JavaScript is disabled in your browser. Please enable JavaScript to view this website.
AB193201

Anti-Melanoma gp100 antibody [EP4863(2)] - Low endotoxin, Azide free

Be the first to review this product! Submit a review

|

(1 Publication)

Rabbit Recombinant Monoclonal Melanoma gp100 antibody. Carrier free. Suitable for IHC-P, ICC/IF, IP, WB, Flow Cyt (Intra), IA and reacts with Human, Mouse samples. Cited in 1 publication.

View Alternative Names

D12S53E, PMEL17, SILV, PMEL, Melanocyte protein PMEL, ME20-M, Melanocyte protein Pmel 17, Melanocytes lineage-specific antigen GP100, Melanoma-associated ME20 antigen, P1, P100, Premelanosome protein, Silver locus protein homolog, ME20M

8 Images
Flow Cytometry (Intracellular) - Anti-Melanoma gp100 antibody [EP4863(2)] - Low endotoxin, Azide free (AB193201)
  • Flow Cyt (Intra)

Lab

Flow Cytometry (Intracellular) - Anti-Melanoma gp100 antibody [EP4863(2)] - Low endotoxin, Azide free (AB193201)

This data was developed using the same antibody clone in a different buffer formulation (ab137078).

Flow cytometry overlay histogram showing left B16-F10 positive cells and right negative Raw264.7 stained with ab137078 (red line). The cells were fixed with 80% methanol (5 mins) and then permeabilised with 0.1% PBS-Triton X-100 for 15 mins. The cells were then incubated in 1x PBS containing 10μg/ml anti CD16/CD32 and 10% normal goat serum to block FC receptors and non-specific protein-protein interaction followed by the antibody (ab137078) (1x 106 in 100μl at 1.0μg/ml (1/500 dilution)) for 30 mins at 22°C.

The secondary antibody Goat Anti-Rabbit IgG H&L (Alexa Fluor® 488) preadsorbed was incubated at 1/4000 dilution for 30 mins at 22°C

Isotype control antibody (black line) was Recombinant Rabbit IgG, monoclonal [EPR25A] - Isotype Control (ab172730) used at the same concentration and conditions as the primary antibody. Unlabelled sample (blue line) was also used as a control.

Acquisition of >5000 events were collected using a 50 mW Blue laser (488nm) and 525/40 bandpass filter.

This antibody gave a positive signal in B16-F10 Fixed with 4% formaldehyde (10 min) / permeabilised with 0.1% PBS-Triton X-100 for 15 minss under the same conditions.

Flow Cytometry (Intracellular) - Anti-Melanoma gp100 antibody [EP4863(2)] - Low endotoxin, Azide free (AB193201)
  • Flow Cyt (Intra)

Lab

Flow Cytometry (Intracellular) - Anti-Melanoma gp100 antibody [EP4863(2)] - Low endotoxin, Azide free (AB193201)

This data was developed using the same antibody clone in a different buffer formulation (ab137078).

Flow cytometry overlay histogram showing left Malme-3M positive cells and right negative A-375 stained with ab137078 (red line). The cells were fixed with 4% formaldehyde (10 min) and then permeabilised with 0.1% PBS-Triton X-100 for 15 mins. The cells were then incubated in 1x PBS containing 10% normal goat serum to block non-specific protein-protein interaction followed by the antibody (ab137078) (1x 106 in 100μl at 1.0μg/ml (1/500 dilution)) for 30 mins at 22°C.

The secondary antibody Goat Anti-Rabbit IgG H&L (Alexa Fluor® 488) preadsorbed was incubated at 1/4000 dilution for 30 mins at 22°C

Isotype control antibody (black line) was Recombinant Rabbit IgG, monoclonal [EPR25A] - Isotype Control (ab172730) used at the same concentration and conditions as the primary antibody. Unlabelled sample (blue line) was also used as a control.

Acquisition of >5000 events were collected using a 50 mW Blue laser (488nm) and 525/40 bandpass filter.

Western blot - Anti-Melanoma gp100 antibody [EP4863(2)] - Low endotoxin, Azide free (AB193201)
  • WB

Unknown

Western blot - Anti-Melanoma gp100 antibody [EP4863(2)] - Low endotoxin, Azide free (AB193201)

Exposure time : 50 seconds

Observed MW : 85-100 KDa

The molecular weights observed are consistent with what have been described in PMID : 16492709 and PMID : 7961886

This data was developed using the same antibody clone in a different buffer formulation containing PBS, BSA, glycerol, and sodium azide (ab137078).

All lanes:

Western blot - Anti-Melanoma gp100 antibody [EP4863(2)] (<a href='/en-us/products/primary-antibodies/melanoma-gp100-antibody-ep48632-ab137078'>ab137078</a>) at 1/10000 dilution

All lanes:

B16-F0 (Mouse melanoma epithelial cell-like) whole cell lysate at 15 µg

Secondary

All lanes:

Western blot - Goat Anti-Rabbit IgG H&L (HRP) (<a href='/en-us/products/secondary-antibodies/goat-rabbit-igg-h-l-hrp-ab97051'>ab97051</a>) at 1/20000 dilution

Predicted band size: 70 kDa

false

Flow Cytometry (Intracellular) - Anti-Melanoma gp100 antibody [EP4863(2)] - Low endotoxin, Azide free (AB193201)
  • Flow Cyt (Intra)

Unknown

Flow Cytometry (Intracellular) - Anti-Melanoma gp100 antibody [EP4863(2)] - Low endotoxin, Azide free (AB193201)

Overlay histogram showing B16-F0 (Mouse skin melanoma cell) cells stained with ab137078 (red line). The cells were fixed with 4% paraformaldehydeand then permeabilized with 90% methanol. The cells were then incubated with ab137078 at 1/40 dilution. The secondary antibody used wasGoat anti rabbit IgG (Alexa Fluor® 488, ab150077) at 1/2000 dilution. Isotype control antibody (black line) was Rabbit monoclonal IgG (ab172730). Unlabelled control (blue line) was cells without incubation with primary antibody and secondary antibody.

This data was developed using the same antibody clone in a different buffer formulation containing PBS, BSA, glycerol, and sodium azide (ab137078).

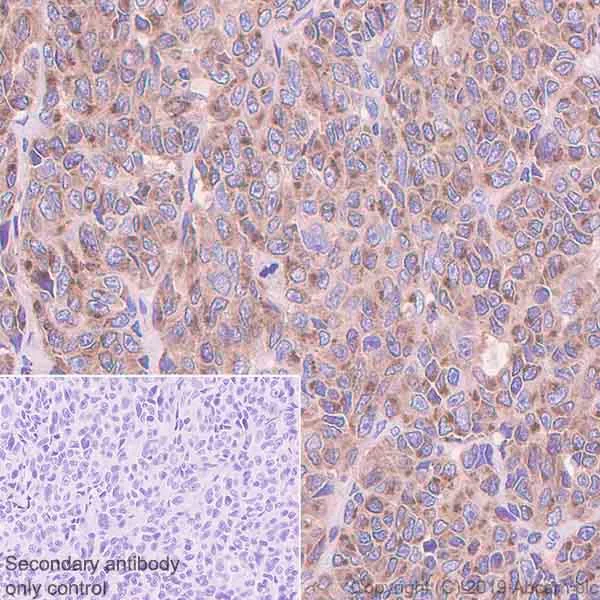
Immunohistochemistry (Formalin/PFA-fixed paraffin-embedded sections) - Anti-Melanoma gp100 antibody [EP4863(2)] - Low endotoxin, Azide free (AB193201)
  • IHC-P

Unknown

Immunohistochemistry (Formalin/PFA-fixed paraffin-embedded sections) - Anti-Melanoma gp100 antibody [EP4863(2)] - Low endotoxin, Azide free (AB193201)

ab137078 staining Melanoma gp100 in human melanoma tissue sections by Immunohistochemistry (IHC-P - paraformaldehyde-fixed, paraffin-embedded sections). Tissue was fixed with paraformaldehyde and antigen retrieval was by heat mediation in a EDTA buffer. Samples were incubated with primary antibody at a dilution of 1/250 for 30 minutes at room temperature. Rabbit specific IHC polymer detection kit HRP/DAB (ab209101) was used as the secondary antibody.

The immunostaining staining was performed on a Leica Biosystems BOND® RX instrument.

This data was developed using the same antibody clone in a different buffer formulation containing PBS, BSA, glycerol, and sodium azide (ab137078).

Immunocytochemistry/ Immunofluorescence - Anti-Melanoma gp100 antibody [EP4863(2)] - Low endotoxin, Azide free (AB193201)
  • ICC/IF

Unknown

Immunocytochemistry/ Immunofluorescence - Anti-Melanoma gp100 antibody [EP4863(2)] - Low endotoxin, Azide free (AB193201)

ab137078 staining Melanoma gp100 in B16-F0 (mouse skin) cells by ICC (Immunocytochemistry). Cells were fixed with 4% Paraformaldehyde and permeabilized with 0.1% Triton X-100. Samples were incubated with primary antibody at a dilution of 1/50. A goat anti rabbit IgG (Alexa Fluor® 488) (ab150077) was used as the secondary antibody at a dilution of 1/1000. Anti-alpha Tubulin antibody [DM1A] - Microtubule Marker (Alexa Fluor® 594) ab195889 was used as a counterstain at a dilution of 1/200. DAPI was used as a nuclear counterstain.

This data was developed using the same antibody clone in a different buffer formulation containing PBS, BSA, glycerol, and sodium azide (ab137078).

Immunoprecipitation - Anti-Melanoma gp100 antibody [EP4863(2)] - Low endotoxin, Azide free (AB193201)
  • IP

Unknown

Immunoprecipitation - Anti-Melanoma gp100 antibody [EP4863(2)] - Low endotoxin, Azide free (AB193201)

ab137078 immunoprecipitating Melanoma gp100. 10μg of cell lysate was incubated with primary antibody at a dilution of 1/500 and VeriBlot for IP Detection Reagent (HRP) (ab131366) at a dilution of 1/10000.

Lane 1 : B16-F0 (mouse melanoma epithelial cell-like) whole cell lysate 10ug
Lane 2 : B16-F0 (mouse melanoma epithelial cell-like) whole cell lysate
Lane 3 : Rabbit monoclonal IgG (ab172730) instead of ab137078 in B16-F0 whole cell lysate

Exposure time : 1 second

Observed MW : 85-100 KDa

This data was developed using the same antibody clone in a different buffer formulation containing PBS, BSA, glycerol, and sodium azide (ab137078).

All lanes:

Immunoprecipitation - Anti-Melanoma gp100 antibody [EP4863(2)] (<a href='/en-us/products/primary-antibodies/melanoma-gp100-antibody-ep48632-ab137078'>ab137078</a>)

Predicted band size: 70 kDa

false

Western blot - Anti-Melanoma gp100 antibody [EP4863(2)] - Low endotoxin, Azide free (AB193201)
  • WB

Unknown

Western blot - Anti-Melanoma gp100 antibody [EP4863(2)] - Low endotoxin, Azide free (AB193201)

Exposure time : 18-0 seconds

Observed MW : 85-100 KDa

The molecular weights observed are consistent with what have been described in PMID : 16492709 and PMID : 7961886

This data was developed using the same antibody clone in a different buffer formulation containing PBS, BSA, glycerol, and sodium azide (ab137078).

All lanes:

Western blot - Anti-Melanoma gp100 antibody [EP4863(2)] (<a href='/en-us/products/primary-antibodies/melanoma-gp100-antibody-ep48632-ab137078'>ab137078</a>) at 1/1000 dilution

All lanes:

Human melanoma lysate 15μg

Secondary

All lanes:

Goat Anti-Rabbit IgG (HRP) with minimal cross-reactivity with human IgG at 1/2000 dilution

Predicted band size: 70 kDa

false

Key facts

Host species

Rabbit

Clonality

Monoclonal

Clone number

EP4863(2)

Isotype

IgG

Carrier free

Yes

Reacts with

Mouse, Human

Applications

IP, WB, ICC/IF, IHC-P, IA, Flow Cyt (Intra)

applications

Immunogen

The exact immunogen used to generate this antibody is proprietary information.

Specificity

The mouse recommendation is based on the WB results. We do not guarantee IHC-P for mouse.

Reactivity data

{ "title": "Reactivity Data", "filters": { "stats": ["", "Species", "Dilution Info", "Notes"], "tabs": { "all-applications": {"fullname" : "All Applications", "shortname": "All Applications"}, "IHCP" : {"fullname" : "Immunohistochemistry (Formalin/PFA-fixed paraffin-embedded sections)", "shortname":"IHC-P"}, "ICCIF" : {"fullname" : "Immunocytochemistry/ Immunofluorescence", "shortname":"ICC/IF"}, "IP" : {"fullname" : "Immunoprecipitation", "shortname":"IP"}, "WB" : {"fullname" : "Western blot", "shortname":"WB"}, "FlowCytIntra" : {"fullname" : "Flow Cytometry (Intracellular)", "shortname":"Flow Cyt (Intra)"}, "IA" : {"fullname" : "Immunoassay", "shortname":"IA"} }, "product-promise": { "all": "all", "testedAndGuaranteed": "tested", "guaranteed": "expected", "predicted": "predicted", "notRecommended": "not-recommended" } }, "values": { "Human": { "IHCP-species-checked": "testedAndGuaranteed", "IHCP-species-dilution-info": "", "IHCP-species-notes": "<p>The mouse recommendation is based on the WB results. We do not guarantee IHC-P for mouse.</p> Perform heat-mediated antigen retrieval with citrate buffer pH 6 before commencing with IHC staining protocol.", "ICCIF-species-checked": "guaranteed", "ICCIF-species-dilution-info": "", "ICCIF-species-notes": "", "IP-species-checked": "guaranteed", "IP-species-dilution-info": "", "IP-species-notes": "", "WB-species-checked": "testedAndGuaranteed", "WB-species-dilution-info": "", "WB-species-notes": "<p></p>", "FlowCytIntra-species-checked": "testedAndGuaranteed", "FlowCytIntra-species-dilution-info": "", "FlowCytIntra-species-notes": "<p></p>", "IA-species-checked": "guaranteed", "IA-species-dilution-info": "", "IA-species-notes": "<p></p>" }, "Mouse": { "IHCP-species-checked": "guaranteed", "IHCP-species-dilution-info": "", "IHCP-species-notes": "", "ICCIF-species-checked": "testedAndGuaranteed", "ICCIF-species-dilution-info": "", "ICCIF-species-notes": "<p></p>", "IP-species-checked": "testedAndGuaranteed", "IP-species-dilution-info": "", "IP-species-notes": "<p></p>", "WB-species-checked": "testedAndGuaranteed", "WB-species-dilution-info": "", "WB-species-notes": "<p></p>", "FlowCytIntra-species-checked": "testedAndGuaranteed", "FlowCytIntra-species-dilution-info": "", "FlowCytIntra-species-notes": "<p><a href='/en-us/products/primary-antibodies/rabbit-igg-monoclonal-epr25a-isotype-control-low-endotoxin-azide-free-ab199376'>ab199376</a> - Rabbit monoclonal IgG, is suitable for use as an isotype control with this antibody.</p>", "IA-species-checked": "predicted", "IA-species-dilution-info": "", "IA-species-notes": "" } } }

Product details

ab193201 is the carrier-free version of ab137078.

Patented technology
Our RabMAb® technology is a patented hybridoma-based technology for making rabbit monoclonal antibodies. For details on our patents, please refer to RabMAb® patents.

Species reactivity
Rat: We have preliminary internal testing data to indicate this antibody may not react with this species.
Please contact us for more information.

Conjugation ready
Our carrier-free antibodies are typically supplied in a PBS-only formulation, purified and free of BSA, sodium azide and glycerol. This conjugation-ready format is designed for use with fluorochromes, metal isotopes, oligonucleotides, and enzymes, which makes them ideal for antibody labelling, functional and cell-based assays, flow-based assays (e.g. mass cytometry) and Multiplex Imaging applications.

Use our conjugation kits for antibody conjugates that are ready-to-use in as little as 20 minutes with 1 minute hands-on-time and 100% antibody recovery: available for fluorescent dyes, HRP, biotin and gold.

What does low endotoxin mean?
Our low endotoxin, azide-free formats have low endotoxin level (1 EU/mg, determined by the TAL assay) and are free from azide, to achieve consistent experimental results in functional assays.

Properties and storage information

Form
Liquid
Purification technique
Affinity purification Protein A
Storage buffer
pH: 7.2 - 7.4 Constituents: PBS
Shipped at conditions
Blue Ice
Appropriate short-term storage conditions
+4°C
Appropriate long-term storage conditions
+4°C
Storage information
Do Not Freeze

Product protocols

For this product, it's our understanding that no specific protocols are required. You can visit:

Target data

Forms physiological amyloids that play a central role in melanosome morphogenesis and pigmentation. The maturation of unpigmented premelanosomes from stage I to II is marked by assembly of processed amyloidogenic fragments into parallel fibrillar sheets, which elongate the vesicle into a striated ellipsoidal shape. In pigmented stage III and IV melanosomes, the amyloid matrix serves as a platform where eumelanin precursors accumulate at high local concentrations for pigment formation. May prevent pigmentation-associated toxicity by sequestering toxic reaction intermediates of eumelanin biosynthesis pathway.. Represents a potent melanoma-specific antigen. Among melanoma non-mutated self-peptides, G9-154 (KTWGQYWQV), G9-209 (ITDQVPFSV) and G9-280 (YLEPGPVTA), appear to act as immunodominant common epitopes that stimulate anti-tumor immune response mediated by HLA-A-restricted cytotoxic T cells.
See full target information PMEL

Publications (1)

Recent publications for all applications. Explore the full list and refine your search

Molecular biology of the cell 24:964-81 PubMed23389629

2013

Critical residues in the PMEL/Pmel17 N-terminus direct the hierarchical assembly of melanosomal fibrils.

Applications

WB, ICC/IF

Species

Human, Human

Ralf M Leonhardt,Nathalie Vigneron,Jia Shee Hee,Morven Graham,Peter Cresswell
View all publications

Product promise

We are committed to supporting your work with high-quality reagents, and we're here for you every step of the way. In the unlikely event that one of our products does not perform as expected, you're protected by our Product Promise.
For full details, please see our Terms & Conditions

Associated Products

Select an associated product type
Alternative Product
Primary Antibodies

AB237898

Anti-Melanoma gp100 antibody [PMEL/2038] - BSA and Azide free

primary-antibodies

melanoma-gp100-antibody-pmel-2038-bsa-and-azide-free-ab237898

0

(0 reviews)

Alternative Product
Primary Antibodies

AB212829

Anti-Melanoma gp100 antibody [HMB45] - BSA and Azide free

primary-antibodies

melanoma-gp100-antibody-hmb45-bsa-and-azide-free-ab212829

0

(0 reviews)

Alternative Product
Primary Antibodies

AB238048

Anti-Melanoma gp100 antibody [PMEL/2038]

primary-antibodies

melanoma-gp100-antibody-pmel-2038-ab238048

0

(0 reviews)

Alternative Product
Primary Antibodies

AB787

Anti-Melanoma gp100 antibody [HMB45]

primary-antibodies

melanoma-gp100-antibody-hmb45-ab787

3

(3 reviews)

Alternative Product
Primary Antibodies

AB206094

HRP Anti-Melanoma gp100 antibody [EPR4864]

primary-antibodies

hrp-melanoma-gp100-antibody-epr4864-ab206094

0

(0 reviews)

Alternative Product
Primary Antibodies

AB190913

Anti-Melanoma gp100 antibody [EPR4864] - BSA and Azide free

primary-antibodies

melanoma-gp100-antibody-epr4864-bsa-and-azide-free-ab190913

0

(0 reviews)

Alternative Product
Primary Antibodies

AB137062

Anti-Melanoma gp100 antibody [EPR4864]

primary-antibodies

melanoma-gp100-antibody-epr4864-ab137062

5

(1 reviews)

Alternative Product
Primary Antibodies

AB238047

Anti-Melanoma gp100 antibody [PMEL/2037]

primary-antibodies

melanoma-gp100-antibody-pmel-2037-ab238047

0

(0 reviews)

Alternative Version
Primary Antibodies

AB205469

HRP Anti-Melanoma gp100 antibody [EP4863(2)]

primary-antibodies

hrp-melanoma-gp100-antibody-ep48632-ab205469

0

(0 reviews)

Alternative Version
Primary Antibodies

AB204674

Biotin Anti-Melanoma gp100 antibody [EP4863(2)]

primary-antibodies

biotin-melanoma-gp100-antibody-ep48632-ab204674

0

(0 reviews)

Alternative Version
Primary Antibodies

AB137078

Anti-Melanoma gp100 antibody [EP4863(2)]

primary-antibodies

melanoma-gp100-antibody-ep48632-ab137078

5

(14 reviews)

Alternative Version
Primary Antibodies

AB311667

Alexa Fluor® 594 Anti-Melanoma gp100 antibody [EP4863(2)]

primary-antibodies

alexa-fluor-594-melanoma-gp100-antibody-ep48632-ab311667

0

(0 reviews)

Alternative Version
Primary Antibodies

AB310824

APC Anti-Melanoma gp100 antibody [EP4863(2)]

primary-antibodies

apc-melanoma-gp100-antibody-ep48632-ab310824

0

(0 reviews)

Alternative Version
Primary Antibodies

AB246731

PE Anti-Melanoma gp100 antibody [EP4863(2)]

primary-antibodies

pe-melanoma-gp100-antibody-ep48632-ab246731

0

(0 reviews)

Alternative Version
Primary Antibodies

AB246730

Alexa Fluor® 647 Anti-Melanoma gp100 antibody [EP4863(2)]

primary-antibodies

alexa-fluor-647-melanoma-gp100-antibody-ep48632-ab246730

0

(0 reviews)

Alternative Version
Primary Antibodies

AB256497

Anti-Melanoma gp100 antibody [EP4863(2)] - BSA and Azide free

primary-antibodies

melanoma-gp100-antibody-ep48632-bsa-and-azide-free-ab256497

0

(0 reviews)

Alternative Version
Primary Antibodies

AB313152

Alexa Fluor® 555 Anti-Melanoma gp100 antibody [EP4863(2)]

primary-antibodies

alexa-fluor-555-melanoma-gp100-antibody-ep48632-ab313152

0

(0 reviews)

Please note: All products are 'FOR RESEARCH USE ONLY. NOT FOR USE IN DIAGNOSTIC OR THERAPEUTIC PROCEDURES'.

For licensing inquiries, please contact partnerships@abcam.com