JavaScript is disabled in your browser. Please enable JavaScript to view this website.
AB139343

Anti-MEK1 antibody [OTI4E1]

Be the first to review this product! Submit a review

|

(2 Publications)

Mouse Monoclonal MEK1 antibody. Suitable for WB, IHC-P, ICC/IF and reacts with Mouse, Rat, Dog, African green monkey, Human, Recombinant fragment - Human samples. Cited in 2 publications. Immunogen corresponding to Recombinant Full Length Protein corresponding to Human MAP2K1.

View Alternative Names

MEK1, PRKMK1, MAP2K1, Dual specificity mitogen-activated protein kinase kinase 1, MAP kinase kinase 1, MAPKK 1, MKK1, ERK activator kinase 1, MAPK/ERK kinase 1, MEK 1

10 Images
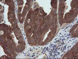
Immunohistochemistry (Formalin/PFA-fixed paraffin-embedded sections) - Anti-MEK1 antibody [OTI4E1] (AB139343)
  • IHC-P

Supplier Data

Immunohistochemistry (Formalin/PFA-fixed paraffin-embedded sections) - Anti-MEK1 antibody [OTI4E1] (AB139343)

Immunohistochemical staining of paraffin-embedded Human ovary adenocarcinoma tissue labelling MEK1 with ab139343 at 1/150 dilution.

Immunohistochemistry (Formalin/PFA-fixed paraffin-embedded sections) - Anti-MEK1 antibody [OTI4E1] (AB139343)
  • IHC-P

Supplier Data

Immunohistochemistry (Formalin/PFA-fixed paraffin-embedded sections) - Anti-MEK1 antibody [OTI4E1] (AB139343)

Immunohistochemical staining of paraffin-embedded Human Kidney tissue labelling MEK1 with ab139343 at 1/150 dilution.

Immunohistochemistry (Formalin/PFA-fixed paraffin-embedded sections) - Anti-MEK1 antibody [OTI4E1] (AB139343)
  • IHC-P

Supplier Data

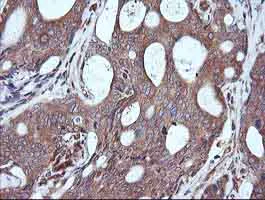
Immunohistochemistry (Formalin/PFA-fixed paraffin-embedded sections) - Anti-MEK1 antibody [OTI4E1] (AB139343)

Immunohistochemical staining of paraffin-embedded Human pancreas tissue labelling MEK1 with ab139343 at 1/150 dilution.

Immunohistochemistry (Formalin/PFA-fixed paraffin-embedded sections) - Anti-MEK1 antibody [OTI4E1] (AB139343)
  • IHC-P

Supplier Data

Immunohistochemistry (Formalin/PFA-fixed paraffin-embedded sections) - Anti-MEK1 antibody [OTI4E1] (AB139343)

Immunohistochemical staining of paraffin-embedded Human endometrium tissue labelling MEK1 with ab139343 at 1/150 dilution.

Immunohistochemistry (Formalin/PFA-fixed paraffin-embedded sections) - Anti-MEK1 antibody [OTI4E1] (AB139343)
  • IHC-P

Supplier Data

Immunohistochemistry (Formalin/PFA-fixed paraffin-embedded sections) - Anti-MEK1 antibody [OTI4E1] (AB139343)

Immunohistochemical staining of paraffin-embedded Human breast tissue adenocarcinoma labelling MEK1 with ab139343 at 1/150 dilution.

Immunohistochemistry (Formalin/PFA-fixed paraffin-embedded sections) - Anti-MEK1 antibody [OTI4E1] (AB139343)
  • IHC-P

Supplier Data

Immunohistochemistry (Formalin/PFA-fixed paraffin-embedded sections) - Anti-MEK1 antibody [OTI4E1] (AB139343)

Immunohistochemical staining of paraffin-embedded Human tonsil labelling MEK1 with ab139343 at 1/150 dilution.

Western blot - Anti-MEK1 antibody [OTI4E1] (AB139343)
  • WB

Supplier Data

Western blot - Anti-MEK1 antibody [OTI4E1] (AB139343)

All lanes:

Western blot - Anti-MEK1 antibody [OTI4E1] (ab139343) at 1/200 dilution

Lane 1:

Human testis extract at 10 µg

Lane 2:

Human uterus extract at 10 µg

Lane 3:

Human breast extract at 10 µg

Lane 4:

Human brain extract at 10 µg

Lane 5:

Human liver extract at 10 µg

Lane 6:

Human ovary extract at 10 µg

Lane 7:

Human thyroid gland extract at 10 µg

Lane 8:

Human colon extract at 10 µg

Predicted band size: 43 kDa

false

Immunocytochemistry/ Immunofluorescence - Anti-MEK1 antibody [OTI4E1] (AB139343)
  • ICC/IF

Supplier Data

Immunocytochemistry/ Immunofluorescence - Anti-MEK1 antibody [OTI4E1] (AB139343)

immunofluorescent staining of COS7 cells transiently transfected by pCMV6-ENTRY MEK cDNA, labelling MEK1 with ab139343 at 1/100 dilution.

Western blot - Anti-MEK1 antibody [OTI4E1] (AB139343)
  • WB

Supplier Data

Western blot - Anti-MEK1 antibody [OTI4E1] (AB139343)

All lanes:

Western blot - Anti-MEK1 antibody [OTI4E1] (ab139343) at 1/200 dilution

Lane 1:

HEK293T cell lysate transfected with pCMV6-ENTRY control cDNA. at 5 µg

Lane 2:

HEK293T cell lysate transfected with pCMV6-ENTRY MEK1 cDNA. at 5 µg

Predicted band size: 43 kDa

false

Western blot - Anti-MEK1 antibody [OTI4E1] (AB139343)
  • WB

Supplier Data

Western blot - Anti-MEK1 antibody [OTI4E1] (AB139343)

All lanes:

Western blot - Anti-MEK1 antibody [OTI4E1] (ab139343) at 1/200 dilution

Lane 1:

HepG2 cell extract (Human) at 35 µg

Lane 2:

HeLa cell extract (Human) at 35 µg

Lane 3:

SVT2 cell extract (Mouse) at 35 µg

Lane 4:

A549 cell extract (Human) at 35 µg

Lane 5:

COS7 cell extract (Monkey) at 35 µg

Lane 6:

Jurkat cell extract (Human) at 35 µg

Lane 7:

MDCK cell extract (Canine) at 35 µg

Lane 8:

PC12 cell extract (Rat) at 35 µg

Lane 9:

MCF7 cell extract (Human) at 35 µg

Predicted band size: 43 kDa

false

Key facts

Host species

Mouse

Clonality

Monoclonal

Clone number

OTI4E1

Isotype

IgG1

Carrier free

No

Reacts with

Mouse, Rat, Dog, Human, African green monkey

Applications

WB, IHC-P, ICC/IF

applications

Immunogen

Recombinant Full Length Protein corresponding to Human MAP2K1.

Q02750

Reactivity data

{ "title": "Reactivity Data", "filters": { "stats": ["", "Species", "Dilution Info", "Notes"], "tabs": { "all-applications": {"fullname" : "All Applications", "shortname": "All Applications"}, "WB" : {"fullname" : "Western blot", "shortname":"WB"}, "IHCP" : {"fullname" : "Immunohistochemistry (Formalin/PFA-fixed paraffin-embedded sections)", "shortname":"IHC-P"}, "ICCIF" : {"fullname" : "Immunocytochemistry/ Immunofluorescence", "shortname":"ICC/IF"} }, "product-promise": { "all": "all", "testedAndGuaranteed": "tested", "guaranteed": "expected", "predicted": "predicted", "notRecommended": "not-recommended" } }, "values": { "Human": { "WB-species-checked": "testedAndGuaranteed", "WB-species-dilution-info": "1/200 - 1/2000", "WB-species-notes": "<p></p>", "IHCP-species-checked": "testedAndGuaranteed", "IHCP-species-dilution-info": "1/150", "IHCP-species-notes": "<p></p>", "ICCIF-species-checked": "guaranteed", "ICCIF-species-dilution-info": "", "ICCIF-species-notes": "" }, "Mouse": { "WB-species-checked": "testedAndGuaranteed", "WB-species-dilution-info": "1/200 - 1/2000", "WB-species-notes": "<p></p>", "IHCP-species-checked": "guaranteed", "IHCP-species-dilution-info": "", "IHCP-species-notes": "", "ICCIF-species-checked": "guaranteed", "ICCIF-species-dilution-info": "", "ICCIF-species-notes": "" }, "Rat": { "WB-species-checked": "testedAndGuaranteed", "WB-species-dilution-info": "1/200 - 1/2000", "WB-species-notes": "<p></p>", "IHCP-species-checked": "guaranteed", "IHCP-species-dilution-info": "", "IHCP-species-notes": "", "ICCIF-species-checked": "guaranteed", "ICCIF-species-dilution-info": "", "ICCIF-species-notes": "" }, "African green monkey": { "WB-species-checked": "testedAndGuaranteed", "WB-species-dilution-info": "1/200 - 1/2000", "WB-species-notes": "<p></p>", "IHCP-species-checked": "guaranteed", "IHCP-species-dilution-info": "", "IHCP-species-notes": "", "ICCIF-species-checked": "guaranteed", "ICCIF-species-dilution-info": "", "ICCIF-species-notes": "" }, "Dog": { "WB-species-checked": "testedAndGuaranteed", "WB-species-dilution-info": "1/200 - 1/2000", "WB-species-notes": "<p></p>", "IHCP-species-checked": "guaranteed", "IHCP-species-dilution-info": "", "IHCP-species-notes": "", "ICCIF-species-checked": "guaranteed", "ICCIF-species-dilution-info": "", "ICCIF-species-notes": "" }, "Recombinant fragment - Human": { "WB-species-checked": "testedAndGuaranteed", "WB-species-dilution-info": "1/200 - 1/2000", "WB-species-notes": "<p></p>", "IHCP-species-checked": "notRecommended", "IHCP-species-dilution-info": "", "IHCP-species-notes": "", "ICCIF-species-checked": "testedAndGuaranteed", "ICCIF-species-dilution-info": "1/100", "ICCIF-species-notes": "<p></p>" } } }

Product details

The clone number has been updated from 4E1 to OTI4E1, both clone numbers name the same clone.

Properties and storage information

Form
Liquid
Purification technique
Affinity purification
Purification notes
Purified from cell culture supernatant by affinity chromatography
Storage buffer
pH: 7.3 Preservative: 0.02% Sodium azide Constituents: PBS, 50% Glycerol (glycerin, glycerine), 1% BSA
Shipped at conditions
Blue Ice
Appropriate short-term storage conditions
+4°C
Appropriate long-term storage conditions
-20°C
Aliquoting information
Upon delivery aliquot
Storage information
Avoid freeze / thaw cycle

Supplementary information

This supplementary information is collated from multiple sources and compiled automatically.

MEK1 also known as MAP2K1 is a dual-specificity kinase that plays a role in the MAPK/ERK pathway. It has a molecular weight of around 45 kDa. MEK1 phosphorylates and activates the extracellular signal-regulated kinases ERK1 and ERK2. MEK1 is expressed in various tissues but is especially abundant in brain and heart tissues. Researchers commonly measure MEK1 levels using techniques like MEK1 ELISA while phospho-MEK antibodies help analyze its activity state.
Biological function summary

MEK1 impacts cell processes such as proliferation differentiation and survival. It does not work alone but forms a complex with other proteins to exert its function. MEK1 activity is tightly controlled by upstream activators and downstream targets. One of the key phosphorylation sites on MEK1 is at serine 298 often marked as MEK1 pS298. This phosphorylation indicates MEK1's activated state which is critical for its biological function.

Pathways

MEK1 integrates signals within the MAPK/ERK pathway and interacts closely with RAF kinases upstream and ERK kinases downstream. This pathway modulates cellular responses to growth factors. MEK1 undergoes phosphorylation enhancing its activity and subsequently phosphorylates ERK proteins. Many studies isolate MEK1 activity using specific inhibitors such as the MEK1 inhibitor to dissect pathway dynamics. ERK inhibitor PD98059 also helps when studying parallel interactions with MEK1.

MEK1 mutations or dysregulation have links to several types of cancer including melanoma. These often involve changes that lead to continuous MEK1 activation contributing to uncontrolled cell growth. MEK1 involvement in the RASopathies also shows its connection to disorders characterized by heart and facial abnormalities. In cancer MEK1 works closely with the BRAF protein which often harbors mutations leading to disease progression showcasing MEK1 as a target for therapeutic intervention.

Product protocols

For this product, it's our understanding that no specific protocols are required. You can visit:

Target data

Dual specificity protein kinase which acts as an essential component of the MAP kinase signal transduction pathway. Binding of extracellular ligands such as growth factors, cytokines and hormones to their cell-surface receptors activates RAS and this initiates RAF1 activation. RAF1 then further activates the dual-specificity protein kinases MAP2K1/MEK1 and MAP2K2/MEK2. Both MAP2K1/MEK1 and MAP2K2/MEK2 function specifically in the MAPK/ERK cascade, and catalyze the concomitant phosphorylation of a threonine and a tyrosine residue in a Thr-Glu-Tyr sequence located in the extracellular signal-regulated kinases MAPK3/ERK1 and MAPK1/ERK2, leading to their activation and further transduction of the signal within the MAPK/ERK cascade. Activates BRAF in a KSR1 or KSR2-dependent manner; by binding to KSR1 or KSR2 releases the inhibitory intramolecular interaction between KSR1 or KSR2 protein kinase and N-terminal domains which promotes KSR1 or KSR2-BRAF dimerization and BRAF activation (PubMed : 29433126). Depending on the cellular context, this pathway mediates diverse biological functions such as cell growth, adhesion, survival and differentiation, predominantly through the regulation of transcription, metabolism and cytoskeletal rearrangements. One target of the MAPK/ERK cascade is peroxisome proliferator-activated receptor gamma (PPARG), a nuclear receptor that promotes differentiation and apoptosis. MAP2K1/MEK1 has been shown to export PPARG from the nucleus. The MAPK/ERK cascade is also involved in the regulation of endosomal dynamics, including lysosome processing and endosome cycling through the perinuclear recycling compartment (PNRC), as well as in the fragmentation of the Golgi apparatus during mitosis.
See full target information MAP2K1

Publications (2)

Recent publications for all applications. Explore the full list and refine your search

Nature 611:173-179 PubMed36289326

2022

Non-canonical β-adrenergic activation of ERK at endosomes.

Applications

Unspecified application

Species

Unspecified reactive species

Yonghoon Kwon,Sohum Mehta,Mary Clark,Geneva Walters,Yanghao Zhong,Ha Neul Lee,Roger K Sunahara,Jin Zhang

Molecular medicine reports 14:3369-75 PubMed27572094

2016

S1PR1 mediates anti‑apoptotic/pro‑proliferative processes in human acute myeloid leukemia cells.

Applications

Unspecified application

Species

Unspecified reactive species

Xiao-Qian Xu,Chong-Mei Huang,Yi-Fan Zhang,Li Chen,Hui Cheng,Jian-Min Wang
View all publications

Product promise

We are committed to supporting your work with high-quality reagents, and we're here for you every step of the way. In the unlikely event that one of our products does not perform as expected, you're protected by our Product Promise.
For full details, please see our Terms & Conditions

Please note: All products are 'FOR RESEARCH USE ONLY. NOT FOR USE IN DIAGNOSTIC OR THERAPEUTIC PROCEDURES'.

For licensing inquiries, please contact partnerships@abcam.com