JavaScript is disabled in your browser. Please enable JavaScript to view this website.
AB231166

Anti-MEK3 antibody [EPR17345-104] - BSA and Azide free

Be the first to review this product! Submit a review

|

(0 Publication)

Rabbit Recombinant Monoclonal MEK3 antibody. Carrier free. Suitable for IP, WB, ICC/IF, Flow Cyt (Intra), IHC-P and reacts with Human, Mouse, Rat samples.

View Alternative Names

MEK3, MKK3, PRKMK3, SKK2, MAP2K3, Dual specificity mitogen-activated protein kinase kinase 3, MAP kinase kinase 3, MAPKK 3, MAPK/ERK kinase 3, Stress-activated protein kinase kinase 2, MEK 3, SAPK kinase 2, SAPKK-2, SAPKK2

8 Images
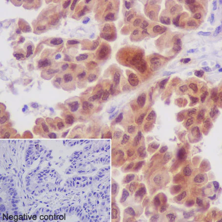
Immunohistochemistry (Formalin/PFA-fixed paraffin-embedded sections) - Anti-MEK3 antibody [EPR17345-104] - BSA and Azide free (AB231166)
  • IHC-P

Supplier Data

Immunohistochemistry (Formalin/PFA-fixed paraffin-embedded sections) - Anti-MEK3 antibody [EPR17345-104] - BSA and Azide free (AB231166)

This IHC data was generated using the same anti-MEK3 antibody clone, EPR17345-104, in a different buffer formulation (cat# ab195037).

Immunohistochemical analysis of paraffin-embedded Human lung adenocarcinoma tissue labeling MEK3 with ab195037 at 1/500 dilution followed by Goat Anti-Rabbit IgG H&L (HRP) (ab97051) secondary at 1/500 dilution. Cytoplasmic and nuclear staining on cancer cells of Human lung adenocarcinoma is observed. Counter stained with Hematoxylin.

Negative control : Using PBS instead of primary antibody, secondary antibody is Goat Anti-Rabbit IgG H&L (HRP) (ab97051) at 1/500 dilution.

Heat mediated antigen retrieval was performed with Tris/EDTA buffer pH 9.0 before commencing with IHC staining protocol.

Immunohistochemistry (Formalin/PFA-fixed paraffin-embedded sections) - Anti-MEK3 antibody [EPR17345-104] - BSA and Azide free (AB231166)
  • IHC-P

Supplier Data

Immunohistochemistry (Formalin/PFA-fixed paraffin-embedded sections) - Anti-MEK3 antibody [EPR17345-104] - BSA and Azide free (AB231166)

Immunohistochemical analysis of paraffin-embedded Mouse skeletal muscle tissue labeling MEK3 with ab195037 at 1/500 dilution followed by Goat Anti-Rabbit IgG H&L (HRP) (ab97051) secondary at 1/500 dilution. Cytoplasmic and nuclear staining on mouse skeletal muscle is observed. Counter stained with Hematoxylin.

Negative control : Using PBS instead of primary antibody, secondary antibody is Goat Anti-Rabbit IgG H&L (HRP) (ab97051) at 1/500 dilution.

This data was developed using the same antibody clone in a different buffer formulation containing PBS, BSA, glycerol, and sodium azide (ab195037).

Heat mediated antigen retrieval was performed with Tris/EDTA buffer pH 9.0 before commencing with IHC staining protocol.

Immunocytochemistry/ Immunofluorescence - Anti-MEK3 antibody [EPR17345-104] - BSA and Azide free (AB231166)
  • ICC/IF

Supplier Data

Immunocytochemistry/ Immunofluorescence - Anti-MEK3 antibody [EPR17345-104] - BSA and Azide free (AB231166)

Immunofluorescent analysis of 4% paraformaldehyde-fixed, 0.1% Triton X-100 permeabilized NIH/3T3 (Mouse embyro fibroblast cells) cells labeling MEK3 with ab195037 at 1/250 dilution, followed by Goat anti-rabbit IgG (Alexa Fluor® 488) (ab150077) secondary antibody at 1/500 dilution (green). Confocal image showing both nuclear and cytoplasmic staining on NIH/3T3 cell line.  The nuclear counter stain is DAPI (blue). Tubulin is detected with ab7291 (anti-Tubulin mouse mAb) at 1/1000 dilution and ab150120 (AlexaFluor®594 Goat anti-Mouse secondary) at 1/500 dilution (red).
The negative controls are as follows :
-ve control 1 : ab195037 at 1/250 dilution followed by ab150120 (AlexaFluor®594 Goat anti-Mouse secondary) at 1/500 dilution.
-ve control 2 : ab7291 (anti-Tubulin mouse mAb) at 1/1000 dilution followed by ab150077 (Alexa Fluor®488 Goat Anti-Rabbit IgG H&L) at 1/500 dilution.

This data was developed using the same antibody clone in a different buffer formulation containing PBS, BSA, glycerol, and sodium azide (ab195037).

Immunohistochemistry (Formalin/PFA-fixed paraffin-embedded sections) - Anti-MEK3 antibody [EPR17345-104] - BSA and Azide free (AB231166)
  • IHC-P

Supplier Data

Immunohistochemistry (Formalin/PFA-fixed paraffin-embedded sections) - Anti-MEK3 antibody [EPR17345-104] - BSA and Azide free (AB231166)

Immunohistochemical analysis of paraffin-embedded Rat skeletal muscle tissue labeling MEK3 with ab195037 at 1/500 dilution followed by Goat Anti-Rabbit IgG H&L (HRP) (ab97051) secondary at 1/500 dilution. Cytoplasmic and nuclear staining on rat skeletal muscle is observed. Counter stained with Hematoxylin.

Negative control : Using PBS instead of primary antibody, secondary antibody is Goat Anti-Rabbit IgG H&L (HRP) (ab97051) at 1/500 dilution.

This data was developed using the same antibody clone in a different buffer formulation containing PBS, BSA, glycerol, and sodium azide (ab195037).

Heat mediated antigen retrieval was performed with Tris/EDTA buffer pH 9.0 before commencing with IHC staining protocol.

Flow Cytometry (Intracellular) - Anti-MEK3 antibody [EPR17345-104] - BSA and Azide free (AB231166)
  • Flow Cyt (Intra)

Unknown

Flow Cytometry (Intracellular) - Anti-MEK3 antibody [EPR17345-104] - BSA and Azide free (AB231166)

Intracellular Flow Cytometry analysis of NIH/3T3 (mouse embryo) labelling MEK3 with purified ab195037 at 1/1000 (red). Cells were fixed with 4% paraformaldehyde and permeabilised with 90% methanol. Alexa Fluor® 488 goat anti-rabbit IgG (1/2000) was used as the secondary antibody. Black - Isotype control, rabbit monoclonal IgG. Blue - Unlabelled control, cells without incubation with primary and secondary antibodies.

This data was developed using the same antibody clone in a different buffer formulation containing PBS, BSA, glycerol, and sodium azide (ab195037).

Immunohistochemistry (Formalin/PFA-fixed paraffin-embedded sections) - Anti-MEK3 antibody [EPR17345-104] - BSA and Azide free (AB231166)
  • IHC-P

Supplier Data

Immunohistochemistry (Formalin/PFA-fixed paraffin-embedded sections) - Anti-MEK3 antibody [EPR17345-104] - BSA and Azide free (AB231166)

Immunohistochemical analysis of paraffin-embedded Human skeletal muscle tissue labeling MEK3 with ab195037 at 1/500 dilution followed by Goat Anti-Rabbit IgG H&L (HRP) (ab97051) secondary at 1/500 dilution. Cytoplasmic and nucleus staining on Human skeletal muscle is observed. Counter stained with Hematoxylin.

Negative control : Using PBS instead of primary antibody, secondary antibody is Goat Anti-Rabbit IgG H&L (HRP) (ab97051) at 1/500 dilution.

1 : Ben-Levy R,et.al.(1998) Nuclear export of the stress-activated protein kinase p38 mediated by its substrate MAPKAP kinase-2. Curr Biol, 8(19) : 1049-1057.

This data was developed using the same antibody clone in a different buffer formulation containing PBS, BSA, glycerol, and sodium azide (ab195037).

Heat mediated antigen retrieval was performed with Tris/EDTA buffer pH 9.0 before commencing with IHC staining protocol.

Immunoprecipitation - Anti-MEK3 antibody [EPR17345-104] - BSA and Azide free (AB231166)
  • IP

Supplier Data

Immunoprecipitation - Anti-MEK3 antibody [EPR17345-104] - BSA and Azide free (AB231166)

MEK3 was immunoprecipitated from 1mg of HeLa (Human epithelial cells from cervix adenocarcinoma) whole cell extract with ab195037 at 1/90 dilution. Western blot was performed from the immunoprecipitate using ab195037 at 1/1000 dilution. Anti-Rabbit IgG (HRP), specific to the non-reduced form of IgG, was used as secondary antibody at 1/1500 dilution. Lane 1 : HeLa whole cell extract. Lane 2 : PBS instead of HeLa whole cell extract.

Blocking and dilution buffer and concentration : 5% NFDM/TBST.

Based on the sequence analysis, ab195037 recognizes 3 isoforms of MEK3 ranging from 36kDa to 40KDa. The multi-bands should be MEK3 isoforms.

This data was developed using the same antibody clone in a different buffer formulation containing PBS, BSA, glycerol, and sodium azide (ab195037).

All lanes:

Immunoprecipitation - Anti-MEK3 antibody [EPR17345-104] (<a href='/en-us/products/primary-antibodies/mek3-antibody-epr17345-104-ab195037'>ab195037</a>)

Predicted band size: 39 kDa

false

Western blot - Anti-MEK3 antibody [EPR17345-104] - BSA and Azide free (AB231166)
  • WB

Lab

Western blot - Anti-MEK3 antibody [EPR17345-104] - BSA and Azide free (AB231166)

This WB data was generated using the same anti-MEK3 antibody clone, EPR17345-104, in a different buffer formulation (cat# ab195037).

Lane 1 : Wild-type HAP1 cell lysate (20 μg)
Lane 2 : MEK3 knockout HAP1 cell lysate (20 μg)
Lane 3 : HeLa cell lysate (20 μg)
Lane 4 : Jurkat cell lysate (20 μg)
Lanes 1 - 4 : Merged signal (red and green). Green - ab195037 observed at 40 kDa. Red - loading control, ab8245, observed at 37 kDa.

ab195037 was shown to specifically react with MEK3 when MEK3 knockout samples were used. Wild-type and MEK3 knockout samples were subjected to SDS-PAGE. ab195037 and ab8245 (loading control to GAPDH) were both diluted to 1/5000 and 1/10000 respectively and incubated overnight at 4°C. Blots were developed with Goat anti-Rabbit IgG H&L (IRDye® 800CW) preadsorbed (ab216773) and Goat anti-Mouse IgG H&L (IRDye® 680RD) preadsorbed (ab216776) secondary antibodies at 1/10000 dilution for 1 hour at room temperature before imaging.

All lanes:

Western blot - Anti-MEK3 antibody [EPR17345-104] (<a href='/en-us/products/primary-antibodies/mek3-antibody-epr17345-104-ab195037'>ab195037</a>)

Predicted band size: 39 kDa

false

Key facts

Host species

Rabbit

Clonality

Monoclonal

Clone number

EPR17345-104

Isotype

IgG

Carrier free

Yes

Reacts with

Mouse, Rat, Human

Applications

Flow Cyt (Intra), WB, ICC/IF, IHC-P, IP

applications

Immunogen

The exact immunogen used to generate this antibody is proprietary information.

Reactivity data

{ "title": "Reactivity Data", "filters": { "stats": ["", "Species", "Dilution Info", "Notes"], "tabs": { "all-applications": {"fullname" : "All Applications", "shortname": "All Applications"}, "IP" : {"fullname" : "Immunoprecipitation", "shortname":"IP"}, "WB" : {"fullname" : "Western blot", "shortname":"WB"}, "ICCIF" : {"fullname" : "Immunocytochemistry/ Immunofluorescence", "shortname":"ICC/IF"}, "FlowCytIntra" : {"fullname" : "Flow Cytometry (Intracellular)", "shortname":"Flow Cyt (Intra)"}, "IHCP" : {"fullname" : "Immunohistochemistry (Formalin/PFA-fixed paraffin-embedded sections)", "shortname":"IHC-P"} }, "product-promise": { "all": "all", "testedAndGuaranteed": "tested", "guaranteed": "expected", "predicted": "predicted", "notRecommended": "not-recommended" } }, "values": { "Human": { "IP-species-checked": "testedAndGuaranteed", "IP-species-dilution-info": "", "IP-species-notes": "<p></p> Perform heat-mediated antigen retrieval with Tris/EDTA buffer pH 9.0 before commencing with IHC staining protocol.", "WB-species-checked": "testedAndGuaranteed", "WB-species-dilution-info": "", "WB-species-notes": "<p></p>", "ICCIF-species-checked": "guaranteed", "ICCIF-species-dilution-info": "", "ICCIF-species-notes": "", "FlowCytIntra-species-checked": "guaranteed", "FlowCytIntra-species-dilution-info": "", "FlowCytIntra-species-notes": "", "IHCP-species-checked": "testedAndGuaranteed", "IHCP-species-dilution-info": "", "IHCP-species-notes": "<p></p> Perform heat-mediated antigen retrieval with Tris/EDTA buffer pH 9.0 before commencing with IHC staining protocol." }, "Mouse": { "IP-species-checked": "guaranteed", "IP-species-dilution-info": "", "IP-species-notes": "", "WB-species-checked": "testedAndGuaranteed", "WB-species-dilution-info": "", "WB-species-notes": "<p></p>", "ICCIF-species-checked": "testedAndGuaranteed", "ICCIF-species-dilution-info": "", "ICCIF-species-notes": "<p></p>", "FlowCytIntra-species-checked": "testedAndGuaranteed", "FlowCytIntra-species-dilution-info": "", "FlowCytIntra-species-notes": "<p><a href='/en-us/products/primary-antibodies/rabbit-igg-monoclonal-epr25a-isotype-control-low-endotoxin-azide-free-ab199376'>ab199376</a> - Rabbit monoclonal IgG (Low endotoxin, Azide free), is suitable for use as an isotype control with this antibody.</p>", "IHCP-species-checked": "testedAndGuaranteed", "IHCP-species-dilution-info": "", "IHCP-species-notes": "<p></p> Perform heat-mediated antigen retrieval with Tris/EDTA buffer pH 9.0 before commencing with IHC staining protocol." }, "Rat": { "IP-species-checked": "guaranteed", "IP-species-dilution-info": "", "IP-species-notes": "", "WB-species-checked": "testedAndGuaranteed", "WB-species-dilution-info": "", "WB-species-notes": "<p></p>", "ICCIF-species-checked": "guaranteed", "ICCIF-species-dilution-info": "", "ICCIF-species-notes": "", "FlowCytIntra-species-checked": "guaranteed", "FlowCytIntra-species-dilution-info": "", "FlowCytIntra-species-notes": "", "IHCP-species-checked": "testedAndGuaranteed", "IHCP-species-dilution-info": "", "IHCP-species-notes": "<p></p> Perform heat-mediated antigen retrieval with Tris/EDTA buffer pH 9.0 before commencing with IHC staining protocol." } } }

Product details

ab231166 is the carrier-free version of ab195037.

Conjugation ready
Our carrier-free antibodies are typically supplied in a PBS-only formulation, purified and free of BSA, sodium azide and glycerol. This conjugation-ready format is designed for use with fluorochromes, metal isotopes, oligonucleotides, and enzymes, which makes them ideal for antibody labelling, functional and cell-based assays, flow-based assays (e.g. mass cytometry) and Multiplex Imaging applications.

Use our conjugation kits for antibody conjugates that are ready-to-use in as little as 20 minutes with 1 minute hands-on-time and 100% antibody recovery: available for fluorescent dyes, HRP, biotin and gold.

Compatibility
This product is compatible with the Maxpar® Antibody Labeling Kit from Fluidigm, without the need for antibody preparation. Maxpar® is a trademark of Fluidigm Canada Inc.

Properties and storage information

Form
Liquid
Purification technique
Affinity purification Protein A
Storage buffer
pH: 7.2 - 7.4 Constituents: PBS
Shipped at conditions
Blue Ice
Appropriate short-term storage conditions
+4°C
Appropriate long-term storage conditions
+4°C
Storage information
Do Not Freeze

Supplementary information

This supplementary information is collated from multiple sources and compiled automatically.

MEK3 also known as MAP2K3 is a kinase that plays a significant mechanical role within cells. It is part of the MAP kinase family sharing functions with enzymes like MEK6. MEK3 has a molecular mass of approximately 38 kDa and is localized in cytoplasmic regions of various cell types. This protein is expressed in a wide range of tissues indicating its diverse functional roles across different biological systems.
Biological function summary

MEK3 is involved in the phosphorylation cascade within the mitogen-activated protein kinase (MAPK) pathway. It often exists as part of a complex working alongside other kinases to activate p38 MAPK which then regulates gene expression. The involvement of MEK3 in this signaling cascade influences processes such as cellular stress response and inflammation. Its ability to modulate these processes makes MEK3 an important component in maintaining cellular homeostasis.

Pathways

MEK3 functions as an essential link within the stress-activated pathways like the MAPK signaling pathway. It phosphorylates and activates the p38 MAPK pathway therefore regulating activities related to cellular stress and inflammatory responses. MEK3 works in conjunction with related kinases such as MEK6 to propagate the MAPK signaling cascade further emphasizing its important role in these pathways.

MEK3 has a documented involvement in inflammatory conditions and cancer. Its role in activating the p38 MAPK pathway connects it to inflammatory diseases where dysregulated signaling may lead to excessive inflammation. Furthermore aberrant MEK3 activity is associated with certain cancers as it affects cell proliferation and survival. MEK3's interactions with other kinases like MEK6 underline its involvement in these pathological processes making it a potential target for therapeutic intervention.

Product protocols

For this product, it's our understanding that no specific protocols are required. You can visit:

Target data

Dual specificity kinase. Is activated by cytokines and environmental stress in vivo. Catalyzes the concomitant phosphorylation of a threonine and a tyrosine residue in the MAP kinase p38. Part of a signaling cascade that begins with the activation of the adrenergic receptor ADRA1B and leads to the activation of MAPK14.
See full target information MAP2K3

Product promise

We are committed to supporting your work with high-quality reagents, and we're here for you every step of the way. In the unlikely event that one of our products does not perform as expected, you're protected by our Product Promise.
For full details, please see our Terms & Conditions

Please note: All products are 'FOR RESEARCH USE ONLY. NOT FOR USE IN DIAGNOSTIC OR THERAPEUTIC PROCEDURES'.

For licensing inquiries, please contact partnerships@abcam.com