JavaScript is disabled in your browser. Please enable JavaScript to view this website.
AB212366

Anti-MelanA antibody [A103 + M2-7C10 + M2-9E3] - BSA and Azide free

Be the first to review this product! Submit a review

|

(1 Publication)

Mouse Multiclonal MelanA antibody. Carrier free. Suitable for IHC-P and reacts with Human samples. Cited in 1 publication. Immunogen corresponding to Recombinant Full Length Protein corresponding to Human MLANA.

View Alternative Names

MART1, MLANA, Melanoma antigen recognized by T-cells 1, MART-1, Antigen LB39-AA, Antigen SK29-AA, Protein Melan-A

2 Images
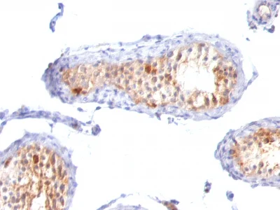
Immunohistochemistry (Formalin/PFA-fixed paraffin-embedded sections) - Anti-MelanA antibody [A103 + M2-7C10 + M2-9E3] - BSA and Azide free (AB212366)
  • IHC-P

Supplier Data

Immunohistochemistry (Formalin/PFA-fixed paraffin-embedded sections) - Anti-MelanA antibody [A103 + M2-7C10 + M2-9E3] - BSA and Azide free (AB212366)

Immunohistochemical analysis of formalin-fixed, paraffin-embedded Human testis tissue labeling MelanA with ab212366 at 1 μg/ml.

Immunohistochemistry (Formalin/PFA-fixed paraffin-embedded sections) - Anti-MelanA antibody [A103 + M2-7C10 + M2-9E3] - BSA and Azide free (AB212366)
  • IHC-P

Supplier Data

Immunohistochemistry (Formalin/PFA-fixed paraffin-embedded sections) - Anti-MelanA antibody [A103 + M2-7C10 + M2-9E3] - BSA and Azide free (AB212366)

Immunohistochemical analysis of formalin-fixed, paraffin-embedded Human melanoma tissue labeling MelanA with ab212366 at 1 μg/ml.

Key facts

Host species

Mouse

Clonality

Multiclonal

Clone number

A103 + M2-7C10 + M2-9E3

Carrier free

Yes

Reacts with

Human

Applications

IHC-P

applications

Immunogen

Recombinant Full Length Protein corresponding to Human MLANA.

Q16655

Reactivity data

{ "title": "Reactivity Data", "filters": { "stats": ["", "Species", "Dilution Info", "Notes"], "tabs": { "all-applications": {"fullname" : "All Applications", "shortname": "All Applications"}, "IHCP" : {"fullname" : "Immunohistochemistry (Formalin/PFA-fixed paraffin-embedded sections)", "shortname":"IHC-P"} }, "product-promise": { "all": "all", "testedAndGuaranteed": "tested", "guaranteed": "expected", "predicted": "predicted", "notRecommended": "not-recommended" } }, "values": { "Human": { "IHCP-species-checked": "testedAndGuaranteed", "IHCP-species-dilution-info": "0.5-1 µg/mL", "IHCP-species-notes": "<p>(Primary incubation for 30 minutes at RT).</p> Perform heat-mediated antigen retrieval with citrate buffer pH 6 before commencing with IHC staining protocol." } } }

Product details

Isotypes: IgG1 + IgG2b.

Properties and storage information

Form
Liquid
Purification technique
Affinity purification Protein A/G
Purification notes
ab212366 was purified from Bioreactor Concentrate by Protein A/G.
Storage buffer
pH: 7.2 - 7.4 Constituents: PBS
Shipped at conditions
Blue Ice
Appropriate short-term storage duration
1-2 weeks
Appropriate short-term storage conditions
+4°C
Appropriate long-term storage conditions
-20°C
Aliquoting information
Upon delivery aliquot
Storage information
Avoid freeze / thaw cycle

Product protocols

For this product, it's our understanding that no specific protocols are required. You can visit:

Target data

Involved in melanosome biogenesis by ensuring the stability of GPR143. Plays a vital role in the expression, stability, trafficking, and processing of melanocyte protein PMEL, which is critical to the formation of stage II melanosomes.
See full target information MLANA

Publications (1)

Recent publications for all applications. Explore the full list and refine your search

The Turkish journal of gastroenterology : the official journal of Turkish Society of Gastroenterology 32:828-836 PubMed34787087

2021

Clinicopathological and Prognostic Significance of Klotho and Estrogen Receptors Expression in Human Hepatocellular Carcinoma.

Applications

Unspecified application

Species

Unspecified reactive species

Shu Huang,Wei Wang,Yajun Cheng,Jie Lin,Min Wang
View all publications

Product promise

We are committed to supporting your work with high-quality reagents, and we're here for you every step of the way. In the unlikely event that one of our products does not perform as expected, you're protected by our Product Promise.
For full details, please see our Terms & Conditions

Please note: All products are 'FOR RESEARCH USE ONLY. NOT FOR USE IN DIAGNOSTIC OR THERAPEUTIC PROCEDURES'.

For licensing inquiries, please contact partnerships@abcam.com