JavaScript is disabled in your browser. Please enable JavaScript to view this website.
AB170090

Anti-MelanA antibody [EP1422Y] - Low endotoxin, Azide free

Be the first to review this product! Submit a review

|

(1 Publication)

Rabbit Recombinant Monoclonal MelanA antibody. Carrier free. Suitable for IHC-P, WB, ICC/IF, Flow Cyt (Intra) and reacts with Human samples. Cited in 1 publication.

View Alternative Names

MART1, MLANA, Melanoma antigen recognized by T-cells 1, MART-1, Antigen LB39-AA, Antigen SK29-AA, Protein Melan-A

8 Images
Flow Cytometry (Intracellular) - Anti-MelanA antibody [EP1422Y] - Low endotoxin, Azide free (AB170090)
  • Flow Cyt (Intra)

Unknown

Flow Cytometry (Intracellular) - Anti-MelanA antibody [EP1422Y] - Low endotoxin, Azide free (AB170090)

Overlay histogram showing Malme-3M cells stained with ab51061 (red line). The cells were fixed with 80% methanol (5 min) and then permeabilized with 0.1% PBS-Tween for 20 min. The cells were then incubated in 1x PBS / 10% normal goat serum / 0.3M glycine to block non-specific protein-protein interactions followed by the antibody (ab51061, 1/1000 dilution) for 30 min at 22°C. The secondary antibody used was Alexa Fluor® 488 goat anti-rabbit IgG (H+L) (ab150077) at 1/2000 dilution for 30 min at 22°C. Isotype control antibody (black line) was rabbit IgG (monoclonal) (0.1μg/1x106 cells) used under the same conditions. Unlabelled sample (blue line) was also used as a control. Acquisition of >5,000 events were collected using a 20mW Argon ion laser (488nm) and 525/30 bandpass filter.

This data was developed using the same antibody clone in a different buffer formulation containing PBS, BSA, glycerol, and sodium azide (ab51061) (un-purified).

Immunocytochemistry/ Immunofluorescence - Anti-MelanA antibody [EP1422Y] - Low endotoxin, Azide free (AB170090)
  • ICC/IF

Unknown

Immunocytochemistry/ Immunofluorescence - Anti-MelanA antibody [EP1422Y] - Low endotoxin, Azide free (AB170090)

Immunocytochemistry/ Immunofluorescence analysis of MeWo (Human malignant melanoma fibroblast) cells labeling MelanA with Purified ab51061 at 1/100 dilution (10 µg/mL). Cells were fixed in 4% Paraformaldehyde and permeabilized with 0.1% tritonX-100. Cells were counterstained with ab195889 Anti-alpha Tubulin antibody [DM1A] - Microtubule Marker (Alexa Fluor® 594) 1/200 (2.5 µg/mL). Goat anti rabbit IgG (Alexa Fluor® 488, ab150077) was used as the secondary antibody at 1/1000 (2 µg/mL) dilution. DAPI (blue) was used as nuclear counterstain. PBS instead of the primary antibody was used as the secondary antibody only control.
This data was developed using the same antibody clone in a different buffer formulation containing PBS, BSA, glycerol, and sodium azide (ab51061).

Flow Cytometry (Intracellular) - Anti-MelanA antibody [EP1422Y] - Low endotoxin, Azide free (AB170090)
  • Flow Cyt (Intra)

Unknown

Flow Cytometry (Intracellular) - Anti-MelanA antibody [EP1422Y] - Low endotoxin, Azide free (AB170090)

Intracellular Flow Cytometry analysis of A375 (Human malignant melanoma epithelial cell, Left) / MeWo (Human malignant melanoma fibroblast, Right) cells labeling MelanA with Purified ab51061 at 1/1000 dilution (1 μg/mL) (Red). Cells were fixed with 4% Paraformaldehyde and permeabilised with 90% Methanol. A Goat anti rabbit IgG (Alexa Fluor® 488, ab150077) secondary antibody was used at 1/2000. Isotype control - Rabbit monoclonal IgG (Black). Unlabeled control - Cell without incubation with primary antibody and secondary antibody (Blue).

This data was developed using the same antibody clone in a different buffer formulation containing PBS, BSA, glycerol, and sodium azide (ab51061).

Immunohistochemistry (Formalin/PFA-fixed paraffin-embedded sections) - Anti-MelanA antibody [EP1422Y] - Low endotoxin, Azide free (AB170090)
  • IHC-P

Unknown

Immunohistochemistry (Formalin/PFA-fixed paraffin-embedded sections) - Anti-MelanA antibody [EP1422Y] - Low endotoxin, Azide free (AB170090)

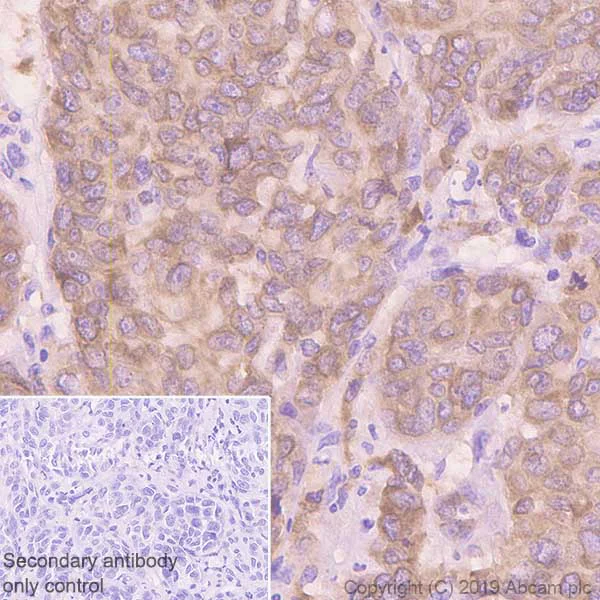
Immunohistochemistry (Formalin/PFA-fixed paraffin-embedded sections) analysis of human melanoma tissue sections labeling MelanA with Purified ab51061 at 1/1000 dilution (1.15 μg/mL). Heat mediated antigen retrieval using Bond™™ Epitope Retrieval Solution 2 (pH 9.0). Rabbit specific IHC polymer detection kit HRP/DAB (ab209101) was used as the secondary antibody. Negative control : PBS instead of the primary antibody. Hematoxylin was used as a counterstain.
This data was developed using the same antibody clone in a different buffer formulation containing PBS, BSA, glycerol, and sodium azide (ab51061).

Immunohistochemistry (Formalin/PFA-fixed paraffin-embedded sections) - Anti-MelanA antibody [EP1422Y] - Low endotoxin, Azide free (AB170090)
  • IHC-P

Lab

Immunohistochemistry (Formalin/PFA-fixed paraffin-embedded sections) - Anti-MelanA antibody [EP1422Y] - Low endotoxin, Azide free (AB170090)

Tissue Microarrays stained for Anti-MelanA antibody [EP1422Y] using ab51061 in immunohistochemical analysis. This table provides a detailed overview of positive (tick mark) and negative (cross mark) staining per sample type tested. The sections were pre-treated using Heat mediated antigen retrieval using Bond™ Epitope Retrieval Solution 2 (pH 9.0) for 20 minutes. The sections were incubated with ab51061 for 30 mins at room temperature followed by a ready to use Rabbit specific IHC polymer detection kit HRP/DAB (ab209101). The immunostaining was performed on a Leica Biosystems BOND® RX instrument.

This data was developed using the same antibody clone in a different buffer formulation containing PBS, BSA, glycerol, and sodium azide (ab51061).

Western blot - Anti-MelanA antibody [EP1422Y] - Low endotoxin, Azide free (AB170090)
  • WB

Unknown

Western blot - Anti-MelanA antibody [EP1422Y] - Low endotoxin, Azide free (AB170090)

Blocking/Diluting buffer : 5% NFDM/TBST

This data was developed using the same antibody clone in a different buffer formulation containing PBS, BSA, glycerol, and sodium azide (ab51061).

All lanes:

Western blot - Anti-MelanA antibody [EP1422Y] (<a href='/en-us/products/primary-antibodies/melana-antibody-ep1422y-ab51061'>ab51061</a>) at 1/20000 dilution

All lanes:

Human melanoma lysates at 15 µg

Secondary

All lanes:

Goat Anti-Rabbit IgG (HRP) with minimal cross-reactivity with human IgG at 1/2000 dilution

Predicted band size: 13 kDa

Observed band size: 20 kDa

false

Western blot - Anti-MelanA antibody [EP1422Y] - Low endotoxin, Azide free (AB170090)
  • WB

Lab

Western blot - Anti-MelanA antibody [EP1422Y] - Low endotoxin, Azide free (AB170090)

Blocking buffer : 5% NFDM/TBST.

This data was developed using the same antibody clone in a different buffer formulation containing PBS, BSA, glycerol, and sodium azide (ab51061).

All lanes:

Western blot - Anti-MelanA antibody [EP1422Y] (<a href='/en-us/products/primary-antibodies/melana-antibody-ep1422y-ab51061'>ab51061</a>) at 1/20000 dilution

All lanes:

MeWo (Human malignant melanoma fibroblast) whole cell lysate at 15 µg

Secondary

All lanes:

Western blot - Goat Anti-Rabbit IgG H&L (HRP) (<a href='/en-us/products/secondary-antibodies/goat-rabbit-igg-h-l-hrp-ab97051'>ab97051</a>) at 1/20000 dilution

Predicted band size: 13 kDa

Observed band size: 20 kDa

false

OI-RD Scanning - Anti-MelanA antibody [EP1422Y] - Low endotoxin, Azide free (AB170090)
  • OI-RD Scanning

Unknown

OI-RD Scanning - Anti-MelanA antibody [EP1422Y] - Low endotoxin, Azide free (AB170090)

We have systematically measured KD (the equilibrium dissociation constant between the antibody and its antigen), of more than 840 recombinant antibodies to assess not only their individual KD values but also to see the average affinity of antibody. Based on the comparison with published literature values for mouse monoclonal antibodies, Recombinant antibodies appear to be on average 1-2 order of magnitude higher affinity.

Key facts

Host species

Rabbit

Clonality

Monoclonal

Clone number

EP1422Y

Isotype

IgG

Carrier free

Yes

Reacts with

Human

Applications

IHC-P, Flow Cyt (Intra), WB, ICC/IF

applications

Immunogen

The exact immunogen used to generate this antibody is proprietary information.

Reactivity data

{ "title": "Reactivity Data", "filters": { "stats": ["", "Species", "Dilution Info", "Notes"], "tabs": { "all-applications": {"fullname" : "All Applications", "shortname": "All Applications"}, "IHCP" : {"fullname" : "Immunohistochemistry (Formalin/PFA-fixed paraffin-embedded sections)", "shortname":"IHC-P"}, "WB" : {"fullname" : "Western blot", "shortname":"WB"}, "ICCIF" : {"fullname" : "Immunocytochemistry/ Immunofluorescence", "shortname":"ICC/IF"}, "FlowCytIntra" : {"fullname" : "Flow Cytometry (Intracellular)", "shortname":"Flow Cyt (Intra)"} }, "product-promise": { "all": "all", "testedAndGuaranteed": "tested", "guaranteed": "expected", "predicted": "predicted", "notRecommended": "not-recommended" } }, "values": { "Human": { "IHCP-species-checked": "testedAndGuaranteed", "IHCP-species-dilution-info": "", "IHCP-species-notes": "<p>The immunostaining was performed on a Leica Biosystems BOND® RX instrument.</p>", "WB-species-checked": "testedAndGuaranteed", "WB-species-dilution-info": "", "WB-species-notes": "<p>Please check the parent abID, <a href='/en-us/products/primary-antibodies/melana-antibody-ep1422y-ab51061'>ab51061</a>, for more information on dilutions.</p>", "ICCIF-species-checked": "testedAndGuaranteed", "ICCIF-species-dilution-info": "", "ICCIF-species-notes": "<p></p>", "FlowCytIntra-species-checked": "testedAndGuaranteed", "FlowCytIntra-species-dilution-info": "", "FlowCytIntra-species-notes": "<p><a href='/en-us/products/primary-antibodies/rabbit-igg-monoclonal-epr25a-isotype-control-low-endotoxin-azide-free-ab199376'>ab199376</a> - Rabbit monoclonal IgG, is suitable for use as an isotype control with this antibody.</p>" } } }

Product details

ab170090 is the carrier-free version of ab51061.

Patented technology
Our RabMAb® technology is a patented hybridoma-based technology for making rabbit monoclonal antibodies. For details on our patents, please refer to RabMAb® patents.

What are the advantages of a recombinant monoclonal antibody?
This product is a recombinant monoclonal antibody, which offers several advantages including:

  • - High batch-to-batch consistency and reproducibility
  • - Improved sensitivity and specificity
  • - Long-term security of supply
  • - Animal-free batch production

For more information, read more on recombinant antibodies.

Conjugation ready
Our carrier-free antibodies are typically supplied in a PBS-only formulation, purified and free of BSA, sodium azide and glycerol. This conjugation-ready format is designed for use with fluorochromes, metal isotopes, oligonucleotides, and enzymes, which makes them ideal for antibody labelling, functional and cell-based assays, flow-based assays (e.g. mass cytometry) and Multiplex Imaging applications.

Use our conjugation kits for antibody conjugates that are ready-to-use in as little as 20 minutes with 1 minute hands-on-time and 100% antibody recovery: available for fluorescent dyes, HRP, biotin and gold.

Compatibility
This product is compatible with the Maxpar® Antibody Labeling Kit from Fluidigm, without the need for antibody preparation. Maxpar® is a trademark of Fluidigm Canada Inc.

What does low endotoxin mean?
Our low endotoxin, azide-free formats have low endotoxin level (1 EU/mg, determined by the TAL assay) and are free from azide, to achieve consistent experimental results in functional assays.

Properties and storage information

Form
Liquid
Purification technique
Affinity purification Protein A
Storage buffer
Constituents: PBS
Shipped at conditions
Blue Ice
Appropriate short-term storage conditions
+4°C
Appropriate long-term storage conditions
+4°C
Storage information
Do Not Freeze

Product protocols

For this product, it's our understanding that no specific protocols are required. You can visit:

Target data

Involved in melanosome biogenesis by ensuring the stability of GPR143. Plays a vital role in the expression, stability, trafficking, and processing of melanocyte protein PMEL, which is critical to the formation of stage II melanosomes.
See full target information MLANA

Publications (1)

Recent publications for all applications. Explore the full list and refine your search

Nutrients 17: PubMed41010517

2025

Modulation of Human Immune Cells by Propyl-Propane Thiosulfonate (PTSO) Inhibits Colorectal Tumor Progression in a Humanized Mouse Model.

Applications

Unspecified application

Species

Unspecified reactive species

María Jesús Rodríguez-Sojo,Luckman Gbati,Jose Alberto Molina-Tijeras,Ailec Ho-Plágaro,Teresa Vezza,Laura López-Escánez,Carmen Griñán-Lisón,Juan Antonio Marchal,Alberto Baños,María José Rodríguez-Sánchez,Jorge García-García,Antonio Jesús Ruiz-Malagón,Julio Gálvez,María Elena Rodríguez-Cabezas,Alba Rodríguez-Nogales
View all publications

Product promise

We are committed to supporting your work with high-quality reagents, and we're here for you every step of the way. In the unlikely event that one of our products does not perform as expected, you're protected by our Product Promise.
For full details, please see our Terms & Conditions

Please note: All products are 'FOR RESEARCH USE ONLY. NOT FOR USE IN DIAGNOSTIC OR THERAPEUTIC PROCEDURES'.

For licensing inquiries, please contact partnerships@abcam.com