JavaScript is disabled in your browser. Please enable JavaScript to view this website.
AB262916

Anti-MEOX 2 antibody

Be the first to review this product! Submit a review

|

(0 Publication)

Rabbit Polyclonal MEOX 2 antibody. Suitable for IHC-P, WB and reacts with Human samples. Immunogen corresponding to Recombinant Fragment Protein within Human MEOX2 aa 50-200.

View Alternative Names

GAX, MOX2, MEOX2, Homeobox protein MOX-2, Growth arrest-specific homeobox, Mesenchyme homeobox 2

5 Images
Immunohistochemistry (Formalin/PFA-fixed paraffin-embedded sections) - Anti-MEOX 2 antibody (AB262916)
  • IHC-P

Supplier Data

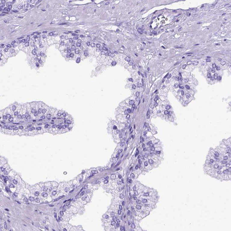
Immunohistochemistry (Formalin/PFA-fixed paraffin-embedded sections) - Anti-MEOX 2 antibody (AB262916)

Immunohistochemistry analysis in human prostate tissue showing no staining for MEOX 2, using ab262916 at a 1/1000 dilution.

As expected, glandular cells show no positivity.

Immunohistochemistry (Formalin/PFA-fixed paraffin-embedded sections) - Anti-MEOX 2 antibody (AB262916)
  • IHC-P

Supplier Data

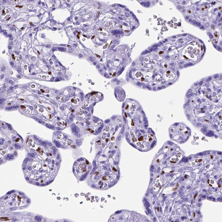
Immunohistochemistry (Formalin/PFA-fixed paraffin-embedded sections) - Anti-MEOX 2 antibody (AB262916)

Immunohistochemistry analysis in human placenta tissue showing positive nuclear staining for MEOX 2, using ab262916 at a 1/1000 dilution.

Endothelial cells within the placenta exhibit strong nuclear positivity.

Immunohistochemistry (Formalin/PFA-fixed paraffin-embedded sections) - Anti-MEOX 2 antibody (AB262916)
  • IHC-P

Supplier Data

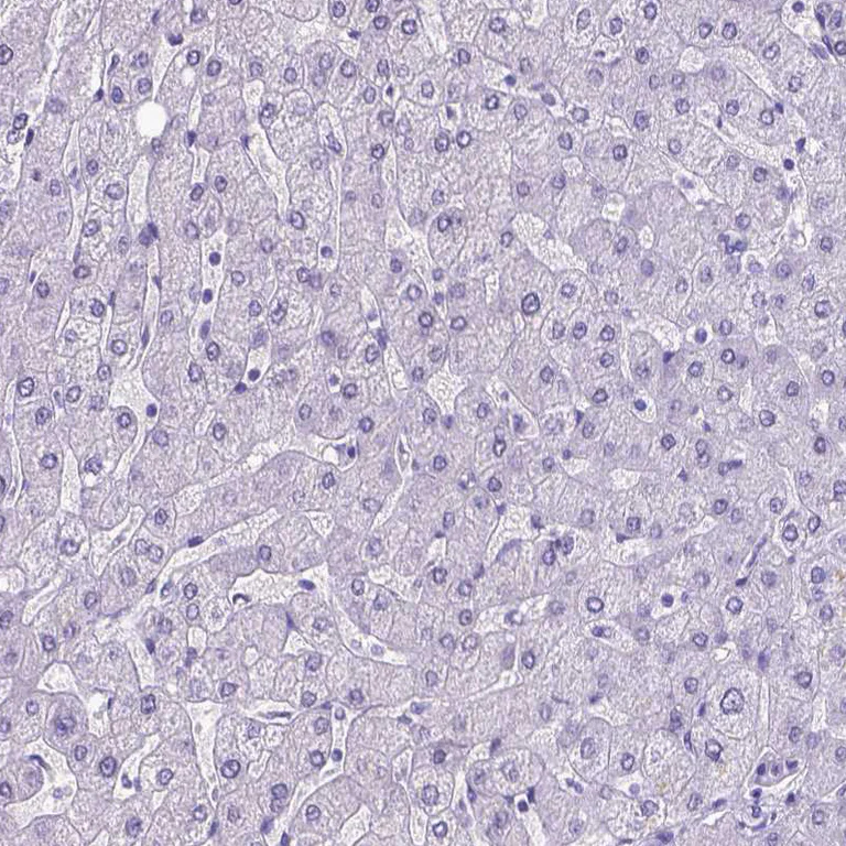
Immunohistochemistry (Formalin/PFA-fixed paraffin-embedded sections) - Anti-MEOX 2 antibody (AB262916)

Immunohistochemistry analysis in human liver tissue showing no staining for MEOX 2, using ab262916 at a 1/1000 dilution.

As expected, hepatocytes show no positivity.

Immunohistochemistry (Formalin/PFA-fixed paraffin-embedded sections) - Anti-MEOX 2 antibody (AB262916)
  • IHC-P

Supplier Data

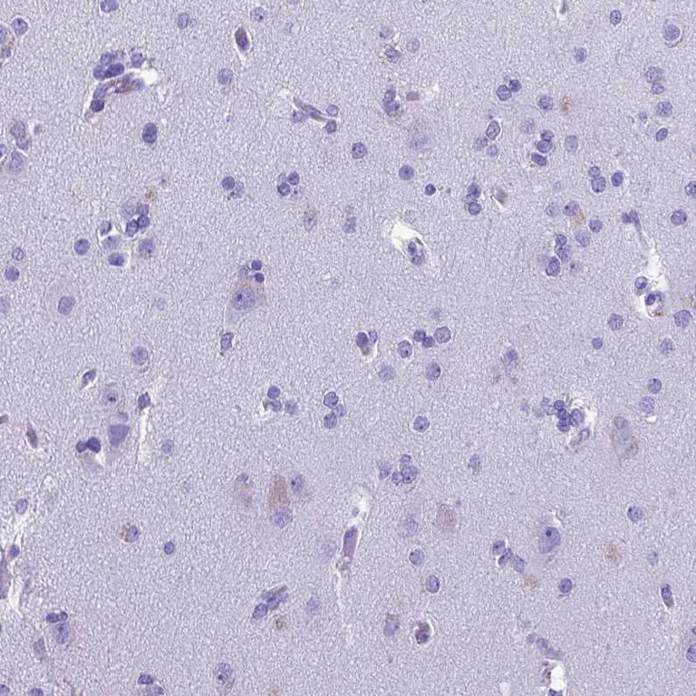
Immunohistochemistry (Formalin/PFA-fixed paraffin-embedded sections) - Anti-MEOX 2 antibody (AB262916)

Immunohistochemistry analysis in human cerebral cortex tissue showing no staining for MEOX 2, using ab262916 at a 1/1000 dilution.

As expected, neurons show no positivity.

Western blot - Anti-MEOX 2 antibody (AB262916)
  • WB

Unknown

Western blot - Anti-MEOX 2 antibody (AB262916)

All lanes:

Western blot - Anti-MEOX 2 antibody (ab262916) at 0.4 µg/mL

Lane 1:

Vector-only transfected HEK-293 cell lysate (control)

Lane 2:

MEOX2 over expression HEK-293 cell lysate

Predicted band size: 34 kDa

false

Key facts

Host species

Rabbit

Clonality

Polyclonal

Isotype

IgG

Carrier free

No

Reacts with

Human

Applications

WB, IHC-P

applications

Immunogen

Recombinant Fragment Protein within Human MEOX2 aa 50-200. The exact immunogen used to generate this antibody is proprietary information.

P50222

Reactivity data

{ "title": "Reactivity Data", "filters": { "stats": ["", "Species", "Dilution Info", "Notes"], "tabs": { "all-applications": {"fullname" : "All Applications", "shortname": "All Applications"}, "IHCP" : {"fullname" : "Immunohistochemistry (Formalin/PFA-fixed paraffin-embedded sections)", "shortname":"IHC-P"}, "WB" : {"fullname" : "Western blot", "shortname":"WB"} }, "product-promise": { "all": "all", "testedAndGuaranteed": "tested", "guaranteed": "expected", "predicted": "predicted", "notRecommended": "not-recommended" } }, "values": { "Human": { "IHCP-species-checked": "testedAndGuaranteed", "IHCP-species-dilution-info": "1/1000 - 1/2500", "IHCP-species-notes": "<p></p> Perform heat-mediated antigen retrieval with citrate buffer pH 6 before commencing with IHC staining protocol.", "WB-species-checked": "testedAndGuaranteed", "WB-species-dilution-info": "0.04-0.4 µg/mL", "WB-species-notes": "<p></p>" } } }

Properties and storage information

Form
Liquid
Purification technique
Affinity purification Immunogen
Storage buffer
pH: 7.2 Preservative: 0.02% Sodium azide Constituents: PBS, 40% Glycerol (glycerin, glycerine)
Shipped at conditions
Blue Ice
Appropriate short-term storage duration
1-2 weeks
Appropriate short-term storage conditions
+4°C
Appropriate long-term storage conditions
-20°C
Aliquoting information
Upon delivery aliquot
Storage information
Avoid freeze / thaw cycle

Supplementary information

This supplementary information is collated from multiple sources and compiled automatically.

The MEOX2 protein also known as Mesenchyme Homeobox 2 or GAX is a homeobox-containing transcription factor with a mass of approximately 34 kDa. MEOX2 is expressed in developing mesoderm and neural crest during embryonic development. In adults its expression continues in various tissues including skeletal muscle and some parts of the central nervous system. This expression pattern indicates its role in both early development and maintenance of specific tissues.
Biological function summary

MEOX2 regulates the differentiation of mesodermal cells and contributes to skeletal muscle development. It acts as a transcription factor influencing the expression of a variety of downstream genes involved in cell cycle control and tissue morphogenesis. MEOX2 functions within a complex network of homeobox genes working together with other transcription factors to modulate cellular differentiation and organogenesis.

Pathways

The MEOX2 protein plays a significant role in the Wnt signaling and TGF-beta pathways. These pathways are important in cellular growth differentiation and development processes. MEOX2 interacts with proteins such as beta-catenin in the Wnt pathway influencing gene transcription linked to cell proliferation and differentiation. This coordination ensures the proper development and function of tissues where MEOX2 is expressed.

MEOX2 involvement has been linked to vascular diseases and muscular dystrophies. Altered expression of MEOX2 can disrupt vascular endothelium function contributing to the progression of vascular diseases like atherosclerosis. In muscular dystrophies MEOX2 interacts with other proteins such as myogenin and MyoD potentially affecting muscle cell differentiation and regeneration. Understanding these interactions and MEOX2's roles could provide insights into therapeutic targets for these conditions.

Product protocols

For this product, it's our understanding that no specific protocols are required. You can visit:

Target data

Mesodermal transcription factor that plays a key role in somitogenesis and somitogenesis and limb muscle differentiation (By similarity). Required during limb development for normal appendicular muscle formation and for the normal regulation of myogenic genes (By similarity). May have a regulatory role when quiescent vascular smooth muscle cells reenter the cell cycle (By similarity). Also acts as a negative regulator of angiogenesis (PubMed : 17074759, PubMed : 20516212, PubMed : 22206000). Activates expression of CDKN1A and CDKN2A in endothelial cells, acting as a regulator of vascular cell proliferation (PubMed : 17074759, PubMed : 22206000). While it activates CDKN1A in a DNA-dependent manner, it activates CDKN2A in a DNA-independent manner (PubMed : 22206000). Together with TCF15, regulates transcription in heart endothelial cells to regulate fatty acid transport across heart endothelial cells (By similarity).
See full target information MEOX2

Product promise

We are committed to supporting your work with high-quality reagents, and we're here for you every step of the way. In the unlikely event that one of our products does not perform as expected, you're protected by our Product Promise.
For full details, please see our Terms & Conditions

Please note: All products are 'FOR RESEARCH USE ONLY. NOT FOR USE IN DIAGNOSTIC OR THERAPEUTIC PROCEDURES'.

For licensing inquiries, please contact partnerships@abcam.com