JavaScript is disabled in your browser. Please enable JavaScript to view this website.
AB282733

Anti-MEF2D antibody [EPR24993-10] - BSA and Azide free

  • BOND RX™ Validated
  • KO Validated
  • RabMAb
  • Recombinant
  • What is this?

Be the first to review this product! Submit a review

|

(0 Publication)

Rabbit Recombinant Monoclonal MEF2D antibody. Carrier free. Suitable for ICC/IF, Flow Cyt (Intra), WB, IHC-P and reacts with Mouse, Human, Rat, Recombinant fragment - Human samples.

View Alternative Names

Myocyte-specific enhancer factor 2D, MEF2D

12 Images
Flow Cytometry (Intracellular) - Anti-MEF2D antibody [EPR24993-10] - BSA and Azide free (AB282733)
  • Flow Cyt (Intra)

Supplier Data

Flow Cytometry (Intracellular) - Anti-MEF2D antibody [EPR24993-10] - BSA and Azide free (AB282733)

This data was developed using ab282731, the same antibody clone in a different buffer formulation.

Flow cytometric analysis of 4% paraformaldehyde fixed 90% methanol permeabilized THP-1 (Human monocytic leukemia monocyte) cells labelling MEF2D with ab282731 at 1/500 dilution (0.1 ug) (Red) compared with a Rabbit monoclonal IgG (ab172730) (Black) isotype control and an unlabelled control (cells without incubation with primary antibody and secondary antibody) (Blue). A Goat anti rabbit IgG (Alexa Fluor® 488, ab150077) at 1/2000 dilution was used as the secondary antibody.

Immunocytochemistry/ Immunofluorescence - Anti-MEF2D antibody [EPR24993-10] - BSA and Azide free (AB282733)
  • ICC/IF

Supplier Data

Immunocytochemistry/ Immunofluorescence - Anti-MEF2D antibody [EPR24993-10] - BSA and Azide free (AB282733)

This data was developed using ab282731, the same antibody clone in a different buffer formulation.

Immunofluorescent analysis of 100% methanol-fixed, 0.1% TritonX-100 permeabilized RAW 264.7 cells labelling MEF2D with ab282731 at 1/50 (11.42 ug/ml) dilution, followed by ab150081 Goat Anti-Rabbit IgG H&L (Alexa Fluor® 488) preadsorbed antibody at 1/1000 dilution (Green) Confocal image showing mainly nuclear staining in RAW 264.7 cells is observed.

ab195889 Anti-alpha Tubulin mouse monoclonal antibody - Microtubule Marker (Alexa Fluor® 594) was used to counterstain tubulin at 1/200 dilution (Red). The Nuclear counterstain was DAPI (Blue).

Secondary antibody only control : Secondary antibody is ab150081 Goat Anti-Rabbit IgG H&L (Alexa Fluor® 488) preadsorbed at 1/1000 dilution.

Immunohistochemistry (Formalin/PFA-fixed paraffin-embedded sections) - Anti-MEF2D antibody [EPR24993-10] - BSA and Azide free (AB282733)
  • IHC-P

Supplier Data

Immunohistochemistry (Formalin/PFA-fixed paraffin-embedded sections) - Anti-MEF2D antibody [EPR24993-10] - BSA and Azide free (AB282733)

This data was developed using ab282731, the same antibody clone in a different buffer formulation.

Immunohistochemical analysis of paraffin-embedded Rat colon tissue labelling MEF2D with ab282731 at 1/2000 (0.286 ug/ml) dilution followed by a ready to use LeicaDS9800 (Bond™ Polymer Refine Detection). Nuclear staining on rat colon. The section was incubated with ab282731 for 30 mins at room temperature. The immunostaining was performed on a Leica Biosystems BOND® RX instrument Counterstained with Hematoxylin.

Secondary antibody only control : Secondary antibody is a ready to use LeicaDS9800 (Bond™ Polymer Refine Detection).

Heat mediated antigen retrieval with Tris-EDTA buffer (pH 9.0, epitope retrieval solution2) for 20 mins

Western blot - Anti-MEF2D antibody [EPR24993-10] - BSA and Azide free (AB282733)
  • WB

Lab

Western blot - Anti-MEF2D antibody [EPR24993-10] - BSA and Azide free (AB282733)

This data was developed using ab282731, the same antibody clone in a different buffer formulation. False colour image of Western blot : Anti-MEF2D antibody [EPR24993-10] staining at 1/1000 dilution, shown in green; Mouse anti-GAPDH antibody [6C5] (ab8245) loading control staining at 1/20000 dilution, shown in red. In Western blot, ab282731 was shown to bind specifically to MEF2D. A band was observed at 67 kDa in wild-type HeLa cell lysates with no signal observed at this size in mef2d CRISPR-Cas9 edited cell line ab281636. The band observed in the CRISPR-Cas9 edited lysate lane below 67 kDa is likely to represent a truncated form of MEF2D. This has not been investigated further and the functional properties of the gene product have not been determined. To generate this image, wild-type and mef2d CRISPR-Cas9 edited HeLa cell lysates were analysed. First, samples were run on an SDS-PAGE gel then transferred onto a nitrocellulose membrane. Membranes were blocked in 3 % milk in TBS-0.1 % Tween® 20 (TBS-T) before incubation with primary antibodies overnight at 4 °C. Blots were washed four times in TBS-T, incubated with secondary antibodies for 1 h at room temperature, washed again four times then imaged. Secondary antibodies used were Goat anti-Rabbit IgG H&L 800CW and Goat anti-Mouse IgG H&L 680RD at 1/20000 dilution.

Lanes 1 - 4:

Western blot - Anti-MEF2D antibody [EPR24993-10] (<a href='/en-us/products/primary-antibodies/mef2d-antibody-epr24993-10-ab282731'>ab282731</a>) at 1/1000 dilution

Lanes 1 - 4:

Western blot - Anti-MEF2D antibody [EPR24993-10] - BSA and Azide free (ab282733) at 1/1000 dilution

Lane 1:

Wild-type HeLa cell lysate at 20 µg

Lane 2:

Western blot - Human MEF2D knockout HeLa cell line (ab281636)

Lane 2:

mef2d CRISPR-Cas9 edited HeLa cell lysate at 20 µg

Lane 3:

U-2 OS cell lysate at 20 µg

Lane 4:

NIH/3T3 cell lysate at 20 µg

Secondary

All lanes:

oat anti-Rabbit IgG H&L 800CW and Goat anti-Mouse IgG H&L 680RD at 1/20000 dilution

Observed band size: 67 kDa

false

Immunohistochemistry (Formalin/PFA-fixed paraffin-embedded sections) - Anti-MEF2D antibody [EPR24993-10] - BSA and Azide free (AB282733)
  • IHC-P

Supplier Data

Immunohistochemistry (Formalin/PFA-fixed paraffin-embedded sections) - Anti-MEF2D antibody [EPR24993-10] - BSA and Azide free (AB282733)

This data was developed using ab282731, the same antibody clone in a different buffer formulation.

Immunohistochemical analysis of paraffin-embedded Mouse cerebrum tissue labelling MEF2D with ab282731 at 1/2000 (0.286 ug/ml) dilution followed by a ready to use LeicaDS9800 (Bond™ Polymer Refine Detection). Nuclear staining on mouse cererbum (PMID : 28738418). The section was incubated with ab282731 for 30 mins at room temperature. The immunostaining was performed on a Leica Biosystems BOND® RX instrument Counterstained with Hematoxylin.

Secondary antibody only control : Secondary antibody is a ready to use LeicaDS9800 (Bond™ Polymer Refine Detection).

Heat mediated antigen retrieval with Tris-EDTA buffer (pH 9.0, epitope retrieval solution2) for 20 mins

Immunocytochemistry/ Immunofluorescence - Anti-MEF2D antibody [EPR24993-10] - BSA and Azide free (AB282733)
  • ICC/IF

Supplier Data

Immunocytochemistry/ Immunofluorescence - Anti-MEF2D antibody [EPR24993-10] - BSA and Azide free (AB282733)

This data was developed using ab282731, the same antibody clone in a different buffer formulation.

Immunofluorescent analysis of 100% methanol-fixed, 0.1% TritonX-100 permeabilized THP-1 cells labelling MEF2D with ab282731 at 1/50 (11.42 ug/ml) dilution, followed by ab150077 Goat Anti-Rabbit IgG H&L (Alexa Fluor® 488) antibody at 1/1000 dilution (Green) Confocal image showing mainly nuclear staining in THP-1 cells is observed.

ab195889 Anti-alpha Tubulin mouse monoclonal antibody - Microtubule Marker (Alexa Fluor® 594) was used to counterstain tubulin at 1/200 dilution (Red). The Nuclear counterstain was DAPI (Blue).

Secondary antibody only control : Secondary antibody is ab150077 Goat Anti-Rabbit IgG H&L (Alexa Fluor® 488) at 1/1000 dilution.

Immunohistochemistry (Formalin/PFA-fixed paraffin-embedded sections) - Anti-MEF2D antibody [EPR24993-10] - BSA and Azide free (AB282733)
  • IHC-P

Supplier Data

Immunohistochemistry (Formalin/PFA-fixed paraffin-embedded sections) - Anti-MEF2D antibody [EPR24993-10] - BSA and Azide free (AB282733)

This data was developed using ab282731, the same antibody clone in a different buffer formulation.

Immunohistochemical analysis of paraffin-embedded Mouse testis tissue labelling MEF2D with ab282731 at 1/2000 (0.286 ug/ml) dilution followed by a ready to use LeicaDS9800 (Bond™ Polymer Refine Detection). Nuclear staining on mouse testis (PMID : 24694307). The section was incubated with ab282731 for 30 mins at room temperature. The immunostaining was performed on a Leica Biosystems BOND® RX instrument Counterstained with Hematoxylin.

Secondary antibody only control : Secondary antibody is a ready to use LeicaDS9800 (Bond™ Polymer Refine Detection).

Heat mediated antigen retrieval with Tris-EDTA buffer (pH 9.0, epitope retrieval solution2) for 20 mins

Immunohistochemistry (Formalin/PFA-fixed paraffin-embedded sections) - Anti-MEF2D antibody [EPR24993-10] - BSA and Azide free (AB282733)
  • IHC-P

Supplier Data

Immunohistochemistry (Formalin/PFA-fixed paraffin-embedded sections) - Anti-MEF2D antibody [EPR24993-10] - BSA and Azide free (AB282733)

This data was developed using ab282731, the same antibody clone in a different buffer formulation.

Immunohistochemical analysis of paraffin-embedded Rat cerebrum tissue labelling MEF2D with ab282731 at 1/2000 (0.286 ug/ml) dilution followed by a ready to use LeicaDS9800 (Bond™ Polymer Refine Detection). Nuclear staining on rat cererbum (PMID : 28738418). The section was incubated with ab282731 for 30 mins at room temperature. The immunostaining was performed on a Leica Biosystems BOND® RX instrument Counterstained with Hematoxylin.

Secondary antibody only control : Secondary antibody is a ready to use LeicaDS9800 (Bond™ Polymer Refine Detection).

Heat mediated antigen retrieval with Tris-EDTA buffer (pH 9.0, epitope retrieval solution2) for 20 mins

Flow Cytometry (Intracellular) - Anti-MEF2D antibody [EPR24993-10] - BSA and Azide free (AB282733)
  • Flow Cyt (Intra)

Supplier Data

Flow Cytometry (Intracellular) - Anti-MEF2D antibody [EPR24993-10] - BSA and Azide free (AB282733)

This data was developed using ab282731, the same antibody clone in a different buffer formulation.

Flow cytometric analysis of 4% paraformaldehyde fixed 90% methanol permeabilized RAW 264.7 (mouse Abelson murine leukemia virus-induced tumor macrophage) cells labelling MEF2D with ab282731 at 1/500 dilution (0.1 ug) (Red) compared with a Rabbit monoclonal IgG (ab172730) (Black) isotype control and an unlabelled control (cells without incubation with primary antibody and secondary antibody) (Blue). A Goat anti rabbit IgG (Alexa Fluor® 488, ab150077) at 1/2000 dilution was used as the secondary antibody.

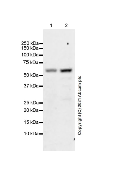
Western blot - Anti-MEF2D antibody [EPR24993-10] - BSA and Azide free (AB282733)
  • WB

Lab

Western blot - Anti-MEF2D antibody [EPR24993-10] - BSA and Azide free (AB282733)

This data was developed using ab282731, the same antibody clone in a different buffer formulation.

Blocking and diluting buffer and concentration : 5% NFDM/TBST

Low expression : SW480/ DLD-1 (PMID : 27364559).

Exposure time : 147 seconds

All lanes:

Western blot - Anti-MEF2D antibody [EPR24993-10] (<a href='/en-us/products/primary-antibodies/mef2d-antibody-epr24993-10-ab282731'>ab282731</a>) at 1/1000 dilution

Lane 1:

THP-1 (Human monocytic leukemia monocyte) whole cell lysates at 20 µg

Lane 2:

SW480 (human colorectal adenocarcinoma epithelial cell) whole cell lysate at 20 µg

Lane 3:

DLD-1 (human colon epithelial) whole cell lysate at 20 µg

Secondary

All lanes:

Western blot - Goat Anti-Rabbit IgG H&L (HRP) (<a href='/en-us/products/secondary-antibodies/goat-rabbit-igg-h-l-hrp-ab97051'>ab97051</a>) at 1/50000 dilution

Predicted band size: 56 kDa

Observed band size: 40 kDa,70 kDa

false

Western blot - Anti-MEF2D antibody [EPR24993-10] - BSA and Azide free (AB282733)
  • WB

Lab

Western blot - Anti-MEF2D antibody [EPR24993-10] - BSA and Azide free (AB282733)

This data was developed using ab282731, the same antibody clone in a different buffer formulation.

Blocking and diluting buffer and concentration : 5% NFDM/TBST

Lysates were made freshly and used in WB test immediately to minimize protein degradation.

Exposure time : 147 seconds

All lanes:

Western blot - Anti-MEF2D antibody [EPR24993-10] (<a href='/en-us/products/primary-antibodies/mef2d-antibody-epr24993-10-ab282731'>ab282731</a>) at 1/1000 dilution

Lane 1:

RAW 264.7 (mouse Abelson murine leukemia virus-induced tumor macrophage) whole cell lysate at 20 µg

Lane 2:

2.4G2 (rat B cell lymphoma B lymphocyte) whole cell lysate at 20 µg

Secondary

All lanes:

Western blot - Goat Anti-Rabbit IgG H&L (HRP) (<a href='/en-us/products/secondary-antibodies/goat-rabbit-igg-h-l-hrp-ab97051'>ab97051</a>) at 1/50000 dilution

Predicted band size: 56 kDa

Observed band size: 70 kDa

false

Western blot - Anti-MEF2D antibody [EPR24993-10] - BSA and Azide free (AB282733)
  • WB

Lab

Western blot - Anti-MEF2D antibody [EPR24993-10] - BSA and Azide free (AB282733)

This data was developed using ab282731, the same antibody clone in a different buffer formulation.

Blocking and diluting buffer and concentration : 5% NFDM/TBST

His-tagged human MEF2D recombinant protein (aa54-328) 10ng

Myc/DDDDK-tagged human MEF2A recombinant protein 10ng

Myc/DDDDK-tagged human MEF2B recombinant protein 10ng

Myc/DDDDK-tagged human MEF2C recombinant protein 10ng

Exposure time : 10 seconds

All lanes:

Western blot - Anti-MEF2D antibody [EPR24993-10] (<a href='/en-us/products/primary-antibodies/mef2d-antibody-epr24993-10-ab282731'>ab282731</a>) at 1/1000 dilution

Lane 1:

His-tagged human MEF2D recombinant protein at 0.01 µg

Lane 2:

Myc/DDDDK-tagged human MEF2A recombinant protein at 0.01 µg

Lane 3:

Myc/DDDDK-tagged human MEF2B recombinant protein at 0.01 µg

Lane 4:

Myc/DDDDK-tagged human MEF2C recombinant protein at 0.01 µg

Secondary

All lanes:

Western blot - Goat Anti-Rabbit IgG H&L (HRP) (<a href='/en-us/products/secondary-antibodies/goat-rabbit-igg-h-l-hrp-ab97051'>ab97051</a>) at 1/50000 dilution

Predicted band size: 56 kDa

Observed band size: 31 kDa

false

Key facts

Host species

Rabbit

Clonality

Monoclonal

Clone number

EPR24993-10

Isotype

IgG

Carrier free

Yes

Reacts with

Rat, Human, Mouse

Applications

IHC-P, WB, ICC/IF, Flow Cyt (Intra)

applications

Immunogen

The exact immunogen used to generate this antibody is proprietary information.

Reactivity data

{ "title": "Reactivity Data", "filters": { "stats": ["", "Species", "Dilution Info", "Notes"], "tabs": { "all-applications": {"fullname" : "All Applications", "shortname": "All Applications"}, "ICCIF" : {"fullname" : "Immunocytochemistry/ Immunofluorescence", "shortname":"ICC/IF"}, "IP" : {"fullname" : "Immunoprecipitation", "shortname":"IP"}, "FlowCytIntra" : {"fullname" : "Flow Cytometry (Intracellular)", "shortname":"Flow Cyt (Intra)"}, "WB" : {"fullname" : "Western blot", "shortname":"WB"}, "IHCP" : {"fullname" : "Immunohistochemistry (Formalin/PFA-fixed paraffin-embedded sections)", "shortname":"IHC-P"} }, "product-promise": { "all": "all", "testedAndGuaranteed": "tested", "guaranteed": "expected", "predicted": "predicted", "notRecommended": "not-recommended" } }, "values": { "Human": { "ICCIF-species-checked": "testedAndGuaranteed", "ICCIF-species-dilution-info": "", "ICCIF-species-notes": "<p></p>", "IP-species-checked": "notRecommended", "IP-species-dilution-info": "", "IP-species-notes": "<p></p>", "FlowCytIntra-species-checked": "testedAndGuaranteed", "FlowCytIntra-species-dilution-info": "", "FlowCytIntra-species-notes": "<p></p>", "WB-species-checked": "testedAndGuaranteed", "WB-species-dilution-info": "", "WB-species-notes": "<p></p>", "IHCP-species-checked": "notRecommended", "IHCP-species-dilution-info": "", "IHCP-species-notes": "<p></p> Perform heat-mediated antigen retrieval with Tris/EDTA buffer pH 9.0 before commencing with IHC staining protocol." }, "Mouse": { "ICCIF-species-checked": "testedAndGuaranteed", "ICCIF-species-dilution-info": "", "ICCIF-species-notes": "<p></p>", "IP-species-checked": "notRecommended", "IP-species-dilution-info": "", "IP-species-notes": "<p></p>", "FlowCytIntra-species-checked": "testedAndGuaranteed", "FlowCytIntra-species-dilution-info": "", "FlowCytIntra-species-notes": "<p></p>", "WB-species-checked": "testedAndGuaranteed", "WB-species-dilution-info": "", "WB-species-notes": "<p></p>", "IHCP-species-checked": "testedAndGuaranteed", "IHCP-species-dilution-info": "", "IHCP-species-notes": "<p></p> Perform heat-mediated antigen retrieval with Tris/EDTA buffer pH 9.0 before commencing with IHC staining protocol." }, "Rat": { "ICCIF-species-checked": "guaranteed", "ICCIF-species-dilution-info": "", "ICCIF-species-notes": "", "IP-species-checked": "notRecommended", "IP-species-dilution-info": "", "IP-species-notes": "", "FlowCytIntra-species-checked": "guaranteed", "FlowCytIntra-species-dilution-info": "", "FlowCytIntra-species-notes": "", "WB-species-checked": "testedAndGuaranteed", "WB-species-dilution-info": "", "WB-species-notes": "<p></p>", "IHCP-species-checked": "testedAndGuaranteed", "IHCP-species-dilution-info": "", "IHCP-species-notes": "<p></p> Perform heat-mediated antigen retrieval with Tris/EDTA buffer pH 9.0 before commencing with IHC staining protocol." }, "Recombinant fragment - Human": { "ICCIF-species-checked": "notRecommended", "ICCIF-species-dilution-info": "", "ICCIF-species-notes": "", "IP-species-checked": "notRecommended", "IP-species-dilution-info": "", "IP-species-notes": "", "FlowCytIntra-species-checked": "notRecommended", "FlowCytIntra-species-dilution-info": "", "FlowCytIntra-species-notes": "", "WB-species-checked": "testedAndGuaranteed", "WB-species-dilution-info": "", "WB-species-notes": "<p></p>", "IHCP-species-checked": "notRecommended", "IHCP-species-dilution-info": "", "IHCP-species-notes": "" } } }

Product details

ab282733 is the carrier-free version of ab282731.

Patented technology
Our RabMAb® technology is a patented hybridoma-based technology for making rabbit monoclonal antibodies. For details on our patents, please refer to RabMAb® patents.

What are the advantages of a recombinant monoclonal antibody?
This product is a recombinant monoclonal antibody, which offers several advantages including:

  • - High batch-to-batch consistency and reproducibility
  • - Improved sensitivity and specificity
  • - Long-term security of supply
  • - Animal-free batch production

For more information, read more on recombinant antibodies.

Conjugation ready
Our carrier-free antibodies are typically supplied in a PBS-only formulation, purified and free of BSA, sodium azide and glycerol. This conjugation-ready format is designed for use with fluorochromes, metal isotopes, oligonucleotides, and enzymes, which makes them ideal for antibody labelling, functional and cell-based assays, flow-based assays (e.g. mass cytometry) and Multiplex Imaging applications.

Use our conjugation kits for antibody conjugates that are ready-to-use in as little as 20 minutes with 1 minute hands-on-time and 100% antibody recovery: available for fluorescent dyes, HRP, biotin and gold.

Compatibility
This product is compatible with the Maxpar® Antibody Labeling Kit from Fluidigm, without the need for antibody preparation. Maxpar® is a trademark of Fluidigm Canada Inc.

Properties and storage information

Form
Liquid
Purification technique
Affinity purification Protein A
Storage buffer
pH: 7.2 - 7.4 Constituents: 100% PBS
Shipped at conditions
Blue Ice
Appropriate short-term storage conditions
+4°C
Appropriate long-term storage conditions
+4°C

Supplementary information

This supplementary information is collated from multiple sources and compiled automatically.

MEF2D also known as Myocyte Enhancer Factor 2D is a transcription factor protein with a mass of roughly 55 kDa. Scientists find MEF2D widely expressed in different tissues including muscle brain and immune cells where it regulates gene expression. By binding to specific DNA sequences MEF2D influences the transcription of various genes essential for cellular differentiation and development. MEF2D operates as an important player in controlling the expression of genes involved in muscle development and neuronal differentiation.
Biological function summary

MEF2D plays a significant role in muscle and neuronal development and is part of the MEF2 family which includes other factors such as MEF2A MEF2B and MEF2C. These transcription factors form a complex with other proteins including histone deacetylases (HDACs) to regulate gene expression. MEF2D acts as a mediator between signaling pathways and genes responsible for cell growth survival and apoptosis. It helps modulate cellular responses to various external and internal cues adjusting transcriptional programs accordingly.

Pathways

MEF2D is a significant component in the mitogen-activated protein kinase (MAPK) and calcium/calmodulin-dependent protein kinase (CaMK) signaling pathways. These pathways influence muscle differentiation and neuronal plasticity. MEF2D cooperates with related proteins such as CaMKIV which phosphorylates MEF2D leading to the activation of specific target genes. Its role interconnects with other members of the MEF2 family and influences cellular processes linked to differentiation and survival.

MEF2D has been implicated in conditions such as cancer and neurodegenerative diseases. In certain cancers altered regulation of MEF2D expression can lead to unchecked cellular proliferation. Its interaction with HDACs has also been observed in neurodegenerative disorders like Alzheimer's disease where dysregulated gene expression contributes to neuronal dysfunction. MEF2D may interact with other proteins like tau which associates with Alzheimer's pathology making it a target of interest in therapeutic strategies.

Product protocols

For this product, it's our understanding that no specific protocols are required. You can visit:

Target data

Transcriptional activator which binds specifically to the MEF2 element, 5'-YTA[AT](4)TAR-3', found in numerous muscle-specific, growth factor- and stress-induced genes. Mediates cellular functions not only in skeletal and cardiac muscle development, but also in neuronal differentiation and survival. Plays diverse roles in the control of cell growth, survival and apoptosis via p38 MAPK signaling in muscle-specific and/or growth factor-related transcription. Plays a critical role in the regulation of neuronal apoptosis (By similarity).
See full target information MEF2D

Product promise

We are committed to supporting your work with high-quality reagents, and we're here for you every step of the way. In the unlikely event that one of our products does not perform as expected, you're protected by our Product Promise.
For full details, please see our Terms & Conditions

Please note: All products are 'FOR RESEARCH USE ONLY. NOT FOR USE IN DIAGNOSTIC OR THERAPEUTIC PROCEDURES'.

For licensing inquiries, please contact partnerships@abcam.com