JavaScript is disabled in your browser. Please enable JavaScript to view this website.
AB200363

Anti-MEG1 antibody - N-terminal

Be the first to review this product! Submit a review

|

(1 Publication)

Rabbit Polyclonal MEG1 antibody. N-terminal. Suitable for IHC-P and reacts with Human samples. Cited in 1 publication. Immunogen corresponding to Synthetic Peptide within Human Tyrosine-protein phosphatase non-receptor type 4.

View Alternative Names

Tyrosine-protein phosphatase non-receptor type 4, Protein-tyrosine phosphatase MEG1, MEG, PTPase-MEG1, PTPN4

2 Images
Immunohistochemistry (Formalin/PFA-fixed paraffin-embedded sections) - Anti-MEG1 antibody - N-terminal (AB200363)
  • IHC-P

Supplier Data

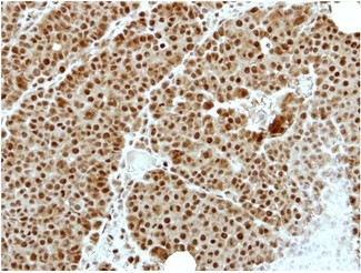
Immunohistochemistry (Formalin/PFA-fixed paraffin-embedded sections) - Anti-MEG1 antibody - N-terminal (AB200363)

Immunohistochemical analysis of paraffin-embedded human thyroid cancer tissue labeling MEG1 using ab200363 at a 1/40 dilution.

Immunohistochemistry (Formalin/PFA-fixed paraffin-embedded sections) - Anti-MEG1 antibody - N-terminal (AB200363)
  • IHC-P

Supplier Data

Immunohistochemistry (Formalin/PFA-fixed paraffin-embedded sections) - Anti-MEG1 antibody - N-terminal (AB200363)

Immunohistochemical analysis of paraffin-embedded human breast cancer tissue labeling MEG1 using ab200363 at a 1/40 dilution.

Key facts

Host species

Rabbit

Clonality

Polyclonal

Isotype

IgG

Carrier free

No

Reacts with

Human

Applications

IHC-P

applications

Immunogen

Synthetic Peptide within Human Tyrosine-protein phosphatase non-receptor type 4. The exact immunogen used to generate this antibody is proprietary information.

P29074

Reactivity data

{ "title": "Reactivity Data", "filters": { "stats": ["", "Species", "Dilution Info", "Notes"], "tabs": { "all-applications": {"fullname" : "All Applications", "shortname": "All Applications"}, "IHCP" : {"fullname" : "Immunohistochemistry (Formalin/PFA-fixed paraffin-embedded sections)", "shortname":"IHC-P"} }, "product-promise": { "all": "all", "testedAndGuaranteed": "tested", "guaranteed": "expected", "predicted": "predicted", "notRecommended": "not-recommended" } }, "values": { "Human": { "IHCP-species-checked": "testedAndGuaranteed", "IHCP-species-dilution-info": "1/40 - 1/200", "IHCP-species-notes": "<p></p> Perform heat-mediated antigen retrieval with citrate buffer pH 6 before commencing with IHC staining protocol." } } }

Properties and storage information

Form
Liquid
Purification technique
Affinity purification Immunogen
Storage buffer
pH: 7.4 Preservative: 0.05% Sodium azide Constituents: 50% Glycerol (glycerin, glycerine), 49% PBS
Shipped at conditions
Blue Ice
Appropriate short-term storage duration
1-2 weeks
Appropriate short-term storage conditions
+4°C
Appropriate long-term storage conditions
-20°C
Aliquoting information
Upon delivery aliquot
Storage information
Avoid freeze / thaw cycle

Supplementary information

This supplementary information is collated from multiple sources and compiled automatically.

MEG1 also known as Maternally Expressed Gene 1 is an imprinted gene that plays important role in biological processes. The MEG1 gene product is a long non-coding RNA which does not encode proteins but participates in regulatory functions. It is usually expressed in the placenta embryonic tissues and certain adult tissues like the pituitary gland. The mass of the RNA transcript is not usually defined in non-coding RNAs but its size and structure allow it to perform specific activities within the cell.
Biological function summary

The MEG1 long non-coding RNA influences various cellular processes including growth regulation and developmental timing. MEG1 often functions within cellular complexes comprising a network of RNA-binding proteins that facilitate its role. The regulation of growth and embryonic development links MEG1 functionally to tissue differentiation. Its expression is tightly regulated suggesting a role as a molecular switch in growth pathways. Its influence on genomic imprinting maintains the balance of expression from maternal and paternal alleles ensuring proper development.

Pathways

MEG1 is involved in pathways that regulate cell growth and embryonic development. MEG1 interacts with key growth-regulatory pathways such as the Hedgehog signaling pathway. Proteins like SHH (Sonic Hedgehog) share these pathways illustrating how MEG1’s influence extends to various cellular contexts. There interactions fine-tune the balance of cell proliferation and differentiation emphasizing its role in development.

MEG1 is associated with disorders related to growth abnormalities and certain cancers. Aberrant MEG1 expression can lead to conditions like Silver-Russell syndrome and some types of cancers including neuroblastoma. MEG1’s connection to growth pathways links it to proteins like IGF2 which when misregulated contribute to these disorders. Disrupted expression patterns of imprinted genes like MEG1 or its pathway counterparts implicate it in complex disease mechanisms.

Product protocols

For this product, it's our understanding that no specific protocols are required. You can visit:

Target data

Phosphatase that plays a role in immunity, learning, synaptic plasticity or cell homeostasis (PubMed : 25825441, PubMed : 27246854). Regulates neuronal cell homeostasis by protecting neurons against apoptosis (PubMed : 20086240). Negatively regulates TLR4-induced interferon beta production by dephosphorylating adapter TICAM2 and inhibiting subsequent TRAM-TRIF interaction (PubMed : 25825441). Dephosphorylates also the immunoreceptor tyrosine-based activation motifs/ITAMs of the TCR zeta subunit and thereby negatively regulates TCR-mediated signaling pathway (By similarity). May act at junctions between the membrane and the cytoskeleton.
See full target information Tyrosine-protein phosphatase non-receptor type 4

Publications (1)

Recent publications for all applications. Explore the full list and refine your search

Cancer science 110:2258-2272 PubMed31025789

2019

Loss of PTPN4 activates STAT3 to promote the tumor growth in rectal cancer.

Applications

Unspecified application

Species

Unspecified reactive species

Bing-Dong Zhang,Yue-Rui Li,Li-Dan Ding,Yin-Yin Wang,Hong-Yi Liu,Bao-Qing Jia
View all publications

Product promise

We are committed to supporting your work with high-quality reagents, and we're here for you every step of the way. In the unlikely event that one of our products does not perform as expected, you're protected by our Product Promise.
For full details, please see our Terms & Conditions

Please note: All products are 'FOR RESEARCH USE ONLY. NOT FOR USE IN DIAGNOSTIC OR THERAPEUTIC PROCEDURES'.

For licensing inquiries, please contact partnerships@abcam.com