JavaScript is disabled in your browser. Please enable JavaScript to view this website.
AB232892

Anti-Meprin alpha antibody

Be the first to review this product! Submit a review

|

(3 Publications)

Rabbit Polyclonal Meprin alpha antibody. Suitable for WB, IHC-P and reacts with Mouse, Rat, Recombinant full length protein - Human, Human samples. Cited in 3 publications. Immunogen corresponding to Recombinant Fragment Protein within Human MEP1A aa 200-550.

View Alternative Names

Meprin A subunit alpha, Endopeptidase-2, N-benzoyl-L-tyrosyl-P-amino-benzoic acid hydrolase subunit alpha, PABA peptide hydrolase, PPH alpha, MEP1A

3 Images
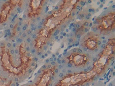
Immunohistochemistry (Formalin/PFA-fixed paraffin-embedded sections) - Anti-Meprin alpha antibody (AB232892)
  • IHC-P

Supplier Data

Immunohistochemistry (Formalin/PFA-fixed paraffin-embedded sections) - Anti-Meprin alpha antibody (AB232892)

Paraffin-embedded human kidney tissue stained for Meprin alpha using ab232892 at 20 μg/ml in immunohistochemical analysis. DAB staining.

Western blot - Anti-Meprin alpha antibody (AB232892)
  • WB

Supplier Data

Western blot - Anti-Meprin alpha antibody (AB232892)

All lanes:

Western blot - Anti-Meprin alpha antibody (ab232892) at 2 µg/mL

All lanes:

Recombinant human Meprin alpha protein

Secondary

All lanes:

HRP-Linked Guinea pig Anti-Rabbit at 1/2000 dilution

Predicted band size: 84 kDa

false

Western blot - Anti-Meprin alpha antibody (AB232892)
  • WB

Supplier Data

Western blot - Anti-Meprin alpha antibody (AB232892)

All lanes:

Western blot - Anti-Meprin alpha antibody (ab232892) at 2 µg/mL

Lane 1:

Rat kidney lysate

Lane 2:

Mouse kidney lysate

Secondary

All lanes:

HRP-Linked Guinea pig Anti-Rabbit at 1/2000 dilution

Predicted band size: 84 kDa

false

Key facts

Host species

Rabbit

Clonality

Polyclonal

Isotype

IgG

Carrier free

No

Reacts with

Mouse, Rat, Human

Applications

WB, IHC-P

applications

Immunogen

Recombinant Fragment Protein within Human MEP1A aa 200-550. The exact immunogen used to generate this antibody is proprietary information.

Q16819

Reactivity data

{ "title": "Reactivity Data", "filters": { "stats": ["", "Species", "Dilution Info", "Notes"], "tabs": { "all-applications": {"fullname" : "All Applications", "shortname": "All Applications"}, "WB" : {"fullname" : "Western blot", "shortname":"WB"}, "IHCP" : {"fullname" : "Immunohistochemistry (Formalin/PFA-fixed paraffin-embedded sections)", "shortname":"IHC-P"} }, "product-promise": { "all": "all", "testedAndGuaranteed": "tested", "guaranteed": "expected", "predicted": "predicted", "notRecommended": "not-recommended" } }, "values": { "Human": { "WB-species-checked": "guaranteed", "WB-species-dilution-info": "", "WB-species-notes": "", "IHCP-species-checked": "testedAndGuaranteed", "IHCP-species-dilution-info": "5-20 µg/mL", "IHCP-species-notes": "<p></p>" }, "Mouse": { "WB-species-checked": "testedAndGuaranteed", "WB-species-dilution-info": "0.5-2 µg/mL", "WB-species-notes": "<p></p>", "IHCP-species-checked": "guaranteed", "IHCP-species-dilution-info": "", "IHCP-species-notes": "" }, "Rat": { "WB-species-checked": "testedAndGuaranteed", "WB-species-dilution-info": "0.5-2 µg/mL", "WB-species-notes": "<p></p>", "IHCP-species-checked": "guaranteed", "IHCP-species-dilution-info": "", "IHCP-species-notes": "" }, "Recombinant full length protein - Human": { "WB-species-checked": "testedAndGuaranteed", "WB-species-dilution-info": "0.5-2 µg/mL", "WB-species-notes": "<p></p>", "IHCP-species-checked": "notRecommended", "IHCP-species-dilution-info": "", "IHCP-species-notes": "" } } }

Properties and storage information

Form
Liquid
Purification technique
Affinity purification Immunogen
Purification notes
ab232892 was purified by antigen-specific affinity chromatography followed by Protein A affinity chromatography.
Storage buffer
pH: 7.4 Preservative: 0.011% Proclin 300 Constituents: PBS, 55.77% Glycerol (glycerin, glycerine)
Shipped at conditions
Blue Ice
Appropriate short-term storage duration
1-2 weeks
Appropriate short-term storage conditions
+4°C
Appropriate long-term storage conditions
-20°C
Aliquoting information
Upon delivery aliquot
Storage information
Avoid freeze / thaw cycle

Product protocols

For this product, it's our understanding that no specific protocols are required. You can visit:

Publications (3)

Recent publications for all applications. Explore the full list and refine your search

Biology open 10: PubMed34100896

2021

RNA-Seq reveals changes in human placental metabolism, transport and endocrinology across the first-second trimester transition.

Applications

Unspecified application

Species

Unspecified reactive species

Malwina Prater,Russell S Hamilton,Hong Wa Yung,Andrew M Sharkey,Paul Robson,N Erlyani Abd Hamid,Eric Jauniaux,D Stephen Charnock-Jones,Graham J Burton,Tereza Cindrova-Davies

Cancer cell international 20:244 PubMed32549791

2020

Knockdown of LINC00662 represses AK4 and attenuates radioresistance of oral squamous cell carcinoma.

Applications

Unspecified application

Species

Unspecified reactive species

Yangzong Chen,Chunchun Bao,Xiuxing Zhang,Xinshi Lin,Yimou Fu

Molecular therapy. Nucleic acids 19:350-360 PubMed31877411

2019

Inhibition of miR-155-5p Exerts Anti-Fibrotic Effects in Silicotic Mice by Regulating Meprin α.

Applications

Unspecified application

Species

Unspecified reactive species

Yingying Chen,Dingjie Xu,Jingxin Yao,Zhongqiu Wei,Shifeng Li,Xuemin Gao,Wenchen Cai,Na Mao,Fuyu Jin,Yaqian Li,Ying Zhu,Shumin Li,Heliang Liu,Fang Yang,Hong Xu
View all publications

Product promise

We are committed to supporting your work with high-quality reagents, and we're here for you every step of the way. In the unlikely event that one of our products does not perform as expected, you're protected by our Product Promise.
For full details, please see our Terms & Conditions

Please note: All products are 'FOR RESEARCH USE ONLY. NOT FOR USE IN DIAGNOSTIC OR THERAPEUTIC PROCEDURES'.

For licensing inquiries, please contact partnerships@abcam.com