JavaScript is disabled in your browser. Please enable JavaScript to view this website.
AB140503

Anti-MelanA antibody [OTI3E2]

Be the first to review this product! Submit a review

|

(2 Publications)

Mouse Monoclonal MelanA antibody. Suitable for WB, IHC-P, ICC/IF and reacts with Human, Dog, African green monkey samples. Cited in 2 publications. Immunogen corresponding to Recombinant Full Length Protein corresponding to Human MLANA.

View Alternative Names

MART1, MLANA, Melanoma antigen recognized by T-cells 1, MART-1, Antigen LB39-AA, Antigen SK29-AA, Protein Melan-A

5 Images
Immunohistochemistry (Formalin/PFA-fixed paraffin-embedded sections) - Anti-MelanA antibody [OTI3E2] (AB140503)
  • IHC-P

Supplier Data

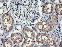
Immunohistochemistry (Formalin/PFA-fixed paraffin-embedded sections) - Anti-MelanA antibody [OTI3E2] (AB140503)

Immunohistochemical analysis of paraffin-embedded Human kidney tissue labelling MelanA with ab140503 at 1/150 dilution.

Immunohistochemistry (Formalin/PFA-fixed paraffin-embedded sections) - Anti-MelanA antibody [OTI3E2] (AB140503)
  • IHC-P

Supplier Data

Immunohistochemistry (Formalin/PFA-fixed paraffin-embedded sections) - Anti-MelanA antibody [OTI3E2] (AB140503)

Immunohistochemical analysis of paraffin-embedded Human pancreas tissue labelling MelanA with ab140503 at 1/150 dilution.

Immunocytochemistry/ Immunofluorescence - Anti-MelanA antibody [OTI3E2] (AB140503)
  • ICC/IF

Supplier Data

Immunocytochemistry/ Immunofluorescence - Anti-MelanA antibody [OTI3E2] (AB140503)

Immunofluorescent analysis of COS7 cells transiently transfected with pCMV6-ENTRY MelanA, labelling MelanA with ab140503 at 1/100 dilution.

Western blot - Anti-MelanA antibody [OTI3E2] (AB140503)
  • WB

Supplier Data

Western blot - Anti-MelanA antibody [OTI3E2] (AB140503)

All lanes:

Western blot - Anti-MelanA antibody [OTI3E2] (ab140503) at 1/200 dilution

All lanes:

MDCK cell lysate at 10 µg

Predicted band size: 13 kDa

false

Western blot - Anti-MelanA antibody [OTI3E2] (AB140503)
  • WB

Supplier Data

Western blot - Anti-MelanA antibody [OTI3E2] (AB140503)

All lanes:

Western blot - Anti-MelanA antibody [OTI3E2] (ab140503) at 1/4000 dilution

Lane 1:

HEK293T cell lysate transfected with pCMV6-ENTRY control at 5 µg

Lane 2:

HEK293T cell lysate transfected with pCMV6-ENTRY MelanA at 5 µg

Predicted band size: 13 kDa

false

Key facts

Host species

Mouse

Clonality

Monoclonal

Clone number

OTI3E2

Isotype

IgG1

Carrier free

No

Reacts with

Dog, Human, African green monkey

Applications

WB, IHC-P, ICC/IF

applications

Immunogen

Recombinant Full Length Protein corresponding to Human MLANA.

Q16655

Reactivity data

{ "title": "Reactivity Data", "filters": { "stats": ["", "Species", "Dilution Info", "Notes"], "tabs": { "all-applications": {"fullname" : "All Applications", "shortname": "All Applications"}, "WB" : {"fullname" : "Western blot", "shortname":"WB"}, "IHCP" : {"fullname" : "Immunohistochemistry (Formalin/PFA-fixed paraffin-embedded sections)", "shortname":"IHC-P"}, "ICCIF" : {"fullname" : "Immunocytochemistry/ Immunofluorescence", "shortname":"ICC/IF"} }, "product-promise": { "all": "all", "testedAndGuaranteed": "tested", "guaranteed": "expected", "predicted": "predicted", "notRecommended": "not-recommended" } }, "values": { "Human": { "WB-species-checked": "testedAndGuaranteed", "WB-species-dilution-info": "1/4000", "WB-species-notes": "<p></p>", "IHCP-species-checked": "testedAndGuaranteed", "IHCP-species-dilution-info": "1/150", "IHCP-species-notes": "<p></p>", "ICCIF-species-checked": "guaranteed", "ICCIF-species-dilution-info": "", "ICCIF-species-notes": "" }, "African green monkey": { "WB-species-checked": "guaranteed", "WB-species-dilution-info": "", "WB-species-notes": "", "IHCP-species-checked": "guaranteed", "IHCP-species-dilution-info": "", "IHCP-species-notes": "", "ICCIF-species-checked": "testedAndGuaranteed", "ICCIF-species-dilution-info": "1/100", "ICCIF-species-notes": "<p></p>" }, "Dog": { "WB-species-checked": "testedAndGuaranteed", "WB-species-dilution-info": "1/4000", "WB-species-notes": "<p></p>", "IHCP-species-checked": "guaranteed", "IHCP-species-dilution-info": "", "IHCP-species-notes": "", "ICCIF-species-checked": "guaranteed", "ICCIF-species-dilution-info": "", "ICCIF-species-notes": "" } } }

Product details

The clone number has been updated from 3E2 to OTI3E2, both clone numbers name the same clone.

Properties and storage information

Form
Liquid
Purification technique
Affinity purification
Purification notes
Purified from cell culture supernatant by affinity chromatography
Storage buffer
pH: 7.3 Preservative: 0.02% Sodium azide Constituents: PBS, 50% Glycerol (glycerin, glycerine), 1% BSA
Shipped at conditions
Blue Ice
Appropriate short-term storage conditions
+4°C
Appropriate long-term storage conditions
-20°C
Aliquoting information
Upon delivery aliquot
Storage information
Avoid freeze / thaw cycle

Product protocols

For this product, it's our understanding that no specific protocols are required. You can visit:

Target data

Involved in melanosome biogenesis by ensuring the stability of GPR143. Plays a vital role in the expression, stability, trafficking, and processing of melanocyte protein PMEL, which is critical to the formation of stage II melanosomes.
See full target information MLANA

Publications (2)

Recent publications for all applications. Explore the full list and refine your search

The British journal of dermatology 185:391-404 PubMed33400324

2021

Opsin 5 is a key regulator of ultraviolet radiation-induced melanogenesis in human epidermal melanocytes.

Applications

Unspecified application

Species

Unspecified reactive species

Y Lan,W Zeng,X Dong,H Lu

Science signaling 9:ra86 PubMed27577261

2016

Distinct microenvironmental cues stimulate divergent TLR4-mediated signaling pathways in macrophages.

Applications

Unspecified application

Species

Unspecified reactive species

Anna M Piccinini,Lorena Zuliani-Alvarez,Jenny M P Lim,Kim S Midwood
View all publications

Product promise

We are committed to supporting your work with high-quality reagents, and we're here for you every step of the way. In the unlikely event that one of our products does not perform as expected, you're protected by our Product Promise.
For full details, please see our Terms & Conditions

Please note: All products are 'FOR RESEARCH USE ONLY. NOT FOR USE IN DIAGNOSTIC OR THERAPEUTIC PROCEDURES'.

For licensing inquiries, please contact partnerships@abcam.com