JavaScript is disabled in your browser. Please enable JavaScript to view this website.
AB34165

Anti-Melanoma Associated Antigen 100+ / 7 kDa antibody [NKI/beteb]

Be the first to review this product! Submit a review

|

(9 Publications)

Mouse Monoclonal Melanoma gp100 antibody. Suitable for IHC-P, Flow Cyt and reacts with Human samples. Cited in 9 publications. Immunogen corresponding to Tissue preparation containing Melanoma Associated Antigen 100+ / 7 kDa protein.

View Alternative Names

MAA

2 Images
Flow Cytometry - Anti-Melanoma Associated Antigen 100+ / 7 kDa antibody [NKI/beteb] (AB34165)
  • Flow Cyt

Unknown

Flow Cytometry - Anti-Melanoma Associated Antigen 100+ / 7 kDa antibody [NKI/beteb] (AB34165)

Overlay histogram showing Malme-3 cells stained with ab34165 (red line). The cells were fixed with 80% methanol (5 min) and then permeabilized with 0.1% PBS-Tween for 20 min. The cells were then incubated in 1x PBS / 10% normal goat serum / 0.3M glycine to block non-specific protein-protein interactions followed by the antibody (ab34165, 1μg/1x106 cells) for 30 min at 22°C. The secondary antibody used was DyLight® 488 goat anti-mouse IgG (H+L) (ab96879) at 1/500 dilution for 30 min at 22°C. Isotype control antibody (black line) was mouse IgG2b [PLPV219] (ab91366, 2μg/1x106 cells) used under the same conditions. Acquisition of >5,000 events was performed. This antibody gave a positive signal in Malme-3 cells fixed with 4% paraformaldehyde/permeabilized in 0.1% PBS-Tween used under the same conditions.

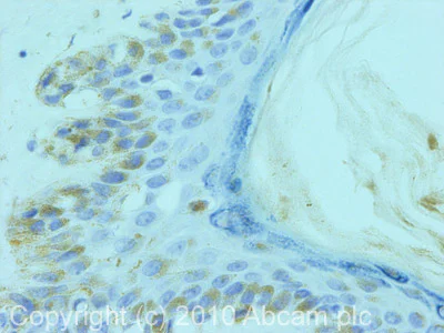
Immunohistochemistry (Formalin/PFA-fixed paraffin-embedded sections) - Anti-Melanoma Associated Antigen 100+ / 7 kDa antibody [NKI/beteb] (AB34165)
  • IHC-P

Unknown

Immunohistochemistry (Formalin/PFA-fixed paraffin-embedded sections) - Anti-Melanoma Associated Antigen 100+ / 7 kDa antibody [NKI/beteb] (AB34165)

IHC image of ab34165 staining in human melanoma formalin fixed paraffin embedded tissue section, performed on a Leica BondTM system using the standard protocol F. The section was pre-treated using heat mediated antigen retrieval with sodium citrate buffer (pH6, epitope retrieval solution 1) for 20 mins. The section was then incubated with ab34165 5µg/ml, for 15 mins at room temperature and detected using an HRP conjugated compact polymer system. DAB was used as the chromogen. The section was then counterstained with haematoxylin and mounted with DPX.

For other IHC staining systems (automated and non-automated) customers should optimize variable parameters such as antigen retrieval conditions, primary antibody concentration and antibody incubation times.

Key facts

Host species

Mouse

Clonality

Monoclonal

Clone number

NKI/beteb

Isotype

IgG2b

Carrier free

No

Reacts with

Human

Applications

IHC-P, Flow Cyt

applications

Immunogen

The exact immunogen used to generate this antibody is proprietary information.

Reactivity data

{ "title": "Reactivity Data", "filters": { "stats": ["", "Species", "Dilution Info", "Notes"], "tabs": { "all-applications": {"fullname" : "All Applications", "shortname": "All Applications"}, "IHCP" : {"fullname" : "Immunohistochemistry (Formalin/PFA-fixed paraffin-embedded sections)", "shortname":"IHC-P"}, "FlowCyt" : {"fullname" : "Flow Cytometry", "shortname":"Flow Cyt"} }, "product-promise": { "all": "all", "testedAndGuaranteed": "tested", "guaranteed": "expected", "predicted": "predicted", "notRecommended": "not-recommended" } }, "values": { "Human": { "IHCP-species-checked": "testedAndGuaranteed", "IHCP-species-dilution-info": "1/5 - 1/20", "IHCP-species-notes": "<p>Formalin fixation and embedding in paraffin may affect the reactivity of the antibody.</p>", "FlowCyt-species-checked": "testedAndGuaranteed", "FlowCyt-species-dilution-info": "1 µg for 10^6 Cells", "FlowCyt-species-notes": "<p>Also see PubMed: 21247888.</p><p><a href='/en-us/products/primary-antibodies/mouse-igg2b-kappa-monoclonal-7e10g10-isotype-control-ab170192'>ab170192</a> - Mouse monoclonal IgG2b, is suitable for use as an isotype control with this antibody.</p>" } } }

Properties and storage information

Form
Liquid
Purification technique
Affinity purification Protein G
Storage buffer
pH: 7.3 Preservative: 0.02% Sodium azide Constituents: PBS, 0.1% BSA
Shipped at conditions
Blue Ice
Appropriate short-term storage duration
Up to 12 months
Appropriate short-term storage conditions
+4°C
Appropriate long-term storage conditions
+4°C
Aliquoting information
Upon delivery aliquot

Product protocols

For this product, it's our understanding that no specific protocols are required. You can visit:

Publications (9)

Recent publications for all applications. Explore the full list and refine your search

STAR protocols 4:102334 PubMed37243599

2023

In vitro quantification of pigment production and transfer in 2D co-cultures and 3D skin organotypic.

Applications

Unspecified application

Species

Unspecified reactive species

Rachel Phua,Tracy Zhijun Tien,Gracia Goh,Nikolaos Pantelireis,Kenice Siew Hoon Sim,Jamien Lim,Carlos Clavel

International journal of molecular sciences 21: PubMed32121295

2020

Beta3-Tubulin is Critical for Microtubule Dynamics, Cell Cycle Regulation, and Spontaneous Release of Microvesicles in Human Malignant Melanoma Cells (A375).

Applications

Unspecified application

Species

Unspecified reactive species

Mohammed O Altonsy,Anutosh Ganguly,Matthias Amrein,Philip Surmanowicz,Shu Shun Li,Gilles J Lauzon,P Régine Mydlarski

Methods in molecular biology (Clifton, N.J.) 2109:55-65 PubMed31161578

2019

Quantification of Melanosome Transfer Using Immunofluorescence Microscopy and Automated Image Analysis.

Applications

Unspecified application

Species

Unspecified reactive species

Aishwarya Sridharan,S Y John Lim,Graham D Wright,Leah A Vardy

Journal of cell science 132: PubMed30709920

2019

The PIKfyve complex regulates the early melanosome homeostasis required for physiological amyloid formation.

Applications

Unspecified application

Species

Unspecified reactive species

Christin Bissig,Pauline Croisé,Xavier Heiligenstein,Ilse Hurbain,Guy M Lenk,Emily Kaufman,Ragna Sannerud,Wim Annaert,Miriam H Meisler,Lois S Weisman,Graça Raposo,Guillaume van Niel

Journal of molecular biology 430:3802-3818 PubMed29940187

2018

ABCB6 Resides in Melanosomes and Regulates Early Steps of Melanogenesis Required for PMEL Amyloid Matrix Formation.

Applications

Unspecified application

Species

Unspecified reactive species

Ptissam Bergam,Johannes M Reisecker,Zsófia Rakvács,Nóra Kucsma,Graça Raposo,Gergely Szakacs,Guillaume van Niel

Scientific reports 8:9112 PubMed29904107

2018

Pathological modelling of pigmentation disorders associated with Hutchinson-Gilford Progeria Syndrome (HGPS) revealed an impaired melanogenesis pathway in iPS-derived melanocytes.

Applications

Unspecified application

Species

Unspecified reactive species

Alessandra Lo Cicero,Manoubia Saidani,Jennifer Allouche,Anne Laure Egesipe,Lucile Hoch,Celine Bruge,Sabine Sigaudy,Annachiara De Sandre-Giovannoli,Nicolas Levy,Christine Baldeschi,Xavier Nissan

The Journal of biological chemistry 286:9321-37 PubMed21247888

2011

Proprotein convertases process Pmel17 during secretion.

Applications

Flow Cyt

Species

Human

Ralf M Leonhardt,Nathalie Vigneron,Christoph Rahner,Peter Cresswell

The Journal of biological chemistry 285:16166-83 PubMed20231267

2010

Endoplasmic reticulum export, subcellular distribution, and fibril formation by Pmel17 require an intact N-terminal domain junction.

Applications

ICC/IF

Species

Human

Ralf M Leonhardt,Nathalie Vigneron,Christoph Rahner,Benoît J Van den Eynde,Peter Cresswell

The American journal of pathology 130:179-92 PubMed3276209

1988

A monoclonal antibody specific for cells of the melanocyte lineage.

Applications

Unspecified application

Species

Unspecified reactive species

C Vennegoor,P Hageman,H Van Nouhuijs,D J Ruiter,J Calafat,P J Ringens,P Rümke
View all publications

Product promise

We are committed to supporting your work with high-quality reagents, and we're here for you every step of the way. In the unlikely event that one of our products does not perform as expected, you're protected by our Product Promise.
For full details, please see our Terms & Conditions

Please note: All products are 'FOR RESEARCH USE ONLY. NOT FOR USE IN DIAGNOSTIC OR THERAPEUTIC PROCEDURES'.

For licensing inquiries, please contact partnerships@abcam.com