JavaScript is disabled in your browser. Please enable JavaScript to view this website.
AB178876

Anti-MEK1 + MEK2 antibody [EPR16667]

5

(1 Review)

|

(83 Publications)

Rabbit Recombinant Monoclonal MEK1 antibody. Suitable for IP, WB, ICC/IF, Flow Cyt (Intra), IHC-P and reacts with Human, Mouse, Rat samples. Cited in 83 publications.

View Alternative Names

MEK1, PRKMK1, MAP2K1, Dual specificity mitogen-activated protein kinase kinase 1, MAP kinase kinase 1, MAPKK 1, MKK1, ERK activator kinase 1, MAPK/ERK kinase 1, MEK 1

11 Images
Flow Cytometry (Intracellular) - Anti-MEK1 + MEK2 antibody [EPR16667] (AB178876)
  • Flow Cyt (Intra)

Lab

Flow Cytometry (Intracellular) - Anti-MEK1 + MEK2 antibody [EPR16667] (AB178876)

ab178876 staining MEK1 + MEK2 in the human cell line HeLa (human cervix adenocarcinoma) by intracellular flow cytometry. Cells were fixed with 4% paraformaldehyde, permabilised with 90% methanol and the sample was incubated with the primary antibody at a dilution of 1/100. A goat anti rabbit IgG (Alexa Fluor® 488) at a dilution of 1/2000 was used as the secondary antibody.

Isoytype control : Rabbit monoclonal IgG (Black)

Unlabelled control : Cell without incubation with primary antibody and secondary antibody (Blue)

Immunohistochemistry (Formalin/PFA-fixed paraffin-embedded sections) - Anti-MEK1 + MEK2 antibody [EPR16667] (AB178876)
  • IHC-P

Supplier Data

Immunohistochemistry (Formalin/PFA-fixed paraffin-embedded sections) - Anti-MEK1 + MEK2 antibody [EPR16667] (AB178876)

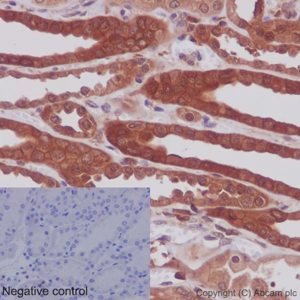
Immunohistochemical analysis of paraffin-embedded Human renal medulla tissue labeling MEK1 + MEK2 with ab178876 at 1/500 dilution, followed by prediluted HRP Polymer for Rabbit/Mouse IgG. Renal tubule epithelial cells show strong cytoplasmic staining with some additional nuclear staining. Counter stained with Hematoxylin.

Negative control : Using PBS instead of primary ab, secondary ab is prediluted HRP Polymer for Rabbit/Mouse IgG.

Perform heat mediated antigen retrieval with Tris/EDTA buffer pH 9.0 before commencing with IHC staining protocol.

Immunoprecipitation - Anti-MEK1 + MEK2 antibody [EPR16667] (AB178876)
  • IP

Supplier Data

Immunoprecipitation - Anti-MEK1 + MEK2 antibody [EPR16667] (AB178876)

MEK1 + MEK2 was immunoprecipitated from 1mg of HeLa (Human epithelial cells from cervix adenocarcinoma) whole cell extract with ab178876 at 1/120 dilution. Western blot was performed from the immunoprecipitate using ab178876 at 1/1000 dilution. Anti-Rabbit IgG (HRP), specific to the non-reduced form of IgG, was used as secondary antibody at 1/1500 dilution. Lane 1 : HeLa whole cell extract. Lane 2 : PBS instead of HeLa whole cell extract.

Blocking and dilution buffer and concentration : 5% NFDM/TBST.

All lanes:

Immunoprecipitation - Anti-MEK1 + MEK2 antibody [EPR16667] (ab178876)

Predicted band size: 43 kDa

false

Immunocytochemistry/ Immunofluorescence - Anti-MEK1 + MEK2 antibody [EPR16667] (AB178876)
  • ICC/IF

Supplier Data

Immunocytochemistry/ Immunofluorescence - Anti-MEK1 + MEK2 antibody [EPR16667] (AB178876)

Immunofluorescent analysis of 4% paraformaldehyde-fixed, 0.1% Triton X-100 permeabilized NIH/3T3 (Mouse embyro fibroblast cells) cells labeling MEK1 + MEK2 with ab178876 at 1/100 dilution, followed by Goat anti-rabbit IgG (Alexa Fluor® 488) (ab150077) secondary antibody at 1/200 dilution (green). Cytoplasmic staining on NIH/3T3 cell line is observed. The nuclear counter stain is DAPI (blue). Tubulin is detected with ab7291 (anti-Tubulin mouse mAb) at 1/500 dilution and ab150120 (AlexaFluor®594 Goat anti-Mouse secondary) at 1/500 dilution (red).
The negative controls are as follows;
1. ab178876 at 1/100 dilution followed by ab150120 (AlexaFluor®594 Goat anti-Mouse secondary) at 1/500 dilution.
2. ab7291 (anti-Tubulin mouse mAb) at 1/500 dilution followed by ab150077 (Alexa Fluor®488 Goat Anti-Rabbit IgG H&L) at 1/200 dilution.

Immunohistochemistry (Formalin/PFA-fixed paraffin-embedded sections) - Anti-MEK1 + MEK2 antibody [EPR16667] (AB178876)
  • IHC-P

Supplier Data

Immunohistochemistry (Formalin/PFA-fixed paraffin-embedded sections) - Anti-MEK1 + MEK2 antibody [EPR16667] (AB178876)

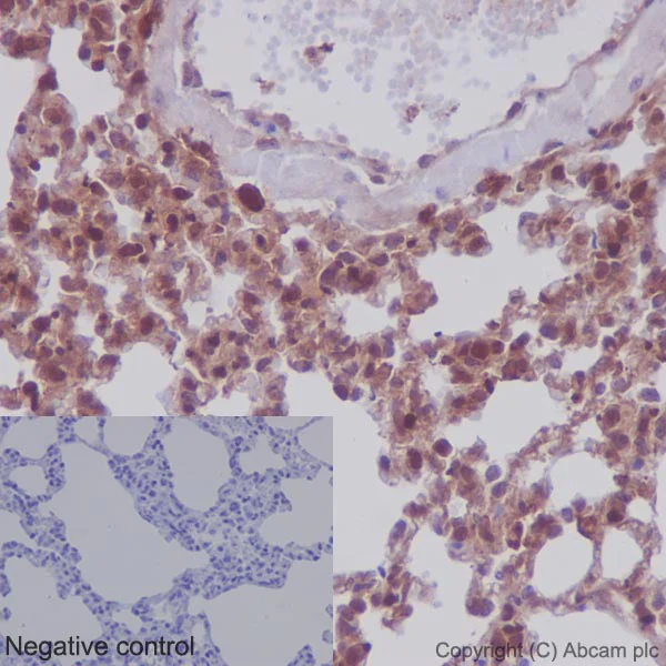
Immunohistochemical analysis of paraffin-embedded Mouse lung tissue labeling MEK1 + MEK2 with ab178876 at 1/500 dilution, followed by prediluted HRP Polymer for Rabbit/Mouse IgG. Alveolar epithelial cells show strong cytoplasmic staining with some additional nuclear staining. Counter stained with Hematoxylin.

Negative control : Using PBS instead of primary ab, secondary ab is prediluted HRP Polymer for Rabbit/Mouse IgG.

Perform heat mediated antigen retrieval with Tris/EDTA buffer pH 9.0 before commencing with IHC staining protocol.

Immunohistochemistry (Formalin/PFA-fixed paraffin-embedded sections) - Anti-MEK1 + MEK2 antibody [EPR16667] (AB178876)
  • IHC-P

Supplier Data

Immunohistochemistry (Formalin/PFA-fixed paraffin-embedded sections) - Anti-MEK1 + MEK2 antibody [EPR16667] (AB178876)

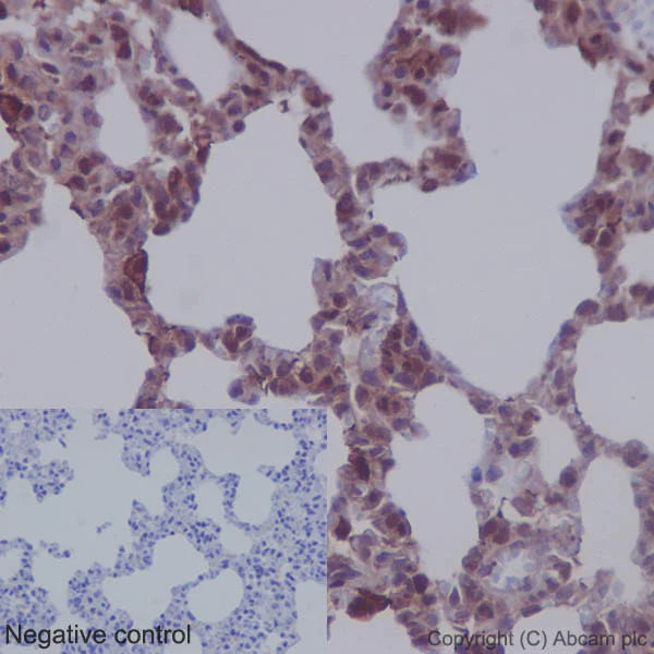
Immunohistochemical analysis of paraffin-embedded Rat lung tissue labeling MEK1 + MEK2 with ab178876 at 1/500 dilution, followed by prediluted HRP Polymer for Rabbit/Mouse IgG. Alveolar epithelial cells show strong cytoplasmic staining with some additional nuclear staining. Counter stained with Hematoxylin.

Negative control : Using PBS instead of primary ab, secondary ab is prediluted HRP Polymer for Rabbit/Mouse IgG.

Perform heat mediated antigen retrieval with Tris/EDTA buffer pH 9.0 before commencing with IHC staining protocol.

Western blot - Anti-MEK1 + MEK2 antibody [EPR16667] (AB178876)
  • WB

Supplier Data

Western blot - Anti-MEK1 + MEK2 antibody [EPR16667] (AB178876)

Blocking/Dilution buffer : 5% NFDM/TBST.

All lanes:

Western blot - Anti-MEK1 + MEK2 antibody [EPR16667] (ab178876) at 1/20000 dilution

Lane 1:

HeLa (Human epithelial cells from cervix adenocarcinoma) whole cell lysates at 20 µg

Lane 2:

293T (Human epithelial cells from embryonic kidney) whole cell lysates at 20 µg

Lane 3:

A549 (Human lung carcinoma) whole cell lysates at 20 µg

Lane 4:

A431 (Human epidermoid carcinoma) whole cell lysates at 20 µg

Secondary

All lanes:

Goat Anti-Rabbit IgG, (H+L),Peroxidase conjugated at 1/1000 dilution

Predicted band size: 43 kDa

Observed band size: 44 kDa

false

Western blot - Anti-MEK1 + MEK2 antibody [EPR16667] (AB178876)
  • WB

Lab

Western blot - Anti-MEK1 + MEK2 antibody [EPR16667] (AB178876)

Lanes 1 - 4 : Merged signal (red and green). Green - ab178876 observed at 45 kDa. Red - loading control ab8245 (Mouse anti-GAPDH antibody [6C5]) observed at 37kDa.

ab178876 was shown to react with MEK2 in wild-type HEK-293T cells in western blot with loss of signal observed in MAP2K2 knockout sample. Wild-type HEK-293T and MAP2K2 knockout cell lysates were subjected to SDS-PAGE. Membranes were blocked in 3% milk in TBS-T (0.1% Tween®) before incubation with ab178876 and ab8245 (Mouse anti-GAPDH antibody [6C5]) overnight at 4°C at a 1 in 20000 dilution and a 1 in 20000 dilution respectively. Blots were incubated with Goat anti-Rabbit IgG H&L (IRDye® 800CW) preabsorbed (ab216773) and Goat anti-Mouse IgG H&L (IRDye® 680RD) preabsorbed (ab216776) secondary antibodies at 1 in 20000 dilution for 1 hour at room temperature before imaging.

All lanes:

Western blot - Anti-MEK1 + MEK2 antibody [EPR16667] (ab178876) at 1/20000 dilution

Lane 1:

Wild-type HEK-293T cell lysate at 20 µg

Lane 2:

MAP2K2 knockout HEK293T cell lysate at 20 µg

Lane 3:

Jurkat cell lysate at 20 µg

Lane 4:

Daudi cell lysate at 20 µg

Predicted band size: 43 kDa

Observed band size: 45 kDa

false

Western blot - Anti-MEK1 + MEK2 antibody [EPR16667] (AB178876)
  • WB

Supplier Data

Western blot - Anti-MEK1 + MEK2 antibody [EPR16667] (AB178876)

Blocking/Dilution buffer : 5% NFDM/TBST.

All lanes:

Western blot - Anti-MEK1 + MEK2 antibody [EPR16667] (ab178876) at 1/50000 dilution

Lane 1:

Human fetal brain lysate at 10 µg

Lane 2:

Human fetal heart lysate at 10 µg

Lane 3:

Human fetal kidney lysate at 10 µg

Lane 4:

Human fetal spleen lysate at 10 µg

Secondary

All lanes:

Anti-Rabbit IgG (HRP), specific to the non-reduced form of IgG at 1/1000 dilution

Predicted band size: 43 kDa

Observed band size: 44 kDa

false

Western blot - Anti-MEK1 + MEK2 antibody [EPR16667] (AB178876)
  • WB

Supplier Data

Western blot - Anti-MEK1 + MEK2 antibody [EPR16667] (AB178876)

Blocking and diluting buffer and concentration : 5% NFDM/TBST.

Lysates were freshly made and used for Western blotting immediately to minimize protein degradation.

This blot was developed using a high sensitivity ECL substrate. The high-sensitivity ECL substrate used allows for the detection of proteins in the mid-femtogram range.

In Western blot, anti-GAPDH antibody (ab181602) loading control staining at 1/200000 dilution.

In Western blot, anti-MEK1+MEK2 antibody (ab178876) loading control staining at 1/1000 dilution.

All lanes:

Western blot - Anti-MEK1 (phospho T286) antibody [EPR27226-8] (<a href='/en-us/products/primary-antibodies/mek1-phospho-t286-antibody-epr27226-8-ab307509'>ab307509</a>) at 1/1000 dilution

Lane 1:

Untreated NIH/3T3 (mouse embryonic fibroblast) whole cell lysate (untreated membrane) at 20 µg

Lane 2:

NIH/3T3 treated with 100ng/ml nocodazole for 24h whole cell lysate (untreated membrane) at 20 µg

Lane 3:

NIH/3T3 treated with 100ng/ml nocodazole for 24h whole cell lysate (phosphatase treated membrane) at 20 µg

Secondary

All lanes:

Western blot - Goat Anti-Rabbit IgG H&L (HRP) (<a href='/en-us/products/secondary-antibodies/goat-rabbit-igg-h-l-hrp-ab97051'>ab97051</a>) at 1/20000 dilution

Predicted band size: 43 kDa

Observed band size: 43 kDa

true

Exposure time: 82s

Western blot - Anti-MEK1 + MEK2 antibody [EPR16667] (AB178876)
  • WB

Supplier Data

Western blot - Anti-MEK1 + MEK2 antibody [EPR16667] (AB178876)

Blocking/Dilution buffer : 5% NFDM/TBST.

All lanes:

Western blot - Anti-MEK1 + MEK2 antibody [EPR16667] (ab178876) at 1/50000 dilution

Lane 1:

Mouse brain lysate at 10 µg

Lane 2:

Rat brain lysate at 10 µg

Lane 3:

Mouse heart lysate at 10 µg

Lane 4:

Rat heart lysate at 10 µg

Secondary

All lanes:

Goat Anti-Rabbit IgG, (H+L),Peroxidase conjugated at 1/1000 dilution

Predicted band size: 43 kDa

Observed band size: 44 kDa

false

  • 617 Alexa Fluor® 594

    Alexa Fluor® 594 Anti-MEK1 + MEK2 antibody [EPR16667]

  • HRP

    HRP Anti-MEK1 + MEK2 antibody [EPR16667]

  • 660 APC

    APC Anti-MEK1 + MEK2 antibody [EPR16667]

  • 578 PE

    PE Anti-MEK1 + MEK2 antibody [EPR16667]

  • Carrier free

    Anti-MEK1 + MEK2 antibody [EPR16667] - BSA and Azide free

  • 565 Alexa Fluor® 555

    Alexa Fluor® 555 Anti-MEK1 + MEK2 antibody [EPR16667]

  • 519 Alexa Fluor® 488

    Alexa Fluor® 488 Anti-MEK1 + MEK2 antibody [EPR16667]

Key facts

Host species

Rabbit

Clonality

Monoclonal

Clone number

EPR16667

Isotype

IgG

Carrier free

No

Reacts with

Mouse, Rat, Human

Applications

ICC/IF, IP, Flow Cyt (Intra), IHC-P, WB

applications

Immunogen

The exact immunogen used to generate this antibody is proprietary information.

Reactivity data

{ "title": "Reactivity Data", "filters": { "stats": ["", "Species", "Dilution Info", "Notes"], "tabs": { "all-applications": {"fullname" : "All Applications", "shortname": "All Applications"}, "IP" : {"fullname" : "Immunoprecipitation", "shortname":"IP"}, "WB" : {"fullname" : "Western blot", "shortname":"WB"}, "ICCIF" : {"fullname" : "Immunocytochemistry/ Immunofluorescence", "shortname":"ICC/IF"}, "FlowCytIntra" : {"fullname" : "Flow Cytometry (Intracellular)", "shortname":"Flow Cyt (Intra)"}, "IHCP" : {"fullname" : "Immunohistochemistry (Formalin/PFA-fixed paraffin-embedded sections)", "shortname":"IHC-P"} }, "product-promise": { "all": "all", "testedAndGuaranteed": "tested", "guaranteed": "expected", "predicted": "predicted", "notRecommended": "not-recommended" } }, "values": { "Human": { "IP-species-checked": "testedAndGuaranteed", "IP-species-dilution-info": "1/120", "IP-species-notes": "<p></p>", "WB-species-checked": "testedAndGuaranteed", "WB-species-dilution-info": "1/20000", "WB-species-notes": "<p></p>", "ICCIF-species-checked": "guaranteed", "ICCIF-species-dilution-info": "", "ICCIF-species-notes": "", "FlowCytIntra-species-checked": "testedAndGuaranteed", "FlowCytIntra-species-dilution-info": "", "FlowCytIntra-species-notes": "<p>Purified format.</p>", "IHCP-species-checked": "testedAndGuaranteed", "IHCP-species-dilution-info": "1/500", "IHCP-species-notes": "<p></p> Perform heat-mediated antigen retrieval with Tris/EDTA buffer pH 9.0 before commencing with IHC staining protocol." }, "Mouse": { "IP-species-checked": "guaranteed", "IP-species-dilution-info": "", "IP-species-notes": "", "WB-species-checked": "testedAndGuaranteed", "WB-species-dilution-info": "1/20000", "WB-species-notes": "<p></p>", "ICCIF-species-checked": "testedAndGuaranteed", "ICCIF-species-dilution-info": "1/100", "ICCIF-species-notes": "<p></p>", "FlowCytIntra-species-checked": "guaranteed", "FlowCytIntra-species-dilution-info": "", "FlowCytIntra-species-notes": "", "IHCP-species-checked": "testedAndGuaranteed", "IHCP-species-dilution-info": "1/500", "IHCP-species-notes": "<p></p> Perform heat-mediated antigen retrieval with Tris/EDTA buffer pH 9.0 before commencing with IHC staining protocol." }, "Rat": { "IP-species-checked": "guaranteed", "IP-species-dilution-info": "", "IP-species-notes": "", "WB-species-checked": "testedAndGuaranteed", "WB-species-dilution-info": "1/20000", "WB-species-notes": "<p></p>", "ICCIF-species-checked": "guaranteed", "ICCIF-species-dilution-info": "", "ICCIF-species-notes": "", "FlowCytIntra-species-checked": "guaranteed", "FlowCytIntra-species-dilution-info": "", "FlowCytIntra-species-notes": "", "IHCP-species-checked": "testedAndGuaranteed", "IHCP-species-dilution-info": "1/500", "IHCP-species-notes": "<p></p> Perform heat-mediated antigen retrieval with Tris/EDTA buffer pH 9.0 before commencing with IHC staining protocol." } } }

Product details

Patented technology
Our RabMAb® technology is a patented hybridoma-based technology for making rabbit monoclonal antibodies. For details on our patents, please refer to RabMAb® patents.

What are the advantages of a recombinant monoclonal antibody?
This product is a recombinant monoclonal antibody, which offers several advantages including:

  • - High batch-to-batch consistency and reproducibility
  • - Improved sensitivity and specificity
  • - Long-term security of supply
  • - Animal-free batch production

For more information, read more on recombinant antibodies.

Properties and storage information

Form
Liquid
Purification technique
Affinity purification Protein A
Storage buffer
Preservative: 0.01% Sodium azide Constituents: PBS, 40% Glycerol (glycerin, glycerine), 0.05% BSA
Shipped at conditions
Blue Ice
Appropriate short-term storage duration
1-2 weeks
Appropriate short-term storage conditions
+4°C
Appropriate long-term storage conditions
-20°C
Aliquoting information
Upon delivery aliquot
Storage information
Avoid freeze / thaw cycle

Supplementary information

This supplementary information is collated from multiple sources and compiled automatically.

MEK1 and MEK2 also known as MAP2K1 and MAP2K2 respectively are dual-specificity kinases that play roles in signaling pathways mediating cellular responses. MEK1 and MEK2 have molecular weights of approximately 45kDa. They are expressed in various tissues including the heart brain and skeletal muscles reflecting their widespread function within the organism. These proteins are often referred collectively as the MEK1/2 complex due to their shared and overlapping roles in cell signaling.
Biological function summary

MEK1 and MEK2 are integral parts of the mitogen-activated protein kinase (MAPK) signaling cascade. MEK1/2 phosphorylate and activate the ERK1/2 kinases which transmit signals from the cell surface to the nucleus regulating gene expression and cell fate decisions. The MEK1/2 proteins also act in concert with other kinases and substrates forming signaling complexes that ensure specific and regulated cellular outcomes.

Pathways

MEK1 and MEK2 play key roles within the MAPK/ERK pathway a critical signaling mechanism for cell division and survival. They also link to the RAS/MAPK pathway involved in transmitting signals from membrane receptors to the nucleus. In these pathways MEK1/2 interact with proteins like RAF kinases and ERK1/2 propagating signals that influence cellular growth and differentiation.

MEK1 and MEK2 are implicated in cancer and neurological disorders. Abnormal activity of the MEK1/2 proteins often due to mutations can lead to uncontrolled cell proliferation contributing to the development of cancers such as melanoma. In neurological disorders dysregulation of MEK1/2 signaling relates to conditions like neuro-cardio-facial-cutaneous syndromes. These proteins interact with other key players in these diseases such as mutant RAF proteins in melanoma highlighting their critical roles in disease mechanisms.

Product protocols

For this product, it's our understanding that no specific protocols are required. You can visit:

Target data

Dual specificity protein kinase which acts as an essential component of the MAP kinase signal transduction pathway. Binding of extracellular ligands such as growth factors, cytokines and hormones to their cell-surface receptors activates RAS and this initiates RAF1 activation. RAF1 then further activates the dual-specificity protein kinases MAP2K1/MEK1 and MAP2K2/MEK2. Both MAP2K1/MEK1 and MAP2K2/MEK2 function specifically in the MAPK/ERK cascade, and catalyze the concomitant phosphorylation of a threonine and a tyrosine residue in a Thr-Glu-Tyr sequence located in the extracellular signal-regulated kinases MAPK3/ERK1 and MAPK1/ERK2, leading to their activation and further transduction of the signal within the MAPK/ERK cascade. Activates BRAF in a KSR1 or KSR2-dependent manner; by binding to KSR1 or KSR2 releases the inhibitory intramolecular interaction between KSR1 or KSR2 protein kinase and N-terminal domains which promotes KSR1 or KSR2-BRAF dimerization and BRAF activation (PubMed : 29433126). Depending on the cellular context, this pathway mediates diverse biological functions such as cell growth, adhesion, survival and differentiation, predominantly through the regulation of transcription, metabolism and cytoskeletal rearrangements. One target of the MAPK/ERK cascade is peroxisome proliferator-activated receptor gamma (PPARG), a nuclear receptor that promotes differentiation and apoptosis. MAP2K1/MEK1 has been shown to export PPARG from the nucleus. The MAPK/ERK cascade is also involved in the regulation of endosomal dynamics, including lysosome processing and endosome cycling through the perinuclear recycling compartment (PNRC), as well as in the fragmentation of the Golgi apparatus during mitosis.
See full target information MAP2K1

Additional targets

MAP2K2

Publications (83)

Recent publications for all applications. Explore the full list and refine your search

Scientific reports 15:29357 PubMed40789940

2025

ELABELA targets the MEK/ERK axis to enhance trophoblast invasion in early-onset preeclampsia.

Applications

Unspecified application

Species

Unspecified reactive species

Lijing Wang,Xue Wang,Ningning He,Lin Yang,Yang Zou,Zhanping Weng,Li Guo

World journal of gastrointestinal oncology 17:105264 PubMed40697228

2025

Nav1.6 drives colorectal cancer proliferation and invasion through MAPK signaling pathway.

Applications

Unspecified application

Species

Unspecified reactive species

Li-Ming Zhao,Wan-Ying Hong,Jian-Guang Xu,Shui-Quan Lin,Ming-Sheng Liu,Li-Hui Wang,Xu-Li Jiang,Ming Sang,Yang-Bo Lv

Journal of cell communication and signaling 19:e70025 PubMed40520075

2025

Adipose-derived stem cell exosomes alleviate TGF-β1-induced urethral stricture fibrosis by suppressing the TGF-β/Smad pathway and downstream PDGFR-β/RAS/ERK signaling.

Applications

Unspecified application

Species

Unspecified reactive species

Tao Liang,Chao Deng,Hang Guo,Zhenghao Dai,Yiwen Jiang,Yuting Lu,Weiguo Chen

Scientific reports 15:11620 PubMed40185764

2025

LncRNA 4933431K23Rik modulate microglial phenotype via inhibiting miR-10a-5p in spinal cord injury induced neuropathic pain.

Applications

Unspecified application

Species

Unspecified reactive species

Changhui You,Waiping Zhou,Ping Ye,Li Zhang,Wenchao Sun,Lili Tian,Bocheng Peng,Mengying Hu,Bo Xu

Journal of experimental & clinical cancer research : CR 44:68 PubMed39994761

2025

Reciprocal regulation of MMP-28 and EGFR is required for sustaining proliferative signaling in PDAC.

Applications

Unspecified application

Species

Unspecified reactive species

Zhengtao Hong,Xing Huang,Linghao Xia,Tingbo Liang,Xueli Bai

Frontiers in oncology 14:1433256 PubMed39717750

2024

Neuroblastoma response to RAS-MAPK inhibitors and APR-246 (eprenetapopt) co-treatment is dependent on SLC7A11.

Applications

Unspecified application

Species

Unspecified reactive species

Vid Mlakar,Ina Oehme,Laurence Lesne,Sara Najafi,Marc Ansari,Fabienne Gumy-Pause

Cancer innovation 3:e117 PubMed38947754

2024

MAPK4 facilitates angiogenesis by inhibiting the ERK pathway in non-small cell lung cancer.

Applications

Unspecified application

Species

Unspecified reactive species

Jing Chen,Jing Yang,Yufang Liu,Xu Zhao,Juanjuan Zhao,Lin Tang,Mengmeng Guo,Ya Zhou,Chao Chen,Dongmei Li,Zhenke Wen,Guiyou Liang,Lin Xu

Stem cells translational medicine 13:661-677 PubMed38709826

2024

MEK/ERK signaling drives the transdifferentiation of supporting cells into functional hair cells by modulating the Notch pathway.

Applications

Unspecified application

Species

Unspecified reactive species

Jiaoyao Ma,Mingyu Xia,Jin Guo,Wen Li,Shan Sun,Bing Chen

Cell death & disease 15:295 PubMed38664392

2024

TMEM9 promotes lung adenocarcinoma progression via activating the MEK/ERK/STAT3 pathway to induce VEGF expression.

Applications

Unspecified application

Species

Unspecified reactive species

Zhiqian Wang,Peng Zhao,Kaihua Tian,Zhongshi Qiao,Hao Dong,Jie Li,Zitong Guan,Hui Su,Yang Song,Xuezhen Ma

Molecular biotechnology 67:689-704 PubMed38456959

2024

O-sialoglycoprotein Endopeptidase (OSGEP) Suppresses Hepatic Ischemia-Reperfusion Injury-Induced Ferroptosis Through Modulating the MEK/ERK Signaling Pathway.

Applications

Unspecified application

Species

Unspecified reactive species

Yuanyuan Tao,Wanqing Zhou,Cheng Chen,Qian Zhang,Zhuoyi Liu,Pingping Xia,Zhi Ye,Chunling Li
View all publications

Product promise

We are committed to supporting your work with high-quality reagents, and we're here for you every step of the way. In the unlikely event that one of our products does not perform as expected, you're protected by our Product Promise.
For full details, please see our Terms & Conditions

Please note: All products are 'FOR RESEARCH USE ONLY. NOT FOR USE IN DIAGNOSTIC OR THERAPEUTIC PROCEDURES'.

For licensing inquiries, please contact partnerships@abcam.com