JavaScript is disabled in your browser. Please enable JavaScript to view this website.
AB233731

Anti-MEK2 antibody [Y78] - BSA and Azide free

Be the first to review this product! Submit a review

|

(0 Publication)

Rabbit Recombinant Monoclonal MEK2 antibody. Carrier free. Suitable for ICC/IF, IHC-P, WB, Flow Cyt (Intra) and reacts with Human, Mouse samples.

View Alternative Names

MEK2, MKK2, PRKMK2, MAP2K2, Dual specificity mitogen-activated protein kinase kinase 2, MAP kinase kinase 2, MAPKK 2, ERK activator kinase 2, MAPK/ERK kinase 2, MEK 2

9 Images
Western blot - Anti-MEK2 antibody [Y78] - BSA and Azide free (AB233731)
  • WB

Lab

Western blot - Anti-MEK2 antibody [Y78] - BSA and Azide free (AB233731)

This data was developed using ab32517, the same antibody clone in a different buffer formulation.

Western blot : Anti-MAP2K2 antibody [Y78] (ab32517) staining at 1/10000 dilution, shown in green; Mouse anti-CANX [CANX/1543] (ab238078) loading control staining at 1/20000 dilution, shown in magenta. In Western blot, ab32517 was shown to bind specifically to MAP2K2. A band was observed at 44 kDa in wild-type HCT 116 cell lysates with no signal observed at this size in MAP2K2 knockout cell line. To generate this image, wild-type and MAP2K2 knockout HCT 116 cell lysates were analysed. First, samples were run on an SDS-PAGE gel then transferred onto a nitrocellulose membrane. Membranes were blocked in 3 % milk in TBS-0.1 % Tween® 20 (TBS-T) before incubation with primary antibodies overnight at 4 °C. Blots were washed four times in TBS-T, incubated with secondary antibodies for 1 h at room temperature, washed again four times then imaged. Secondary antibodies used were Goat anti-Rabbit IgG H&L 800CW and Goat anti-Mouse IgG H&L 680RD at 1/20000 dilution.

All lanes:

Western blot - Anti-MEK2 antibody [Y78] (<a href='/en-us/products/primary-antibodies/mek2-antibody-y78-ab32517'>ab32517</a>) at 1/10000 dilution

Lane 1:

Wild-type HCT 116 cell lysate at 20 µg

Lane 2:

Western blot - Human MAP2K2 knockout HCT116 cell line (<a href='/en-us/products/cell-lines/human-map2k2-knockout-hct116-cell-line-ab286599'>ab286599</a>)

Lane 2:

MAP2K2 knockout HCT 116 cell lysate at 20 µg

Lane 3:

Wild-type HEK-293T ab255553 cell lysate at 20 µg

Lane 4:

MAP2K2 knockout HEK-293T ab261003 cell lysate at 20 µg

Secondary

Lanes 1 - 4:

Goat anti-Rabbit IgG H&L 800CW at 1/20000 dilution

Lanes 1 - 4:

Goat anti-Mouse IgG H&L 680RD at 1/20000 dilution

Observed band size: 44 kDa

false

Flow Cytometry (Intracellular) - Anti-MEK2 antibody [Y78] - BSA and Azide free (AB233731)
  • Flow Cyt (Intra)

Unknown

Flow Cytometry (Intracellular) - Anti-MEK2 antibody [Y78] - BSA and Azide free (AB233731)

This data was developed using ab32517, the same antibody clone in a different buffer formulation.

Overlay histogram showing HeLa cells stained with ab32517 (red line). The cells were fixed with 80% methanol (5 min) and then permeabilized with 0.1% PBS-Tween for 20 min. The cells were then incubated in 1x PBS / 10% normal goat serum / 0.3M glycine to block non-specific protein-protein interactions followed by the antibody (ab32517, 1/100 dilution) for 30 min at 22°C. The secondary antibody used was DyLight® 488 goat anti-rabbit IgG (H+L) (ab96899) at 1/500 dilution for 30 min at 22°C. Isotype control antibody (black line) was rabbit IgG (monoclonal) (1μg/1x106 cells) used under the same conditions. Acquisition of >5,000 events was performed.

Immunocytochemistry/ Immunofluorescence - Anti-MEK2 antibody [Y78] - BSA and Azide free (AB233731)
  • ICC/IF

Lab

Immunocytochemistry/ Immunofluorescence - Anti-MEK2 antibody [Y78] - BSA and Azide free (AB233731)

This data was developed using ab32517, the same antibody clone in a different buffer formulation.

ab32517 staining MEK2 in wild-type HAP1 cells (top panel) and MEK2 knockout HAP1 cells (bottom panel). The cells were fixed with 4% formaldehyde (10min), permeabilized with 0.1% Triton X-100 for 5 minutes and then blocked with 1% BSA/10% normal goat serum/0.3M glycine in 0.1% PBS-Tween for 1h. The cells were then incubated with ab32517 at 1μg/ml and ab195889 at 1/250 dilution (shown in pseudo colour red) overnight at +4°C, followed by a further incubation at room temperature for 1h with a goat secondary antibody to Rabbit IgG (Alexa Fluor® 488) (ab150081) at 2 μg/ml (shown in green). Nuclear DNA was labelled in blue with DAPI.

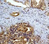
Immunohistochemistry (Formalin/PFA-fixed paraffin-embedded sections) - Anti-MEK2 antibody [Y78] - BSA and Azide free (AB233731)
  • IHC-P

Unknown

Immunohistochemistry (Formalin/PFA-fixed paraffin-embedded sections) - Anti-MEK2 antibody [Y78] - BSA and Azide free (AB233731)

This data was developed using ab32517, the same antibody clone in a different buffer formulation.

Immunohistochemical analysis of paraffin embedded human prostate carcinoma using ab32517 at a dilution of 1/250.

Perform heat mediated antigen retrieval with citrate buffer pH 6 before commencing with IHC staining protocol.

Immunocytochemistry/ Immunofluorescence - Anti-MEK2 antibody [Y78] - BSA and Azide free (AB233731)
  • ICC/IF

Unknown

Immunocytochemistry/ Immunofluorescence - Anti-MEK2 antibody [Y78] - BSA and Azide free (AB233731)

This data was developed using ab32517, the same antibody clone in a different buffer formulation.Immunofluorescent staining of HeLa cells using ab32517 at a dilution of 1/250.

Western blot - Anti-MEK2 antibody [Y78] - BSA and Azide free (AB233731)
  • WB

Unknown

Western blot - Anti-MEK2 antibody [Y78] - BSA and Azide free (AB233731)

This data was developed using ab32517, the same antibody clone in a different buffer formulation.

All lanes:

Western blot - Anti-MEK2 antibody [Y78] (<a href='/en-us/products/primary-antibodies/mek2-antibody-y78-ab32517'>ab32517</a>) at 1/10000 dilution

All lanes:

Jurkat cell lysate

Predicted band size: 44 kDa

Observed band size: 45 kDa

false

Western blot - Anti-MEK2 antibody [Y78] - BSA and Azide free (AB233731)
  • WB

Lab

Western blot - Anti-MEK2 antibody [Y78] - BSA and Azide free (AB233731)

This data was developed using ab32517, the same antibody clone in a different buffer formulation.

This blot was produced using a 4-12% Bis-tris gel under the MOPS buffer system. The gel was run at 200V for 50 minutes before being transferred onto a Nitrocellulose membrane at 30V for 70 minutes. The membrane was then blocked for an hour using Licor blocking buffer before being incubated with ab32517 overnight at 4°C. Antibody binding was detected using Goat anti-Rabbit IgG H&L (IRDye® 800CW) preabsorbed (ab216773) at a 1 : 10000 dilution for 1hr at room temperature and then imaged.

All lanes:

Western blot - Anti-MEK2 antibody [Y78] (<a href='/en-us/products/primary-antibodies/mek2-antibody-y78-ab32517'>ab32517</a>) at 1/10000 dilution

Lane 1:

Jurkat Whole Cell Lysate at 20 µg

Lane 2:

Mouse Brain Tissue Lysate at 20 µg

Lane 3:

Mouse Lung Tissue Lysate at 20 µg

Secondary

All lanes:

Western blot - Goat anti-Rabbit IgG H&L (IRDye® 800CW) preadsorbed (<a href='/en-us/products/secondary-antibodies/goat-rabbit-igg-h-l-irdye-800cw-preadsorbed-ab216773'>ab216773</a>) at 1/10000 dilution

Predicted band size: 44 kDa

Observed band size: 44 kDa

false

Western blot - Anti-MEK2 antibody [Y78] - BSA and Azide free (AB233731)
  • WB

Lab

Western blot - Anti-MEK2 antibody [Y78] - BSA and Azide free (AB233731)

This data was developed using ab32517, the same antibody clone in a different buffer formulation.

Lane 1 Wild-type HAP1 cell lysate (20 μg)

Lane 2 MEK2 knockout HAP1 cell lysate (20 μg)

Lane 3 Jurkat cell lysate (20 μg)

Lane 4 K562 cell lysate (20 μg)

Lanes 1 - 4 Merged signal (red and green). Green - ab32517 observed at 44 kDa. Red - loading control, ab8245, observed at 37 kDa.

ab32517 was shown to specifically react with MEK2 when MEK2 knockout samples were used. Wild-type and MEK2 knockout samples were subjected to SDS-PAGE. ab32517 and ab8245 (loading control to GAPDH) were diluted 1/10 000 and 1/2000 and incubated overnight at 4°C. Blots were developed with Goat anti-Rabbit IgG H&L (IRDye® 800CW) preadsorbed (ab216773) and Goat anti-Mouse IgG H&L (IRDye® 680RD) preadsorbed (ab216776) secondary antibodies at 1/10 000 dilution for 1 h at room temperature before imaging.

All lanes:

Western blot - Anti-MEK2 antibody [Y78] (<a href='/en-us/products/primary-antibodies/mek2-antibody-y78-ab32517'>ab32517</a>)

Predicted band size: 44 kDa

false

Western blot - Anti-MEK2 antibody [Y78] - BSA and Azide free (AB233731)
  • WB

Lab

Western blot - Anti-MEK2 antibody [Y78] - BSA and Azide free (AB233731)

This data was developed using the same antibody clone in a different buffer formulation (ab32517).

Lanes 1 - 2 : Merged signal (red and green). Green - ab32517 observed at 45 kDa. Red - loading control ab8245 (Mouse anti-GAPDH antibody [6C5]) observed at 37kDa.

ab32517 was shown to react with MEK2 in wild-type HEK-293T cells in western blot with loss of signal observed in MAP2K2 knockout cell line ab266315 (MAP2K2 knockout cell lysate ab257512). Wild-type HEK-293T and MAP2K2 knockout cell lysates were subjected to SDS-PAGE. Membranes were blocked in 3% milk in TBS-T (0.1% Tween®) before incubation with ab32517 and ab8245 (Mouse anti-GAPDH antibody [6C5]) overnight at 4°C at a 1 in 10000 dilution and a 1 in 20000 dilution respectively. Blots were incubated with Goat anti-Rabbit IgG H&L (IRDye® 800CW) preabsorbed (ab216773) and Goat anti-Mouse IgG H&L (IRDye® 680RD) preabsorbed (ab216776) secondary antibodies at 1 in 20000 dilution for 1 hour at room temperature before imaging.

All lanes:

Western blot - Anti-MEK2 antibody [Y78] (<a href='/en-us/products/primary-antibodies/mek2-antibody-y78-ab32517'>ab32517</a>) at 1/10000 dilution

Lane 1:

Wild-type HEK-293T cell lysate at 20 µg

Lane 2:

MAP2K2 knockout HEK293T cell lysate at 20 µg

Lane 2:

Western blot - Human MAP2K2 (MEK2) knockout HEK-293T cell line (<a href='/en-us/products/cell-lines/human-map2k2-mek2-knockout-hek-293t-cell-line-ab266315'>ab266315</a>)

Predicted band size: 44 kDa

Observed band size: 45 kDa

false

Key facts

Host species

Rabbit

Clonality

Monoclonal

Clone number

Y78

Isotype

IgG

Carrier free

Yes

Reacts with

Mouse, Human

Applications

IHC-P, WB, Flow Cyt (Intra), ICC/IF

applications

Immunogen

The exact immunogen used to generate this antibody is proprietary information.

Specificity

This antibody does not cross react with other MAP kinase kinase family members.

Reactivity data

{ "title": "Reactivity Data", "filters": { "stats": ["", "Species", "Dilution Info", "Notes"], "tabs": { "all-applications": {"fullname" : "All Applications", "shortname": "All Applications"}, "ICCIF" : {"fullname" : "Immunocytochemistry/ Immunofluorescence", "shortname":"ICC/IF"}, "IHCP" : {"fullname" : "Immunohistochemistry (Formalin/PFA-fixed paraffin-embedded sections)", "shortname":"IHC-P"}, "WB" : {"fullname" : "Western blot", "shortname":"WB"}, "FlowCytIntra" : {"fullname" : "Flow Cytometry (Intracellular)", "shortname":"Flow Cyt (Intra)"} }, "product-promise": { "all": "all", "testedAndGuaranteed": "tested", "guaranteed": "expected", "predicted": "predicted", "notRecommended": "not-recommended" } }, "values": { "Human": { "ICCIF-species-checked": "testedAndGuaranteed", "ICCIF-species-dilution-info": "", "ICCIF-species-notes": "<p></p>", "IHCP-species-checked": "testedAndGuaranteed", "IHCP-species-dilution-info": "", "IHCP-species-notes": "<p></p> Perform heat-mediated antigen retrieval with citrate buffer pH 6 before commencing with IHC staining protocol.", "WB-species-checked": "testedAndGuaranteed", "WB-species-dilution-info": "", "WB-species-notes": "<p></p>", "FlowCytIntra-species-checked": "testedAndGuaranteed", "FlowCytIntra-species-dilution-info": "", "FlowCytIntra-species-notes": "<p></p>" }, "Mouse": { "ICCIF-species-checked": "guaranteed", "ICCIF-species-dilution-info": "", "ICCIF-species-notes": "", "IHCP-species-checked": "guaranteed", "IHCP-species-dilution-info": "", "IHCP-species-notes": "", "WB-species-checked": "testedAndGuaranteed", "WB-species-dilution-info": "", "WB-species-notes": "<p></p>", "FlowCytIntra-species-checked": "guaranteed", "FlowCytIntra-species-dilution-info": "", "FlowCytIntra-species-notes": "" } } }

Product details

Properties and storage information

Form
Liquid
Purification technique
Affinity purification Protein A
Storage buffer
pH: 7.2 - 7.4 Constituents: PBS
Shipped at conditions
Blue Ice
Appropriate short-term storage conditions
+4°C
Appropriate long-term storage conditions
+4°C
Storage information
Do Not Freeze

Supplementary information

This supplementary information is collated from multiple sources and compiled automatically.

MEK2 or MAP2K2 is a protein kinase with a mass of approximately 44 kDa. This kinase part of the Mitogen-Activated Protein Kinase (MAPK) pathway primarily functions mechanically as a dual-specificity protein kinase. It phosphorylates both serine/threonine and tyrosine residues on its substrate proteins. MEK2 is largely expressed in various tissues including the brain and heart. It serves an important role in relaying extracellular signals within cells leading to diverse cellular responses.
Biological function summary

MEK2 participates in signal transduction pathways mediating cell division differentiation and apoptosis. As a part of the MAPK signaling cascade it operates downstream of RAS and RAF proteins. MEK2 forms a complex with MEK1 another closely related kinase to ensure proper signal relay. This complex plays a significant role in the regulation of cellular responses to growth signals and stress.

Pathways

MEK2 is intricately connected to the ERK1/2 pathway one of the key pathways it is involved in. ERK1/2 (Extracellular signal-Regulated Kinases) further transmits signals to the cell's nuclear components regulating gene expression critically. MEK2 directly phosphorylates and activates ERK1 and ERK2 facilitating their role in transcription cell cycle regulation and maintenance of cell integrity. The interaction of MEK2 with proteins like BRAF and CRAF along the MAPK pathway amplifies the signal transduction for various growth factors and hormones.

MEK2 has a notable association with cancer particularly melanoma and colorectal cancer. It often becomes aberrantly activated leading to unregulated cell proliferation. The connection of MEK2 to ERK1/2 proteins in these malignancies makes it a potential therapeutic target. Furthermore MEK2 mutations can contribute to Noonan syndrome a disorder that affects multiple body systems marking its relationship with genetic abnormalities and developmental issues. Researchers have been investigating MEK inhibitors to target these disorders highlighting the importance of understanding MEK2's role in disease contexts.

Product protocols

For this product, it's our understanding that no specific protocols are required. You can visit:

Target data

Catalyzes the concomitant phosphorylation of a threonine and a tyrosine residue in a Thr-Glu-Tyr sequence located in MAP kinases. Activates the ERK1 and ERK2 MAP kinases (By similarity). Activates BRAF in a KSR1 or KSR2-dependent manner; by binding to KSR1 or KSR2 releases the inhibitory intramolecular interaction between KSR1 or KSR2 protein kinase and N-terminal domains which promotes KSR1 or KSR2-BRAF dimerization and BRAF activation (PubMed : 29433126).
See full target information MAP2K2

Product promise

We are committed to supporting your work with high-quality reagents, and we're here for you every step of the way. In the unlikely event that one of our products does not perform as expected, you're protected by our Product Promise.
For full details, please see our Terms & Conditions

Associated Products

Select an associated product type
Alternative Product
Primary Antibodies

AB265601

Anti-MEK2 antibody

primary-antibodies

mek2-antibody-ab265601

0

(0 reviews)

Alternative Product
Primary Antibodies

AB265586

Anti-MEK2 antibody [BLR079G]

primary-antibodies

mek2-antibody-blr079g-ab265586

0

(0 reviews)

Alternative Version
Primary Antibodies

AB214845

Alexa Fluor® 594 Anti-MEK2 antibody [Y78]

primary-antibodies

alexa-fluor-594-mek2-antibody-y78-ab214845

0

(0 reviews)

Alternative Version
Primary Antibodies

AB213661

PE Anti-MEK2 antibody [Y78]

primary-antibodies

pe-mek2-antibody-y78-ab213661

0

(0 reviews)

Alternative Version
Primary Antibodies

AB200607

HRP Anti-MEK2 antibody [Y78]

primary-antibodies

hrp-mek2-antibody-y78-ab200607

0

(0 reviews)

Alternative Version
Primary Antibodies

AB200519

Alexa Fluor® 647 Anti-MEK2 antibody [Y78]

primary-antibodies

alexa-fluor-647-mek2-antibody-y78-ab200519

0

(0 reviews)

Alternative Version
Primary Antibodies

AB214633

Alexa Fluor® 555 Anti-MEK2 antibody [Y78]

primary-antibodies

alexa-fluor-555-mek2-antibody-y78-ab214633

0

(0 reviews)

Alternative Version
Primary Antibodies

AB200606

Alexa Fluor® 488 Anti-MEK2 antibody [Y78]

primary-antibodies

alexa-fluor-488-mek2-antibody-y78-ab200606

0

(0 reviews)

Please note: All products are 'FOR RESEARCH USE ONLY. NOT FOR USE IN DIAGNOSTIC OR THERAPEUTIC PROCEDURES'.

For licensing inquiries, please contact partnerships@abcam.com