JavaScript is disabled in your browser. Please enable JavaScript to view this website.
AB52958

Anti-MEK4/MKK4 (phospho S80) antibody [EP1075Y]

4

(1 Review)

|

(4 Publications)

Rabbit Recombinant Monoclonal MEK4/MKK4 phospho S80 antibody. Suitable for IHC-P, WB and reacts with Human, Mouse samples. Cited in 4 publications.

View Alternative Names

JNKK1, MEK4, MKK4, PRKMK4, SEK1, SERK1, SKK1, MAP2K4, Dual specificity mitogen-activated protein kinase kinase 4, MAP kinase kinase 4, MAPKK 4, JNK-activating kinase 1, MAPK/ERK kinase 4, SAPK/ERK kinase 1, Stress-activated protein kinase kinase 1, c-Jun N-terminal kinase kinase 1, MEK 4, SAPK kinase 1, SAPKK-1, SAPKK1, JNKK

2 Images
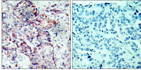
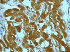
Immunohistochemistry (Formalin/PFA-fixed paraffin-embedded sections) - Anti-MEK4/MKK4 (phospho S80) antibody [EP1075Y] (AB52958)
  • IHC-P

Unknown

Immunohistochemistry (Formalin/PFA-fixed paraffin-embedded sections) - Anti-MEK4/MKK4 (phospho S80) antibody [EP1075Y] (AB52958)

ab52958 at 1/50 dilution staining MEK4/MKK4 in human muscles by Immunohistochemistry, Paraffin embedded tissue.

Perform heat mediated antigen retrieval before commencing with IHC staining protocol.

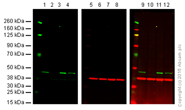
Western blot - Anti-MEK4/MKK4 (phospho S80) antibody [EP1075Y] (AB52958)
  • WB

Unknown

Western blot - Anti-MEK4/MKK4 (phospho S80) antibody [EP1075Y] (AB52958)

All lanes:

Western blot - Anti-MEK4/MKK4 (phospho S80) antibody [EP1075Y] (ab52958) at 1/5000 dilution

Lane 1:

3T3 cell lysate untreated at 10 µg

Lane 2:

3T3 cell lysate treated with PDGF at 10 µg

Secondary

All lanes:

goat anti-rabbit HRP at 1/2000 dilution

Predicted band size: 44 kDa

Observed band size: 44 kDa

false

  • Carrier free

    Anti-MEK4/MKK4 (phospho S80) antibody [EP1075Y] - BSA and Azide free

Key facts

Host species

Rabbit

Clonality

Monoclonal

Clone number

EP1075Y

Isotype

IgG

Carrier free

No

Reacts with

Mouse, Human

Applications

IHC-P, WB

applications

Immunogen

The exact immunogen used to generate this antibody is proprietary information.

Reactivity data

{ "title": "Reactivity Data", "filters": { "stats": ["", "Species", "Dilution Info", "Notes"], "tabs": { "all-applications": {"fullname" : "All Applications", "shortname": "All Applications"}, "IHCP" : {"fullname" : "Immunohistochemistry (Formalin/PFA-fixed paraffin-embedded sections)", "shortname":"IHC-P"}, "ICCIF" : {"fullname" : "Immunocytochemistry/ Immunofluorescence", "shortname":"ICC/IF"}, "FlowCyt" : {"fullname" : "Flow Cytometry", "shortname":"Flow Cyt"}, "WB" : {"fullname" : "Western blot", "shortname":"WB"} }, "product-promise": { "all": "all", "testedAndGuaranteed": "tested", "guaranteed": "expected", "predicted": "predicted", "notRecommended": "not-recommended" } }, "values": { "Human": { "IHCP-species-checked": "testedAndGuaranteed", "IHCP-species-dilution-info": "1/50 - 1/100", "IHCP-species-notes": "<p></p>", "ICCIF-species-checked": "notRecommended", "ICCIF-species-dilution-info": "", "ICCIF-species-notes": "", "FlowCyt-species-checked": "notRecommended", "FlowCyt-species-dilution-info": "", "FlowCyt-species-notes": "<p></p>", "WB-species-checked": "guaranteed", "WB-species-dilution-info": "", "WB-species-notes": "" }, "Mouse": { "IHCP-species-checked": "guaranteed", "IHCP-species-dilution-info": "", "IHCP-species-notes": "", "ICCIF-species-checked": "notRecommended", "ICCIF-species-dilution-info": "", "ICCIF-species-notes": "<p></p>", "FlowCyt-species-checked": "notRecommended", "FlowCyt-species-dilution-info": "", "FlowCyt-species-notes": "<p></p>", "WB-species-checked": "testedAndGuaranteed", "WB-species-dilution-info": "1/5000", "WB-species-notes": "<p></p>" } } }

Product details

Patented technology
Our RabMAb® technology is a patented hybridoma-based technology for making rabbit monoclonal antibodies. For details on our patents, please refer to RabMAb® patents.

Species reactivity
Rat: We have preliminary internal testing data to indicate this antibody may not react with this species.
Please contact us for more information.

Properties and storage information

Form
Liquid
Purification technique
Affinity purification Protein A
Storage buffer
pH: 7.2 - 7.4 Preservative: 0.05% Sodium azide Constituents: 99% Tissue culture supernatant, 0.1% BSA
Shipped at conditions
Blue Ice
Appropriate short-term storage conditions
+4°C
Appropriate long-term storage conditions
-20°C
Storage information
Stable for 12 months at -20°C

Supplementary information

This supplementary information is collated from multiple sources and compiled automatically.

MEK4 also known as MKK4 is a protein kinase with a molecular weight of approximately 43 kDa. It functions as a dual-specificity kinase that phosphorylates and activates other kinases in cellular signaling pathways. MEK4 appears in various tissues including heart brain and skeletal muscle. It acts as an essential component in transmitting extracellular signals to downstream effectors and is involved in critical cellular processes like proliferation differentiation and apoptosis.
Biological function summary

MEK4 acts as an upstream kinase in the MAPK signaling cascade. Through its role in this pathway it is part of a larger signaling complex. MEK4 specifically activates JUN N-terminal kinase (JNK) by phosphorylation. JNK further regulates gene expression by influencing transcription factors impacting cellular responses. This makes MEK4 a pivotal element in facilitating messenger roles that allow cells to adapt to changing environments such as stress responses and immune reactions.

Pathways

MEK4 plays significant roles in the MAPK and stress-activated protein kinase (SAPK) pathways. In the MAPK pathway MEK4 phosphorylates JNK thereby influencing cellular responses to environmental changes. Within the SAPK pathway MEK4 interacts with other kinases such as MKK7 to modulate cellular responses further. The flow of signals through these pathways affects cell fate cell cycle regulation and programmed cell death demonstrating its comprehensive influence on cell physiology.

MEK4 shows involvement in cancer progression and neurodegenerative diseases. Abnormal activation of MEK4 can contribute to tumor growth and metastasis in cancers such as prostate and ovarian cancer by enhancing JNK signaling. In neurodegenerative disorders deregulation of MEK4-related pathways might lead to neuronal damage or apoptosis. Proteins like JNK and other MAP kinases become dysregulated in these conditions illustrating the interconnected role of MEK4 in disease mechanisms. Phospho flow cytometry can be utilized to measure alterations in MEK4 phosphorylation states aiding in elucidating its role in disease contexts.

Product protocols

For this product, it's our understanding that no specific protocols are required. You can visit:

Target data

Dual specificity protein kinase which acts as an essential component of the MAP kinase signal transduction pathway. Essential component of the stress-activated protein kinase/c-Jun N-terminal kinase (SAP/JNK) signaling pathway. With MAP2K7/MKK7, is the one of the only known kinase to directly activate the stress-activated protein kinase/c-Jun N-terminal kinases MAPK8/JNK1, MAPK9/JNK2 and MAPK10/JNK3. MAP2K4/MKK4 and MAP2K7/MKK7 both activate the JNKs by phosphorylation, but they differ in their preference for the phosphorylation site in the Thr-Pro-Tyr motif. MAP2K4 shows preference for phosphorylation of the Tyr residue and MAP2K7/MKK7 for the Thr residue. The phosphorylation of the Thr residue by MAP2K7/MKK7 seems to be the prerequisite for JNK activation at least in response to pro-inflammatory cytokines, while other stimuli activate both MAP2K4/MKK4 and MAP2K7/MKK7 which synergistically phosphorylate JNKs. MAP2K4 is required for maintaining peripheral lymphoid homeostasis. The MKK/JNK signaling pathway is also involved in mitochondrial death signaling pathway, including the release cytochrome c, leading to apoptosis. Whereas MAP2K7/MKK7 exclusively activates JNKs, MAP2K4/MKK4 additionally activates the p38 MAPKs MAPK11, MAPK12, MAPK13 and MAPK14.
See full target information MAP2K4 phospho S80

Publications (4)

Recent publications for all applications. Explore the full list and refine your search

Chronic obstructive pulmonary diseases (Miami, Fla.) 12:285-293 PubMed40338977

2025

The Role of in Regulating Airway Immune Dysfunction in COPD Through the Transforming Growth Factor-Beta/Polymeric Immunoglobulin Receptor Pathway: An In Vitro Study.

Applications

Unspecified application

Species

Unspecified reactive species

Hu Liu,Yun Zhao,Jing Cao,Lei Liang,Jinmeng Zhou

Journal of gastrointestinal oncology 13:2447-2457 PubMed36388700

2022

TRPV3 inhibits colorectal cancer cell proliferation and migration by regulating the MAPK signaling pathway.

Applications

Unspecified application

Species

Unspecified reactive species

Wei Yu,Jieping Huang,Hui Yu,Jingping Lin,Fang Fan,Ruixiang Xie,Yongshi Shen,Kangni Lin,Yong Ye,Jinsen Weng

Folia neuropathologica 59:50-66 PubMed33969677

2021

Inhibition of ASC enhances the protective role of salvianolic acid A in traumatic brain injury via inhibition of inflammation and recovery of mitochondrial function.

Applications

Unspecified application

Species

Unspecified reactive species

Jing Wang,Chao Xu,Kunhu Zhang,Jianjun Shi,Zhenyang Liu,Xinxing Wang,Min Guo,Jiannan Lv,Xinmin Ding

Folia neuropathologica 58:45-56 PubMed32337957

2020

PARP1 might enhance the therapeutic effect of tetrahydroxystilbene glucoside in traumatic brain injury via inhibition of Ras/JNK signalling pathway.

Applications

Unspecified application

Species

Unspecified reactive species

Yiqiang Cao,Yu Chen,Fei Wang,Yonggang Wang,Jiang Long
View all publications

Product promise

We are committed to supporting your work with high-quality reagents, and we're here for you every step of the way. In the unlikely event that one of our products does not perform as expected, you're protected by our Product Promise.
For full details, please see our Terms & Conditions

Please note: All products are 'FOR RESEARCH USE ONLY. NOT FOR USE IN DIAGNOSTIC OR THERAPEUTIC PROCEDURES'.

For licensing inquiries, please contact partnerships@abcam.com