JavaScript is disabled in your browser. Please enable JavaScript to view this website.
AB251322

Anti-MEK3 + MEK6 antibody [EPR17340] - BSA and Azide free

Be the first to review this product! Submit a review

|

(0 Publication)

Rabbit Recombinant Monoclonal MP2K6 antibody. Carrier free. Suitable for ICC/IF, IP, WB, Flow Cyt (Intra), IHC-P and reacts with Human, Mouse, Rat, Recombinant fragment - Human samples.

View Alternative Names

MEK6, MKK6, PRKMK6, SKK3, MAP2K6, Dual specificity mitogen-activated protein kinase kinase 6, MAP kinase kinase 6, MAPKK 6, MAPK/ERK kinase 6, Stress-activated protein kinase kinase 3, MEK 6, SAPK kinase 3, SAPKK-3, SAPKK3

10 Images
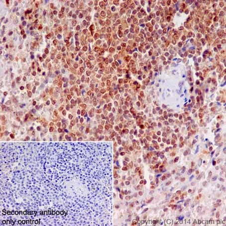
Immunohistochemistry (Formalin/PFA-fixed paraffin-embedded sections) - Anti-MEK3 + MEK6 antibody [EPR17340] - BSA and Azide free (AB251322)
  • IHC-P

Supplier Data

Immunohistochemistry (Formalin/PFA-fixed paraffin-embedded sections) - Anti-MEK3 + MEK6 antibody [EPR17340] - BSA and Azide free (AB251322)

This data was developed using ab200831, the same antibody clone in a different buffer formulation.

Immunohistochemical analysis of paraffin-embedded Human spleen tissue labeling MEK3 + MEK6 with ab200831 at 1/250 dilution followed by Goat Anti-Rabbit IgG H&L (HRP) (ab97051) at 1/500 dilution. Nuclear and cytoplasmic staining on Human spleen tissue is observed. Counter stained with Hematoxylin.

Secondary antibody only control : Used PBS instead of primary antibody, secondary antibody is Goat Anti-Rabbit IgG H&L (HRP) (ab97051) at 1/500 dilution.

Perform heat mediated antigen retrieval with Tris/EDTA buffer pH 9.0 before commencing with IHC staining protocol.

Immunocytochemistry/ Immunofluorescence - Anti-MEK3 + MEK6 antibody [EPR17340] - BSA and Azide free (AB251322)
  • ICC/IF

Lab

Immunocytochemistry/ Immunofluorescence - Anti-MEK3 + MEK6 antibody [EPR17340] - BSA and Azide free (AB251322)

This data was developed using ab200831, the same antibody clone in a different buffer formulation.

Immunocytochemistry analysis of 4% paraformaldehyde-fixed, 0.1% Triton X-100 permeabilized HepG2 (human hepatocellular carcinoma) cells labeling MEK3 + MEK6 with ab200831 at 1/1000 dilution, followed by Goat anti-rabbit IgG (Alexa Fluor® 488) (ab150077) secondary antibody at 1/500 dilution (green). Nuclear and cytoplasmic staining on HepG2 cell line is observed. The nuclear counterstain is DAPI (blue). Tubulin is detected with ab7291 (anti-Tubulin mouse mAb) at 1/1000 dilution and ab150120 (AlexaFluor®594 Goat anti-Mouse secondary) at 1/500 dilution (red).
The negative controls are as follows : -
-ve control 1 : ab200831 at 1/1000 dilution followed by ab150120 (AlexaFluor®594 Goat anti-Mouse secondary) at 1/500 dilution.
-ve control 2 : ab7291 (anti-Tubulin mouse mAb) at 1/1000 dilution followed by ab150077 (Alexa Fluor®488 Goat Anti-Rabbit IgG H&L) at 1/500 dilution.

Flow Cytometry (Intracellular) - Anti-MEK3 + MEK6 antibody [EPR17340] - BSA and Azide free (AB251322)
  • Flow Cyt (Intra)

Lab

Flow Cytometry (Intracellular) - Anti-MEK3 + MEK6 antibody [EPR17340] - BSA and Azide free (AB251322)

This data was developed using ab200831, the same antibody clone in a different buffer formulation.

Intracellular Flow Cytometry analysis of HeLa cells labelling MEK3 + MEK6 (red) with purified ab200831 at dilution of 1/150. The secondary antibody used was Alexa Fluor® 488 goat-anti-rabbit IgG (1/2000). Cells were fixed with 4% paraformaldehyde and permeabilised with 90% methanol. Isotype control antibody was Rabbit monoclonal IgG (black). The blue line shows cells without incubation with primary antibody and secondary antibody.

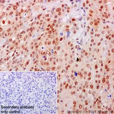
Immunohistochemistry (Formalin/PFA-fixed paraffin-embedded sections) - Anti-MEK3 + MEK6 antibody [EPR17340] - BSA and Azide free (AB251322)
  • IHC-P

Supplier Data

Immunohistochemistry (Formalin/PFA-fixed paraffin-embedded sections) - Anti-MEK3 + MEK6 antibody [EPR17340] - BSA and Azide free (AB251322)

This data was developed using ab200831, the same antibody clone in a different buffer formulation.

Immunohistochemical analysis of paraffin-embedded Human cervix carcinoma tissue labeling MEK3 + MEK6 with ab200831 at 1/250 dilution followed by Goat Anti-Rabbit IgG H&L (HRP) (ab97051) at 1/500 dilution. Nuclear and cytoplasmic staining on Human cervix carcinoma tissue is observed. Counter stained with Hematoxylin.

Secondary antibody only control : Used PBS instead of primary antibody, secondary antibody is Goat Anti-Rabbit IgG H&L (HRP) (ab97051) at 1/500 dilution.

Perform heat mediated antigen retrieval with Tris/EDTA buffer pH 9.0 before commencing with IHC staining protocol.

Immunoprecipitation - Anti-MEK3 + MEK6 antibody [EPR17340] - BSA and Azide free (AB251322)
  • IP

Supplier Data

Immunoprecipitation - Anti-MEK3 + MEK6 antibody [EPR17340] - BSA and Azide free (AB251322)

This data was developed using ab200831, the same antibody clone in a different buffer formulation.

MEK3 + MEK6 was immunoprecipitated from 1mg of HeLa (Human epithelial cells from cervix adenocarcinoma) whole cell lysate with ab200831 at 1/100 dilution. Western blot was performed from the immunoprecipitate using ab200831 at 1/1000 dilution. Anti-Rabbit IgG (HRP), specific to the non-reduced form of IgG, was used as secondary antibody at 1/1500 dilution.

Lane 1 : HeLa whole cell lysate 10ug (Input). Lane 2 : ab200831 IP in HeLa whole cell lysate. Lane 3 : Rabbit monoclonal IgG (ab172730) instead of ab200831 in Jurkat whole cell lysate.
Blocking and dilution buffer and concentration : 5% NFDM/TBST.

Exposure time : 30 seconds.

All lanes:

Immunoprecipitation - Anti-MEK3 + MEK6 antibody [EPR17340] (<a href='/en-us/products/primary-antibodies/mek3-mek6-antibody-epr17340-ab200831'>ab200831</a>)

Predicted band size: 39 kDa

false

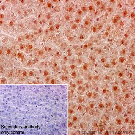
Immunohistochemistry (Formalin/PFA-fixed paraffin-embedded sections) - Anti-MEK3 + MEK6 antibody [EPR17340] - BSA and Azide free (AB251322)
  • IHC-P

Supplier Data

Immunohistochemistry (Formalin/PFA-fixed paraffin-embedded sections) - Anti-MEK3 + MEK6 antibody [EPR17340] - BSA and Azide free (AB251322)

This data was developed using ab200831, the same antibody clone in a different buffer formulation.

Immunohistochemical analysis of paraffin-embedded Mouse liver tissue labeling MEK3 + MEK6 with ab200831 at 1/250 dilution followed by Goat Anti-Rabbit IgG H&L (HRP) (ab97051) at 1/500 dilution. Nuclear and cytoplasmic staining on Mouse liver tissue is observed. Counter stained with Hematoxylin.

Secondary antibody only control : Used PBS instead of primary antibody, secondary antibody is Goat Anti-Rabbit IgG H&L (HRP) (ab97051) at 1/500 dilution.

Perform heat mediated antigen retrieval with Tris/EDTA buffer pH 9.0 before commencing with IHC staining protocol.

Western blot - Anti-MEK3 + MEK6 antibody [EPR17340] - BSA and Azide free (AB251322)
  • WB

Supplier Data

Western blot - Anti-MEK3 + MEK6 antibody [EPR17340] - BSA and Azide free (AB251322)

This data was developed using ab200831, the same antibody clone in a different buffer formulation.

Blocking and dilution buffer : 5% NFDM/TBST.

All lanes:

Western blot - Anti-MEK3 + MEK6 antibody [EPR17340] (<a href='/en-us/products/primary-antibodies/mek3-mek6-antibody-epr17340-ab200831'>ab200831</a>) at 1/1000 dilution

Lane 1:

HeLa (Human epithelial cells from cervix adenocarcinoma) whole cell lysate at 20 µg

Lane 2:

HepG2 (Human liver hepatocellular carcinoma) whole cell lysate at 20 µg

Lane 3:

Jurkat (Human T cell leukemia cells from peripheral blood) whole cell lysate at 20 µg

Lane 4:

MCF7 (Human breast adenocarcinoma cell line) whole cell lysate at 20 µg

Secondary

All lanes:

Goat Anti-Rabbit IgG, (H+L), Peroxidase conjugated at 1/1000 dilution

Predicted band size: 39 kDa

Observed band size: 34 kDa,37 kDa,39 kDa

false

Exposure time: 15s

Western blot - Anti-MEK3 + MEK6 antibody [EPR17340] - BSA and Azide free (AB251322)
  • WB

Supplier Data

Western blot - Anti-MEK3 + MEK6 antibody [EPR17340] - BSA and Azide free (AB251322)

This data was developed using ab200831, the same antibody clone in a different buffer formulation.

Blocking and dilution buffer : 5% NFDM/TBST.

All lanes:

Western blot - Anti-MEK3 + MEK6 antibody [EPR17340] (<a href='/en-us/products/primary-antibodies/mek3-mek6-antibody-epr17340-ab200831'>ab200831</a>) at 1/10000 dilution

All lanes:

Human fetal liver tissue lysate at 10 µg

Secondary

All lanes:

Anti-Rabbit IgG (HRP), specific to the non-reduced form of IgG at 1/1000 dilution

Predicted band size: 39 kDa

Observed band size: 34 kDa,37 kDa,39 kDa

false

Exposure time: 1min

Western blot - Anti-MEK3 + MEK6 antibody [EPR17340] - BSA and Azide free (AB251322)
  • WB

Supplier Data

Western blot - Anti-MEK3 + MEK6 antibody [EPR17340] - BSA and Azide free (AB251322)

This data was developed using ab200831, the same antibody clone in a different buffer formulation.

Blocking and dilution buffer : 5% NFDM/TBST.

Recombinant fragment of Human MEK6 protein contains aa139-334 with His-Tag®(22kDa).

All lanes:

Western blot - Anti-MEK3 + MEK6 antibody [EPR17340] (<a href='/en-us/products/primary-antibodies/mek3-mek6-antibody-epr17340-ab200831'>ab200831</a>) at 1/10000 dilution

All lanes:

Human MEK6 recombinant protein fragment at 10 µg

Predicted band size: 39 kDa

false

Exposure time: 15s

Western blot - Anti-MEK3 + MEK6 antibody [EPR17340] - BSA and Azide free (AB251322)
  • WB

Supplier Data

Western blot - Anti-MEK3 + MEK6 antibody [EPR17340] - BSA and Azide free (AB251322)

This data was developed using ab200831, the same antibody clone in a different buffer formulation.

Blocking and dilution buffer : 5% NFDM/TBST.

All lanes:

Western blot - Anti-MEK3 + MEK6 antibody [EPR17340] (<a href='/en-us/products/primary-antibodies/mek3-mek6-antibody-epr17340-ab200831'>ab200831</a>) at 1/1000 dilution

Lane 1:

Mouse spleen lysate at 10 µg

Lane 2:

Rat spleen lysate at 10 µg

Lane 3:

C6 (Rat glial tumor cells) whole cell lysate

Lane 4:

RAW 264.7 (Mouse macrophage cells transformed with Abelson murine leukemia virus) whole cell lysate

Lane 5:

PC-12 (Rat adrenal gland pheochromocytoma) whole cell lysate

Lane 6:

NIH/3T3 (Mouse embyro fibroblast cells) whole cell lysate

Secondary

All lanes:

Goat Anti-Rabbit IgG, (H+L), Peroxidase conjugated at 1/1000 dilution

Predicted band size: 39 kDa

Observed band size: 34 kDa,37 kDa,39 kDa

false

Exposure time: 30s

  • Unconjugated

    Anti-MEK3 + MEK6 antibody [EPR17340]

  • Carrier free

    Anti-MEK3 + MEK6 antibody [EPR17340] - BSA and Azide free (Capture)

Key facts

Host species

Rabbit

Clonality

Monoclonal

Clone number

EPR17340

Isotype

IgG

Carrier free

Yes

Reacts with

Mouse, Rat, Human

Applications

IP, Flow Cyt (Intra), ICC/IF, IHC-P, WB

applications

Immunogen

The exact immunogen used to generate this antibody is proprietary information.

Reactivity data

{ "title": "Reactivity Data", "filters": { "stats": ["", "Species", "Dilution Info", "Notes"], "tabs": { "all-applications": {"fullname" : "All Applications", "shortname": "All Applications"}, "ICCIF" : {"fullname" : "Immunocytochemistry/ Immunofluorescence", "shortname":"ICC/IF"}, "IP" : {"fullname" : "Immunoprecipitation", "shortname":"IP"}, "WB" : {"fullname" : "Western blot", "shortname":"WB"}, "FlowCytIntra" : {"fullname" : "Flow Cytometry (Intracellular)", "shortname":"Flow Cyt (Intra)"}, "IHCP" : {"fullname" : "Immunohistochemistry (Formalin/PFA-fixed paraffin-embedded sections)", "shortname":"IHC-P"} }, "product-promise": { "all": "all", "testedAndGuaranteed": "tested", "guaranteed": "expected", "predicted": "predicted", "notRecommended": "not-recommended" } }, "values": { "Human": { "ICCIF-species-checked": "testedAndGuaranteed", "ICCIF-species-dilution-info": "", "ICCIF-species-notes": "<p></p>", "IP-species-checked": "testedAndGuaranteed", "IP-species-dilution-info": "", "IP-species-notes": "<p></p>", "WB-species-checked": "guaranteed", "WB-species-dilution-info": "", "WB-species-notes": "", "FlowCytIntra-species-checked": "testedAndGuaranteed", "FlowCytIntra-species-dilution-info": "", "FlowCytIntra-species-notes": "<p></p>", "IHCP-species-checked": "guaranteed", "IHCP-species-dilution-info": "", "IHCP-species-notes": "" }, "Mouse": { "ICCIF-species-checked": "guaranteed", "ICCIF-species-dilution-info": "", "ICCIF-species-notes": "", "IP-species-checked": "guaranteed", "IP-species-dilution-info": "", "IP-species-notes": "", "WB-species-checked": "testedAndGuaranteed", "WB-species-dilution-info": "", "WB-species-notes": "<p></p>", "FlowCytIntra-species-checked": "guaranteed", "FlowCytIntra-species-dilution-info": "", "FlowCytIntra-species-notes": "", "IHCP-species-checked": "testedAndGuaranteed", "IHCP-species-dilution-info": "", "IHCP-species-notes": "<p></p> Perform heat-mediated antigen retrieval with Tris/EDTA buffer pH 9.0 before commencing with IHC staining protocol." }, "Rat": { "ICCIF-species-checked": "guaranteed", "ICCIF-species-dilution-info": "", "ICCIF-species-notes": "", "IP-species-checked": "guaranteed", "IP-species-dilution-info": "", "IP-species-notes": "", "WB-species-checked": "testedAndGuaranteed", "WB-species-dilution-info": "", "WB-species-notes": "<p></p>", "FlowCytIntra-species-checked": "guaranteed", "FlowCytIntra-species-dilution-info": "", "FlowCytIntra-species-notes": "", "IHCP-species-checked": "guaranteed", "IHCP-species-dilution-info": "", "IHCP-species-notes": "" }, "Recombinant fragment - Human": { "ICCIF-species-checked": "notRecommended", "ICCIF-species-dilution-info": "", "ICCIF-species-notes": "", "IP-species-checked": "notRecommended", "IP-species-dilution-info": "", "IP-species-notes": "", "WB-species-checked": "testedAndGuaranteed", "WB-species-dilution-info": "", "WB-species-notes": "<p></p>", "FlowCytIntra-species-checked": "notRecommended", "FlowCytIntra-species-dilution-info": "", "FlowCytIntra-species-notes": "", "IHCP-species-checked": "notRecommended", "IHCP-species-dilution-info": "", "IHCP-species-notes": "" } } }

Product details

ab251322 is the carrier-free version of ab200831.

Patented technology
Our RabMAb® technology is a patented hybridoma-based technology for making rabbit monoclonal antibodies. For details on our patents, please refer to RabMAb® patents.

What are the advantages of a recombinant monoclonal antibody?
This product is a recombinant monoclonal antibody, which offers several advantages including:

  • - High batch-to-batch consistency and reproducibility
  • - Improved sensitivity and specificity
  • - Long-term security of supply
  • - Animal-free batch production

For more information, read more on recombinant antibodies.

Conjugation ready
Our carrier-free antibodies are typically supplied in a PBS-only formulation, purified and free of BSA, sodium azide and glycerol. This conjugation-ready format is designed for use with fluorochromes, metal isotopes, oligonucleotides, and enzymes, which makes them ideal for antibody labelling, functional and cell-based assays, flow-based assays (e.g. mass cytometry) and Multiplex Imaging applications.

Use our conjugation kits for antibody conjugates that are ready-to-use in as little as 20 minutes with 1 minute hands-on-time and 100% antibody recovery: available for fluorescent dyes, HRP, biotin and gold.

Compatibility
This product is compatible with the Maxpar® Antibody Labeling Kit from Fluidigm, without the need for antibody preparation. Maxpar® is a trademark of Fluidigm Canada Inc.

Properties and storage information

Form
Liquid
Purification technique
Affinity purification Protein A
Storage buffer
pH: 7.2 - 7.4 Constituents: PBS
Shipped at conditions
Blue Ice
Appropriate short-term storage conditions
+4°C
Appropriate long-term storage conditions
+4°C
Storage information
Do Not Freeze

Supplementary information

This supplementary information is collated from multiple sources and compiled automatically.

MEK3 and MEK6 also known as MAP2K3 and MAP2K6 are dual-specificity protein kinases. MEK3 has a mass of approximately 39 kDa while MEK6 is around 37 kDa. They are both part of the MAP kinase family and mainly expressed in tissues like the skeletal muscle liver and heart. These kinases play a role in phosphorylating and activating p38 MAP kinases which are important for intracellular signaling.
Biological function summary

MEK3 and MEK6 are key components of the MAP kinase signaling pathway. These kinases participate in response networks that regulate stress-induced signaling and inflammatory responses. Although not explicitly forming a classic complex they interact with substrates like p38 MAPK to exert their effects. MEK3 and MEK6 contribute to cellular processes including differentiation apoptosis and gene expression.

Pathways

MEK3 and MEK6 are integral to the p38 MAPK pathway and the stress-activated protein kinase (SAPK) pathways. These pathways facilitate the cellular response to external stress hypoxia and inflammatory cytokines. Their activity is closely related to other MAP kinases like JNK in propagating signals that control cellular stress responses. Their activation mechanism involves sequential phosphorylation events that link initial stimuli to specific cellular reactions.

MEK3 and MEK6 are implicated in inflammatory diseases and certain types of cancer. For instance abnormal activity of these kinases is observed in rheumatoid arthritis due to their role in inflammation and cellular differentiation. They also have links to cancers like melanoma through their regulation of apoptosis and cell proliferation. The dysregulation of their network with p38 MAPK and JNK can contribute to the pathology of these conditions making them potential targets for therapeutic interventions.

Product protocols

For this product, it's our understanding that no specific protocols are required. You can visit:

Target data

Dual specificity protein kinase which acts as an essential component of the MAP kinase signal transduction pathway. With MAP3K3/MKK3, catalyzes the concomitant phosphorylation of a threonine and a tyrosine residue in the MAP kinases p38 MAPK11, MAPK12, MAPK13 and MAPK14 and plays an important role in the regulation of cellular responses to cytokines and all kinds of stresses. Especially, MAP2K3/MKK3 and MAP2K6/MKK6 are both essential for the activation of MAPK11 and MAPK13 induced by environmental stress, whereas MAP2K6/MKK6 is the major MAPK11 activator in response to TNF. MAP2K6/MKK6 also phosphorylates and activates PAK6. The p38 MAP kinase signal transduction pathway leads to direct activation of transcription factors. Nuclear targets of p38 MAP kinase include the transcription factors ATF2 and ELK1. Within the p38 MAPK signal transduction pathway, MAP3K6/MKK6 mediates phosphorylation of STAT4 through MAPK14 activation, and is therefore required for STAT4 activation and STAT4-regulated gene expression in response to IL-12 stimulation. The pathway is also crucial for IL-6-induced SOCS3 expression and down-regulation of IL-6-mediated gene induction; and for IFNG-dependent gene transcription. Has a role in osteoclast differentiation through NF-kappa-B transactivation by TNFSF11, and in endochondral ossification and since SOX9 is another likely downstream target of the p38 MAPK pathway. MAP2K6/MKK6 mediates apoptotic cell death in thymocytes. Acts also as a regulator for melanocytes dendricity, through the modulation of Rho family GTPases.
See full target information MAP2K6

Additional targets

MAP2K3

Product promise

We are committed to supporting your work with high-quality reagents, and we're here for you every step of the way. In the unlikely event that one of our products does not perform as expected, you're protected by our Product Promise.
For full details, please see our Terms & Conditions

Please note: All products are 'FOR RESEARCH USE ONLY. NOT FOR USE IN DIAGNOSTIC OR THERAPEUTIC PROCEDURES'.

For licensing inquiries, please contact partnerships@abcam.com