JavaScript is disabled in your browser. Please enable JavaScript to view this website.
AB47295

Anti-MEK1 (phospho S218) + MEK2 (phospho 222) antibody

Be the first to review this product! Submit a review

|

(1 Publication)

Rabbit Polyclonal MEK1 phospho S218 antibody. Suitable for IHC-P and reacts with Human samples. Cited in 1 publication. Immunogen corresponding to Synthetic Peptide within Human MAP2K1 phospho S218 aa 150-250.

View Alternative Names

MEK1, PRKMK1, MAP2K1, Dual specificity mitogen-activated protein kinase kinase 1, MAP kinase kinase 1, MAPKK 1, MKK1, ERK activator kinase 1, MAPK/ERK kinase 1, MEK 1, MEK2, MKK2, PRKMK2, MAP2K2, Dual specificity mitogen-activated protein kinase kinase 2, MAP kinase kinase 2, MAPKK 2, ERK activator kinase 2, MAPK/ERK kinase 2, MEK 2

1 Images
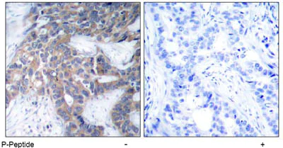
Immunohistochemistry (Formalin/PFA-fixed paraffin-embedded sections) - Anti-MEK1 (phospho S218) + MEK2 (phospho 222) antibody (AB47295)
  • IHC-P

Unknown

Immunohistochemistry (Formalin/PFA-fixed paraffin-embedded sections) - Anti-MEK1 (phospho S218) + MEK2 (phospho 222) antibody (AB47295)

ab47295, at a dilution of 1/50, staining human breast carcinoma tissue by IHC-P (left hand panel). The right hand panel shows staining in the presence of the immunizing phosphopeptide.

Key facts

Host species

Rabbit

Clonality

Polyclonal

Isotype

IgG

Carrier free

No

Reacts with

Human

Applications

IHC-P

applications

Immunogen

Synthetic Peptide within Human MAP2K1 phospho S218 aa 150-250. The exact immunogen used to generate this antibody is proprietary information.

Q02750

Reactivity data

{ "title": "Reactivity Data", "filters": { "stats": ["", "Species", "Dilution Info", "Notes"], "tabs": { "all-applications": {"fullname" : "All Applications", "shortname": "All Applications"}, "IHCP" : {"fullname" : "Immunohistochemistry (Formalin/PFA-fixed paraffin-embedded sections)", "shortname":"IHC-P"} }, "product-promise": { "all": "all", "testedAndGuaranteed": "tested", "guaranteed": "expected", "predicted": "predicted", "notRecommended": "not-recommended" } }, "values": { "Human": { "IHCP-species-checked": "testedAndGuaranteed", "IHCP-species-dilution-info": "", "IHCP-species-notes": "<p></p>" }, "Mouse": { "IHCP-species-checked": "predicted", "IHCP-species-dilution-info": "", "IHCP-species-notes": "" }, "Rat": { "IHCP-species-checked": "predicted", "IHCP-species-dilution-info": "", "IHCP-species-notes": "" } } }

Product details

This antibody detects endogenous levels of MEK1 only when phosphorylated at serine 217.

Properties and storage information

Form
Liquid
Purification technique
Affinity purification Immunogen
Purification notes
The antibody was purified using epitope specific phosphopeptide. The antibody against non phosphopeptide was removed by chromatography using non phosphopeptide corresponding to the phosphorylation site.
Storage buffer
pH: 7.4 Preservative: 0.02% Sodium azide Constituents: PBS, 50% Glycerol (glycerin, glycerine), 0.87% Sodium chloride
Shipped at conditions
Blue Ice
Appropriate short-term storage conditions
+4°C
Appropriate long-term storage conditions
-20°C
Storage information
Stable for 12 months at -20°C

Supplementary information

This supplementary information is collated from multiple sources and compiled automatically.

MEK1 also known as MAP2K1 is a dual-specificity kinase that plays a role in the MAPK/ERK pathway. It has a molecular weight of around 45 kDa. MEK1 phosphorylates and activates the extracellular signal-regulated kinases ERK1 and ERK2. MEK1 is expressed in various tissues but is especially abundant in brain and heart tissues. Researchers commonly measure MEK1 levels using techniques like MEK1 ELISA while phospho-MEK antibodies help analyze its activity state.
Biological function summary

MEK1 impacts cell processes such as proliferation differentiation and survival. It does not work alone but forms a complex with other proteins to exert its function. MEK1 activity is tightly controlled by upstream activators and downstream targets. One of the key phosphorylation sites on MEK1 is at serine 298 often marked as MEK1 pS298. This phosphorylation indicates MEK1's activated state which is critical for its biological function.

Pathways

MEK1 integrates signals within the MAPK/ERK pathway and interacts closely with RAF kinases upstream and ERK kinases downstream. This pathway modulates cellular responses to growth factors. MEK1 undergoes phosphorylation enhancing its activity and subsequently phosphorylates ERK proteins. Many studies isolate MEK1 activity using specific inhibitors such as the MEK1 inhibitor to dissect pathway dynamics. ERK inhibitor PD98059 also helps when studying parallel interactions with MEK1.

MEK1 mutations or dysregulation have links to several types of cancer including melanoma. These often involve changes that lead to continuous MEK1 activation contributing to uncontrolled cell growth. MEK1 involvement in the RASopathies also shows its connection to disorders characterized by heart and facial abnormalities. In cancer MEK1 works closely with the BRAF protein which often harbors mutations leading to disease progression showcasing MEK1 as a target for therapeutic intervention.

Product protocols

For this product, it's our understanding that no specific protocols are required. You can visit:

Target data

Dual specificity protein kinase which acts as an essential component of the MAP kinase signal transduction pathway. Binding of extracellular ligands such as growth factors, cytokines and hormones to their cell-surface receptors activates RAS and this initiates RAF1 activation. RAF1 then further activates the dual-specificity protein kinases MAP2K1/MEK1 and MAP2K2/MEK2. Both MAP2K1/MEK1 and MAP2K2/MEK2 function specifically in the MAPK/ERK cascade, and catalyze the concomitant phosphorylation of a threonine and a tyrosine residue in a Thr-Glu-Tyr sequence located in the extracellular signal-regulated kinases MAPK3/ERK1 and MAPK1/ERK2, leading to their activation and further transduction of the signal within the MAPK/ERK cascade. Activates BRAF in a KSR1 or KSR2-dependent manner; by binding to KSR1 or KSR2 releases the inhibitory intramolecular interaction between KSR1 or KSR2 protein kinase and N-terminal domains which promotes KSR1 or KSR2-BRAF dimerization and BRAF activation (PubMed : 29433126). Depending on the cellular context, this pathway mediates diverse biological functions such as cell growth, adhesion, survival and differentiation, predominantly through the regulation of transcription, metabolism and cytoskeletal rearrangements. One target of the MAPK/ERK cascade is peroxisome proliferator-activated receptor gamma (PPARG), a nuclear receptor that promotes differentiation and apoptosis. MAP2K1/MEK1 has been shown to export PPARG from the nucleus. The MAPK/ERK cascade is also involved in the regulation of endosomal dynamics, including lysosome processing and endosome cycling through the perinuclear recycling compartment (PNRC), as well as in the fragmentation of the Golgi apparatus during mitosis.
See full target information MAP2K1 phospho S218

Additional targets

MAP2K2 phospho S222

Publications (1)

Recent publications for all applications. Explore the full list and refine your search

Cell reports 43:114941 PubMed39636728

2024

Myosin 1b regulates intestinal epithelial morphogenesis via interaction with UNC45A.

Applications

Unspecified application

Species

Unspecified reactive species

Céline Revenu,Corinne Lebreton,Magda Cannata Serio,Marion Rosello,Rémi Duclaux-Loras,Karine Duroure,Ophélie Nicolle,Fanny Eggeler,Marie-Thérèse Prospéri,Julie Stoufflet,Juliette Vougny,Priscilla Lépine,Grégoire Michaux,Nadine Cerf-Bensussan,Evelyne Coudrier,Franck Perez,Marianna Parlato,Filippo Del Bene
View all publications

Product promise

We are committed to supporting your work with high-quality reagents, and we're here for you every step of the way. In the unlikely event that one of our products does not perform as expected, you're protected by our Product Promise.
For full details, please see our Terms & Conditions

Please note: All products are 'FOR RESEARCH USE ONLY. NOT FOR USE IN DIAGNOSTIC OR THERAPEUTIC PROCEDURES'.

For licensing inquiries, please contact partnerships@abcam.com