JavaScript is disabled in your browser. Please enable JavaScript to view this website.
AB203346

Anti-Melatonin Receptor 1B/MTNR1B antibody

Be the first to review this product! Submit a review

|

(50 Publications)

Rabbit Polyclonal Melatonin Receptor 1B/MTNR1B antibody. Suitable for WB, IHC-P, ICC/IF and reacts with Human, Rat, Mouse samples. Cited in 50 publications. Immunogen corresponding to Synthetic Peptide within Human MTNR1B aa 200-300 conjugated to Keyhole Limpet Haemocyanin.

View Alternative Names

Melatonin receptor type 1B, Mel-1B-R, Mel1b receptor, MTNR1B

5 Images
Immunocytochemistry/ Immunofluorescence - Anti-Melatonin Receptor 1B/MTNR1B antibody (AB203346)
  • ICC/IF

Supplier Data

Immunocytochemistry/ Immunofluorescence - Anti-Melatonin Receptor 1B/MTNR1B antibody (AB203346)

ab203346 staining MTNR1B in HeLa cells. The cells were fixed with 4% Paraformaldehyde, permeabilized with Triton X-100 at room temperature for 20 min; blocked with normal goat serum at 37°C for 20 min then incubated with ab203346 at 1 : 100, 90 minutes at 37°C; followed by a conjugated Goat Anti-Rabbit IgG antibody at 37°C for 90 minutes, DAPI (blue) was used to stain the cell nuclei.

Immunohistochemistry (Formalin/PFA-fixed paraffin-embedded sections) - Anti-Melatonin Receptor 1B/MTNR1B antibody (AB203346)
  • IHC-P

Supplier Data

Immunohistochemistry (Formalin/PFA-fixed paraffin-embedded sections) - Anti-Melatonin Receptor 1B/MTNR1B antibody (AB203346)

Immunohistochemical analysis of formalin-fixed, paraffin-embedded rat retina sections labeling Melatonin Receptor 1B/MTNR1B with ab203346 at a 1/200 dilution, followed by conjugation to the secondary antibody and DAB staining.

Immunohistochemistry (Formalin/PFA-fixed paraffin-embedded sections) - Anti-Melatonin Receptor 1B/MTNR1B antibody (AB203346)
  • IHC-P

Supplier Data

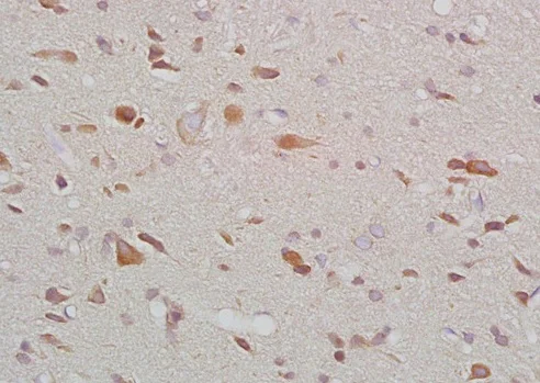
Immunohistochemistry (Formalin/PFA-fixed paraffin-embedded sections) - Anti-Melatonin Receptor 1B/MTNR1B antibody (AB203346)

Immunohistochemical analysis of formalin-fixed, paraffin-embedded rat brain sections labeling Melatonin Receptor 1B/MTNR1B with ab203346 at a 1/200 dilution, followed by conjugation to the secondary antibody and DAB staining.

Immunohistochemistry (Formalin/PFA-fixed paraffin-embedded sections) - Anti-Melatonin Receptor 1B/MTNR1B antibody (AB203346)
  • IHC-P

Supplier Data

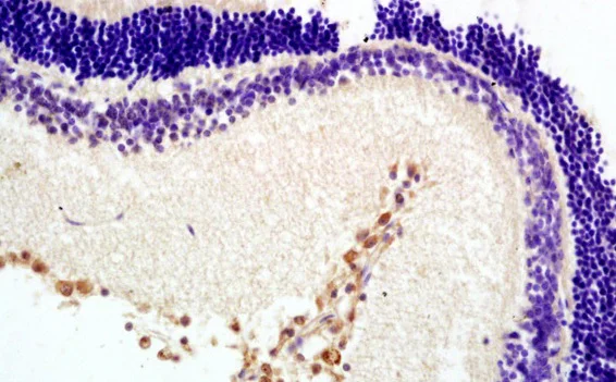
Immunohistochemistry (Formalin/PFA-fixed paraffin-embedded sections) - Anti-Melatonin Receptor 1B/MTNR1B antibody (AB203346)

Paraformaldehyde-fixed, paraffin embedded Mouse cerebellum section; Antigen retrieval by boiling in sodium citrate buffer (pH6.0) for 15min; Block endogenous peroxidase by 3% hydrogen peroxide for 20 minutes; Blocking buffer (normal goat serum) at 37°C for 30min; Antibody incubation with ab203346 at 1 : 200 overnight at 4°C, followed by conjugation to the secondary antibody and DAB staining.

Western blot - Anti-Melatonin Receptor 1B/MTNR1B antibody (AB203346)
  • WB

Supplier Data

Western blot - Anti-Melatonin Receptor 1B/MTNR1B antibody (AB203346)

HepG2 cell lysates probed with ab203346 at 1 : 1000 dilution and 4˚C overnight incubation. Followed by conjugated secondary antibody incubation at 1 : 20000 for 60 min at 37˚C.

All lanes:

Western blot - Anti-Melatonin Receptor 1B/MTNR1B antibody (ab203346) at 1/1000 dilution

All lanes:

Hep G2 (Human liver hepatocellular carcinoma cell line) whole cell lysate

Predicted band size: 40 kDa

false

Key facts

Host species

Rabbit

Clonality

Polyclonal

Isotype

IgG

Carrier free

No

Reacts with

Rat, Human, Mouse

Applications

WB, ICC/IF, IHC-P

applications

Immunogen

Synthetic Peptide within Human MTNR1B aa 200-300 conjugated to Keyhole Limpet Haemocyanin. The exact immunogen used to generate this antibody is proprietary information.

P49286

Reactivity data

{ "title": "Reactivity Data", "filters": { "stats": ["", "Species", "Dilution Info", "Notes"], "tabs": { "all-applications": {"fullname" : "All Applications", "shortname": "All Applications"}, "WB" : {"fullname" : "Western blot", "shortname":"WB"}, "IHCP" : {"fullname" : "Immunohistochemistry (Formalin/PFA-fixed paraffin-embedded sections)", "shortname":"IHC-P"}, "ICCIF" : {"fullname" : "Immunocytochemistry/ Immunofluorescence", "shortname":"ICC/IF"} }, "product-promise": { "all": "all", "testedAndGuaranteed": "tested", "guaranteed": "expected", "predicted": "predicted", "notRecommended": "not-recommended" } }, "values": { "Human": { "WB-species-checked": "testedAndGuaranteed", "WB-species-dilution-info": "", "WB-species-notes": "<p></p>", "IHCP-species-checked": "guaranteed", "IHCP-species-dilution-info": "", "IHCP-species-notes": "", "ICCIF-species-checked": "testedAndGuaranteed", "ICCIF-species-dilution-info": "", "ICCIF-species-notes": "<p></p>" }, "Mouse": { "WB-species-checked": "guaranteed", "WB-species-dilution-info": "", "WB-species-notes": "", "IHCP-species-checked": "testedAndGuaranteed", "IHCP-species-dilution-info": "1/100 - 1/500", "IHCP-species-notes": "<p>When using a fluorescent probe please use a dilution of 1/50 - 1/200.</p>", "ICCIF-species-checked": "guaranteed", "ICCIF-species-dilution-info": "", "ICCIF-species-notes": "" }, "Rat": { "WB-species-checked": "guaranteed", "WB-species-dilution-info": "", "WB-species-notes": "", "IHCP-species-checked": "testedAndGuaranteed", "IHCP-species-dilution-info": "1/100 - 1/500", "IHCP-species-notes": "<p>When using a fluorescent probe please use a dilution of 1/50 - 1/200.</p>", "ICCIF-species-checked": "guaranteed", "ICCIF-species-dilution-info": "", "ICCIF-species-notes": "" } } }

Properties and storage information

Form
Liquid
Purification technique
Affinity purification Protein A
Storage buffer
pH: 7.4 Preservative: 0.02% Proclin 300 Constituents: 50% Glycerol (glycerin, glycerine), 48.98% TBS, 1X, 1% BSA
Shipped at conditions
Blue Ice
Appropriate short-term storage duration
1-2 weeks
Appropriate short-term storage conditions
+4°C
Appropriate long-term storage conditions
-20°C
Aliquoting information
Upon delivery aliquot
Storage information
Avoid freeze / thaw cycle

Product protocols

For this product, it's our understanding that no specific protocols are required. You can visit:

Target data

High affinity receptor for melatonin. Likely to mediate the reproductive and circadian actions of melatonin. The activity of this receptor is mediated by pertussis toxin sensitive G proteins that inhibit adenylate cyclase activity.
See full target information MTNR1B

Publications (50)

Recent publications for all applications. Explore the full list and refine your search

Biomolecules 15: PubMed40305352

2025

Melatonin MT1 Receptor Expression in Luminal Invasive Ductal Breast Carcinoma in Postmenopausal Women.

Applications

Unspecified application

Species

Unspecified reactive species

Leda Pistiolis,Sahar Alawieh,Thorhildur Halldorsdottir,Anikó Kovács,Roger Olofsson Bagge

BMC genomics 26:242 PubMed40082769

2025

Transcriptomic and proteomic analyses of sclera in lens-induced myopic guinea pigs.

Applications

Unspecified application

Species

Unspecified reactive species

He-Yan Li,Xu-Han Shi,Li Dong,Chu-Yao Yu,Yi-Tong Li,Rui-Heng Zhang,Wen-Da Zhou,Hao-Tian Wu,Jost B Jonas,Wen-Bin Wei

Investigative ophthalmology & visual science 66:51 PubMed39976957

2025

Melatonin Alleviates Age-Related Lacrimal Gland Dysfunction Via SIRT-1/NLRP3 Pathway.

Applications

Unspecified application

Species

Unspecified reactive species

Chao Wang,Yu-Zhi Li,Huan Guo,Shi-Rui Zhou,Xi Peng,Jia-Song Wang,Hua-Tao Xie,Ming-Chang Zhang

Inflammation 48:2663-2676 PubMed39751706

2025

NG-497 Alleviates Microglia-Mediated Neuroinflammation in a MTNR1A-Dependent Manner.

Applications

Unspecified application

Species

Unspecified reactive species

Qi Li,Pinyi Liu,Xuan Zhu,Chao Zhou,Yujie Hu,Shiying Cao,Huiya Li,Xinxin Zou,Shenghan Gao,Xiang Cao,Xinyu Bao,Yun Xu,Jingwei Li

Investigative ophthalmology & visual science 66:3 PubMed39745679

2025

Blue Light Damages Retinal Ganglion Cells Via Endoplasmic Reticulum Stress and Autophagy in Chickens.

Applications

Unspecified application

Species

Unspecified reactive species

Deng Pan,Ge Hu,Jiayue Li,Zixu Wang,Yaoxing Chen,Jing Cao

Journal of pineal research 76:e70010 PubMed39618344

2024

OPA1 Mediated Fatty Acid β-Oxidation in Hepatocyte: The Novel Insight for Melatonin Attenuated Apoptosis in Concanavalin A Induced Acute Liver Injury.

Applications

Unspecified application

Species

Unspecified reactive species

Tong Chen,Ruonan Shuang,Tiantian Gao,Lijun Ai,Jichen Diao,Xinyi Yuan,Ling He,Weiwei Tao,Xin Huang

Heliyon 10:e30568 PubMed38784556

2024

SIRT3 and RORα are two prospective targets against mitophagy during simulated ischemia/reperfusion injury in H9c2 cells.

Applications

Unspecified application

Species

Unspecified reactive species

Jinjing Wu,Yanli Yang,Duomao Lin,Zhaoqi Wang,Jun Ma

International journal of molecular sciences 24: PubMed38069141

2023

Melatonin Ameliorates Neuropsychiatric Behaviors, Gut Microbiome, and Microbiota-Derived Metabolites in Rats with Chronic Sleep Deprivation.

Applications

Unspecified application

Species

Unspecified reactive species

Bingcong Li,Yin-Ru Hsieh,Wen-De Lai,Te-Hsuan Tung,Yu-Xuan Chen,Chia-Hui Yang,Yu-Chiao Fang,Shih-Yi Huang

Neural regeneration research 19:1618-1624 PubMed38051907

2023

Melatonin improves synapse development by PI3K/Akt signaling in a mouse model of autism spectrum disorder.

Applications

Unspecified application

Species

Unspecified reactive species

Luyi Wang,Man Xu,Yan Wang,Feifei Wang,Jing Deng,Xiaoya Wang,Yu Zhao,Ailing Liao,Feng Yang,Shali Wang,Yingbo Li

CNS neuroscience & therapeutics 30:e14436 PubMed37736695

2023

Melatonin regulates the circadian rhythm to ameliorate postoperative sleep disorder and neurobehavioral abnormalities in aged mice.

Applications

Unspecified application

Species

Unspecified reactive species

Xixi Jia,Yanan Song,Zhengqian Li,Ning Yang,Taotao Liu,Dengyang Han,Zhuonan Sun,Chengmei Shi,Yang Zhou,Jie Shi,Yajie Liu,Xiangyang Guo
View all publications

Product promise

We are committed to supporting your work with high-quality reagents, and we're here for you every step of the way. In the unlikely event that one of our products does not perform as expected, you're protected by our Product Promise.
For full details, please see our Terms & Conditions

Please note: All products are 'FOR RESEARCH USE ONLY. NOT FOR USE IN DIAGNOSTIC OR THERAPEUTIC PROCEDURES'.

For licensing inquiries, please contact partnerships@abcam.com