JavaScript is disabled in your browser. Please enable JavaScript to view this website.
AB33912

Anti-MEK4/MKK4 antibody [EP615Y]

3

(1 Review)

|

(13 Publications)

Rabbit Recombinant Monoclonal MEK4/MKK4 phospho S257 antibody. Suitable for WB and reacts with Mouse, Rat, Human samples. Cited in 13 publications.

View Alternative Names

JNKK1, MEK4, MKK4, PRKMK4, SEK1, SERK1, SKK1, MAP2K4, Dual specificity mitogen-activated protein kinase kinase 4, MAP kinase kinase 4, MAPKK 4, JNK-activating kinase 1, MAPK/ERK kinase 4, SAPK/ERK kinase 1, Stress-activated protein kinase kinase 1, c-Jun N-terminal kinase kinase 1, MEK 4, SAPK kinase 1, SAPKK-1, SAPKK1, JNKK

3 Images
Western blot - Anti-MEK4/MKK4 antibody [EP615Y] (AB33912)
  • WB

Unknown

Western blot - Anti-MEK4/MKK4 antibody [EP615Y] (AB33912)

Blocking buffer : 5% NFDM/TBST

All lanes:

Western blot - Anti-MEK4/MKK4 antibody [EP615Y] (ab33912) at 1/1000 dilution

All lanes:

Rat brain lysate at 15 µg

Secondary

All lanes:

Western blot - Goat Anti-Rabbit IgG H&L (HRP) (<a href='/en-us/products/secondary-antibodies/goat-rabbit-igg-h-l-hrp-ab97051'>ab97051</a>) at 1/20000 dilution

Predicted band size: 44 kDa

Observed band size: 44 kDa

false

Western blot - Anti-MEK4/MKK4 antibody [EP615Y] (AB33912)
  • WB

Supplier Data

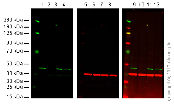
Western blot - Anti-MEK4/MKK4 antibody [EP615Y] (AB33912)

Lanes 1, 5 and 9 : Wild-type HAP1 cell lysate (20 μg)
Lanes 2, 6 and 10 : MEK4 knockout HAP1 cell lysate (20 μg)
Lanes 3, 7 and 11 : HeLa cell lysate (20 μg)
Lanes 4, 8 and 12 : A431 cell lysate (20 μg)
Lanes 1, 2, 3 and 4 : Green signal from target - ab33912 observed at 44 kDa
Lanes 5, 6, 7 and 8 : Red signal from loading control - ab8245 observed at 37 kDa
Lanes 9, 10, 11 and 12 : Merged (red and green) signal

ab33912 was shown to specifically react with MEK4 when MEK4 knockout samples were used. Wild-type and MEK4 knockout samples were subjected to SDS-PAGE. ab33912 and ab8245 (loading control to GAPDH) were diluted 1/1000 and 1/2000 respectively and incubated overnight at 4°C. Blots were developed with Goat anti-Rabbit IgG H&L (IRDye® 800CW) preadsorbed (ab216773) and Goat anti-Mouse IgG H&L (IRDye® 680RD) preadsorbed (ab216776) secondary antibodies at 1/10 000 dilution for 1 h at room temperature before imaging.

All lanes:

Western blot - Anti-MEK4/MKK4 antibody [EP615Y] (ab33912)

Predicted band size: 44 kDa

false

Western blot - Anti-MEK4/MKK4 antibody [EP615Y] (AB33912)
  • WB

Unknown

Western blot - Anti-MEK4/MKK4 antibody [EP615Y] (AB33912)

Blocking buffer : 5% NFDM/TBST

All lanes:

Western blot - Anti-MEK4/MKK4 antibody [EP615Y] (ab33912) at 1/4000 dilution

Lane 1:

NIH/3T3 (Mouse embryonic fibroblast) whole cell lysate at 15 µg

Lane 2:

HeLa (Human cervix adenocarcinoma epithelial cell) whole cell lysate at 15 µg

Secondary

All lanes:

Western blot - Goat Anti-Rabbit IgG H&L (HRP) (<a href='/en-us/products/secondary-antibodies/goat-rabbit-igg-h-l-hrp-ab97051'>ab97051</a>) at 1/20000 dilution

Predicted band size: 44 kDa

Observed band size: 44 kDa

false

  • Carrier free

    Anti-MEK4/MKK4 antibody [EP615Y] - BSA and Azide free

Key facts

Host species

Rabbit

Clonality

Monoclonal

Clone number

EP615Y

Isotype

IgG

Carrier free

No

Reacts with

Mouse, Rat, Human

Applications

WB

applications

Immunogen

The exact immunogen used to generate this antibody is proprietary information.

Reactivity data

{ "title": "Reactivity Data", "filters": { "stats": ["", "Species", "Dilution Info", "Notes"], "tabs": { "all-applications": {"fullname" : "All Applications", "shortname": "All Applications"}, "ICCIF" : {"fullname" : "Immunocytochemistry/ Immunofluorescence", "shortname":"ICC/IF"}, "WB" : {"fullname" : "Western blot", "shortname":"WB"} }, "product-promise": { "all": "all", "testedAndGuaranteed": "tested", "guaranteed": "expected", "predicted": "predicted", "notRecommended": "not-recommended" } }, "values": { "Human": { "ICCIF-species-checked": "notRecommended", "ICCIF-species-dilution-info": "", "ICCIF-species-notes": "<p></p>", "WB-species-checked": "testedAndGuaranteed", "WB-species-dilution-info": "1/1000", "WB-species-notes": "<p></p>" }, "Mouse": { "ICCIF-species-checked": "notRecommended", "ICCIF-species-dilution-info": "", "ICCIF-species-notes": "<p></p>", "WB-species-checked": "testedAndGuaranteed", "WB-species-dilution-info": "1/1000", "WB-species-notes": "<p></p>" }, "Rat": { "ICCIF-species-checked": "notRecommended", "ICCIF-species-dilution-info": "", "ICCIF-species-notes": "<p></p>", "WB-species-checked": "testedAndGuaranteed", "WB-species-dilution-info": "1/1000", "WB-species-notes": "<p></p>" } } }

Product details

Patented technology
Our RabMAb® technology is a patented hybridoma-based technology for making rabbit monoclonal antibodies. For details on our patents, please refer to RabMAb® patents.

What are the advantages of a recombinant monoclonal antibody?
This product is a recombinant monoclonal antibody, which offers several advantages including:

  • - High batch-to-batch consistency and reproducibility
  • - Improved sensitivity and specificity
  • - Long-term security of supply
  • - Animal-free batch production

For more information, read more on recombinant antibodies.

Properties and storage information

Form
Liquid
Purification technique
Affinity purification Protein A
Purification notes
ab33912 is a purified IgG.
Storage buffer
pH: 7.2 - 7.4 Preservative: 0.01% Sodium azide Constituents: PBS, 40% Glycerol (glycerin, glycerine), 0.05% BSA
Shipped at conditions
Blue Ice
Appropriate short-term storage duration
1-2 weeks
Appropriate short-term storage conditions
+4°C
Appropriate long-term storage conditions
-20°C
Aliquoting information
Upon delivery aliquot
Storage information
Avoid freeze / thaw cycle

Supplementary information

This supplementary information is collated from multiple sources and compiled automatically.

MEK4 also known as MKK4 is a protein kinase with a molecular weight of approximately 43 kDa. It functions as a dual-specificity kinase that phosphorylates and activates other kinases in cellular signaling pathways. MEK4 appears in various tissues including heart brain and skeletal muscle. It acts as an essential component in transmitting extracellular signals to downstream effectors and is involved in critical cellular processes like proliferation differentiation and apoptosis.
Biological function summary

MEK4 acts as an upstream kinase in the MAPK signaling cascade. Through its role in this pathway it is part of a larger signaling complex. MEK4 specifically activates JUN N-terminal kinase (JNK) by phosphorylation. JNK further regulates gene expression by influencing transcription factors impacting cellular responses. This makes MEK4 a pivotal element in facilitating messenger roles that allow cells to adapt to changing environments such as stress responses and immune reactions.

Pathways

MEK4 plays significant roles in the MAPK and stress-activated protein kinase (SAPK) pathways. In the MAPK pathway MEK4 phosphorylates JNK thereby influencing cellular responses to environmental changes. Within the SAPK pathway MEK4 interacts with other kinases such as MKK7 to modulate cellular responses further. The flow of signals through these pathways affects cell fate cell cycle regulation and programmed cell death demonstrating its comprehensive influence on cell physiology.

MEK4 shows involvement in cancer progression and neurodegenerative diseases. Abnormal activation of MEK4 can contribute to tumor growth and metastasis in cancers such as prostate and ovarian cancer by enhancing JNK signaling. In neurodegenerative disorders deregulation of MEK4-related pathways might lead to neuronal damage or apoptosis. Proteins like JNK and other MAP kinases become dysregulated in these conditions illustrating the interconnected role of MEK4 in disease mechanisms. Phospho flow cytometry can be utilized to measure alterations in MEK4 phosphorylation states aiding in elucidating its role in disease contexts.

Product protocols

For this product, it's our understanding that no specific protocols are required. You can visit:

Target data

Dual specificity protein kinase which acts as an essential component of the MAP kinase signal transduction pathway. Essential component of the stress-activated protein kinase/c-Jun N-terminal kinase (SAP/JNK) signaling pathway. With MAP2K7/MKK7, is the one of the only known kinase to directly activate the stress-activated protein kinase/c-Jun N-terminal kinases MAPK8/JNK1, MAPK9/JNK2 and MAPK10/JNK3. MAP2K4/MKK4 and MAP2K7/MKK7 both activate the JNKs by phosphorylation, but they differ in their preference for the phosphorylation site in the Thr-Pro-Tyr motif. MAP2K4 shows preference for phosphorylation of the Tyr residue and MAP2K7/MKK7 for the Thr residue. The phosphorylation of the Thr residue by MAP2K7/MKK7 seems to be the prerequisite for JNK activation at least in response to pro-inflammatory cytokines, while other stimuli activate both MAP2K4/MKK4 and MAP2K7/MKK7 which synergistically phosphorylate JNKs. MAP2K4 is required for maintaining peripheral lymphoid homeostasis. The MKK/JNK signaling pathway is also involved in mitochondrial death signaling pathway, including the release cytochrome c, leading to apoptosis. Whereas MAP2K7/MKK7 exclusively activates JNKs, MAP2K4/MKK4 additionally activates the p38 MAPKs MAPK11, MAPK12, MAPK13 and MAPK14.
See full target information MAP2K4 phospho S257

Publications (13)

Recent publications for all applications. Explore the full list and refine your search

Cell death discovery 11:228 PubMed40346052

2025

CCNE1 stabilizes ANLN by counteracting FZR1-mediated the ubiquitination modification to promotes triple negative breast cancer cell stemness and progression.

Applications

Unspecified application

Species

Unspecified reactive species

Sujuan Dai,Lin Li,Guangxiu Guo,Yun Peng,Huozhong Yuan,Juntao Li

Cell 187:1666-1684.e26 PubMed38490194

2024

First-in-class MKK4 inhibitors enhance liver regeneration and prevent liver failure.

Applications

Unspecified application

Species

Unspecified reactive species

Stefan Zwirner,Anan A Abu Rmilah,Sabrina Klotz,Bent Pfaffenroth,Philip Kloevekorn,Athina A Moschopoulou,Svenja Schuette,Mathias Haag,Roland Selig,Kewei Li,Wei Zhou,Erek Nelson,Antti Poso,Harvey Chen,Bruce Amiot,Yao Jia,Anna Minshew,Gregory Michalak,Wei Cui,Elke Rist,Thomas Longerich,Birgit Jung,Philipp Felgendreff,Omelyan Trompak,Prem K Premsrirut,Katharina Gries,Thomas E Muerdter,Georg Heinkele,Torsten Wuestefeld,David Shapiro,Markus Weissbach,Alfred Koenigsrainer,Bence Sipos,Eiso Ab,Magdalena Ortiz Zacarias,Stephan Theisgen,Nicole Gruenheit,Saskia Biskup,Matthias Schwab,Wolfgang Albrecht,Stefan Laufer,Scott Nyberg,Lars Zender

Cytotechnology 73:697-713 PubMed34629746

2021

PP2A protects podocytes against Adriamycin-induced injury and epithelial-to-mesenchymal transition via suppressing JIP4/p38-MAPK pathway.

Applications

Unspecified application

Species

Unspecified reactive species

Zhihong Lu,Xiujuan Zhu,Yuhong Ye,Haidong Fu,Jianhua Mao

Folia neuropathologica 59:50-66 PubMed33969677

2021

Inhibition of ASC enhances the protective role of salvianolic acid A in traumatic brain injury via inhibition of inflammation and recovery of mitochondrial function.

Applications

Unspecified application

Species

Unspecified reactive species

Jing Wang,Chao Xu,Kunhu Zhang,Jianjun Shi,Zhenyang Liu,Xinxing Wang,Min Guo,Jiannan Lv,Xinmin Ding

Journal of breast cancer 23:355-372 PubMed32908787

2020

MiR-183-5p Promotes Proliferation, Metastasis and Angiogenesis in Breast Cancer Cells through Negatively Regulating Four and a Half LIM Protein 1.

Applications

Unspecified application

Species

Unspecified reactive species

Yi Li,Qing'an Zeng,Jiliang Qiu,Ting Pang,Fenglian Ye,Lin Huang,Xuexia Zhang

Folia neuropathologica 58:45-56 PubMed32337957

2020

PARP1 might enhance the therapeutic effect of tetrahydroxystilbene glucoside in traumatic brain injury via inhibition of Ras/JNK signalling pathway.

Applications

Unspecified application

Species

Unspecified reactive species

Yiqiang Cao,Yu Chen,Fei Wang,Yonggang Wang,Jiang Long

Journal of cachexia, sarcopenia and muscle 11:1104-1120 PubMed32096609

2020

Sarcopenia is attenuated by TRB3 knockout in aging mice via the alleviation of atrophy and fibrosis of skeletal muscles.

Applications

Unspecified application

Species

Unspecified reactive species

Guo-Kai Shang,Lu Han,Zhi-Hao Wang,Ya-Peng Liu,Sen-Bo Yan,Wen-Wen Sai,Di Wang,Yi-Hui Li,Wei Zhang,Ming Zhong

International journal of molecular medicine 45:162-174 PubMed31746365

2019

Amyloid precursor protein promotes the migration and invasion of breast cancer cells by regulating the MAPK signaling pathway.

Applications

Unspecified application

Species

Unspecified reactive species

Xiong Wu,Shuanglong Chen,Chuanhui Lu

American journal of physiology. Gastrointestinal a 317:G670-G681 PubMed31369289

2019

Overexpressed microRNA-136 works as a cancer suppressor in gallbladder cancer through suppression of JNK signaling pathway via inhibition of MAP2K4.

Applications

Unspecified application

Species

Unspecified reactive species

Jixiang Niu,Zhen Li,Fuzhou Li

American journal of physiology. Endocrinology and 313:E335-E343 PubMed28465283

2017

Expression of microRNAs and target proteins in skeletal muscle of rats selectively bred for high and low running capacity.

Applications

Unspecified application

Species

Unspecified reactive species

Samuel K Pinto,Séverine Lamon,Erin J Stephenson,Ming Kalanon,Jasmine Mikovic,Lauren G Koch,Steven L Britton,John A Hawley,Donny M Camera
View all publications

Product promise

We are committed to supporting your work with high-quality reagents, and we're here for you every step of the way. In the unlikely event that one of our products does not perform as expected, you're protected by our Product Promise.
For full details, please see our Terms & Conditions

Please note: All products are 'FOR RESEARCH USE ONLY. NOT FOR USE IN DIAGNOSTIC OR THERAPEUTIC PROCEDURES'.

For licensing inquiries, please contact partnerships@abcam.com