JavaScript is disabled in your browser. Please enable JavaScript to view this website.
AB214445

Anti-MEK1 (phospho S298) antibody [EPR3338] - BSA and Azide free

Be the first to review this product! Submit a review

|

(4 Publications)

Rabbit Recombinant Monoclonal MEK1 phospho S298 antibody. Carrier free. Suitable for IHC-P, WB, ICC/IF, Flow Cyt (Intra) and reacts with Human, Mouse, Rat samples. Cited in 4 publications.

View Alternative Names

MEK1, PRKMK1, MAP2K1, Dual specificity mitogen-activated protein kinase kinase 1, MAP kinase kinase 1, MAPKK 1, MKK1, ERK activator kinase 1, MAPK/ERK kinase 1, MEK 1

6 Images
Immunocytochemistry/ Immunofluorescence - Anti-MEK1 (phospho S298) antibody [EPR3338] - BSA and Azide free (AB214445)
  • ICC/IF

Lab

Immunocytochemistry/ Immunofluorescence - Anti-MEK1 (phospho S298) antibody [EPR3338] - BSA and Azide free (AB214445)

This data was developed using ab96379, the same antibody clone in a different buffer formulation.
Immunocytochemistry analysis of HeLa (Human cervix adenocarcinoma epithelial cell) treated with lambda phosphatase cells labeling MEK1 with Purified ab96379 at 1/100 dilution (9.53 µg/mL). Cells were fixed in 4% Paraformaldehyde and permeabilized with 0.1% tritonX-100. Cells were counterstained with ab195889 Anti-alpha Tubulin antibody [DM1A] - Microtubule Marker (Alexa Fluor® 594) 1/200 dilution (2.5 µg/mL). Goat anti rabbit IgG (Alexa Fluor® 488, ab150077) was used as the secondary antibody at 1/1000 dilution (2 µg/mL). DAPI (blue) was used as nuclear counterstain. PBS instead of the primary antibody was used as the secondary antibody only control.

Flow Cytometry (Intracellular) - Anti-MEK1 (phospho S298) antibody [EPR3338] - BSA and Azide free (AB214445)
  • Flow Cyt (Intra)

Lab

Flow Cytometry (Intracellular) - Anti-MEK1 (phospho S298) antibody [EPR3338] - BSA and Azide free (AB214445)

This data was developed using ab96379, the same antibody clone in a different buffer formulation. Intracellular Flow Cytometry analysis of HeLa (Human cervix adenocarcinoma epithelial cell) cells labeling MEK1 with Purified ab96379 at 1/100 dilution (10 μg/mL) (Red). Cells were fixed with 4% Paraformaldehyde and permeabilised with 90% Methanol. A Goat anti rabbit IgG (Alexa Fluor® 488, ab150077) secondary antibody was used at 1/2000. Isotype control - Rabbit monoclonal IgG (Black). Unlabeled control - Cell without incubation with primary antibody and secondary antibody (Blue).

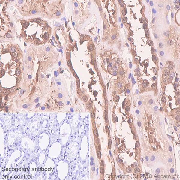
Immunohistochemistry (Formalin/PFA-fixed paraffin-embedded sections) - Anti-MEK1 (phospho S298) antibody [EPR3338] - BSA and Azide free (AB214445)
  • IHC-P

Lab

Immunohistochemistry (Formalin/PFA-fixed paraffin-embedded sections) - Anti-MEK1 (phospho S298) antibody [EPR3338] - BSA and Azide free (AB214445)

This data was developed using ab96379, the same antibody clone in a different buffer formulation.
Immunohistochemistry (Formalin/PFA-fixed paraffin-embedded sections) analysis of human ovarian carcinoma tissue sections labeling MEK1 with Purified ab96379 at 1/50 dilution (19.06 µg/mL). Perform heat mediated antigen retrieval using ab93684 (Tris/EDTA buffer, pH 9.0). ImmunoHistoProbe one step HRP Polymer (ready to use) was used as the secondary antibody. Negative control : PBS instead of the primary antibody. Hematoxylin was used as a counterstain.

Western blot - Anti-MEK1 (phospho S298) antibody [EPR3338] - BSA and Azide free (AB214445)
  • WB

Unknown

Western blot - Anti-MEK1 (phospho S298) antibody [EPR3338] - BSA and Azide free (AB214445)

All lanes:

Western blot - Anti-MEK1 (phospho S298) antibody [EPR3338] (<a href='/en-us/products/primary-antibodies/mek1-phospho-s298-antibody-epr3338-ab96379'>ab96379</a>) at 1/1000 dilution

Lane 1:

Rat skeletal muscle lysate

Lane 2:

Rat skeletal muscle lysate, the membrane treated with phosphatase for 1 hour

Secondary

All lanes:

Western blot - Goat Anti-Rabbit IgG H&L (HRP) (<a href='/en-us/products/secondary-antibodies/goat-rabbit-igg-h-l-hrp-ab97051'>ab97051</a>) at 1/20000 dilution

Predicted band size: 43 kDa

false

Western blot - Anti-MEK1 (phospho S298) antibody [EPR3338] - BSA and Azide free (AB214445)
  • WB

Unknown

Western blot - Anti-MEK1 (phospho S298) antibody [EPR3338] - BSA and Azide free (AB214445)

All lanes:

Western blot - Anti-MEK1 (phospho S298) antibody [EPR3338] (<a href='/en-us/products/primary-antibodies/mek1-phospho-s298-antibody-epr3338-ab96379'>ab96379</a>) at 1/1000 dilution

Lane 1:

Mouse skeletal muscle lysate

Lane 2:

Mouse skeletal muscle lysate, the membrane treated with phosphatase for 1 hour

Secondary

All lanes:

Western blot - Goat Anti-Rabbit IgG H&L (HRP) (<a href='/en-us/products/secondary-antibodies/goat-rabbit-igg-h-l-hrp-ab97051'>ab97051</a>) at 1/20000 dilution

Predicted band size: 43 kDa

false

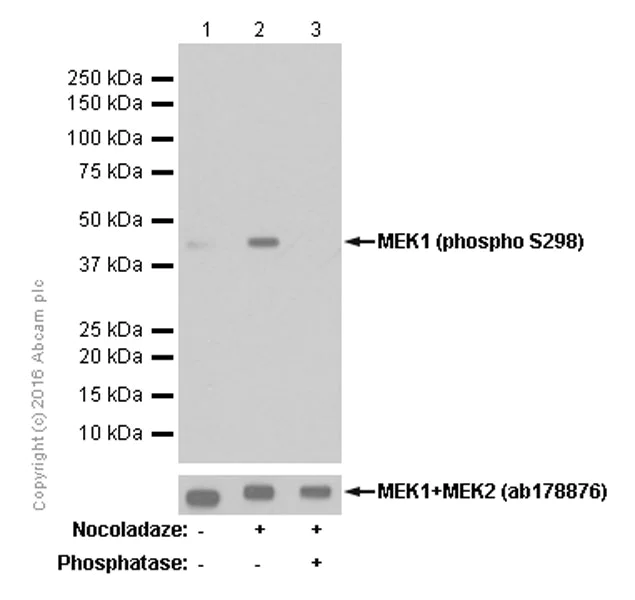
Western blot - Anti-MEK1 (phospho S298) antibody [EPR3338] - BSA and Azide free (AB214445)
  • WB

Unknown

Western blot - Anti-MEK1 (phospho S298) antibody [EPR3338] - BSA and Azide free (AB214445)

All lanes:

Western blot - Anti-MEK1 (phospho S298) antibody [EPR3338] (<a href='/en-us/products/primary-antibodies/mek1-phospho-s298-antibody-epr3338-ab96379'>ab96379</a>) at 1/1000 dilution

Lane 1:

HeLa (Human cervix adenocarcinoma epithelial cell) whole cell lysate

Lane 2:

HeLa (Human cervix adenocarcinoma epithelial cell) treated with 100 ng/ml nocoladaze for 18 hours whole cell lysate

Lane 3:

HeLa (Human cervix adenocarcinoma epithelial cell) treated with 100ng/ml nocoladaze for 18 hours, then the membrane treated with phosphatase for 1 hour

Secondary

All lanes:

Western blot - Goat Anti-Rabbit IgG H&L (HRP) (<a href='/en-us/products/secondary-antibodies/goat-rabbit-igg-h-l-hrp-ab97051'>ab97051</a>) at 1/20000 dilution

Predicted band size: 43 kDa

false

Key facts

Host species

Rabbit

Clonality

Monoclonal

Clone number

EPR3338

Isotype

IgG

Carrier free

Yes

Reacts with

Mouse, Rat, Human

Applications

WB, IHC-P, Flow Cyt (Intra), ICC/IF

applications

Immunogen

The exact immunogen used to generate this antibody is proprietary information.

Specificity

ab96379 detects MEK1 phosphorylated at threonine 298.

The mouse and rat recommendation is based on the WB results. We do not guarantee IHC-P for mouse and rat.

Reactivity data

{ "title": "Reactivity Data", "filters": { "stats": ["", "Species", "Dilution Info", "Notes"], "tabs": { "all-applications": {"fullname" : "All Applications", "shortname": "All Applications"}, "IHCP" : {"fullname" : "Immunohistochemistry (Formalin/PFA-fixed paraffin-embedded sections)", "shortname":"IHC-P"}, "IP" : {"fullname" : "Immunoprecipitation", "shortname":"IP"}, "WB" : {"fullname" : "Western blot", "shortname":"WB"}, "ICCIF" : {"fullname" : "Immunocytochemistry/ Immunofluorescence", "shortname":"ICC/IF"}, "FlowCytIntra" : {"fullname" : "Flow Cytometry (Intracellular)", "shortname":"Flow Cyt (Intra)"} }, "product-promise": { "all": "all", "testedAndGuaranteed": "tested", "guaranteed": "expected", "predicted": "predicted", "notRecommended": "not-recommended" } }, "values": { "Human": { "IHCP-species-checked": "testedAndGuaranteed", "IHCP-species-dilution-info": "", "IHCP-species-notes": "<p></p>", "IP-species-checked": "notRecommended", "IP-species-dilution-info": "", "IP-species-notes": "<p></p>", "WB-species-checked": "testedAndGuaranteed", "WB-species-dilution-info": "", "WB-species-notes": "<p></p>", "ICCIF-species-checked": "testedAndGuaranteed", "ICCIF-species-dilution-info": "1/100", "ICCIF-species-notes": "<p></p>", "FlowCytIntra-species-checked": "testedAndGuaranteed", "FlowCytIntra-species-dilution-info": "1/100", "FlowCytIntra-species-notes": "<p></p>" }, "Mouse": { "IHCP-species-checked": "guaranteed", "IHCP-species-dilution-info": "", "IHCP-species-notes": "", "IP-species-checked": "notRecommended", "IP-species-dilution-info": "", "IP-species-notes": "<p></p>", "WB-species-checked": "testedAndGuaranteed", "WB-species-dilution-info": "1/1000", "WB-species-notes": "<p></p>", "ICCIF-species-checked": "guaranteed", "ICCIF-species-dilution-info": "", "ICCIF-species-notes": "", "FlowCytIntra-species-checked": "guaranteed", "FlowCytIntra-species-dilution-info": "", "FlowCytIntra-species-notes": "" }, "Rat": { "IHCP-species-checked": "guaranteed", "IHCP-species-dilution-info": "", "IHCP-species-notes": "", "IP-species-checked": "notRecommended", "IP-species-dilution-info": "", "IP-species-notes": "<p></p>", "WB-species-checked": "testedAndGuaranteed", "WB-species-dilution-info": "1/1000", "WB-species-notes": "<p></p>", "ICCIF-species-checked": "guaranteed", "ICCIF-species-dilution-info": "", "ICCIF-species-notes": "", "FlowCytIntra-species-checked": "guaranteed", "FlowCytIntra-species-dilution-info": "", "FlowCytIntra-species-notes": "" } } }

Product details

ab214445 is the carrier-free version of ab96379.

Patented technology
Our RabMAb® technology is a patented hybridoma-based technology for making rabbit monoclonal antibodies. For details on our patents, please refer to RabMAb® patents.

What are the advantages of a recombinant monoclonal antibody?
This product is a recombinant monoclonal antibody, which offers several advantages including:

  • - High batch-to-batch consistency and reproducibility
  • - Improved sensitivity and specificity
  • - Long-term security of supply
  • - Animal-free batch production

For more information, read more on recombinant antibodies.

Conjugation ready
Our carrier-free antibodies are typically supplied in a PBS-only formulation, purified and free of BSA, sodium azide and glycerol. This conjugation-ready format is designed for use with fluorochromes, metal isotopes, oligonucleotides, and enzymes, which makes them ideal for antibody labelling, functional and cell-based assays, flow-based assays (e.g. mass cytometry) and Multiplex Imaging applications.

Use our conjugation kits for antibody conjugates that are ready-to-use in as little as 20 minutes with 1 minute hands-on-time and 100% antibody recovery: available for fluorescent dyes, HRP, biotin and gold.

Compatibility
This product is compatible with the Maxpar® Antibody Labeling Kit from Fluidigm, without the need for antibody preparation. Maxpar® is a trademark of Fluidigm Canada Inc.

Properties and storage information

Form
Liquid
Purification technique
Affinity purification Protein A
Storage buffer
pH: 7.2 - 7.4 Constituents: PBS
Shipped at conditions
Blue Ice
Appropriate short-term storage conditions
+4°C
Appropriate long-term storage conditions
+4°C
Storage information
Do Not Freeze

Supplementary information

This supplementary information is collated from multiple sources and compiled automatically.

MEK1 also known as MAP2K1 is a dual-specificity kinase that plays a role in the MAPK/ERK pathway. It has a molecular weight of around 45 kDa. MEK1 phosphorylates and activates the extracellular signal-regulated kinases ERK1 and ERK2. MEK1 is expressed in various tissues but is especially abundant in brain and heart tissues. Researchers commonly measure MEK1 levels using techniques like MEK1 ELISA while phospho-MEK antibodies help analyze its activity state.
Biological function summary

MEK1 impacts cell processes such as proliferation differentiation and survival. It does not work alone but forms a complex with other proteins to exert its function. MEK1 activity is tightly controlled by upstream activators and downstream targets. One of the key phosphorylation sites on MEK1 is at serine 298 often marked as MEK1 pS298. This phosphorylation indicates MEK1's activated state which is critical for its biological function.

Pathways

MEK1 integrates signals within the MAPK/ERK pathway and interacts closely with RAF kinases upstream and ERK kinases downstream. This pathway modulates cellular responses to growth factors. MEK1 undergoes phosphorylation enhancing its activity and subsequently phosphorylates ERK proteins. Many studies isolate MEK1 activity using specific inhibitors such as the MEK1 inhibitor to dissect pathway dynamics. ERK inhibitor PD98059 also helps when studying parallel interactions with MEK1.

MEK1 mutations or dysregulation have links to several types of cancer including melanoma. These often involve changes that lead to continuous MEK1 activation contributing to uncontrolled cell growth. MEK1 involvement in the RASopathies also shows its connection to disorders characterized by heart and facial abnormalities. In cancer MEK1 works closely with the BRAF protein which often harbors mutations leading to disease progression showcasing MEK1 as a target for therapeutic intervention.

Product protocols

For this product, it's our understanding that no specific protocols are required. You can visit:

Target data

Dual specificity protein kinase which acts as an essential component of the MAP kinase signal transduction pathway. Binding of extracellular ligands such as growth factors, cytokines and hormones to their cell-surface receptors activates RAS and this initiates RAF1 activation. RAF1 then further activates the dual-specificity protein kinases MAP2K1/MEK1 and MAP2K2/MEK2. Both MAP2K1/MEK1 and MAP2K2/MEK2 function specifically in the MAPK/ERK cascade, and catalyze the concomitant phosphorylation of a threonine and a tyrosine residue in a Thr-Glu-Tyr sequence located in the extracellular signal-regulated kinases MAPK3/ERK1 and MAPK1/ERK2, leading to their activation and further transduction of the signal within the MAPK/ERK cascade. Activates BRAF in a KSR1 or KSR2-dependent manner; by binding to KSR1 or KSR2 releases the inhibitory intramolecular interaction between KSR1 or KSR2 protein kinase and N-terminal domains which promotes KSR1 or KSR2-BRAF dimerization and BRAF activation (PubMed : 29433126). Depending on the cellular context, this pathway mediates diverse biological functions such as cell growth, adhesion, survival and differentiation, predominantly through the regulation of transcription, metabolism and cytoskeletal rearrangements. One target of the MAPK/ERK cascade is peroxisome proliferator-activated receptor gamma (PPARG), a nuclear receptor that promotes differentiation and apoptosis. MAP2K1/MEK1 has been shown to export PPARG from the nucleus. The MAPK/ERK cascade is also involved in the regulation of endosomal dynamics, including lysosome processing and endosome cycling through the perinuclear recycling compartment (PNRC), as well as in the fragmentation of the Golgi apparatus during mitosis.
See full target information MAP2K1 phospho S298

Publications (4)

Recent publications for all applications. Explore the full list and refine your search

Cancers 15: PubMed36765785

2023

Flexible Cyclic Immunofluorescence (cyCIF) Using Oligonucleotide Barcoded Antibodies.

Applications

Unspecified application

Species

Unspecified reactive species

Nathan P McMahon,Jocelyn A Jones,Ashley N Anderson,Matthew S Dietz,Melissa H Wong,Summer L Gibbs

Technology in cancer research & treatment 19:1533033820957006 PubMed33000678

2020

Down-Regulation of AHNAK2 Inhibits Cell Proliferation, Migration and Invasion Through Inactivating the MAPK Pathway in Lung Adenocarcinoma.

Applications

Unspecified application

Species

Unspecified reactive species

Dong-Wei Wang,Hai-Zheng Zheng,Na Cha,Xiao-Jie Zhang,Min Zheng,Ming-Ming Chen,Li-Xiang Tian

Neural regeneration research 16:537-542 PubMed32985484

2020

Solid lipid nanoparticles loading with curcumin and dexanabinol to treat major depressive disorder.

Applications

Unspecified application

Species

Unspecified reactive species

Xiao-Lie He,Li Yang,Zhao-Jie Wang,Rui-Qi Huang,Rong-Rong Zhu,Li-Ming Cheng

Cellular physiology and biochemistry : internation 42:2281-2294 PubMed28848078

2017

Targeting the Endocannabinoid/CB1 Receptor System For Treating Major Depression Through Antidepressant Activities of Curcumin and Dexanabinol-Loaded Solid Lipid Nanoparticles.

Applications

Unspecified application

Species

Unspecified reactive species

Xiaolie He,Li Yang,Mei Wang,Xizhen Zhuang,Ruiqi Huang,Rongrong Zhu,Shilong Wang
View all publications

Product promise

We are committed to supporting your work with high-quality reagents, and we're here for you every step of the way. In the unlikely event that one of our products does not perform as expected, you're protected by our Product Promise.
For full details, please see our Terms & Conditions

Please note: All products are 'FOR RESEARCH USE ONLY. NOT FOR USE IN DIAGNOSTIC OR THERAPEUTIC PROCEDURES'.

For licensing inquiries, please contact partnerships@abcam.com