JavaScript is disabled in your browser. Please enable JavaScript to view this website.
AB240926

Anti-MEKK2 antibody [EP626Y] - BSA and Azide free

Be the first to review this product! Submit a review

|

(2 Publications)

Rabbit Recombinant Monoclonal MEKK2 antibody. Carrier free. Suitable for IP, WB, ICC/IF, Flow Cyt (Intra), IHC-P, IHC-Fr and reacts with Human, Mouse, Rat samples. Cited in 2 publications.

View Alternative Names

MAPKKK2, MEKK2, MAP3K2, Mitogen-activated protein kinase kinase kinase 2, MAPK/ERK kinase kinase 2, MEK kinase 2, MEKK 2

12 Images
Flow Cytometry (Intracellular) - Anti-MEKK2 antibody [EP626Y] - BSA and Azide free (AB240926)
  • Flow Cyt (Intra)

Supplier Data

Flow Cytometry (Intracellular) - Anti-MEKK2 antibody [EP626Y] - BSA and Azide free (AB240926)

Overlay histogram showing HepG2 cells stained with unpurified ab33918 (red line). The cells were fixed with 80% methanol (5 min) and then permeabilized with 0.1% PBS-Tween for 20 min. The cells were then incubated in 1x PBS / 10% normal goat serum / 0.3M glycine to block non-specific protein-protein interactions followed by the antibody (ab33918, 1/50 dilution) for 30 min at 22°C. The secondary antibody used was DyLight® 488 goat anti-rabbit IgG (H+L) (ab96899) at 1/500 dilution for 30 min at 22°C. Isotype control antibody (black line) was rabbit IgG (monoclonal) (1μg/1x106 cells) used under the same conditions. Acquisition of >5,000 events was performed.

This data was developed using the same antibody clone in a different buffer formulation containing PBS, BSA, glycerol, and sodium azide (ab33918).

Immunocytochemistry/ Immunofluorescence - Anti-MEKK2 antibody [EP626Y] - BSA and Azide free (AB240926)
  • ICC/IF

Supplier Data

Immunocytochemistry/ Immunofluorescence - Anti-MEKK2 antibody [EP626Y] - BSA and Azide free (AB240926)

ab33918 staining MEKK2 in MCF-7 (human breast carcinoma) cells by ICC/IF (Immunocytochemistry/immunofluorescence). Cells were fixed with 4% Paraformaldehyde and permeabilized with 0.1% Triton X-100. Samples were incubated with primary antibody at a dilution of 1/100. A goat anti rabbit IgG (Alexa Fluor® 488) (ab150077) was used as the secondary antibody at a dilution of 1/1000. ab7291 and ab150120 were used as counterstains for primary antibody ab75748 and secondary antibody ab150077 respectively and DAPI was used as a nuclear counterstain.

Negative control 1 : Rabbit primary antibody and anti-mouse secondary antibody (ab150120)
Negative control 2 : Mouse primary antibody (ab7291) and anti-rabbit secondary antibody (ab150077)

This data was developed using the same antibody clone in a different buffer formulation containing PBS, BSA, glycerol, and sodium azide (ab33918).

Flow Cytometry (Intracellular) - Anti-MEKK2 antibody [EP626Y] - BSA and Azide free (AB240926)
  • Flow Cyt (Intra)

Supplier Data

Flow Cytometry (Intracellular) - Anti-MEKK2 antibody [EP626Y] - BSA and Azide free (AB240926)

ab33918 staining MEKK2 in Jurkat (human acute T cell leukemia) cellsby intracellular flow cytometry. Cells were fixed with 4% paraformaldehyde and the sample was incubated with the primary antibody at a dilution of 1/120. A goat anti rabbit IgG (Alexa Fluor® 488) at a dilution of 1/500 was used as the secondary antibody.

Isoytype control : Rabbit monoclonal IgG (Black)

Unlabelled control : Cell without incubation with primary antibody and secondary antibody (Blue)

This data was developed using the same antibody clone in a different buffer formulation containing PBS, BSA, glycerol, and sodium azide (ab33918).

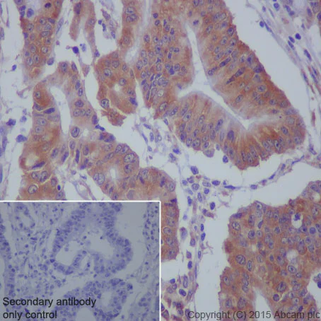
Immunohistochemistry (Formalin/PFA-fixed paraffin-embedded sections) - Anti-MEKK2 antibody [EP626Y] - BSA and Azide free (AB240926)
  • IHC-P

Supplier Data

Immunohistochemistry (Formalin/PFA-fixed paraffin-embedded sections) - Anti-MEKK2 antibody [EP626Y] - BSA and Azide free (AB240926)

ab33918 staining MEKK2 in human colon carcinoma tissue sections by Immunohistochemistry (IHC-P - paraformaldehyde-fixed, paraffin-embedded sections). Tissue was fixed with paraformaldehyde and antigen retrieval was by heat mediation in a EDTA buffer. Samples were incubated with primary antibody at a dilution of 1/100. A goat anti-rabbit IgG H&L (HRP) ab97051 was used as the secondary antibody at a dilution of 1/500.

Negative control 1 : PBS in place of primary antibody.

This data was developed using the same antibody clone in a different buffer formulation containing PBS, BSA, glycerol, and sodium azide (ab33918).

Immunoprecipitation - Anti-MEKK2 antibody [EP626Y] - BSA and Azide free (AB240926)
  • IP

Supplier Data

Immunoprecipitation - Anti-MEKK2 antibody [EP626Y] - BSA and Azide free (AB240926)

ab33918 immunoprecipitating MEKK2. 10μg of cell lysate was incubated with primary antibody at a dilution of 1/40 and VeriBlot for IP Detection Reagent (HRP) (ab131366) at a dilution of 1/10000.

Lane 1 : HepG2 (human hepatocellular carcinoma) whole cell lysate (10ug)
Lane 2 : HepG2 (human hepatocellular carcinoma) whole cell lysate
Lane 3 : Rabbit monoclonal IgG (ab172730) instead of ab33918 in HepG2 (human hepatocellular carcinoma) whole cell lysate

This data was developed using the same antibody clone in a different buffer formulation containing PBS, BSA, glycerol, and sodium azide (ab33918).

All lanes:

Immunoprecipitation - Anti-MEKK2 antibody [EP626Y] (<a href='/en-us/products/primary-antibodies/mekk2-antibody-ep626y-ab33918'>ab33918</a>)

Predicted band size: 70 kDa

false

Immunoprecipitation - Anti-MEKK2 antibody [EP626Y] - BSA and Azide free (AB240926)
  • IP

Supplier Data

Immunoprecipitation - Anti-MEKK2 antibody [EP626Y] - BSA and Azide free (AB240926)

MEKK2 was immunoprecipitated using 0.5mg HepG2 whole cell extract, 10μg of unpurified Rabbit monoclonal [EP626Y] to MEKK2 and 50μl of protein G magnetic beads (+). No antibody was added to the control (-).
The antibody was incubated under agitation with Protein G beads for 10min, HepG2 whole cell extract lysate diluted in RIPA buffer was added to each sample and incubated for a further 10min under agitation.
Proteins were eluted by addition of 40μl SDS loading buffer and incubated for 10min at 70oC; 10μl of each sample was separated on a SDS PAGE gel, transferred to a nitrocellulose membrane, blocked with 5% BSA and probed with ab33918.
Secondary : Mouse monoclonal [SB62a] Secondary Antibody to Rabbit IgG light chain (HRP) (ab99697) .
Band : 75kDa : MEKK2.

This data was developed using the same antibody clone in a different buffer formulation containing PBS, BSA, glycerol, and sodium azide (ab33918).

All lanes:

Immunoprecipitation - Anti-MEKK2 antibody [EP626Y] (<a href='/en-us/products/primary-antibodies/mekk2-antibody-ep626y-ab33918'>ab33918</a>)

Predicted band size: 70 kDa

false

Immunohistochemistry (Formalin/PFA-fixed paraffin-embedded sections) - Anti-MEKK2 antibody [EP626Y] - BSA and Azide free (AB240926)
  • IHC-P

Supplier Data

Immunohistochemistry (Formalin/PFA-fixed paraffin-embedded sections) - Anti-MEKK2 antibody [EP626Y] - BSA and Azide free (AB240926)

ab33918 staining MEKK2 in rat cerebral cortex tissue sections by Immunohistochemistry (IHC-P - paraformaldehyde-fixed, paraffin-embedded sections). Tissue was fixed with paraformaldehyde and antigen retrieval was by heat mediation in a EDTA buffer. Samples were incubated with primary antibody at a dilution of 1/100. A goat anti-rabbit IgG H&L (HRP) ab97051 was used as the secondary antibody at a dilution of 1/500.

Negative control 1 : PBS in place of primary antibody.

This data was developed using the same antibody clone in a different buffer formulation containing PBS, BSA, glycerol, and sodium azide (ab33918).

Immunohistochemistry (Formalin/PFA-fixed paraffin-embedded sections) - Anti-MEKK2 antibody [EP626Y] - BSA and Azide free (AB240926)
  • IHC-P

Supplier Data

Immunohistochemistry (Formalin/PFA-fixed paraffin-embedded sections) - Anti-MEKK2 antibody [EP626Y] - BSA and Azide free (AB240926)

ab33918 staining MEKK2 in mouse cerebral cortex tissue sections by Immunohistochemistry (IHC-P - paraformaldehyde-fixed, paraffin-embedded sections). Tissue was fixed with paraformaldehyde and antigen retrieval was by heat mediation in a EDTA buffer. Samples were incubated with primary antibody at a dilution of 1/100. A goat anti-rabbit IgG H&L (HRP) ab97051 was used as the secondary antibody at a dilution of 1/500.

Negative control 1 : PBS in place of primary antibody.

This data was developed using the same antibody clone in a different buffer formulation containing PBS, BSA, glycerol, and sodium azide (ab33918).

Western blot - Anti-MEKK2 antibody [EP626Y] - BSA and Azide free (AB240926)
  • WB

Lab

Western blot - Anti-MEKK2 antibody [EP626Y] - BSA and Azide free (AB240926)

This data was developed using the same antibody clone in a different buffer formulation (ab33918).

Lanes 1- 2 : Merged signal (red and green). Green - ab33918 observed at 75 kDa. Red - Anti-GAPDH antibody [6C5] - Loading Control (ab8245) observed at 37 kDa.

ab33918 was shown to react with MEKK2 in wild-type A549 cells in western blot. Loss of signal was observed when knockout cell line ab267153 (knockout cell lysate ab257522) was used. Wild-type A549 and MAP3K2 knockout A549 cell lysates were subjected to SDS-PAGE. Membrane was blocked for 1 hour at room temperature in 0.1% TBST with 3% non-fat dried milk. ab33918 and Anti-GAPDH antibody [6C5] - Loading Control (ab8245) overnight at 4°C at a 1 in 10000 dilution and a 1 in 20000 dilution respectively. Blots were developed with Goat anti-Rabbit IgG H&L (IRDye®800CW) preadsorbed (ab216773) and Goat anti-Mouse IgG H&L (IRDye®680RD) preadsorbed (ab216776) secondary antibodies at 1 in 20000 dilution for 1 hour at room temperature before imaging.

All lanes:

Western blot - Anti-MEKK2 antibody [EP626Y] (<a href='/en-us/products/primary-antibodies/mekk2-antibody-ep626y-ab33918'>ab33918</a>) at 1/10000 dilution

Lane 1:

Wild-type A549 cell lysate at 20 µg

Lane 2:

MAP3K2 knockout A549 cell lysate at 20 µg

Lane 2:

Western blot - Human MAP3K2 (MEKK2) knockout A549 cell line (<a href='/en-us/products/cell-lines/human-map3k2-mekk2-knockout-a549-cell-line-ab267153'>ab267153</a>)

Predicted band size: 70 kDa

Observed band size: 75 kDa

false

Western blot - Anti-MEKK2 antibody [EP626Y] - BSA and Azide free (AB240926)
  • WB

Supplier Data

Western blot - Anti-MEKK2 antibody [EP626Y] - BSA and Azide free (AB240926)

Lane 1 : Wild-type HAP1 cell lysate (20 μg)
Lane 2 : MEKK2 knockout HAP1 cell lysate (20 μg)
Lane 3 : HeLa cell lysate (20 μg)
Lane 4 : Human breast carcinoma lysate (20 μg)
Lanes 1 - 4 : Merged signal (red and green). Green - ab33918 observed at 75 kDa. Red - loading control, ab8245, observed at 37 kDa.
ab33918 was shown to recognize MEKK2 when MEKK2 knockout samples were used, along with additional cross-reactive bands. Wild-type and MEKK2 knockout samples were subjected to SDS-PAGE. ab33918 and ab8245 (loading control to GAPDH) were both diluted 1/10 000 and incubated overnight at 4°C. Blots were developed with Goat anti-Rabbit IgG H&L (IRDye® 800CW) preadsorbed (ab216773) andGoat anti-Mouse IgG H&L (IRDye® 680RD) preadsorbed (ab216776) secondary antibodies at 1/10000 dilution for 1 h at room temperature before imaging.

This data was developed using the same antibody clone in a different buffer formulation containing PBS, BSA, glycerol, and sodium azide (ab33918).

All lanes:

Western blot - Anti-MEKK2 antibody [EP626Y] (<a href='/en-us/products/primary-antibodies/mekk2-antibody-ep626y-ab33918'>ab33918</a>)

Predicted band size: 70 kDa

false

Western blot - Anti-MEKK2 antibody [EP626Y] - BSA and Azide free (AB240926)
  • WB

Lab

Western blot - Anti-MEKK2 antibody [EP626Y] - BSA and Azide free (AB240926)

This data was developed using the same antibody clone in a different buffer formulation (ab33918).

Lanes 1- 2 : Merged signal (red and green). Green - ab33918 observed at 75 kDa. Red - Anti-GAPDH antibody [6C5] - Loading Control (ab8245) observed at 37 kDa.

ab33918 was shown to react with MEKK2 in wild-type HeLa cells in western blot. Loss of signal was observed when knockout cell line ab264944 (knockout cell lysate ab257520) was used. Wild-type HeLa and MAP3K2 knockout HeLa cell lysates were subjected to SDS-PAGE. Membrane was blocked for 1 hour at room temperature in 0.1% TBST with 3% non-fat dried milk. ab33918 and Anti-GAPDH antibody [6C5] - Loading Control (ab8245) were incubated overnight at 4°C at a 1 in 10000 dilution and a 1 in 20000 dilution respectively. Blots were developed with Goat anti-Rabbit IgG H&L (IRDye®800CW) preadsorbed (ab216773) and Goat anti-Mouse IgG H&L (IRDye®680RD) preadsorbed (ab216776) secondary antibodies at 1 in 20000 dilution for 1 hour at room temperature before imaging.

All lanes:

Western blot - Anti-MEKK2 antibody [EP626Y] (<a href='/en-us/products/primary-antibodies/mekk2-antibody-ep626y-ab33918'>ab33918</a>) at 1/10000 dilution

Lane 1:

Wild-type HeLa cell lysate at 20 µg

Lane 2:

MAP3K2 knockout HeLa cell lysate at 20 µg

Lane 2:

Western blot - Human MAP3K2 (MEKK2) knockout HeLa cell line (<a href='/en-us/products/cell-lines/human-map3k2-mekk2-knockout-hela-cell-line-ab264944'>ab264944</a>)

Predicted band size: 70 kDa

Observed band size: 75 kDa

false

Western blot - Anti-MEKK2 antibody [EP626Y] - BSA and Azide free (AB240926)
  • WB

Lab

Western blot - Anti-MEKK2 antibody [EP626Y] - BSA and Azide free (AB240926)

This data was developed using the same antibody clone in a different buffer formulation (ab33918).

Lanes 1- 2 : Merged signal (red and green). Green - ab33918 observed at 75 kDa. Red - Anti-GAPDH antibody [6C5] - Loading Control (ab8245) observed at 37 kDa.

ab33918 was shown to react with MEKK2 in wild-type A549 cells in western blot. Loss of signal was observed when knockout cell line ab267152 (knockout cell lysate ab257521) was used. Wild-type A549 and MAP3K2 knockout A549 cell lysates were subjected to SDS-PAGE. Membrane was blocked for 1 hour at room temperature in 0.1% TBST with 3% non-fat dried milk. ab33918 and Anti-GAPDH antibody [6C5] - Loading Control (ab8245) overnight at 4°C at a 1 in 10000 dilution and a 1 in 20000 dilution respectively. Blots were developed with Goat anti-Rabbit IgG H&L (IRDye®800CW) preadsorbed (ab216773) and Goat anti-Mouse IgG H&L (IRDye®680RD) preadsorbed (ab216776) secondary antibodies at 1 in 20000 dilution for 1 hour at room temperature before imaging.

All lanes:

Western blot - Anti-MEKK2 antibody [EP626Y] (<a href='/en-us/products/primary-antibodies/mekk2-antibody-ep626y-ab33918'>ab33918</a>) at 1/10000 dilution

Lane 1:

Wild-type A549 cell lysate at 20 µg

Lane 2:

MAP3K2 knockout A549 cell lysate at 20 µg

Lane 2:

Western blot - Human MAP3K2 (MEKK2) knockout A549 cell line (<a href='/en-us/products/cell-lines/human-map3k2-mekk2-knockout-a549-cell-line-ab267152'>ab267152</a>)

Predicted band size: 70 kDa

Observed band size: 75 kDa

false

Key facts

Host species

Rabbit

Clonality

Monoclonal

Clone number

EP626Y

Isotype

IgG

Carrier free

Yes

Reacts with

Mouse, Rat, Human

Applications

WB, IHC-P, Flow Cyt (Intra), IP, IHC-Fr, ICC/IF

applications

Immunogen

The exact immunogen used to generate this antibody is proprietary information.

Reactivity data

{ "title": "Reactivity Data", "filters": { "stats": ["", "Species", "Dilution Info", "Notes"], "tabs": { "all-applications": {"fullname" : "All Applications", "shortname": "All Applications"}, "IP" : {"fullname" : "Immunoprecipitation", "shortname":"IP"}, "WB" : {"fullname" : "Western blot", "shortname":"WB"}, "ICCIF" : {"fullname" : "Immunocytochemistry/ Immunofluorescence", "shortname":"ICC/IF"}, "FlowCytIntra" : {"fullname" : "Flow Cytometry (Intracellular)", "shortname":"Flow Cyt (Intra)"}, "IHCP" : {"fullname" : "Immunohistochemistry (Formalin/PFA-fixed paraffin-embedded sections)", "shortname":"IHC-P"}, "IHCFr" : {"fullname" : "Immunohistochemistry (Frozen sections)", "shortname":"IHC-Fr"} }, "product-promise": { "all": "all", "testedAndGuaranteed": "tested", "guaranteed": "expected", "predicted": "predicted", "notRecommended": "not-recommended" } }, "values": { "Human": { "IP-species-checked": "testedAndGuaranteed", "IP-species-dilution-info": "", "IP-species-notes": "<p></p>", "WB-species-checked": "testedAndGuaranteed", "WB-species-dilution-info": "", "WB-species-notes": "<p></p>", "ICCIF-species-checked": "testedAndGuaranteed", "ICCIF-species-dilution-info": "", "ICCIF-species-notes": "<p></p>", "FlowCytIntra-species-checked": "testedAndGuaranteed", "FlowCytIntra-species-dilution-info": "", "FlowCytIntra-species-notes": "<p><a href='/en-us/products/primary-antibodies/rabbit-igg-monoclonal-epr25a-isotype-control-low-endotoxin-azide-free-ab199376'>ab199376</a> - Rabbit monoclonal IgG, is suitable for use as an isotype control with this antibody.</p>", "IHCP-species-checked": "testedAndGuaranteed", "IHCP-species-dilution-info": "", "IHCP-species-notes": "<p></p>", "IHCFr-species-checked": "guaranteed", "IHCFr-species-dilution-info": "", "IHCFr-species-notes": "<p></p>" }, "Mouse": { "IP-species-checked": "guaranteed", "IP-species-dilution-info": "", "IP-species-notes": "", "WB-species-checked": "testedAndGuaranteed", "WB-species-dilution-info": "", "WB-species-notes": "<p></p>", "ICCIF-species-checked": "guaranteed", "ICCIF-species-dilution-info": "", "ICCIF-species-notes": "", "FlowCytIntra-species-checked": "guaranteed", "FlowCytIntra-species-dilution-info": "", "FlowCytIntra-species-notes": "", "IHCP-species-checked": "testedAndGuaranteed", "IHCP-species-dilution-info": "", "IHCP-species-notes": "<p></p>", "IHCFr-species-checked": "guaranteed", "IHCFr-species-dilution-info": "", "IHCFr-species-notes": "<p></p>" }, "Rat": { "IP-species-checked": "guaranteed", "IP-species-dilution-info": "", "IP-species-notes": "", "WB-species-checked": "testedAndGuaranteed", "WB-species-dilution-info": "", "WB-species-notes": "<p></p>", "ICCIF-species-checked": "guaranteed", "ICCIF-species-dilution-info": "", "ICCIF-species-notes": "", "FlowCytIntra-species-checked": "guaranteed", "FlowCytIntra-species-dilution-info": "", "FlowCytIntra-species-notes": "", "IHCP-species-checked": "testedAndGuaranteed", "IHCP-species-dilution-info": "", "IHCP-species-notes": "<p></p>", "IHCFr-species-checked": "guaranteed", "IHCFr-species-dilution-info": "", "IHCFr-species-notes": "<p></p>" } } }

Product details

ab240926 is the carrier-free version of ab33918.

Patented technology
Our RabMAb® technology is a patented hybridoma-based technology for making rabbit monoclonal antibodies. For details on our patents, please refer to RabMAb® patents.

What are the advantages of a recombinant monoclonal antibody?
This product is a recombinant monoclonal antibody, which offers several advantages including:

  • - High batch-to-batch consistency and reproducibility
  • - Improved sensitivity and specificity
  • - Long-term security of supply
  • - Animal-free batch production

For more information, read more on recombinant antibodies.

Conjugation ready
Our carrier-free antibodies are typically supplied in a PBS-only formulation, purified and free of BSA, sodium azide and glycerol. This conjugation-ready format is designed for use with fluorochromes, metal isotopes, oligonucleotides, and enzymes, which makes them ideal for antibody labelling, functional and cell-based assays, flow-based assays (e.g. mass cytometry) and Multiplex Imaging applications.

Use our conjugation kits for antibody conjugates that are ready-to-use in as little as 20 minutes with 1 minute hands-on-time and 100% antibody recovery: available for fluorescent dyes, HRP, biotin and gold.

Compatibility
This product is compatible with the Maxpar® Antibody Labeling Kit from Fluidigm, without the need for antibody preparation. Maxpar® is a trademark of Fluidigm Canada Inc.

Properties and storage information

Form
Liquid
Purification technique
Affinity purification Protein A
Storage buffer
pH: 7.2 - 7.4 Constituents: PBS
Shipped at conditions
Blue Ice
Appropriate short-term storage conditions
+4°C
Appropriate long-term storage conditions
+4°C
Storage information
Do Not Freeze

Supplementary information

This supplementary information is collated from multiple sources and compiled automatically.

MEKK2 also known as MAP3K2 is a kinase enzyme with an approximate mass of 70 kDa. It functions as part of the MAP kinase signaling pathway where it phosphorylates downstream proteins playing an essential role in transmitting signals within cells. This protein is mainly expressed in tissues such as the brain heart and liver. It acts by activating specific MAP kinase pathways facilitating various cellular responses to external stimuli.
Biological function summary

This kinase serves as a critical mediator in cellular processes like proliferation differentiation and apoptosis. MEKK2 forms part of larger signaling complexes including the MAP3K complex where it regulates multiple cellular activities. Through its kinase activity MEKK2 passes on signals that affect gene expression and cellular stress responses impacting how cells react to their environment.

Pathways

MEKK2 functions prominently in the MAPK signaling and NF-kB pathways. These pathways involve signal transduction mechanisms that MEKK2 influences through its interactions with related proteins such as MEK5 and ERK5. By modulating these pathways MEKK2 participates in a variety of cellular responses including inflammation and immune responses.

MEKK2 has associations with conditions like cancer and inflammatory diseases. Aberrant expression of MEKK2 can affect the behavior of cancer cells due to its influence on the MAPK pathway's signaling leading to unchecked cell growth. Additionally MEKK2 interacts with proteins like NF-kB which are important in inflammation thereby implicating it in disorders related to immune system dysfunctions.

Product protocols

For this product, it's our understanding that no specific protocols are required. You can visit:

Target data

Component of a protein kinase signal transduction cascade. Regulates the JNK and ERK5 pathways by phosphorylating and activating MAP2K5 and MAP2K7 (By similarity). Plays a role in caveolae kiss-and-run dynamics.
See full target information MAP3K2

Publications (2)

Recent publications for all applications. Explore the full list and refine your search

Journal of cellular and molecular medicine 29:e70693 PubMed40703032

2025

A PEDF-Derived Short Peptide Prevents Sodium Iodate-Induced Retinal Degeneration in Rats by Activating the SLC7A11/GSH/GPX4 Pathway in the RPE Cells.

Applications

Unspecified application

Species

Unspecified reactive species

Tsung-Chuan Ho,Shawn-H Tsai,Shu-I Yeh,Ming-Hui Sun,Yeou-Ping Tsao

Oncology letters 21:486 PubMed33968202

2021

Circular RNA UBAP2 promotes the proliferation of prostate cancer cells via the miR-1244/MAP3K2 axis.

Applications

Unspecified application

Species

Unspecified reactive species

Xiaodong Li,Baihetiya Azhati,Wenguang Wang,Mulati Rexiati,Chen Xing,Yujie Wang
View all publications

Product promise

We are committed to supporting your work with high-quality reagents, and we're here for you every step of the way. In the unlikely event that one of our products does not perform as expected, you're protected by our Product Promise.
For full details, please see our Terms & Conditions

Please note: All products are 'FOR RESEARCH USE ONLY. NOT FOR USE IN DIAGNOSTIC OR THERAPEUTIC PROCEDURES'.

For licensing inquiries, please contact partnerships@abcam.com