JavaScript is disabled in your browser. Please enable JavaScript to view this website.
AB92443

Anti-Menin antibody [EPR3986]

  • Advanced Validation
  • RabMAb
  • Recombinant
  • KO Validated
  • 20ul selling size
  • What is this?

Be the first to review this product! Submit a review

|

(16 Publications)

Anti-Menin antibody [EPR3986] (ab92443) is a rabbit monoclonal antibody detecting Menin in Western Blot, IP, IHC-P, ICC/IF, ChIC/CUT&RUN sequencing. Suitable for Human, Mouse, Rat.

- KO validated for confirmed specificity
- Biophysical QC for unrivalled batch-batch consistency
- Over 10 publications
- Trusted since 2010

View Alternative Names

SCG2, MEN1, Menin

11 Images
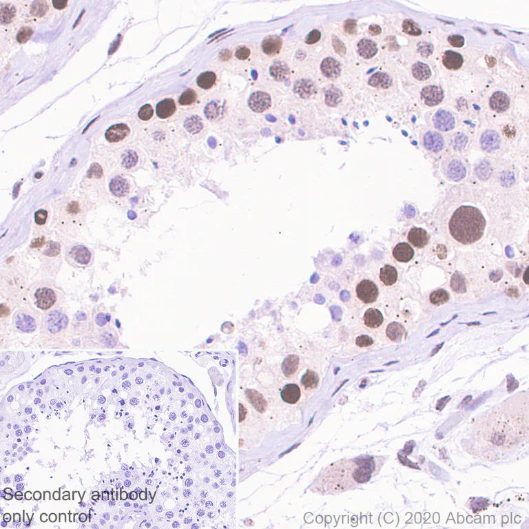
Immunohistochemistry (Formalin/PFA-fixed paraffin-embedded sections) - Anti-Menin antibody [EPR3986] (AB92443)
  • IHC-P

Lab

Immunohistochemistry (Formalin/PFA-fixed paraffin-embedded sections) - Anti-Menin antibody [EPR3986] (AB92443)

Immunohistochemistry (Formalin/PFA-fixed paraffin-embedded sections) analysis of human testis tissue sections labelling Menin with purified ab92443 at 1/500 dilution (1.22 μg/ml). Heat mediated antigen retrieval was performed using Perform heat mediated antigen retrieval using ab93684 (Tris/EDTA buffer, pH 9.0). Tissue was counterstained with Hematoxylin. ImmunoHistoProbe one step HRP Polymer (ready to use) secondary antibody was used at 1/0 dilution. PBS instead of the primary antibody was used as the negative control.

Immunocytochemistry/ Immunofluorescence - Anti-Menin antibody [EPR3986] (AB92443)
  • ICC/IF

Lab

Immunocytochemistry/ Immunofluorescence - Anti-Menin antibody [EPR3986] (AB92443)

Immunocytochemistry analysis of Jurkat (Human T cell leukemia T lymphocyte) cells labeling Menin with purified ab92443 at 1/50 dilution (12.1 μg/mL). Cells were fixed in 100% Methanol and permeabilized with 0.1% tritonX-100. Cells were counterstained with ab195889 Anti-alpha Tubulin antibody [DM1A] - Microtubule Marker (Alexa Fluor® 594) 1/200 (2.6 μg/mL). Goat anti rabbit IgG (Alexa Fluor® 488, ab150078) was used as the secondary antibody at 1/1000 (2 μg/mL) dilution. DAPI (blue) was used as nuclear counterstain. PBS instead of the primary antibody was used as the secondary antibody only control.

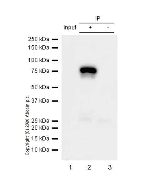
Immunoprecipitation - Anti-Menin antibody [EPR3986] (AB92443)
  • IP

Lab

Immunoprecipitation - Anti-Menin antibody [EPR3986] (AB92443)

Purified ab92443 at 1/50 dilution (2μg) immunoprecipitating Menin in Jurkat whole cell lysate.
Lane 1 (input) : Jurkat (Human T cell leukemia T lymphocyte) whole cell lysate 10μg
Lane 2 (+) : ab92443 + Jurkat whole cell lysate.
Lane 3 (-) : Rabbit monoclonal IgG (ab172730) instead of ab92443 in Jurkat whole cell lysate.
VeriBlot for IP Detection Reagent (HRP) (ab131366) (1/1000 dilution) was used for Western blotting.
Blocking Buffer and concentration : 5% NFDM/TBST.
Diluting buffer and concentration : 5% NFDM/TBST.
Observed band size : 75 kDa

All lanes:

Immunoprecipitation - Anti-Menin antibody [EPR3986] (ab92443)

Predicted band size: 68 kDa

false

Immunohistochemistry (Formalin/PFA-fixed paraffin-embedded sections) - Anti-Menin antibody [EPR3986] (AB92443)
  • IHC-P

Lab

Immunohistochemistry (Formalin/PFA-fixed paraffin-embedded sections) - Anti-Menin antibody [EPR3986] (AB92443)

Immunohistochemistry (Formalin/PFA-fixed paraffin-embedded sections) analysis of mouse liver tissue sections labelling Menin with purified ab92443 at 1/100 dilution (6.08 μg/ml). Heat mediated antigen retrieval was performed using Perform heat mediated antigen retrieval using ab93684 (Tris/EDTA buffer, pH 9.0). Tissue was counterstained with Hematoxylin. ImmunoHistoProbe one step HRP Polymer (ready to use) secondary antibody was used at 1/0 dilution. PBS instead of the primary antibody was used as the negative control.

Immunohistochemistry (Formalin/PFA-fixed paraffin-embedded sections) - Anti-Menin antibody [EPR3986] (AB92443)
  • IHC-P

Lab

Immunohistochemistry (Formalin/PFA-fixed paraffin-embedded sections) - Anti-Menin antibody [EPR3986] (AB92443)

Immunohistochemistry (Formalin/PFA-fixed paraffin-embedded sections) analysis of rat cerebrum tissue sections labelling Menin with purified ab92443 at 1/100 dilution (6.08 μg/ml). Heat mediated antigen retrieval was performed using Perform heat mediated antigen retrieval using ab93684 (Tris/EDTA buffer, pH 9.0). Tissue was counterstained with Hematoxylin. ImmunoHistoProbe one step HRP Polymer (ready to use) secondary antibody was used at 1/0 dilution. PBS instead of the primary antibody was used as the negative control.

Immunoprecipitation - Anti-Menin antibody [EPR3986] (AB92443)
  • IP

Supplier Data

Immunoprecipitation - Anti-Menin antibody [EPR3986] (AB92443)

Menin was immunoprecipitated from 0.35 mg MEF (mouse embryonic fibroblast (immortalized)) whole cell lysate 10 ug with ab92443 at 1/30 dilution (2ug in 0.35mg lysates). Western blot was performed on the immunoprecipitate using ab92443 at 1/1000 dilution. VeriBlot for IP Detection Reagent (HRP)(ab131366) was used at 1/5000 dilution.

Lane 1 : MEF (mouse embryonic fibroblast (immortalized)) whole cell lysate 10 μg

Lane 2 : ab92443 IP in MEF whole cell lysate

Lane 3 : Rabbit monoclonal IgG (ab172730) instead of ab92443 in MEF whole cell lysate

Blocking and dilution buffer and concentration : 5% NFDM/TBST.

Exposure time : 3 minutes

All lanes:

Immunoprecipitation - Anti-Menin antibody [EPR3986] (ab92443)

Predicted band size: 68 kDa

Observed band size: 75 kDa

false

Western blot - Anti-Menin antibody [EPR3986] (AB92443)
  • WB

Lab

Western blot - Anti-Menin antibody [EPR3986] (AB92443)

All lanes:

Western blot - Anti-Menin antibody [EPR3986] (ab92443) at 1/1000 dilution

Lane 1:

Jurkat (Human T cell leukemia T lymphocyte) whole cell lysate at 15 µg

Lane 2:

MEF (Mouse embryonic fibroblast (immortalized)) whole cell lysate at 15 µg

Lane 3:

PC-12 (Rat adrenal gland pheochromocytoma ) whole cell lysate at 15 µg

Secondary

All lanes:

Western blot - Goat Anti-Rabbit IgG H&L (HRP) (<a href='/en-us/products/secondary-antibodies/goat-rabbit-igg-h-l-hrp-ab97051'>ab97051</a>) at 1/20000 dilution

Predicted band size: 68 kDa

Observed band size: 75 kDa

false

Western blot - Anti-Menin antibody [EPR3986] (AB92443)
  • WB

Lab

Western blot - Anti-Menin antibody [EPR3986] (AB92443)

Lane 1 : Wild-type HAP1 cell lysate (20 μg)
Lane 2 : Menin knockout HAP1 cell lysate (20 μg)
Lane 3 : Jurkat cell lysate (20 μg)
Lane 4 : A431 cell lysate (20 μg)

Lanes 1 - 4 : Merged signal (red and green). Green - ab92443 observed at 74 kDa. Red - loading control, ab8245, observed at 37 kDa.

ab92443 was shown to recognize Menin when Menin knockout samples were used, along with additional cross-reactive bands. Wild-type and Menin knockout samples were subjected to SDS-PAGE. ab92443 and ab8245 (loading control to GAPDH) were diluted 1/10,000 and 1/2000 respectively and incubated overnight at 4°C. Blots were developed with Goat anti-Rabbit IgG H&L (IRDye® 800CW) preadsorbed (ab216773) and Goat anti-Mouse IgG H&L (IRDye® 680RD) preadsorbed (ab216776) secondary antibodies at 1/10 000 dilution for 1 h at room temperature before imaging.

All lanes:

Western blot - Anti-Menin antibody [EPR3986] (ab92443)

Predicted band size: 68 kDa

false

ChIC/CUT&RUN sequencing - Anti-Menin antibody [EPR3986] (AB92443)
  • ChIC/CUT&RUN-seq

Lab

ChIC/CUT&RUN sequencing - Anti-Menin antibody [EPR3986] (AB92443)

ChIC/CUT&RUN was performed using a pAG-MNase at a final concentration of 700 ng/mL, 2.5 x 10^5 K-562 (human chronic myelogenous leukemia lymphoblast) cells and 5 µg of ab92443 [EPR3986]. The resulting DNA was sequenced on the Illumina NovaSeq 6000 to a depth of 10 million reads. The negative IgG control ab172730 is also shown.
The University of Geneva owns patents relevant to ChIC (Chromatin Immuno-Cleavage) methods.

ChIC/CUT&RUN sequencing - Anti-Menin antibody [EPR3986] (AB92443)
  • ChIC/CUT&RUN-seq

Lab

ChIC/CUT&RUN sequencing - Anti-Menin antibody [EPR3986] (AB92443)

ChIC/CUT&RUN was performed using a pAG-MNase at a final concentration of 700 ng/mL, 2.5 x 10^5 K-562 (human chronic myelogenous leukemia lymphoblast) cells and 5 µg of ab92443 [EPR3986]. The resulting DNA was sequenced on the Illumina NovaSeq 6000 to a depth of 10 million reads. The negative IgG control ab172730 is also shown.
The University of Geneva owns patents relevant to ChIC (Chromatin Immuno-Cleavage) methods.

ChIC/CUT&RUN sequencing - Anti-Menin antibody [EPR3986] (AB92443)
  • ChIC/CUT&RUN-seq

Lab

ChIC/CUT&RUN sequencing - Anti-Menin antibody [EPR3986] (AB92443)

ChIC/CUT&RUN was performed using a pAG-MNase at a final concentration of 700 ng/mL, 2.5 x 10^5 K-562 (human chronic myelogenous leukemia lymphoblast) cells and 5 µg of ab92443 [EPR3986]. The resulting DNA was sequenced on the Illumina NovaSeq 6000 to a depth of 10 million reads. The negative IgG control ab172730 is also shown.
The University of Geneva owns patents relevant to ChIC (Chromatin Immuno-Cleavage) methods.

  • Carrier free

    Anti-Menin antibody [EPR3986] - BSA and Azide free

Key facts

Host species

Rabbit

Clonality

Monoclonal

Clone number

EPR3986

Isotype

IgG

Carrier free

No

Reacts with

Human, Mouse, Rat

Applications

ICC/IF, ChIC/CUT&RUN-seq, IP, WB, IHC-P

applications

Immunogen

The exact immunogen used to generate this antibody is proprietary information.

Reactivity data

{ "title": "Reactivity Data", "filters": { "stats": ["", "Species", "Dilution Info", "Notes"], "tabs": { "all-applications": {"fullname" : "All Applications", "shortname": "All Applications"}, "IHCP" : {"fullname" : "Immunohistochemistry (Formalin/PFA-fixed paraffin-embedded sections)", "shortname":"IHC-P"}, "ICCIF" : {"fullname" : "Immunocytochemistry/ Immunofluorescence", "shortname":"ICC/IF"}, "IP" : {"fullname" : "Immunoprecipitation", "shortname":"IP"}, "FlowCyt" : {"fullname" : "Flow Cytometry", "shortname":"Flow Cyt"}, "WB" : {"fullname" : "Western blot", "shortname":"WB"}, "ChICCUTRUNseq" : {"fullname" : "ChIC/CUT&RUN sequencing", "shortname":"ChIC/CUT&RUN-seq"} }, "product-promise": { "all": "all", "testedAndGuaranteed": "tested", "guaranteed": "expected", "predicted": "predicted", "notRecommended": "not-recommended" } }, "values": { "Human": { "IHCP-species-checked": "testedAndGuaranteed", "IHCP-species-dilution-info": "1/100 - 1/500", "IHCP-species-notes": "<p>For unpurified use between 1/100-1/250.</p> Perform heat-mediated antigen retrieval with citrate buffer pH 6 before commencing with IHC staining protocol.", "ICCIF-species-checked": "testedAndGuaranteed", "ICCIF-species-dilution-info": "1/50", "ICCIF-species-notes": "<p><strong>For unpurified use between 1/250-1/500.</strong></p>", "IP-species-checked": "testedAndGuaranteed", "IP-species-dilution-info": "1/10 - 1/100", "IP-species-notes": "<p></p>", "FlowCyt-species-checked": "notRecommended", "FlowCyt-species-dilution-info": "", "FlowCyt-species-notes": "<p></p>", "WB-species-checked": "testedAndGuaranteed", "WB-species-dilution-info": "1/1000", "WB-species-notes": "<p>For unpurified use between 1/10,000-1/50,000.</p>", "ChICCUTRUNseq-species-checked": "testedAndGuaranteed", "ChICCUTRUNseq-species-dilution-info": "", "ChICCUTRUNseq-species-notes": "<p></p>" }, "Mouse": { "IHCP-species-checked": "testedAndGuaranteed", "IHCP-species-dilution-info": "1/100 - 1/500", "IHCP-species-notes": "<p>For unpurified use between 1/100-1/250.</p> Perform heat-mediated antigen retrieval with citrate buffer pH 6 before commencing with IHC staining protocol.", "ICCIF-species-checked": "guaranteed", "ICCIF-species-dilution-info": "", "ICCIF-species-notes": "", "IP-species-checked": "testedAndGuaranteed", "IP-species-dilution-info": "1/10 - 1/100", "IP-species-notes": "<p></p>", "FlowCyt-species-checked": "notRecommended", "FlowCyt-species-dilution-info": "", "FlowCyt-species-notes": "<p></p>", "WB-species-checked": "testedAndGuaranteed", "WB-species-dilution-info": "1/1000", "WB-species-notes": "<p>For unpurified use between 1/10,000-1/50,000.</p>", "ChICCUTRUNseq-species-checked": "guaranteed", "ChICCUTRUNseq-species-dilution-info": "", "ChICCUTRUNseq-species-notes": "" }, "Rat": { "IHCP-species-checked": "testedAndGuaranteed", "IHCP-species-dilution-info": "1/100 - 1/500", "IHCP-species-notes": "<p>For unpurified use between 1/100-1/250.</p> Perform heat-mediated antigen retrieval with citrate buffer pH 6 before commencing with IHC staining protocol.", "ICCIF-species-checked": "guaranteed", "ICCIF-species-dilution-info": "", "ICCIF-species-notes": "", "IP-species-checked": "guaranteed", "IP-species-dilution-info": "", "IP-species-notes": "", "FlowCyt-species-checked": "notRecommended", "FlowCyt-species-dilution-info": "", "FlowCyt-species-notes": "<p></p>", "WB-species-checked": "testedAndGuaranteed", "WB-species-dilution-info": "1/1000", "WB-species-notes": "<p>For unpurified use between 1/10,000-1/50,000.</p>", "ChICCUTRUNseq-species-checked": "guaranteed", "ChICCUTRUNseq-species-dilution-info": "", "ChICCUTRUNseq-species-notes": "" } } }

Product details

What is this antibody validated in?
Anti-Menin antibody [EPR3986] (ab92443) is a rabbit recombinant monoclonal antibody and is validated for use in Western Blot (WB), Immunoprecipitation (IP), Immunohistochemistry (IHC-P), Immunocytochemistry/immunofluorescence (ICC/IF) and ChIC/CUT&RUN sequencing in Human, Mouse, Rat samples.

What is the molecular weight of Menin?
Anti-Menin [EPR3986] (ab92443) specifically detects a band for Menin (UniProt: O00255) at a molecular weight of 68kDa.

Trusted by the scientific community
Anti-Menin [EPR3986] (ab92443) was first used in a scientific publication in 2010 and has been cited over 10 times in peer-reviewed journals.

Trial sizes available!
Test your antibody or perform pre-screening before committing to a larger quantity. Sold in 20µl. Discover our selection of trial-size antibodies.

Specificity confirmed
The specificity of Anti-Menin antibody [EPR3986] (ab92443) has been confirmed by Western blot testing in MEN1 Knockout HAP1 cells.

Other related products
We have a range of other formats of antibody clone [EPR3986] also available for your convenience: ab92443, Carrier free - ab239910

Patented technology
Our RabMAb® technology is a patented hybridoma-based technology for making rabbit monoclonal antibodies. For details on our patents, please refer to RabMAb® patents.

What are the advantages of a recombinant monoclonal antibody?
This product is a recombinant monoclonal antibody, which offers several advantages including:

  • - High batch-to-batch consistency and reproducibility
  • - Improved sensitivity and specificity
  • - Long-term security of supply
  • - Animal-free batch production

For more information, read more on recombinant antibodies.

Properties and storage information

Form
Liquid
Purification technique
Affinity purification Protein A
Storage buffer
pH: 7.2 - 7.4 Preservative: 0.01% Sodium azide Constituents: PBS, 40% Glycerol (glycerin, glycerine), 0.05% BSA
Shipped at conditions
Blue Ice
Appropriate short-term storage conditions
+4°C
Appropriate long-term storage conditions
-20°C
Aliquoting information
Upon delivery aliquot
Storage information
Avoid freeze / thaw cycle

Product protocols

For this product, it's our understanding that no specific protocols are required. You can visit:

Target data

Essential component of a MLL/SET1 histone methyltransferase (HMT) complex, a complex that specifically methylates 'Lys-4' of histone H3 (H3K4). Functions as a transcriptional regulator. Binds to the TERT promoter and represses telomerase expression. Plays a role in TGFB1-mediated inhibition of cell-proliferation, possibly regulating SMAD3 transcriptional activity. Represses JUND-mediated transcriptional activation on AP1 sites, as well as that mediated by NFKB subunit RELA. Positively regulates HOXC8 and HOXC6 gene expression. May be involved in normal hematopoiesis through the activation of HOXA9 expression (By similarity). May be involved in DNA repair.
See full target information MEN1

Publications (16)

Recent publications for all applications. Explore the full list and refine your search

STAR protocols 5:103445 PubMed39520686

2024

Protocols for rapid identification of small-molecule metabolite ligands interacting with proteins.

Applications

Unspecified application

Species

Unspecified reactive species

Baoyu He,Rou Zhao,Bin Zhang,Qingli Bie

Advanced science (Weinheim, Baden-Wurttemberg, Germany) 11:e2308417 PubMed39041891

2024

MEN1 Deficiency-Driven Activation of the β-Catenin-MGMT Axis Promotes Pancreatic Neuroendocrine Tumor Growth and Confers Temozolomide Resistance.

Applications

Unspecified application

Species

Unspecified reactive species

Junfeng Xu,Xin Lou,Fei Wang,Wuhu Zhang,Xiaowu Xu,Zeng Ye,Qifeng Zhuo,Yan Wang,Desheng Jing,Guixiong Fan,Xuemin Chen,Yue Zhang,Chenjie Zhou,Jie Chen,Yi Qin,Xianjun Yu,Shunrong Ji

Cell reports. Medicine 5:101510 PubMed38614093

2024

Arachidonic acid released by PIK3CA mutant tumor cells triggers malignant transformation of colonic epithelium by inducing chromatin remodeling.

Applications

Unspecified application

Species

Unspecified reactive species

Baoyu He,Qingli Bie,Rou Zhao,Yugang Yan,Guanjun Dong,Baogui Zhang,Sen Wang,Wenrong Xu,Dongxing Tian,Yujun Hao,Yanhua Zhang,Mingsheng Zhao,Huabao Xiong,Bin Zhang

BMC medicine 22:57 PubMed38317232

2024

Epigenetic drug screening for trophoblast syncytialization reveals a novel role for MLL1 in regulating fetoplacental growth.

Applications

Unspecified application

Species

Unspecified reactive species

Jiayi Wu,Chuanmei Qin,Fuju Tian,Xueqing Liu,Jianing Hu,Fan Wu,Cailian Chen,Yi Lin

Biomedical reports 18:27 PubMed36909940

2023

Menin represses the proliferation of gastric cancer cells by interacting with IQGAP1.

Applications

Unspecified application

Species

Unspecified reactive species

Feng Ren,Qin Guo,Huan Zhou

BMC research notes 16:15 PubMed36782257

2023

Loss of tumor suppressor menin expression in high grade cholangiocarcinomas.

Applications

Unspecified application

Species

Unspecified reactive species

Terry C Lairmore,Jehan Abdulsattar,Arrigo De Benedetti,Runhua Shi,Shile Huang,Md Imtiaz Khalil,Stephan N Witt

Cell reports 42:111904 PubMed36662616

2023

VGLL4 and MENIN function as TEAD1 corepressors to block pancreatic β cell proliferation.

Applications

Unspecified application

Species

Unspecified reactive species

Feng Li,Ruya Liu,Vinny Negi,Ping Yang,Jeongkyung Lee,Rajaganapathi Jagannathan,Mousumi Moulik,Vijay K Yechoor

Cancer research communications 2:1162-1173 PubMed36969744

2022

Under-Representation of Racial Groups in Genomics Studies of Gastroenteropancreatic Neuroendocrine Neoplasms.

Applications

Unspecified application

Species

Unspecified reactive species

Brendon R Herring,Andrew Bonner,Rachael E Guenter,Selwyn Vickers,Clayton Yates,Goo Lee,Deepti Dhall,Herbert Chen,J Bart Rose

Endocrine-related cancer 29:225-239 PubMed35171113

2022

Loss of MEN1 function impairs DNA repair capability of pancreatic neuroendocrine tumors.

Applications

Unspecified application

Species

Unspecified reactive species

Olga Lakiza,Julian Lutze,Alyx Vogle,Jelani Williams,Abde Abukdheir,Paul Miller,Chih-Yi 'Andy' Liao,Sean P Pitroda,Carlos Martinez,Andrea Olivas,Namrata Setia,Stephen J Kron,Ralph R Weichselbaum,Xavier M Keutgen

Cancer science 113:1575-1586 PubMed35179814

2022

The link between menin and pleiotrophin in the tumor biology of pancreatic neuroendocrine neoplasms.

Applications

Unspecified application

Species

Unspecified reactive species

Liping He,Steeve Boulant,Megan Stanifer,Cuncai Guo,Anna Nießen,Mingyi Chen,Klaus Felix,Frank Bergmann,Oliver Strobel,Simon Schimmack
View all publications

Product promise

We are committed to supporting your work with high-quality reagents, and we're here for you every step of the way. In the unlikely event that one of our products does not perform as expected, you're protected by our Product Promise.
For full details, please see our Terms & Conditions

Please note: All products are 'FOR RESEARCH USE ONLY. NOT FOR USE IN DIAGNOSTIC OR THERAPEUTIC PROCEDURES'.

For licensing inquiries, please contact partnerships@abcam.com