JavaScript is disabled in your browser. Please enable JavaScript to view this website.
AB231859

Anti-MEF2C antibody [EPR19089-202] - BSA and Azide free

Be the first to review this product! Submit a review

|

(3 Publications)

Rabbit Recombinant Monoclonal MEF2C antibody. Carrier free. Suitable for ChIP, WB, ICC/IF, Flow Cyt (Intra), IHC-P and reacts with Human, Mouse, Rat samples. Cited in 3 publications.

View Alternative Names

Myocyte-specific enhancer factor 2C, Myocyte enhancer factor 2C, MEF2C

8 Images
Flow Cytometry (Intracellular) - Anti-MEF2C antibody [EPR19089-202] - BSA and Azide free (AB231859)
  • Flow Cyt (Intra)

Unknown

Flow Cytometry (Intracellular) - Anti-MEF2C antibody [EPR19089-202] - BSA and Azide free (AB231859)

Intracellular flow cytometric analysis of 4% paraformaldehyde-fixed, 90% methanol permeabilsed Jurkat (Human T cell leukemia T lymphocyte, Left) / Raji (Human Burkitt's lymphoma B lymphocyte, Right) cell lines labelling MEF2C with ab211493 at 1/500 dilution (Red) compared with the isotype control Rabbit monoclonal IgG (ab172730) (Black) and an unlabelled control (cells without incubation with primary antibody and secondary antibody) (Blue). Goat anti rabbit IgG Alexa Fluor® 488 (ab150077), at 1/2000 dilution was used as the secondary antibody.

Negative control : Jurkat (PMID : 27876533).

This data was developed using the same antibody clone in a different buffer formulation containing PBS, BSA, glycerol, and sodium azide (ab211493).

Immunohistochemistry (Formalin/PFA-fixed paraffin-embedded sections) - Anti-MEF2C antibody [EPR19089-202] - BSA and Azide free (AB231859)
  • IHC-P

Supplier Data

Immunohistochemistry (Formalin/PFA-fixed paraffin-embedded sections) - Anti-MEF2C antibody [EPR19089-202] - BSA and Azide free (AB231859)

Immunohistochemical analysis of paraffin-embedded human skeletal muscle tissue labelling MEF2C with ab211493 at 1/500 dilution, followed by Goat Anti-Rabbit IgG H&L (HRP) ready to use. Nuclear staining in human skeletal muscle cells is observed(PMID : 8506376, PMID 15703219). Counterstained with hematoxylin.
Secondary antibody only control : Used PBS instead of primary antibody, secondary antibody is Goat Anti-Rabbit IgG H&L (HRP) ready to use.

This data was developed using the same antibody clone in a different buffer formulation containing PBS, BSA, glycerol, and sodium azide (ab211493).

Perform heat mediated antigen retrieval with EDTA buffer pH 9 before commencing with IHC staining protocol.

Immunohistochemistry (Formalin/PFA-fixed paraffin-embedded sections) - Anti-MEF2C antibody [EPR19089-202] - BSA and Azide free (AB231859)
  • IHC-P

Supplier Data

Immunohistochemistry (Formalin/PFA-fixed paraffin-embedded sections) - Anti-MEF2C antibody [EPR19089-202] - BSA and Azide free (AB231859)

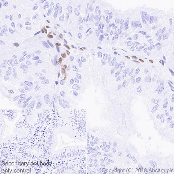
Immunohistochemical analysis of paraffin-embedded human endometrial carcinoma tissue labelling MEF2C with ab211493 at 1/500 dilution, followed by Goat Anti-Rabbit IgG H&L (HRP) ready to use. Nuclear staining in leukocytes but not in tumor cells of human endometrial carcinoma is observed (PMID : 8506376, PMID 15703219). Counterstained with hematoxylin.
Secondary antibody only control : Used PBS instead of primary antibody, secondary antibody is Goat Anti-Rabbit IgG H&L (HRP)ready to use.

This data was developed using the same antibody clone in a different buffer formulation containing PBS, BSA, glycerol, and sodium azide (ab211493).

Perform heat mediated antigen retrieval with EDTA buffer pH 9 before commencing with IHC staining protocol.

ChIP - Anti-MEF2C antibody [EPR19089-202] - BSA and Azide free (AB231859)
  • ChIP

Unknown

ChIP - Anti-MEF2C antibody [EPR19089-202] - BSA and Azide free (AB231859)

Chromatin was prepared from HUVEC cells according to the Abcam X-ChIP protocol. Cells were fixed with formaldehyde for 10 minutes. The ChIP was performed with : 25 µg of chromatin, 5 µg of ab211493 (blue), and 20 µl of protein A/G sepharose beads slurry (10 µl of sepharose A beads + 10 µl of sepharose G beads). 5 μg of rabbit normal IgG was added to the beads control (yellow). The immunoprecipitated DNA was quantified by real time PCR (SYBR green chemistry).

ChIP was performed according to the literature (PMID : 26923194).

This data was developed using the same antibody clone in a different buffer formulation containing PBS, BSA, glycerol, and sodium azide (ab211493).

Immunohistochemistry (Formalin/PFA-fixed paraffin-embedded sections) - Anti-MEF2C antibody [EPR19089-202] - BSA and Azide free (AB231859)
  • IHC-P

Supplier Data

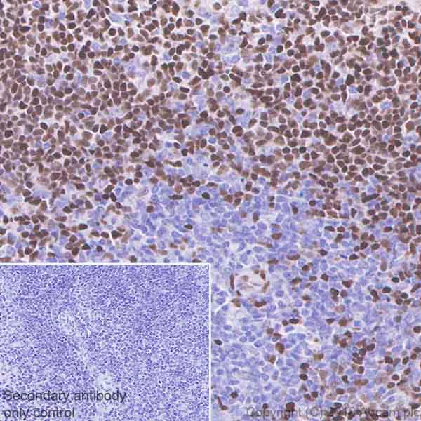
Immunohistochemistry (Formalin/PFA-fixed paraffin-embedded sections) - Anti-MEF2C antibody [EPR19089-202] - BSA and Azide free (AB231859)

Immunohistochemical analysis of paraffin-embedded mouse spleen tissue labelling MEF2C with ab211493 at 1/1000 dilution, followed by Goat Anti-Rabbit IgG H&L (HRP) ready to use. Nuclear staining in B lymphocytes of mouse spleen but not in T cells in the periarterial lymphatic sheath is observed (PMID : 8506376, PMID 15703219). Counterstained with hematoxylin.
Secondary antibody only control : Used PBS instead of primary antibody, secondary antibody is Goat Anti-Rabbit IgG H&L (HRP)ready to use.

This data was developed using the same antibody clone in a different buffer formulation containing PBS, BSA, glycerol, and sodium azide (ab211493).

Perform heat mediated antigen retrieval with EDTA buffer pH 9 before commencing with IHC staining protocol.

Immunohistochemistry (Formalin/PFA-fixed paraffin-embedded sections) - Anti-MEF2C antibody [EPR19089-202] - BSA and Azide free (AB231859)
  • IHC-P

Supplier Data

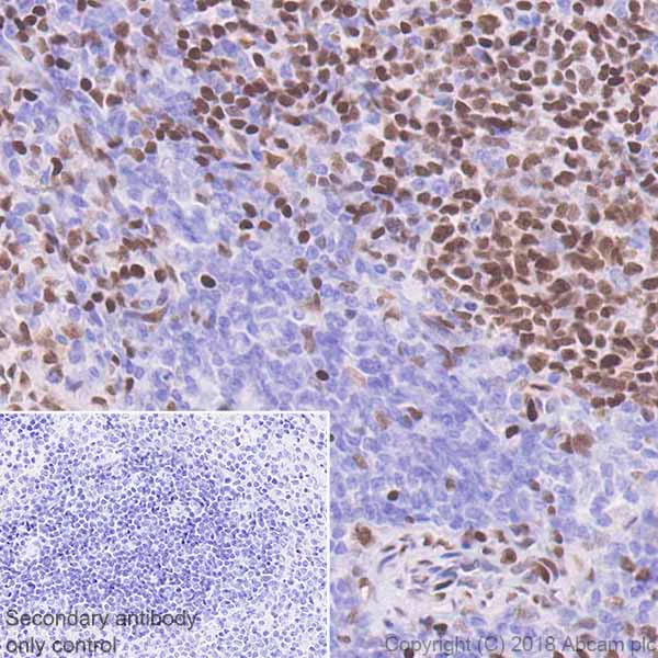
Immunohistochemistry (Formalin/PFA-fixed paraffin-embedded sections) - Anti-MEF2C antibody [EPR19089-202] - BSA and Azide free (AB231859)

Immunohistochemical analysis of paraffin-embedded rat spleen tissue labelling MEF2C with ab211493 at 1/1000 dilution, followed by Goat Anti-Rabbit IgG H&L (HRP) ready to use. Nuclear staining in B lymphocytes of rat spleen but not in T cells in the periarterial lymphatic sheath is observed (PMID : 8506376, PMID 15703219). Counterstained with hematoxylin.
Secondary antibody only control : Used PBS instead of primary antibody, secondary antibody is Goat Anti-Rabbit IgG H&L (HRP)ready to use.

This data was developed using the same antibody clone in a different buffer formulation containing PBS, BSA, glycerol, and sodium azide (ab211493).

Perform heat mediated antigen retrieval with EDTA buffer pH 9 before commencing with IHC staining protocol.

Western blot - Anti-MEF2C antibody [EPR19089-202] - BSA and Azide free (AB231859)
  • WB

Supplier Data

Western blot - Anti-MEF2C antibody [EPR19089-202] - BSA and Azide free (AB231859)

False colour image of Western blot : Anti-MEF2C antibody [EPR19089-202] - ChIP Grade staining at 1/1000 dilution, shown in green; Mouse anti-GAPDH antibody [6C5] (ab8245) loading control staining at 1/20000 dilution, shown in red. In Western blot, ab211493 was shown to bind specifically to MEF2C. A band was observed at 55/60 kDa in wild-type THP-1 cell lysates with no signal observed at this size in MEF2C knockout cell line (ab313739). To generate this image, wild-type and MEF2C knockout THP-1 cell lysates were analysed. First, samples were run on an SDS-PAGE gel then transferred onto a nitrocellulose membrane. Membranes were blocked in 3 % milk in TBS-0.1 % Tween® 20 (TBS-T) before incubation with primary antibodies overnight at 4 °C. Blots were washed four times in TBS-T, incubated with secondary antibodies for 1 h at room temperature, washed again four times then imaged. Secondary antibodies used were Goat anti-Rabbit IgG H&L 800CW and Goat anti-Mouse IgG H&L 680RD at 1/20000 dilution.

This data was developed using the same antibody clone in a different buffer formulation containing PBS, BSA, glycerol, and sodium azide (ab211493).

All lanes:

Western blot - Anti-MEF2C antibody [EPR19089-202] - ChIP Grade (<a href='/en-us/products/primary-antibodies/mef2c-antibody-epr19089-202-chip-grade-ab211493'>ab211493</a>) at 1/1000 dilution

Lane 1:

Wild-type THP-1 cell lysate at 20 µg

Lane 2:

MEF2C knockout THP-1 cell lysate at 20 µg

Lane 2:

Western blot - Human MEF2C knockout THP-1 cell line (<a href='/en-us/products/cell-lines/human-mef2c-knockout-thp-1-cell-line-ab313739'>ab313739</a>)

Lane 3:

Daudi cell lysate at 20 µg

Lane 4:

Jurkat cell lysate at 20 µg

Secondary

All lanes:

Goat anti-Rabbit IgG H&L 800CW and Goat anti-Mouse IgG H&L 680RD at 1/20000 dilution

Predicted band size: 51 kDa

Observed band size: 55/60 kDa,37 kDa

false

Immunocytochemistry/ Immunofluorescence - Anti-MEF2C antibody [EPR19089-202] - BSA and Azide free (AB231859)
  • ICC/IF

Supplier Data

Immunocytochemistry/ Immunofluorescence - Anti-MEF2C antibody [EPR19089-202] - BSA and Azide free (AB231859)

Immunofluorescent analysis of 4% Paraformaldehyde-fixed, 0.1% Triton X-100 permeabilised Raji (human Burkitt's lymphoma B lymphocyte) cells labelling MEF2C with ab211493 at 1/500 dilution, followed by AlexaFluor®488 Goat anti-Rabbit secondary (ab150077) at 1/1000 dilution (green). Confocal image showing nuclear staining in Raji cell line. Negative control : Jurkat (PMID : 27876533). DAPI was used as the nuclear counterstain, and the Anti-alpha Tubulin antibody [DM1A] - Microtubule Marker (Alexa Fluor® 594) (ab195889 antibody was used as a counterstain at 1/200 dilution.

The negetive controls are as follows :
-ve control 1 : ab197070 on jurkat (human T cell leukemia cell line from peripheral blood) cells.
-ve control 2 : Jurkat cells stained with DAPI.
-ve control 3 : Merged negetive contol images.

This data was developed using the same antibody clone in a different buffer formulation containing PBS, BSA, glycerol, and sodium azide (ab211493).

Key facts

Host species

Rabbit

Clonality

Monoclonal

Clone number

EPR19089-202

Isotype

IgG

Carrier free

Yes

Reacts with

Mouse, Rat, Human

Applications

IHC-P, ChIP, Flow Cyt (Intra), WB, ICC/IF

applications

Immunogen

The exact immunogen used to generate this antibody is proprietary information.

Reactivity data

{ "title": "Reactivity Data", "filters": { "stats": ["", "Species", "Dilution Info", "Notes"], "tabs": { "all-applications": {"fullname" : "All Applications", "shortname": "All Applications"}, "ChIP" : {"fullname" : "ChIP", "shortname":"ChIP"}, "WB" : {"fullname" : "Western blot", "shortname":"WB"}, "ICCIF" : {"fullname" : "Immunocytochemistry/ Immunofluorescence", "shortname":"ICC/IF"}, "FlowCytIntra" : {"fullname" : "Flow Cytometry (Intracellular)", "shortname":"Flow Cyt (Intra)"}, "IHCP" : {"fullname" : "Immunohistochemistry (Formalin/PFA-fixed paraffin-embedded sections)", "shortname":"IHC-P"} }, "product-promise": { "all": "all", "testedAndGuaranteed": "tested", "guaranteed": "expected", "predicted": "predicted", "notRecommended": "not-recommended" } }, "values": { "Human": { "ChIP-species-checked": "testedAndGuaranteed", "ChIP-species-dilution-info": "", "ChIP-species-notes": "<p></p>", "WB-species-checked": "testedAndGuaranteed", "WB-species-dilution-info": "", "WB-species-notes": "<p></p>", "ICCIF-species-checked": "testedAndGuaranteed", "ICCIF-species-dilution-info": "", "ICCIF-species-notes": "<p></p>", "FlowCytIntra-species-checked": "testedAndGuaranteed", "FlowCytIntra-species-dilution-info": "", "FlowCytIntra-species-notes": "<p></p>", "IHCP-species-checked": "testedAndGuaranteed", "IHCP-species-dilution-info": "", "IHCP-species-notes": "<p></p>" }, "Mouse": { "ChIP-species-checked": "predicted", "ChIP-species-dilution-info": "", "ChIP-species-notes": "", "WB-species-checked": "guaranteed", "WB-species-dilution-info": "", "WB-species-notes": "<p></p>", "ICCIF-species-checked": "predicted", "ICCIF-species-dilution-info": "", "ICCIF-species-notes": "", "FlowCytIntra-species-checked": "predicted", "FlowCytIntra-species-dilution-info": "", "FlowCytIntra-species-notes": "", "IHCP-species-checked": "predicted", "IHCP-species-dilution-info": "", "IHCP-species-notes": "" }, "Rat": { "ChIP-species-checked": "predicted", "ChIP-species-dilution-info": "", "ChIP-species-notes": "", "WB-species-checked": "guaranteed", "WB-species-dilution-info": "", "WB-species-notes": "<p></p>", "ICCIF-species-checked": "predicted", "ICCIF-species-dilution-info": "", "ICCIF-species-notes": "", "FlowCytIntra-species-checked": "predicted", "FlowCytIntra-species-dilution-info": "", "FlowCytIntra-species-notes": "", "IHCP-species-checked": "predicted", "IHCP-species-dilution-info": "", "IHCP-species-notes": "" } } }

Product details

ab231859 is the carrier-free version of ab211493.

Patented technology
Our RabMAb® technology is a patented hybridoma-based technology for making rabbit monoclonal antibodies. For details on our patents, please refer to RabMAb® patents.

Conjugation ready
Our carrier-free antibodies are typically supplied in a PBS-only formulation, purified and free of BSA, sodium azide and glycerol. This conjugation-ready format is designed for use with fluorochromes, metal isotopes, oligonucleotides, and enzymes, which makes them ideal for antibody labelling, functional and cell-based assays, flow-based assays (e.g. mass cytometry) and Multiplex Imaging applications.

Use our conjugation kits for antibody conjugates that are ready-to-use in as little as 20 minutes with 1 minute hands-on-time and 100% antibody recovery: available for fluorescent dyes, HRP, biotin and gold.

Compatibility
This product is compatible with the Maxpar® Antibody Labeling Kit from Fluidigm, without the need for antibody preparation. Maxpar® is a trademark of Fluidigm Canada Inc.

Properties and storage information

Form
Liquid
Purification technique
Affinity purification Protein A
Storage buffer
pH: 7.2 - 7.4 Constituents: PBS
Shipped at conditions
Blue Ice
Appropriate short-term storage conditions
+4°C
Appropriate long-term storage conditions
+4°C
Storage information
Do Not Freeze

Supplementary information

This supplementary information is collated from multiple sources and compiled automatically.

The MEF2C protein also known as MADS box transcription enhancer factor 2 polypeptide C plays an important role in gene expression regulation. This protein has a mass of approximately 52 kDa and is mainly found in the heart skeletal muscle brain and endothelial cells. It is part of the MEF2 family which includes other members like MEF2A MEF2B and MEF2D. MEF2C acts as a transcription factor binding to specific DNA sequences to activate the transcription of target genes involved in various biological processes.
Biological function summary

The MEF2C protein is essential in cellular differentiation and development. MEF2C is not part of a complex but interacts with other cofactors and regulatory proteins to fulfill its roles. It is important in the development of cardiac and skeletal muscle cells and plays a significant role in neurogenesis and neuronal connectivity in the central nervous system. This protein's precise regulation ensures proper development and function of these tissues and organs.

Pathways

MEF2C influences cellular signaling through the MAPK/ERK and calcium/calmodulin-dependent protein kinase pathways. In the MAPK/ERK pathway MEF2C modulates gene expression in response to external stimuli interacting with proteins like ERK1/2. In the calcium/calmodulin-dependent kinase pathway MEF2C plays a role in calcium signaling networks impacting neuronal plasticity and survival. These pathways highlight MEF2C’s involvement in muscle and brain function.

MEF2C mutations or dysregulation link to conditions like dilated cardiomyopathy and neurodevelopmental disorders such as MEF2C haploinsufficiency syndrome. In cardiac disease abnormal MEF2C activity can affect heart muscle cell function often involving proteins like actin and myosin. In neurodevelopmental disorders MEF2C's interaction with various transcriptional regulators impacts neuronal networks contributing to symptoms like impaired cognitive development and autism spectrum-like behaviors.

Product protocols

For this product, it's our understanding that no specific protocols are required. You can visit:

Target data

Transcription activator which binds specifically to the MEF2 element present in the regulatory regions of many muscle-specific genes. Controls cardiac morphogenesis and myogenesis, and is also involved in vascular development. Enhances transcriptional activation mediated by SOX18. Plays an essential role in hippocampal-dependent learning and memory by suppressing the number of excitatory synapses and thus regulating basal and evoked synaptic transmission. Crucial for normal neuronal development, distribution, and electrical activity in the neocortex. Necessary for proper development of megakaryocytes and platelets and for bone marrow B-lymphopoiesis. Required for B-cell survival and proliferation in response to BCR stimulation, efficient IgG1 antibody responses to T-cell-dependent antigens and for normal induction of germinal center B-cells. May also be involved in neurogenesis and in the development of cortical architecture (By similarity). Isoforms that lack the repressor domain are more active than isoform 1.
See full target information MEF2C

Publications (3)

Recent publications for all applications. Explore the full list and refine your search

Autophagy 20:505-524 PubMed37772772

2023

Direct regulation of FNIP1 and FNIP2 by MEF2 sustains MTORC1 activation and tumor progression in pancreatic cancer.

Applications

Unspecified application

Species

Unspecified reactive species

Li Xia,Tiejian Nie,Fangfang Lu,Lu Huang,Xiaolong Shi,Dongni Ren,Jianjun Lu,Xiaobin Li,Tuo Xu,Bozhou Cui,Qing Wang,Guodong Gao,Qian Yang

Communications biology 3:612 PubMed33097765

2020

Myostatin regulates fatty acid desaturation and fat deposition through MEF2C/miR222/SCD5 cascade in pigs.

Applications

Unspecified application

Species

Unspecified reactive species

Hongyan Ren,Wei Xiao,Xingliang Qin,Gangzhi Cai,Hao Chen,Zaidong Hua,Cheng Cheng,Xinglei Li,Wenjun Hua,Hongwei Xiao,Liping Zhang,Jiali Dai,Xinmin Zheng,Zhe Zhu,Chong Qian,Jie Yao,Yanzhen Bi

Clinical and translational medicine 10:e39 PubMed32508058

2020

T-cell activation and immune memory enhancement induced by irreversible electroporation in pancreatic cancer.

Applications

Unspecified application

Species

Unspecified reactive species

Chaobin He,Xin Huang,Yu Zhang,Xiaojun Lin,Shengping Li
View all publications

Product promise

We are committed to supporting your work with high-quality reagents, and we're here for you every step of the way. In the unlikely event that one of our products does not perform as expected, you're protected by our Product Promise.
For full details, please see our Terms & Conditions

Please note: All products are 'FOR RESEARCH USE ONLY. NOT FOR USE IN DIAGNOSTIC OR THERAPEUTIC PROCEDURES'.

For licensing inquiries, please contact partnerships@abcam.com