JavaScript is disabled in your browser. Please enable JavaScript to view this website.
AB131283

Anti-MEK3 (phospho S189) antibody

Be the first to review this product! Submit a review

|

(2 Publications)

Rabbit Polyclonal MEK3 phospho S189 antibody. Suitable for WB, IHC-P, ICC/IF and reacts with Human samples. Cited in 2 publications. Immunogen corresponding to Synthetic Peptide within Human MAP2K3 phospho S189 conjugated to Keyhole Limpet Haemocyanin.

View Alternative Names

MEK3, MKK3, PRKMK3, SKK2, MAP2K3, Dual specificity mitogen-activated protein kinase kinase 3, MAP kinase kinase 3, MAPKK 3, MAPK/ERK kinase 3, Stress-activated protein kinase kinase 2, MEK 3, SAPK kinase 2, SAPKK-2, SAPKK2

3 Images
Immunocytochemistry/ Immunofluorescence - Anti-MEK3 (phospho S189) antibody (AB131283)
  • ICC/IF

Unknown

Immunocytochemistry/ Immunofluorescence - Anti-MEK3 (phospho S189) antibody (AB131283)

Immunofluorescence analysis of methanol-fixed HeLa cells labelling MEK3 (phospho S189) with ab131283 at 1/100 dilution.

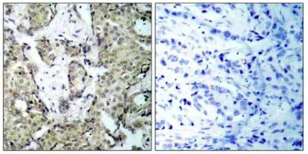
Immunohistochemistry (Formalin/PFA-fixed paraffin-embedded sections) - Anti-MEK3 (phospho S189) antibody (AB131283)
  • IHC-P

Unknown

Immunohistochemistry (Formalin/PFA-fixed paraffin-embedded sections) - Anti-MEK3 (phospho S189) antibody (AB131283)

Immunohistochemical analysis of paraffin-embedded Human breast carcinoma tissue labelling MEK3 (phospho S189) with ab131283 at 1/50 dilution. Right panel was preincubated with blocking peptide.

Western blot - Anti-MEK3 (phospho S189) antibody (AB131283)
  • WB

Unknown

Western blot - Anti-MEK3 (phospho S189) antibody (AB131283)

All lanes:

Western blot - Anti-MEK3 (phospho S189) antibody (ab131283) at 1/500 dilution

Lane 1:

HeLa cell extract untreated

Lane 2:

HeLa cell extract treated with PMA

Predicted band size: 39 kDa,53 kDa,81 kDa

Observed band size: 120 kDa,40 kDa,53 kDa

false

Key facts

Host species

Rabbit

Clonality

Polyclonal

Isotype

IgG

Carrier free

No

Reacts with

Human

Applications

WB, ICC/IF, IHC-P

applications

Immunogen

Synthetic Peptide within Human MAP2K3 phospho S189 conjugated to Keyhole Limpet Haemocyanin. The exact immunogen used to generate this antibody is proprietary information.

P46734

Reactivity data

{ "title": "Reactivity Data", "filters": { "stats": ["", "Species", "Dilution Info", "Notes"], "tabs": { "all-applications": {"fullname" : "All Applications", "shortname": "All Applications"}, "WB" : {"fullname" : "Western blot", "shortname":"WB"}, "IHCP" : {"fullname" : "Immunohistochemistry (Formalin/PFA-fixed paraffin-embedded sections)", "shortname":"IHC-P"}, "ICCIF" : {"fullname" : "Immunocytochemistry/ Immunofluorescence", "shortname":"ICC/IF"} }, "product-promise": { "all": "all", "testedAndGuaranteed": "tested", "guaranteed": "expected", "predicted": "predicted", "notRecommended": "not-recommended" } }, "values": { "Human": { "WB-species-checked": "testedAndGuaranteed", "WB-species-dilution-info": "1/500 - 1/1000", "WB-species-notes": "<p></p>", "IHCP-species-checked": "testedAndGuaranteed", "IHCP-species-dilution-info": "1/50 - 1/100", "IHCP-species-notes": "<p></p>", "ICCIF-species-checked": "testedAndGuaranteed", "ICCIF-species-dilution-info": "1/100 - 1/200", "ICCIF-species-notes": "<p></p>" }, "Mouse": { "WB-species-checked": "predicted", "WB-species-dilution-info": "", "WB-species-notes": "", "IHCP-species-checked": "predicted", "IHCP-species-dilution-info": "", "IHCP-species-notes": "", "ICCIF-species-checked": "predicted", "ICCIF-species-dilution-info": "", "ICCIF-species-notes": "" } } }

Properties and storage information

Form
Liquid
Purification technique
Affinity purification Immunogen
Purification notes
ab131283 was purified by affinity-chromatography using epitope-specific phosphopeptide. Non-phospho specific antibodies were removed by chromatography using non-phosphopeptide.
Storage buffer
pH: 7.4 Preservative: 0.02% Sodium azide Constituents: PBS, 50% Glycerol (glycerin, glycerine), 0.88% Sodium chloride
Shipped at conditions
Blue Ice
Appropriate short-term storage conditions
+4°C
Appropriate long-term storage conditions
-20°C
Storage information
Stable for 12 months at -20°C

Supplementary information

This supplementary information is collated from multiple sources and compiled automatically.

MEK3 also known as MAP2K3 is a kinase that plays a significant mechanical role within cells. It is part of the MAP kinase family sharing functions with enzymes like MEK6. MEK3 has a molecular mass of approximately 38 kDa and is localized in cytoplasmic regions of various cell types. This protein is expressed in a wide range of tissues indicating its diverse functional roles across different biological systems.
Biological function summary

MEK3 is involved in the phosphorylation cascade within the mitogen-activated protein kinase (MAPK) pathway. It often exists as part of a complex working alongside other kinases to activate p38 MAPK which then regulates gene expression. The involvement of MEK3 in this signaling cascade influences processes such as cellular stress response and inflammation. Its ability to modulate these processes makes MEK3 an important component in maintaining cellular homeostasis.

Pathways

MEK3 functions as an essential link within the stress-activated pathways like the MAPK signaling pathway. It phosphorylates and activates the p38 MAPK pathway therefore regulating activities related to cellular stress and inflammatory responses. MEK3 works in conjunction with related kinases such as MEK6 to propagate the MAPK signaling cascade further emphasizing its important role in these pathways.

MEK3 has a documented involvement in inflammatory conditions and cancer. Its role in activating the p38 MAPK pathway connects it to inflammatory diseases where dysregulated signaling may lead to excessive inflammation. Furthermore aberrant MEK3 activity is associated with certain cancers as it affects cell proliferation and survival. MEK3's interactions with other kinases like MEK6 underline its involvement in these pathological processes making it a potential target for therapeutic intervention.

Product protocols

For this product, it's our understanding that no specific protocols are required. You can visit:

Target data

Dual specificity kinase. Is activated by cytokines and environmental stress in vivo. Catalyzes the concomitant phosphorylation of a threonine and a tyrosine residue in the MAP kinase p38. Part of a signaling cascade that begins with the activation of the adrenergic receptor ADRA1B and leads to the activation of MAPK14.
See full target information MAP2K3 phospho S189

Publications (2)

Recent publications for all applications. Explore the full list and refine your search

Oxidative medicine and cellular longevity 2022:6934812 PubMed35178159

2022

Serum Pharmacochemistry Combining Network Pharmacology to Discover the Active Constituents and Effect of Xijiao Dihuang Tang Prescription for Treatment of Blood-Heat and Blood-Stasis Syndrome-Related Disease.

Applications

Unspecified application

Species

Unspecified reactive species

Yuxin Chen,Yang Dai,Jie Xia,Jing Liu,Guisheng Zhou,Cuihua Chen,Baoping Jiang,Lian Yin,Guochun Li

The Journal of biological chemistry 292:16161-16173 PubMed28739872

2017

Redox-dependent dimerization of p38α mitogen-activated protein kinase with mitogen-activated protein kinase kinase 3.

Applications

Unspecified application

Species

Unspecified reactive species

Rekha Bassi,Joseph R Burgoyne,Gian F DeNicola,Olena Rudyk,Vittorio DeSantis,Rebecca L Charles,Philip Eaton,Michael S Marber
View all publications

Product promise

We are committed to supporting your work with high-quality reagents, and we're here for you every step of the way. In the unlikely event that one of our products does not perform as expected, you're protected by our Product Promise.
For full details, please see our Terms & Conditions

Please note: All products are 'FOR RESEARCH USE ONLY. NOT FOR USE IN DIAGNOSTIC OR THERAPEUTIC PROCEDURES'.

For licensing inquiries, please contact partnerships@abcam.com