JavaScript is disabled in your browser. Please enable JavaScript to view this website.
AB51061

Anti-MelanA antibody [EP1422Y]

5

(1 Review)

|

(27 Publications)

Anti-MelanA antibody [EP1422Y] (ab51061) is a rabbit monoclonal antibody detecting MelanA in Western Blot, Flow Cytometry (Intra), Flow Cytometry, IHC-P, ICC/IF. Suitable for Human.

- Biophysical QC for unrivalled batch-batch consistency
- Over 20 publications
- Trusted since 2007

View Alternative Names

MART1, MLANA, Melanoma antigen recognized by T-cells 1, MART-1, Antigen LB39-AA, Antigen SK29-AA, Protein Melan-A

8 Images
Immunocytochemistry/ Immunofluorescence - Anti-MelanA antibody [EP1422Y] (AB51061)
  • ICC/IF

Unknown

Immunocytochemistry/ Immunofluorescence - Anti-MelanA antibody [EP1422Y] (AB51061)

Immunocytochemistry/ Immunofluorescence analysis of MeWo (Human malignant melanoma fibroblast) cells labeling MelanA with Purified ab51061 at 1/100 dilution (10 µg/mL). Cells were fixed in 4% Paraformaldehyde and permeabilized with 0.1% tritonX-100. Cells were counterstained with ab195889 Anti-alpha Tubulin antibody [DM1A] - Microtubule Marker (Alexa Fluor® 594) 1/200 (2.5 µg/mL). Goat anti rabbit IgG (Alexa Fluor® 488, ab150077) was used as the secondary antibody at 1/1000 (2 µg/mL) dilution. DAPI (blue) was used as nuclear counterstain. PBS instead of the primary antibody was used as the secondary antibody only control.

Flow Cytometry (Intracellular) - Anti-MelanA antibody [EP1422Y] (AB51061)
  • Flow Cyt (Intra)

Unknown

Flow Cytometry (Intracellular) - Anti-MelanA antibody [EP1422Y] (AB51061)

Intracellular Flow Cytometry analysis of A375 (Human malignant melanoma epithelial cell, Left) / MeWo (Human malignant melanoma fibroblast, Right) cells labeling MelanA with Purified ab51061 at 1/1000 dilution (1 μg/mL) (Red). Cells were fixed with 4% Paraformaldehyde and permeabilised with 90% Methanol. A Goat anti rabbit IgG (Alexa Fluor® 488, ab150077) secondary antibody was used at 1/2000. Isotype control - Rabbit monoclonal IgG (Black). Unlabeled control - Cell without incubation with primary antibody and secondary antibody (Blue).

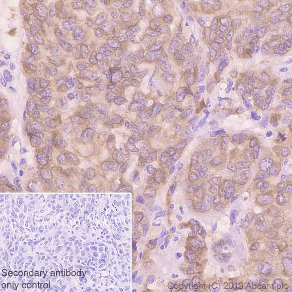
Immunohistochemistry (Formalin/PFA-fixed paraffin-embedded sections) - Anti-MelanA antibody [EP1422Y] (AB51061)
  • IHC-P

Unknown

Immunohistochemistry (Formalin/PFA-fixed paraffin-embedded sections) - Anti-MelanA antibody [EP1422Y] (AB51061)

Immunohistochemistry (Formalin/PFA-fixed paraffin-embedded sections) analysis of human melanoma tissue sections labeling MelanA with purified ab51061 at 1/1000 dilution (1.15 μg/mL). Heat mediated antigen retrieval using Bond™™ Epitope Retrieval Solution 2 (pH 9.0). Rabbit specific IHC polymer detection kit HRP/DAB (ab209101) was used as the secondary antibody. Negative control : PBS instead of the primary antibody. Hematoxylin was used as a counterstain.

Immunohistochemistry (Formalin/PFA-fixed paraffin-embedded sections) - Anti-MelanA antibody [EP1422Y] (AB51061)
  • IHC-P

Lab

Immunohistochemistry (Formalin/PFA-fixed paraffin-embedded sections) - Anti-MelanA antibody [EP1422Y] (AB51061)

Tissue Microarrays stained for Anti-MelanA antibody [EP1422Y] using ab51061 in immunohistochemical analysis. This table provides a detailed overview of positive (tick mark) and negative (cross mark) staining per sample type tested. The sections were pre-treated using Heat mediated antigen retrieval using Bond™ Epitope Retrieval Solution 2 (pH 9.0) for 20 minutes. The sections were incubated with ab51061 for 30 mins at room temperature followed by a ready to use Rabbit specific IHC polymer detection kit HRP/DAB (ab209101). The immunostaining was performed on a Leica Biosystems BOND® RX instrument.

Western blot - Anti-MelanA antibody [EP1422Y] (AB51061)
  • WB

Lab

Western blot - Anti-MelanA antibody [EP1422Y] (AB51061)

Blocking buffer : 5% NFDM/TBST.

All lanes:

Western blot - Anti-MelanA antibody [EP1422Y] (ab51061) at 1/20000 dilution

All lanes:

MeWo (Human malignant melanoma fibroblast) whole cell lysate at 15 µg

Secondary

All lanes:

Western blot - Goat Anti-Rabbit IgG H&L (HRP) (<a href='/en-us/products/secondary-antibodies/goat-rabbit-igg-h-l-hrp-ab97051'>ab97051</a>) at 1/20000 dilution

Predicted band size: 13 kDa

Observed band size: 20 kDa

false

Western blot - Anti-MelanA antibody [EP1422Y] (AB51061)
  • WB

Unknown

Western blot - Anti-MelanA antibody [EP1422Y] (AB51061)

Blocking/Diluting buffer : 5% NFDM/TBST

All lanes:

Western blot - Anti-MelanA antibody [EP1422Y] (ab51061) at 1/20000 dilution

All lanes:

Human melanoma lysates at 15 µg

Secondary

All lanes:

Goat Anti-Rabbit IgG (HRP) with minimal cross-reactivity with human IgG at 1/2000 dilution

Predicted band size: 13 kDa

Observed band size: 20 kDa

false

Flow Cytometry (Intracellular) - Anti-MelanA antibody [EP1422Y] (AB51061)
  • Flow Cyt (Intra)

Unknown

Flow Cytometry (Intracellular) - Anti-MelanA antibody [EP1422Y] (AB51061)

Overlay histogram showing Malme-3M cells stained with ab51061 (red line). The cells were fixed with 80% methanol (5 min) and then permeabilized with 0.1% PBS-Tween for 20 min. The cells were then incubated in 1x PBS / 10% normal goat serum / 0.3M glycine to block non-specific protein-protein interactions followed by the antibody (ab51061, 1/1000 dilution) for 30 min at 22°C. The secondary antibody used was Alexa Fluor® 488 goat anti-rabbit IgG (H+L) (ab150077) at 1/2000 dilution for 30 min at 22°C. Isotype control antibody (black line) was rabbit IgG (monoclonal) (0.1μg/1x106 cells) used under the same conditions. Unlabelled sample (blue line) was also used as a control. Acquisition of >5,000 events were collected using a 20mW Argon ion laser (488nm) and 525/30 bandpass filter.

This image was generated using the un-purified format of the antibody.

OI-RD Scanning - Anti-MelanA antibody [EP1422Y] (AB51061)
  • OI-RD Scanning

Unknown

OI-RD Scanning - Anti-MelanA antibody [EP1422Y] (AB51061)

We have systematically measured KD (the equilibrium dissociation constant between the antibody and its antigen), of more than 840 recombinant antibodies to assess not only their individual KD values but also to see the average affinity of antibody. Based on the comparison with published literature values for mouse monoclonal antibodies, Recombinant antibodies appear to be on average 1-2 order of magnitude higher affinity.

  • 665 Alexa Fluor® 647

    Alexa Fluor® 647 Anti-MelanA antibody [EP1422Y]

  • 617 Alexa Fluor® 594

    Alexa Fluor® 594 Anti-MelanA antibody [EP1422Y]

  • 565 Alexa Fluor® 555

    Alexa Fluor® 555 Anti-MelanA antibody [EP1422Y]

  • 578 PE

    PE Anti-MelanA antibody [EP1422Y]

  • 660 APC

    APC Anti-MelanA antibody [EP1422Y]

  • HRP

    HRP Anti-MelanA antibody [EP1422Y]

  • 603 Alexa Fluor® 568

    Alexa Fluor® 568 Anti-MelanA antibody [EP1422Y]

  • 519 Alexa Fluor® 488

    Alexa Fluor® 488 Anti-MelanA antibody [EP1422Y]

  • Carrier free

    Anti-MelanA antibody [EP1422Y] - BSA and Azide free

  • 775 Alexa Fluor® 750

    Alexa Fluor® 750 Anti-MelanA antibody [EP1422Y]

Key facts

Host species

Rabbit

Clonality

Monoclonal

Clone number

EP1422Y

Isotype

IgG

Carrier free

No

Reacts with

Human

Applications

Flow Cyt (Intra), IHC-P, WB, ICC/IF

applications

Immunogen

The exact immunogen used to generate this antibody is proprietary information.

Reactivity data

{ "title": "Reactivity Data", "filters": { "stats": ["", "Species", "Dilution Info", "Notes"], "tabs": { "all-applications": {"fullname" : "All Applications", "shortname": "All Applications"}, "IHCP" : {"fullname" : "Immunohistochemistry (Formalin/PFA-fixed paraffin-embedded sections)", "shortname":"IHC-P"}, "WB" : {"fullname" : "Western blot", "shortname":"WB"}, "ICCIF" : {"fullname" : "Immunocytochemistry/ Immunofluorescence", "shortname":"ICC/IF"}, "FlowCytIntra" : {"fullname" : "Flow Cytometry (Intracellular)", "shortname":"Flow Cyt (Intra)"} }, "product-promise": { "all": "all", "testedAndGuaranteed": "tested", "guaranteed": "expected", "predicted": "predicted", "notRecommended": "not-recommended" } }, "values": { "Human": { "IHCP-species-checked": "testedAndGuaranteed", "IHCP-species-dilution-info": "1/1000", "IHCP-species-notes": "<p>The immunostaining was performed on a Leica Biosystems BOND® RX instrument.</p> Perform heat-mediated antigen retrieval with citrate buffer pH 6 before commencing with IHC staining protocol.", "WB-species-checked": "testedAndGuaranteed", "WB-species-dilution-info": "1/20000", "WB-species-notes": "<p></p>", "ICCIF-species-checked": "testedAndGuaranteed", "ICCIF-species-dilution-info": "1/100", "ICCIF-species-notes": "<p></p>", "FlowCytIntra-species-checked": "testedAndGuaranteed", "FlowCytIntra-species-dilution-info": "1/1000", "FlowCytIntra-species-notes": "<p><a href='/en-us/products/primary-antibodies/rabbit-igg-monoclonal-epr25a-isotype-control-ab172730'>ab172730</a> - Rabbit monoclonal IgG, is suitable for use as an isotype control with this antibody.</p>" } } }

You may be interested in:

AB309421

Human Melan-A ELISA Kit

0

0 Reviews

View product

We recommend this product because it’s often used in the same experiment or related research.

We advise that you always check the datasheet to ensure it fits your experiments, or contact ourtechnical teamfor help.

Product details

Properties and storage information

Form
Liquid
Purification technique
Affinity purification Protein A
Storage buffer
pH: 7.2 - 7.4 Preservative: 0.01% Sodium azide Constituents: 59% PBS, 40% Glycerol (glycerin, glycerine), 0.05% BSA
Shipped at conditions
Blue Ice
Appropriate short-term storage duration
1-2 weeks
Appropriate short-term storage conditions
+4°C
Appropriate long-term storage conditions
-20°C
Aliquoting information
Upon delivery aliquot
Storage information
Avoid freeze / thaw cycle

Product protocols

For this product, it's our understanding that no specific protocols are required. You can visit:

Target data

Involved in melanosome biogenesis by ensuring the stability of GPR143. Plays a vital role in the expression, stability, trafficking, and processing of melanocyte protein PMEL, which is critical to the formation of stage II melanosomes.
See full target information MLANA

Publications (27)

Recent publications for all applications. Explore the full list and refine your search

iScience 25:105150 PubMed36193049

2022

Wnt-activating human skin organoid model of atopic dermatitis induced by and its protective effects by .

Applications

Unspecified application

Species

Unspecified reactive species

Song-Yi Jung,Hyun Ju You,Min-Ji Kim,GwangPyo Ko,Seunghee Lee,Kyung-Sun Kang

Experimental eye research 211:108720 PubMed34389315

2021

Characterisation of corneas following different time and storage methods for their use as a source of stem-like limbal epithelial cells.

Applications

Unspecified application

Species

Unspecified reactive species

Cristina Romo-Valera,Miguel Pérez-Garrastachu,Raquel Hernáez-Moya,Maddalen Rodriguez-Astigarraga,Paula Romano-Ruiz,Jaime Etxebarria,Jon Arluzea,Noelia Andollo

Methods in molecular biology (Clifton, N.J.) 2265:213-222 PubMed33704717

2021

Multi-Marker Immunomagnetic Enrichment of Circulating Melanoma Cells.

Applications

Unspecified application

Species

Unspecified reactive species

Aaron B Beasley,Emmanuel Acheampong,Weitao Lin,Elin S Gray

Cell 183:1219-1233.e18 PubMed33242418

2020

Direct Tumor Killing and Immunotherapy through Anti-SerpinB9 Therapy.

Applications

Unspecified application

Species

Unspecified reactive species

Liwei Jiang,Yi-Jun Wang,Jing Zhao,Mayuko Uehara,Qingming Hou,Vivek Kasinath,Takaharu Ichimura,Naima Banouni,Li Dai,Xiaofei Li,Dale L Greiner,Leonard D Shultz,Xiaolong Zhang,Zhen-Yu Jim Sun,Ian Curtin,Nicholas E Vangos,Zoe C Yeoh,Ezekiel A Geffken,Hyuk-Soo Seo,Ze-Xian Liu,Gregory J Heffron,Khalid Shah,Sirano Dhe-Paganon,Reza Abdi

Cancers 12: PubMed33050649

2020

Uveal Melanoma-Derived Extracellular Vesicles Display Transforming Potential and Carry Protein Cargo Involved in Metastatic Niche Preparation.

Applications

Unspecified application

Species

Unspecified reactive species

Thupten Tsering,Alexander Laskaris,Mohamed Abdouh,Prisca Bustamante,Sabrina Parent,Eva Jin,Sarah Tadhg Ferrier,Goffredo Arena,Julia V Burnier

Cell reports 30:510-524.e6 PubMed31940493

2020

FOXD3 Regulates VISTA Expression in Melanoma.

Applications

Unspecified application

Species

Unspecified reactive species

Sheera R Rosenbaum,Meghan Knecht,Mehri Mollaee,Zhijiu Zhong,Dan A Erkes,Peter A McCue,Inna Chervoneva,Adam C Berger,Jennifer A Lo,David E Fisher,Jeffrey E Gershenwald,Michael A Davies,Timothy J Purwin,Andrew E Aplin

International journal of molecular sciences 20: PubMed31003475

2019

PMN-MDSCs Enhance CTC Metastatic Properties through Reciprocal Interactions via ROS/Notch/Nodal Signaling.

Applications

Unspecified application

Species

Unspecified reactive species

Marc L Sprouse,Thomas Welte,Debasish Boral,Haowen N Liu,Wei Yin,Monika Vishnoi,Debalina Goswami-Sewell,Lili Li,Guangsheng Pei,Peilin Jia,Isabella C Glitza-Oliva,Dario Marchetti

Cancer research 78:5349-5362 PubMed30026332

2018

Targeting USP7 Identifies a Metastasis-Competent State within Bone Marrow-Resident Melanoma CTCs.

Applications

Unspecified application

Species

Unspecified reactive species

Monika Vishnoi,Debasish Boral,Haowen Liu,Marc L Sprouse,Wei Yin,Debalina Goswami-Sewell,Michael T Tetzlaff,Michael A Davies,Isabella C Glitza Oliva,Dario Marchetti

Autophagy 14:518-533 PubMed29215322

2017

Aberrant SIRT6 expression contributes to melanoma growth: Role of the autophagy paradox and IGF-AKT signaling.

Applications

Unspecified application

Species

Unspecified reactive species

Liwen Wang,Weinan Guo,Jinyuan Ma,Wei Dai,Lin Liu,Sen Guo,Jiaxi Chen,Huina Wang,Yuqi Yang,Xiuli Yi,Gang Wang,Tianwen Gao,Guannan Zhu,Chunying Li

The Journal of investigative dermatology 138:171-178 PubMed28842328

2017

Melanocytes Sense Blue Light and Regulate Pigmentation through Opsin-3.

Applications

Unspecified application

Species

Unspecified reactive species

Claire Regazzetti,Laura Sormani,Delphine Debayle,Françoise Bernerd,Meri K Tulic,Gian Marco De Donatis,Bérengère Chignon-Sicard,Stéphane Rocchi,Thierry Passeron
View all publications

Product promise

We are committed to supporting your work with high-quality reagents, and we're here for you every step of the way. In the unlikely event that one of our products does not perform as expected, you're protected by our Product Promise.
For full details, please see our Terms & Conditions

Associated Products

Select an associated product type
Alternative Product
Primary Antibodies

AB200544

Anti-MelanA antibody [A103-M27C10-M29E3]

primary-antibodies

melana-antibody-a103-m27c10-m29e3-ab200544

0

(0 reviews)

Alternative Product
Primary Antibodies

AB215756

Anti-MelanA antibody [MLANA/788]

primary-antibodies

melana-antibody-mlana-788-ab215756

0

(0 reviews)

Alternative Product
Primary Antibodies

AB236301

Anti-MelanA antibody [MLANA/1409R] - BSA and Azide free

primary-antibodies

melana-antibody-mlana-1409r-bsa-and-azide-free-ab236301

0

(0 reviews)

Alternative Product
Primary Antibodies

AB234416

Anti-MelanA antibody [MLANA/1409R]

primary-antibodies

melana-antibody-mlana-1409r-ab234416

0

(0 reviews)

Alternative Product
Primary Antibodies

AB212367

Anti-MelanA antibody [M2-7C10 + M2-9E3] - BSA and Azide free

primary-antibodies

melana-antibody-m2-7c10-m2-9e3-bsa-and-azide-free-ab212367

0

(0 reviews)

Alternative Product
Primary Antibodies

AB140503

Anti-MelanA antibody [OTI3E2]

primary-antibodies

melana-antibody-oti3e2-ab140503

0

(0 reviews)

Alternative Product
Primary Antibodies

AB210546

Anti-MelanA antibody [EPR20380]

primary-antibodies

melana-antibody-epr20380-ab210546

5

(15 reviews)

Alternative Product
Primary Antibodies

AB222483

Anti-MelanA antibody [EPR20380] - BSA and Azide free

primary-antibodies

melana-antibody-epr20380-bsa-and-azide-free-ab222483

5

(1 reviews)

Alternative Product
Primary Antibodies

AB225500

Alexa Fluor® 647 Anti-MelanA antibody [EPR20380]

primary-antibodies

alexa-fluor-647-melana-antibody-epr20380-ab225500

0

(0 reviews)

Alternative Product
Primary Antibodies

AB187369

Anti-MelanA antibody [M2-9E3]

primary-antibodies

melana-antibody-m2-9e3-ab187369

0

(0 reviews)

Alternative Product
Primary Antibodies

AB212366

Anti-MelanA antibody [A103 + M2-7C10 + M2-9E3] - BSA and Azide free

primary-antibodies

melana-antibody-a103-m2-7c10-m2-9e3-bsa-and-azide-free-ab212366

0

(0 reviews)

Alternative Product
Primary Antibodies

AB225499

PE Anti-MelanA antibody [EPR20380]

primary-antibodies

pe-melana-antibody-epr20380-ab225499

0

(0 reviews)

Alternative Version
Primary Antibodies

AB170090

Anti-MelanA antibody [EP1422Y] - Low endotoxin, Azide free

primary-antibodies

melana-antibody-ep1422y-low-endotoxin-azide-free-ab170090

0

(0 reviews)

Please note: All products are 'FOR RESEARCH USE ONLY. NOT FOR USE IN DIAGNOSTIC OR THERAPEUTIC PROCEDURES'.

For licensing inquiries, please contact partnerships@abcam.com