JavaScript is disabled in your browser. Please enable JavaScript to view this website.
AB32845

Anti-MEF2D antibody

4

(2 Reviews)

|

(15 Publications)

Rabbit Polyclonal MEF2D antibody. Suitable for IHC-P, IP and reacts with Human samples. Cited in 15 publications. Immunogen corresponding to Recombinant Fragment Protein within Human MEF2D aa 250 to C-terminus.

View Alternative Names

Myocyte-specific enhancer factor 2D, MEF2D

2 Images
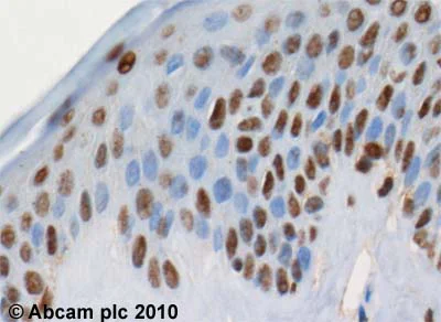
Immunohistochemistry (Formalin/PFA-fixed paraffin-embedded sections) - Anti-MEF2D antibody (AB32845)
  • IHC-P

Unknown

Immunohistochemistry (Formalin/PFA-fixed paraffin-embedded sections) - Anti-MEF2D antibody (AB32845)

ab32845 (2µg/ml) staining MEF2D in human skin using an automated system (DAKO Autostainer Plus). Using this protocol there is strong nuclear staining.
Sections were rehydrated and antigen retrieved with the Dako 3 in 1 AR buffers citrate pH6.1 in a DAKO PT link. Slides were peroxidase blocked in 3% H2O2 in methanol for 10 mins. They were then blocked with Dako Protein block for 10 minutes (containing casein 0.25% in PBS) then incubated with primary antibody for 20 min and detected with Dako envision flex amplification kit for 30 minutes. Colorimetric detection was completed with Diaminobenzidine for 5 minutes. Slides were counterstained with Haematoxylin and coverslipped under DePeX. Please note that, for manual staining, optimization of primary antibody concentration and incubation time is recommended. Signal amplification may be required.

Immunoprecipitation - Anti-MEF2D antibody (AB32845)
  • IP

Unknown

Immunoprecipitation - Anti-MEF2D antibody (AB32845)

Immunoprecipitation of 35S-methionine labelled HeLa cells with anti-MEF2D sera. 1 : pre-immune sera; 2 : ab32845 anti-MEF2D sera.

All lanes:

Immunoprecipitation - Anti-MEF2D antibody (ab32845)

Predicted band size: 56 kDa

false

Key facts

Host species

Rabbit

Clonality

Polyclonal

Isotype

IgG

Carrier free

No

Reacts with

Human

Applications

IHC-P, IP

applications

Immunogen

Recombinant Fragment Protein within Human MEF2D aa 250 to C-terminus. The exact immunogen used to generate this antibody is proprietary information.

Q14814

Reactivity data

{ "title": "Reactivity Data", "filters": { "stats": ["", "Species", "Dilution Info", "Notes"], "tabs": { "all-applications": {"fullname" : "All Applications", "shortname": "All Applications"}, "IHCP" : {"fullname" : "Immunohistochemistry (Formalin/PFA-fixed paraffin-embedded sections)", "shortname":"IHC-P"}, "IP" : {"fullname" : "Immunoprecipitation", "shortname":"IP"} }, "product-promise": { "all": "all", "testedAndGuaranteed": "tested", "guaranteed": "expected", "predicted": "predicted", "notRecommended": "not-recommended" } }, "values": { "Human": { "IHCP-species-checked": "testedAndGuaranteed", "IHCP-species-dilution-info": "2 µg/mL", "IHCP-species-notes": "<p></p> Perform heat-mediated antigen retrieval before commencing with IHC staining protocol.", "IP-species-checked": "testedAndGuaranteed", "IP-species-dilution-info": "", "IP-species-notes": "<p>Use 4µl for 1ml cell lysate.</p>" } } }

Properties and storage information

Form
Liquid
Purity
Whole antiserum
Storage buffer
Constituents: Whole serum
Shipped at conditions
Blue Ice
Appropriate short-term storage duration
1-2 weeks
Appropriate short-term storage conditions
+4°C
Appropriate long-term storage conditions
-20°C
Aliquoting information
Upon delivery aliquot
Storage information
Avoid freeze / thaw cycle

Supplementary information

This supplementary information is collated from multiple sources and compiled automatically.

MEF2D also known as Myocyte Enhancer Factor 2D is a transcription factor protein with a mass of roughly 55 kDa. Scientists find MEF2D widely expressed in different tissues including muscle brain and immune cells where it regulates gene expression. By binding to specific DNA sequences MEF2D influences the transcription of various genes essential for cellular differentiation and development. MEF2D operates as an important player in controlling the expression of genes involved in muscle development and neuronal differentiation.
Biological function summary

MEF2D plays a significant role in muscle and neuronal development and is part of the MEF2 family which includes other factors such as MEF2A MEF2B and MEF2C. These transcription factors form a complex with other proteins including histone deacetylases (HDACs) to regulate gene expression. MEF2D acts as a mediator between signaling pathways and genes responsible for cell growth survival and apoptosis. It helps modulate cellular responses to various external and internal cues adjusting transcriptional programs accordingly.

Pathways

MEF2D is a significant component in the mitogen-activated protein kinase (MAPK) and calcium/calmodulin-dependent protein kinase (CaMK) signaling pathways. These pathways influence muscle differentiation and neuronal plasticity. MEF2D cooperates with related proteins such as CaMKIV which phosphorylates MEF2D leading to the activation of specific target genes. Its role interconnects with other members of the MEF2 family and influences cellular processes linked to differentiation and survival.

MEF2D has been implicated in conditions such as cancer and neurodegenerative diseases. In certain cancers altered regulation of MEF2D expression can lead to unchecked cellular proliferation. Its interaction with HDACs has also been observed in neurodegenerative disorders like Alzheimer's disease where dysregulated gene expression contributes to neuronal dysfunction. MEF2D may interact with other proteins like tau which associates with Alzheimer's pathology making it a target of interest in therapeutic strategies.

Product protocols

For this product, it's our understanding that no specific protocols are required. You can visit:

Target data

Transcriptional activator which binds specifically to the MEF2 element, 5'-YTA[AT](4)TAR-3', found in numerous muscle-specific, growth factor- and stress-induced genes. Mediates cellular functions not only in skeletal and cardiac muscle development, but also in neuronal differentiation and survival. Plays diverse roles in the control of cell growth, survival and apoptosis via p38 MAPK signaling in muscle-specific and/or growth factor-related transcription. Plays a critical role in the regulation of neuronal apoptosis (By similarity).
See full target information MEF2D

Publications (15)

Recent publications for all applications. Explore the full list and refine your search

iScience 25:105139 PubMed36193052

2022

Dissection of the MEF2D-IRF8 transcriptional circuit dependency in acute myeloid leukemia.

Applications

Unspecified application

Species

Unspecified reactive species

Bianca Y Pingul,Hua Huang,Qingzhou Chen,Fatemeh Alikarami,Zhen Zhang,Jun Qi,Kathrin M Bernt,Shelley L Berger,Zhendong Cao,Junwei Shi

Immunity 54:1665-1682.e14 PubMed34129840

2021

A PGE-MEF2A axis enables context-dependent control of inflammatory gene expression.

Applications

Unspecified application

Species

Unspecified reactive species

Francesco Cilenti,Giulia Barbiera,Nicoletta Caronni,Dario Iodice,Elisa Montaldo,Simona Barresi,Eleonora Lusito,Vincenzo Cuzzola,Francesco Maria Vittoria,Luca Mezzanzanica,Paolo Miotto,Pietro Di Lucia,Dejan Lazarevic,Daniela Maria Cirillo,Matteo Iannacone,Marco Genua,Renato Ostuni

Oncology reports 45:1044-1058 PubMed33650655

2021

Nucleolar and spindle‑associated protein 1 promotes non‑small cell lung cancer progression and serves as an effector of myocyte enhancer factor 2D.

Applications

Unspecified application

Species

Unspecified reactive species

Bo Ling,Pengya Wei,Juan Xiao,Bingkui Cen,Hong Wei,Xueping Feng,Guangbin Ye,Songbo Li,Zhongwei Zhang,Wei Liang,Suoyi Huang,Wei Huang

Cell reports 31:107782 PubMed32579914

2020

NeuroD1 Dictates Tumor Cell Differentiation in Medulloblastoma.

Applications

Unspecified application

Species

Unspecified reactive species

Yan Cheng,Shengyou Liao,Gang Xu,Jian Hu,Duancheng Guo,Fang Du,Alejandra Contreras,Kathy Q Cai,Suraj Peri,Yuan Wang,David C Corney,Anne Marie Noronha,Lianne Q Chau,Ginger Zhou,David L Wiest,Alfonso Bellacosa,Robert J Wechsler-Reya,Yi Zhao,Zeng-Jie Yang

Bone 138:115466 PubMed32512162

2020

Loss of myocyte enhancer factor 2 expression in osteoclasts leads to opposing skeletal phenotypes.

Applications

Unspecified application

Species

Unspecified reactive species

Nicholas Blixt,Andrew Norton,Anqi Zhang,Conrado Aparicio,Hari Prasad,Rajaram Gopalakrishnan,Eric D Jensen,Kim C Mansky

Molecular medicine reports 21:1328-1335 PubMed31894327

2020

Protocatechuic acid attenuates β‑secretase activity and okadaic acid‑induced autophagy via the Akt/GSK‑3β/MEF2D pathway in PC12 cells.

Applications

Unspecified application

Species

Unspecified reactive species

Liping Huang,Xiaoqin Zhong,Shaochen Qin,Minzhen Deng

Nature communications 10:3276 PubMed31332177

2019

Regulatory pathways governing murine coronary vessel formation are dysregulated in the injured adult heart.

Applications

Unspecified application

Species

Unspecified reactive species

Sophie Payne,Mala Gunadasa-Rohling,Alice Neal,Andia N Redpath,Jyoti Patel,Kira M Chouliaras,Indrika Ratnayaka,Nicola Smart,Sarah De Val

American journal of translational research 9:4836-4847 PubMed29218083

2017

Overexpression and biological function of MEF2D in human pancreatic cancer.

Applications

Unspecified application

Species

Unspecified reactive species

Zhiwang Song,Chan Feng,Yonglin Lu,Yong Gao,Yun Lin,Chunyan Dong

Nature communications 6:7953 PubMed26245647

2015

MEF2B mutations in non-Hodgkin lymphoma dysregulate cell migration by decreasing MEF2B target gene activation.

Applications

WB

Species

Human

Julia R Pon,Jackson Wong,Saeed Saberi,Olivia Alder,Michelle Moksa,S-W Grace Cheng,Gregg B Morin,Pamela A Hoodless,Martin Hirst,Marco A Marra

Movement disorders : official journal of the Movement Disorder Society 30:1639-47 PubMed25594542

2015

Lysosomal-associated membrane protein 2 isoforms are differentially affected in early Parkinson's disease.

Applications

Unspecified application

Species

Unspecified reactive species

Karen E Murphy,Amanda M Gysbers,Sarah K Abbott,Adena S Spiro,Akiko Furuta,Antony Cooper,Brett Garner,Tomohiro Kabuta,Glenda M Halliday
View all publications

Product promise

We are committed to supporting your work with high-quality reagents, and we're here for you every step of the way. In the unlikely event that one of our products does not perform as expected, you're protected by our Product Promise.
For full details, please see our Terms & Conditions

Please note: All products are 'FOR RESEARCH USE ONLY. NOT FOR USE IN DIAGNOSTIC OR THERAPEUTIC PROCEDURES'.

For licensing inquiries, please contact partnerships@abcam.com