058</a>)

Predicted band size: 39 kDa

false

Key facts

Host species

Rabbit

Clonality

Monoclonal

Clone number

EPR22193-26

Isotype

IgG

Carrier free

Yes

Reacts with

Human

Applications

IP, WB, IHC-P, Flow Cyt (Intra)

applications

Immunogen

The exact immunogen used to generate this antibody is proprietary information.

Reactivity data

{ "title": "Reactivity Data", "filters": { "stats": ["", "Species", "Dilution Info", "Notes"], "tabs": { "all-applications": {"fullname" : "All Applications", "shortname": "All Applications"}, "IP" : {"fullname" : "Immunoprecipitation", "shortname":"IP"}, "WB" : {"fullname" : "Western blot", "shortname":"WB"}, "ICCIF" : {"fullname" : "Immunocytochemistry/ Immunofluorescence", "shortname":"ICC/IF"}, "FlowCytIntra" : {"fullname" : "Flow Cytometry (Intracellular)", "shortname":"Flow Cyt (Intra)"}, "IHCP" : {"fullname" : "Immunohistochemistry (Formalin/PFA-fixed paraffin-embedded sections)", "shortname":"IHC-P"} }, "product-promise": { "all": "all", "testedAndGuaranteed": "tested", "guaranteed": "expected", "predicted": "predicted", "notRecommended": "not-recommended" } }, "values": { "Human": { "IP-species-checked": "testedAndGuaranteed", "IP-species-dilution-info": "", "IP-species-notes": "<p></p>", "WB-species-checked": "guaranteed", "WB-species-dilution-info": "", "WB-species-notes": "<p></p>", "ICCIF-species-checked": "notRecommended", "ICCIF-species-dilution-info": "", "ICCIF-species-notes": "<p></p>", "FlowCytIntra-species-checked": "testedAndGuaranteed", "FlowCytIntra-species-dilution-info": "", "FlowCytIntra-species-notes": "<p></p>", "IHCP-species-checked": "testedAndGuaranteed", "IHCP-species-dilution-info": "", "IHCP-species-notes": "<p></p>" } } }

Product details

ab242347 is the carrier-free version of ab242058.

Patented technology
Our RabMAb® technology is a patented hybridoma-based technology for making rabbit monoclonal antibodies. For details on our patents, please refer to RabMAb® patents.

What are the advantages of a recombinant monoclonal antibody?
This product is a recombinant monoclonal antibody, which offers several advantages including:

  • - High batch-to-batch consistency and reproducibility
  • - Improved sensitivity and specificity
  • - Long-term security of supply
  • - Animal-free batch production

For more information, read more on recombinant antibodies.

Conjugation ready
Our carrier-free antibodies are typically supplied in a PBS-only formulation, purified and free of BSA, sodium azide and glycerol. This conjugation-ready format is designed for use with fluorochromes, metal isotopes, oligonucleotides, and enzymes, which makes them ideal for antibody labelling, functional and cell-based assays, flow-based assays (e.g. mass cytometry) and Multiplex Imaging applications.

Use our conjugation kits for antibody conjugates that are ready-to-use in as little as 20 minutes with 1 minute hands-on-time and 100% antibody recovery: available for fluorescent dyes, HRP, biotin and gold.

Compatibility
This product is compatible with the Maxpar® Antibody Labeling Kit from Fluidigm, without the need for antibody preparation. Maxpar® is a trademark of Fluidigm Canada Inc.

Properties and storage information

Form
Liquid
Purification technique
Affinity purification Protein A
Storage buffer
pH: 7.2 - 7.4 Constituents: PBS
Shipped at conditions
Blue Ice
Appropriate short-term storage conditions
+4°C
Appropriate long-term storage conditions
+4°C
Storage information
Do Not Freeze

Supplementary information

This supplementary information is collated from multiple sources and compiled automatically.

MEF2B also known as myocyte enhancer factor 2B plays an integral role in regulating gene expression. It is a transcription factor belonging to the MEF2 family which also includes MEF2A MEF2C and MEF2D. MEF2B has a molecular mass of approximately 50 kilodaltons. Researchers have found its expression mainly in lymphoid tissues but it is also present in other tissue types. Through its actions MEF2B influences various cellular processes by binding to DNA and facilitating transcriptional activation.
Biological function summary

MEF2B functions as a regulator of immune system development and differentiation. It acts at the level of transcription to determine the fate of cells by its interactions. MEF2B often partners with various cofactors to form a complex which enhances its ability to control gene expression. It is known to be highly involved in muscle development and cell proliferation underlining its diverse roles in cellular biology.

Pathways

MEF2B plays important roles in two key signaling networks: the MAPK signaling pathway and the calcium signaling pathway. These pathways manage diverse biological processes like cell growth apoptosis and differentiation. Through the MAPK pathway MEF2B interacts with proteins such as ERK leading to various cellular outcomes. In the calcium signaling pathway MEF2B works alongside calcineurin a phosphatase important for activating MEF2 family members.

MEF2B has been linked with specific health conditions particularly in lymphoma and leukemia. Mutations and dysregulation in MEF2B may contribute to the development of these cancers. MEF2B's interaction with other proteins like BCL6 a well-known repressor in lymphomagenesis highlights its importance in these contexts. Understanding MEF2B's role in these diseases may provide insights for potential therapeutic strategies.

Product protocols

For this product, it's our understanding that no specific protocols are required. You can visit:

Target data

Transcriptional activator which binds specifically to the MEF2 element, 5'-YTA[AT](4)TAR-3', found in numerous muscle-specific genes. Activates transcription via this element. May be involved in muscle-specific and/or growth factor-related transcription.
See full target information MEF2B

Publications (1)

Recent publications for all applications. Explore the full list and refine your search

Cell proliferation 55:e13190 PubMed35102634

2022

Functional differentiation and scalable production of renal proximal tubular epithelial cells from human pluripotent stem cells in a dynamic culture system.

Applications

Unspecified application

Species

Unspecified reactive species

Thao Thi Thanh Ngo,Bella Rossbach,Isabelle Sébastien,Julia C Neubauer,Andreas Kurtz,Krithika Hariharan
View all publications

Product promise

We are committed to supporting your work with high-quality reagents, and we're here for you every step of the way. In the unlikely event that one of our products does not perform as expected, you're protected by our Product Promise.
For full details, please see our Terms & Conditions

Please note: All products are 'FOR RESEARCH USE ONLY. NOT FOR USE IN DIAGNOSTIC OR THERAPEUTIC PROCEDURES'.

For licensing inquiries, please contact partnerships@abcam.com