JavaScript is disabled in your browser. Please enable JavaScript to view this website.
AB2605

Anti-Menin antibody

4

(1 Review)

|

(26 Publications)

Rabbit Polyclonal Menin antibody. Suitable for IHC-P, IP, ChIP, WB, ICC/IF and reacts with Human, Mouse samples. Cited in 26 publications. Immunogen corresponding to Synthetic Peptide within Human MEN1.

View Alternative Names

SCG2, MEN1, Menin

4 Images
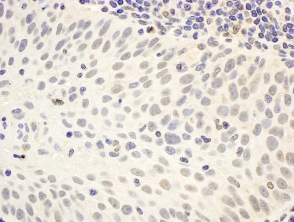
Immunohistochemistry (Formalin/PFA-fixed paraffin-embedded sections) - Anti-Menin antibody (AB2605)
  • IHC-P

Supplier Data

Immunohistochemistry (Formalin/PFA-fixed paraffin-embedded sections) - Anti-Menin antibody (AB2605)

Immunohistochemical analysis of human breast carcinoma tissue labelling Menin with ab2605 at 1μg/ml. Detection : DAB.

Immunohistochemistry (Formalin/PFA-fixed paraffin-embedded sections) - Anti-Menin antibody (AB2605)
  • IHC-P

Supplier Data

Immunohistochemistry (Formalin/PFA-fixed paraffin-embedded sections) - Anti-Menin antibody (AB2605)

Immunohistochemical analysis of human lung carcinoma tissue labeling Menin with ab2605 at 1 μg/ml. Detection : DAB.

Western blot - Anti-Menin antibody (AB2605)
  • WB

Supplier Data

Western blot - Anti-Menin antibody (AB2605)

Samples in NETN lysis buffer.

Exposure time : 30 seconds.

All lanes:

Western blot - Anti-Menin antibody (ab2605) at 0.04 µg/mL

Lane 1:

TCMK-1 (Mouse kidney epithelial cell line) whole cell lysate at 50 µg

Lane 2:

NIH/3T3 (Mouse embryo fibroblast cell line) whole cell lysate at 50 µg

Predicted band size: 68 kDa

false

Immunoprecipitation - Anti-Menin antibody (AB2605)
  • IP

Supplier Data

Immunoprecipitation - Anti-Menin antibody (AB2605)

Menin was imunnoprecipitated from 1.0 mg of HEK-293T (Human epithelial cell line from embryonic kidney transformed with large T antigen) whole cell lysate with ab2605 at 6 μg/ml. Western blot was perfomed from the immunoprecipitate using ab2506 at 0.04 μg/ml.

Lane 1 and 2 : 20% of ab2605 IP in HEK-293T whole cell lysate

Lane 3 : Control IgG

Exposure time : 1 second

All lanes:

Immunoprecipitation - Anti-Menin antibody (ab2605)

Predicted band size: 68 kDa

false

Key facts

Host species

Rabbit

Clonality

Polyclonal

Isotype

IgG

Carrier free

No

Reacts with

Mouse, Human

Applications

WB, ICC/IF, IP, ChIP, IHC-P

applications

Immunogen

Synthetic Peptide within Human MEN1. The exact immunogen used to generate this antibody is proprietary information.

O00255

Reactivity data

{ "title": "Reactivity Data", "filters": { "stats": ["", "Species", "Dilution Info", "Notes"], "tabs": { "all-applications": {"fullname" : "All Applications", "shortname": "All Applications"}, "IHCP" : {"fullname" : "Immunohistochemistry (Formalin/PFA-fixed paraffin-embedded sections)", "shortname":"IHC-P"}, "IP" : {"fullname" : "Immunoprecipitation", "shortname":"IP"}, "ChIP" : {"fullname" : "ChIP", "shortname":"ChIP"}, "WB" : {"fullname" : "Western blot", "shortname":"WB"}, "ICCIF" : {"fullname" : "Immunocytochemistry/ Immunofluorescence", "shortname":"ICC/IF"} }, "product-promise": { "all": "all", "testedAndGuaranteed": "tested", "guaranteed": "expected", "predicted": "predicted", "notRecommended": "not-recommended" } }, "values": { "Human": { "IHCP-species-checked": "testedAndGuaranteed", "IHCP-species-dilution-info": "1/500 - 1/2000", "IHCP-species-notes": "<p></p> Perform heat-mediated antigen retrieval with citrate buffer pH 6 before commencing with IHC staining protocol.", "IP-species-checked": "testedAndGuaranteed", "IP-species-dilution-info": "2-10 µg/mg of lysate", "IP-species-notes": "<p></p>", "ChIP-species-checked": "guaranteed", "ChIP-species-dilution-info": "", "ChIP-species-notes": "<p></p>", "WB-species-checked": "guaranteed", "WB-species-dilution-info": "", "WB-species-notes": "", "ICCIF-species-checked": "guaranteed", "ICCIF-species-dilution-info": "", "ICCIF-species-notes": "<p></p>" }, "Mouse": { "IHCP-species-checked": "guaranteed", "IHCP-species-dilution-info": "", "IHCP-species-notes": "", "IP-species-checked": "guaranteed", "IP-species-dilution-info": "", "IP-species-notes": "", "ChIP-species-checked": "guaranteed", "ChIP-species-dilution-info": "", "ChIP-species-notes": "<p></p>", "WB-species-checked": "testedAndGuaranteed", "WB-species-dilution-info": "1/10000 - 1/25000", "WB-species-notes": "<p></p>", "ICCIF-species-checked": "guaranteed", "ICCIF-species-dilution-info": "", "ICCIF-species-notes": "<p></p>" }, "Rat": { "IHCP-species-checked": "predicted", "IHCP-species-dilution-info": "", "IHCP-species-notes": "", "IP-species-checked": "predicted", "IP-species-dilution-info": "", "IP-species-notes": "", "ChIP-species-checked": "predicted", "ChIP-species-dilution-info": "", "ChIP-species-notes": "", "WB-species-checked": "predicted", "WB-species-dilution-info": "", "WB-species-notes": "", "ICCIF-species-checked": "predicted", "ICCIF-species-dilution-info": "", "ICCIF-species-notes": "" }, "Baboon": { "IHCP-species-checked": "predicted", "IHCP-species-dilution-info": "", "IHCP-species-notes": "", "IP-species-checked": "predicted", "IP-species-dilution-info": "", "IP-species-notes": "", "ChIP-species-checked": "predicted", "ChIP-species-dilution-info": "", "ChIP-species-notes": "", "WB-species-checked": "predicted", "WB-species-dilution-info": "", "WB-species-notes": "", "ICCIF-species-checked": "predicted", "ICCIF-species-dilution-info": "", "ICCIF-species-notes": "" }, "Chimpanzee": { "IHCP-species-checked": "predicted", "IHCP-species-dilution-info": "", "IHCP-species-notes": "", "IP-species-checked": "predicted", "IP-species-dilution-info": "", "IP-species-notes": "", "ChIP-species-checked": "predicted", "ChIP-species-dilution-info": "", "ChIP-species-notes": "", "WB-species-checked": "predicted", "WB-species-dilution-info": "", "WB-species-notes": "", "ICCIF-species-checked": "predicted", "ICCIF-species-dilution-info": "", "ICCIF-species-notes": "" }, "Cow": { "IHCP-species-checked": "predicted", "IHCP-species-dilution-info": "", "IHCP-species-notes": "", "IP-species-checked": "predicted", "IP-species-dilution-info": "", "IP-species-notes": "", "ChIP-species-checked": "predicted", "ChIP-species-dilution-info": "", "ChIP-species-notes": "", "WB-species-checked": "predicted", "WB-species-dilution-info": "", "WB-species-notes": "", "ICCIF-species-checked": "predicted", "ICCIF-species-dilution-info": "", "ICCIF-species-notes": "" }, "Dog": { "IHCP-species-checked": "predicted", "IHCP-species-dilution-info": "", "IHCP-species-notes": "", "IP-species-checked": "predicted", "IP-species-dilution-info": "", "IP-species-notes": "", "ChIP-species-checked": "predicted", "ChIP-species-dilution-info": "", "ChIP-species-notes": "", "WB-species-checked": "predicted", "WB-species-dilution-info": "", "WB-species-notes": "", "ICCIF-species-checked": "predicted", "ICCIF-species-dilution-info": "", "ICCIF-species-notes": "" }, "Gorilla": { "IHCP-species-checked": "predicted", "IHCP-species-dilution-info": "", "IHCP-species-notes": "", "IP-species-checked": "predicted", "IP-species-dilution-info": "", "IP-species-notes": "", "ChIP-species-checked": "predicted", "ChIP-species-dilution-info": "", "ChIP-species-notes": "", "WB-species-checked": "predicted", "WB-species-dilution-info": "", "WB-species-notes": "", "ICCIF-species-checked": "predicted", "ICCIF-species-dilution-info": "", "ICCIF-species-notes": "" }, "Guinea pig": { "IHCP-species-checked": "predicted", "IHCP-species-dilution-info": "", "IHCP-species-notes": "", "IP-species-checked": "predicted", "IP-species-dilution-info": "", "IP-species-notes": "", "ChIP-species-checked": "predicted", "ChIP-species-dilution-info": "", "ChIP-species-notes": "", "WB-species-checked": "predicted", "WB-species-dilution-info": "", "WB-species-notes": "", "ICCIF-species-checked": "predicted", "ICCIF-species-dilution-info": "", "ICCIF-species-notes": "" }, "Horse": { "IHCP-species-checked": "predicted", "IHCP-species-dilution-info": "", "IHCP-species-notes": "", "IP-species-checked": "predicted", "IP-species-dilution-info": "", "IP-species-notes": "", "ChIP-species-checked": "predicted", "ChIP-species-dilution-info": "", "ChIP-species-notes": "", "WB-species-checked": "predicted", "WB-species-dilution-info": "", "WB-species-notes": "", "ICCIF-species-checked": "predicted", "ICCIF-species-dilution-info": "", "ICCIF-species-notes": "" }, "Orangutan": { "IHCP-species-checked": "predicted", "IHCP-species-dilution-info": "", "IHCP-species-notes": "", "IP-species-checked": "predicted", "IP-species-dilution-info": "", "IP-species-notes": "", "ChIP-species-checked": "predicted", "ChIP-species-dilution-info": "", "ChIP-species-notes": "", "WB-species-checked": "predicted", "WB-species-dilution-info": "", "WB-species-notes": "", "ICCIF-species-checked": "predicted", "ICCIF-species-dilution-info": "", "ICCIF-species-notes": "" }, "Pig": { "IHCP-species-checked": "predicted", "IHCP-species-dilution-info": "", "IHCP-species-notes": "", "IP-species-checked": "predicted", "IP-species-dilution-info": "", "IP-species-notes": "", "ChIP-species-checked": "predicted", "ChIP-species-dilution-info": "", "ChIP-species-notes": "", "WB-species-checked": "predicted", "WB-species-dilution-info": "", "WB-species-notes": "", "ICCIF-species-checked": "predicted", "ICCIF-species-dilution-info": "", "ICCIF-species-notes": "" }, "Rhesus monkey": { "IHCP-species-checked": "predicted", "IHCP-species-dilution-info": "", "IHCP-species-notes": "", "IP-species-checked": "predicted", "IP-species-dilution-info": "", "IP-species-notes": "", "ChIP-species-checked": "predicted", "ChIP-species-dilution-info": "", "ChIP-species-notes": "", "WB-species-checked": "predicted", "WB-species-dilution-info": "", "WB-species-notes": "", "ICCIF-species-checked": "predicted", "ICCIF-species-dilution-info": "", "ICCIF-species-notes": "" } } }

Properties and storage information

Form
Liquid
Purification notes
Affinity purified using the immunising peptideimmobilized on solid support.
Storage buffer
pH: 7 - 8 Preservative: 0.1% Sodium azide Constituents: PBS, 1.815% Tris, 1.764% Sodium citrate
Shipped at conditions
Blue Ice
Appropriate short-term storage duration
1-2 weeks
Appropriate short-term storage conditions
+4°C
Appropriate long-term storage conditions
-20°C
Aliquoting information
Upon delivery aliquot
Storage information
Avoid freeze / thaw cycle

Product protocols

For this product, it's our understanding that no specific protocols are required. You can visit:

Target data

Essential component of a MLL/SET1 histone methyltransferase (HMT) complex, a complex that specifically methylates 'Lys-4' of histone H3 (H3K4). Functions as a transcriptional regulator. Binds to the TERT promoter and represses telomerase expression. Plays a role in TGFB1-mediated inhibition of cell-proliferation, possibly regulating SMAD3 transcriptional activity. Represses JUND-mediated transcriptional activation on AP1 sites, as well as that mediated by NFKB subunit RELA. Positively regulates HOXC8 and HOXC6 gene expression. May be involved in normal hematopoiesis through the activation of HOXA9 expression (By similarity). May be involved in DNA repair.
See full target information MEN1

Publications (26)

Recent publications for all applications. Explore the full list and refine your search

iScience 27:110913 PubMed39386761

2024

Sorafenib induces cachexia by impeding transcriptional signaling of the SET1/MLL complex on muscle-specific genes.

Applications

Unspecified application

Species

Unspecified reactive species

Bushra Khan,Chiara Lanzuolo,Valentina Rosti,Philina Santarelli,Andreas Pich,Theresia Kraft,Mamta Amrute-Nayak,Arnab Nayak

Blood 143:619-630 PubMed37890156

2023

Acute myeloid leukemias with UBTF tandem duplications are sensitive to menin inhibitors.

Applications

Unspecified application

Species

Unspecified reactive species

Juan M Barajas,Milad Rasouli,Masayuki Umeda,Ryan Hiltenbrand,Sherif Abdelhamed,Rebecca Mohnani,Bright Arthur,Tamara Westover,Melvin E Thomas,Minoo Ashtiani,Laura J Janke,Beisi Xu,Ti-Cheng Chang,Wojciech Rosikiewicz,Emily Xiong,Chandra Rolle,Jonathan Low,Reethu Krishan,Guangchun Song,Michael P Walsh,Jing Ma,Jeffrey E Rubnitz,Ilaria Iacobucci,Taosheng Chen,Anja Krippner-Heidenreich,Christian M Zwaan,Olaf Heidenreich,Jeffery M Klco

Journal of personalized medicine 13: PubMed36983729

2023

Multiple Metastases of Parathyroid and Papillary Thyroid Carcinoma in a Female Patient Treated with Long-Term Hemodialysis.

Applications

Unspecified application

Species

Unspecified reactive species

Julia Krupinova,Ekaterina Kim,Anna Eremkina,Lilia Urusova,Iya Voronkova,Konstantin Slaschuk,Ekaterina Dobreva,Natalia Mokrysheva

Nature cell biology 25:258-272 PubMed36635503

2023

Targeting Menin disrupts the KMT2A/B and polycomb balance to paradoxically activate bivalent genes.

Applications

Unspecified application

Species

Unspecified reactive species

Christina E Sparbier,Andrea Gillespie,Juliana Gomez,Nishi Kumari,Ali Motazedian,Kah Lok Chan,Charles C Bell,Omer Gilan,Yih-Chih Chan,Sarah Popp,Daniel J Gough,Melanie A Eckersley-Maslin,Sarah-Jane Dawson,Paul J Lehner,Kate D Sutherland,Patricia Ernst,Gerard M McGeehan,Enid Y N Lam,Marian L Burr,Mark A Dawson

Problemy endokrinologii 67:50-58 PubMed35018761

2021

[Morphological characteristics of pituitary adenomas in the phenocopy of multiple endocrine neoplasia type 1].

Applications

Unspecified application

Species

Unspecified reactive species

D A Trukhina,E O Mamedova,A M Lapshina,E V Vasilyev,A N Tiulpakov,Zh E Belaya

iScience 24:103055 PubMed34541469

2021

STING nuclear partners contribute to innate immune signaling responses.

Applications

Unspecified application

Species

Unspecified reactive species

Charles R Dixon,Poonam Malik,Jose I de Las Heras,Natalia Saiz-Ros,Flavia de Lima Alves,Mark Tingey,Eleanor Gaunt,A Christine Richardson,David A Kelly,Martin W Goldberg,Greg J Towers,Weidong Yang,Juri Rappsilber,Paul Digard,Eric C Schirmer

Journal of the Endocrine Society 4:bvaa051 PubMed32715270

2020

-Mediated Gene Deletion and Loss of Heterozygosity in a Patient with Multiple Endocrine Neoplasia Type 1.

Applications

Unspecified application

Species

Unspecified reactive species

Satoshi Yoshiji,Yorihiro Iwasaki,Kanako Iwasaki,Sachiko Honjo,Koichi Hirano,Katsuhiko Ono,Yuto Yamazaki,Hironobu Sasano,Akihiro Hamasaki

Endocrine connections 9:426-437 PubMed32348957

2020

Genetic background influences tumour development in heterozygous Men1 knockout mice.

Applications

Unspecified application

Species

Unspecified reactive species

Kate E Lines,Mahsa Javid,Anita A C Reed,Gerard V Walls,Mark Stevenson,Michelle Simon,Kreepa G Kooblall,Sian E Piret,Paul T Christie,Paul J Newey,Ann-Marie Mallon,Rajesh V Thakker

The Journal of endocrinology : PubMed30389902

2018

MiR-15a/miR-16-1 expression inversely correlates with cyclin D1 levels in Men1 pituitary NETs.

Applications

Unspecified application

Species

Unspecified reactive species

Kate E Lines,Paul J Newey,Christopher J Yates,Mark Stevenson,Rebecca Dyar,Gerard V Walls,Mike R Bowl,Rajesh V Thakker

Endocrine journal 64:895-906 PubMed28701629

2017

Atypical pituitary adenoma with MEN1 somatic mutation associated with abnormalities of DNA mismatch repair genes; MLH1 germline mutation and MSH6 somatic mutation.

Applications

Unspecified application

Species

Unspecified reactive species

Shinsuke Uraki,Hiroyuki Ariyasu,Asako Doi,Hiroto Furuta,Masahiro Nishi,Kokichi Sugano,Naoko Inoshita,Naoyuki Nakao,Shozo Yamada,Takashi Akamizu
View all publications

Product promise

We are committed to supporting your work with high-quality reagents, and we're here for you every step of the way. In the unlikely event that one of our products does not perform as expected, you're protected by our Product Promise.
For full details, please see our Terms & Conditions

Please note: All products are 'FOR RESEARCH USE ONLY. NOT FOR USE IN DIAGNOSTIC OR THERAPEUTIC PROCEDURES'.

For licensing inquiries, please contact partnerships@abcam.com