JavaScript is disabled in your browser. Please enable JavaScript to view this website.
AB250715

Anti-MERTK antibody [EPR17534-139] - BSA and Azide free

5

(1 Review)

|

(1 Publication)

Rabbit Recombinant Monoclonal MERTK antibody. Carrier free. Suitable for IP, WB, IHC-P, IHC-Fr and reacts with Mouse samples. Cited in 1 publication.

View Alternative Names

Mer, Mertk, Tyrosine-protein kinase Mer, Proto-oncogene c-Mer, Receptor tyrosine kinase MerTK

6 Images
Immunohistochemistry (Formalin/PFA-fixed paraffin-embedded sections) - Anti-MERTK antibody [EPR17534-139] - BSA and Azide free (AB250715)
  • IHC-P

Supplier Data

Immunohistochemistry (Formalin/PFA-fixed paraffin-embedded sections) - Anti-MERTK antibody [EPR17534-139] - BSA and Azide free (AB250715)

This data was developed using ab184086, the same antibody clone in a different buffer formulation.

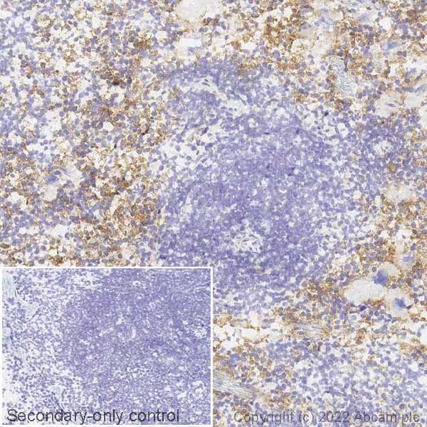
Immunohistochemical analysis of paraffin-embedded mouse spleen tissue labeling MERTK with ab184086 at 1/1000 dilution, followed by Goat Anti-Rabbit IgG H&L (HRP) (ab97051) at 1/500 dilution. Membranous staining on mouse spleen (PMID : 19631584) is observed. Counterstained with hematoxylin.

Secondary antibody only control : Used PBS instead of primary antibody, secondary antibody is Goat Anti-Rabbit IgG H&L (HRP) (ab97051) at 1/500 dilution.

Heat mediated antigen retrieval was performed with Tris/EDTA buffer pH 9.0 before commencing with IHC staining protocol.

Immunohistochemistry (Formalin/PFA-fixed paraffin-embedded sections) - Anti-MERTK antibody [EPR17534-139] - BSA and Azide free (AB250715)
  • IHC-P

Supplier Data

Immunohistochemistry (Formalin/PFA-fixed paraffin-embedded sections) - Anti-MERTK antibody [EPR17534-139] - BSA and Azide free (AB250715)

This data was developed using ab184086, the same antibody clone in a different buffer formulation.

Immunohistochemical analysis of paraffin-embedded mouse liver tissue labeling MERTK with ab184086 at 1/1000 dilution, followed by Goat Anti-Rabbit IgG H&L (HRP) (ab97051) at 1/500 dilution. Positive staining on hepatic sinusoids of mouse liver (PMID : 23799121) is observed. Counterstained with hematoxylin.

Secondary antibody only control : Used PBS instead of primary antibody, secondary antibody is Goat Anti-Rabbit IgG H&L (HRP) (ab97051) at 1/500 dilution.

Heat mediated antigen retrieval was performed with Tris/EDTA buffer pH 9.0 before commencing with IHC staining protocol.

Immunohistochemistry (Frozen sections) - Anti-MERTK antibody [EPR17534-139] - BSA and Azide free (AB250715)
  • IHC-Fr

Lab

Immunohistochemistry (Frozen sections) - Anti-MERTK antibody [EPR17534-139] - BSA and Azide free (AB250715)

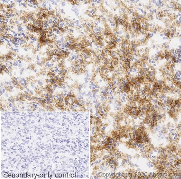
IHC image of MERTK staining in a section of frozen mouse normal liver performed on a Leica Biosystems BOND® RX instrument using the standard protocol. The section was fixed in 10% paraformaldehyde (10 min) prior to staining. The section was incubated with ab184086, 0.5ugml, for 15 mins at room temperature and detected using an HRP conjugated compact polymer system. DAB was used as the chromogen. The section was then counterstained with haematoxylin and mounted with DPX. The inset secondary-only control image is taken from an identical assay without primary antibody. For other IHC staining systems (automated and non-automated) customers should optimize variable parameters such as antigen retrieval conditions, primary antibody concentration and antibody incubation times. This data was developed using ab184086, the same antibody clone in a different buffer formulation.

Immunohistochemistry (Frozen sections) - Anti-MERTK antibody [EPR17534-139] - BSA and Azide free (AB250715)
  • IHC-Fr

Lab

Immunohistochemistry (Frozen sections) - Anti-MERTK antibody [EPR17534-139] - BSA and Azide free (AB250715)

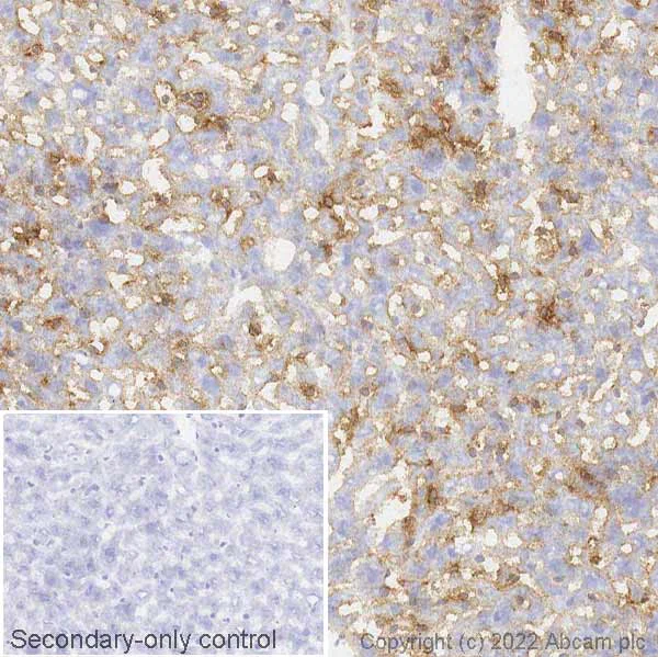
IHC image of MERTK staining in a section of frozen mouse normal spleen performed on a Leica Biosystems BOND® RX instrument using the standard protocol. The section was fixed in 10% paraformaldehyde (10 min) prior to staining. The section was incubated with ab184086, 0.1ugml, for 15 mins at room temperature and detected using an HRP conjugated compact polymer system. DAB was used as the chromogen. The section was then counterstained with haematoxylin and mounted with DPX. The inset secondary-only control image is taken from an identical assay without primary antibody. For other IHC staining systems (automated and non-automated) customers should optimize variable parameters such as antigen retrieval conditions, primary antibody concentration and antibody incubation times. This data was developed using ab184086, the same antibody clone in a different buffer formulation.

Western blot - Anti-MERTK antibody [EPR17534-139] - BSA and Azide free (AB250715)
  • WB

Supplier Data

Western blot - Anti-MERTK antibody [EPR17534-139] - BSA and Azide free (AB250715)

This data was developed using ab184086, the same antibody clone in a different buffer formulation.

Blocking and dilution buffer : 5% NFDM/TBST.

The expression profile observed is consistent with what has been described in the literature (PMID : 17047157).

All lanes:

Western blot - Anti-MERTK antibody [EPR17534-139] (<a href='/en-us/products/primary-antibodies/mertk-antibody-epr17534-139-ab184086'>ab184086</a>) at 1/1000 dilution

Lane 1:

NIH/3T3 (mouse embryonic fibroblast), whole cell lysate at 20 µg

Lane 2:

Mouse spleen tissue lysate at 20 µg

Lane 3:

Mouse liver tissue lysate at 20 µg

Secondary

All lanes:

Goat Anti-Rabbit IgG Peroxidase Conjugate, specific to the non-reduced form of IgG at 1/10000 dilution

Predicted band size: 110 kDa

Observed band size: 110-140 kDa,180-210 kDa

false

Exposure time: 3min

Immunoprecipitation - Anti-MERTK antibody [EPR17534-139] - BSA and Azide free (AB250715)
  • IP

Supplier Data

Immunoprecipitation - Anti-MERTK antibody [EPR17534-139] - BSA and Azide free (AB250715)

This data was developed using ab184086, the same antibody clone in a different buffer formulation.

MERTK was immunoprecipitated from 10 μg of mouse spleen tissue lysate with ab184086 at 1/40 dilution. Western blot was performed from the immunoprecipitate using ab184086 at 1/1000 dilution. Secondary used is VeriBlot for IP Detection Reagent (HRP) (ab131366) at a 1/10,000 dilution.

Lane 1 : Mouse spleen tissue lysate, 10 μg (input).

Lane 2 : ab184086 IP in mouse spleen tissue lysate (+)

Lane 3 : Rabbit monoclonal IgG (ab172730) instead of ab184086 in mouse spleen lysate.

b Blocking and dilution buffer : 5% NFDM/TBST.

Exposure time : 5 seconds

The molecular masses observed are consistent with what has been described in the literature. The band at approximately 50 kDa likely represents a cleavage fragment (PMID : 17047157, 15673687).

All lanes:

Immunoprecipitation - Anti-MERTK antibody [EPR17534-139] (<a href='/en-us/products/primary-antibodies/mertk-antibody-epr17534-139-ab184086'>ab184086</a>)

Predicted band size: 110 kDa

Observed band size: 110-140 kDa,180-210 kDa

false

Key facts

Host species

Rabbit

Clonality

Monoclonal

Clone number

EPR17534-139

Isotype

IgG

Carrier free

Yes

Reacts with

Mouse

Applications

IP, IHC-P, IHC-Fr, WB

applications

Immunogen

The exact immunogen used to generate this antibody is proprietary information.

Reactivity data

{ "title": "Reactivity Data", "filters": { "stats": ["", "Species", "Dilution Info", "Notes"], "tabs": { "all-applications": {"fullname" : "All Applications", "shortname": "All Applications"}, "IP" : {"fullname" : "Immunoprecipitation", "shortname":"IP"}, "WB" : {"fullname" : "Western blot", "shortname":"WB"}, "IHCP" : {"fullname" : "Immunohistochemistry (Formalin/PFA-fixed paraffin-embedded sections)", "shortname":"IHC-P"}, "IHCFr" : {"fullname" : "Immunohistochemistry (Frozen sections)", "shortname":"IHC-Fr"}, "FlowCyt" : {"fullname" : "Flow Cytometry", "shortname":"Flow Cyt"} }, "product-promise": { "all": "all", "testedAndGuaranteed": "tested", "guaranteed": "expected", "predicted": "predicted", "notRecommended": "not-recommended" } }, "values": { "Human": { "IP-species-checked": "notRecommended", "IP-species-dilution-info": "", "IP-species-notes": "", "WB-species-checked": "notRecommended", "WB-species-dilution-info": "", "WB-species-notes": "", "IHCP-species-checked": "notRecommended", "IHCP-species-dilution-info": "", "IHCP-species-notes": "", "IHCFr-species-checked": "notRecommended", "IHCFr-species-dilution-info": "", "IHCFr-species-notes": "", "FlowCyt-species-checked": "notRecommended", "FlowCyt-species-dilution-info": "", "FlowCyt-species-notes": "<p></p>" }, "Mouse": { "IP-species-checked": "testedAndGuaranteed", "IP-species-dilution-info": "", "IP-species-notes": "<p></p>", "WB-species-checked": "testedAndGuaranteed", "WB-species-dilution-info": "", "WB-species-notes": "<p></p>", "IHCP-species-checked": "testedAndGuaranteed", "IHCP-species-dilution-info": "", "IHCP-species-notes": "<p></p>", "IHCFr-species-checked": "testedAndGuaranteed", "IHCFr-species-dilution-info": "", "IHCFr-species-notes": "<p></p>", "FlowCyt-species-checked": "notRecommended", "FlowCyt-species-dilution-info": "", "FlowCyt-species-notes": "<p></p>" } } }

Product details

ab250715 is the carrier-free version of ab184086.

Patented technology
Our RabMAb® technology is a patented hybridoma-based technology for making rabbit monoclonal antibodies. For details on our patents, please refer to RabMAb® patents.

What are the advantages of a recombinant monoclonal antibody?
This product is a recombinant monoclonal antibody, which offers several advantages including:

  • - High batch-to-batch consistency and reproducibility
  • - Improved sensitivity and specificity
  • - Long-term security of supply
  • - Animal-free batch production

For more information, read more on recombinant antibodies.

Conjugation ready
Our carrier-free antibodies are typically supplied in a PBS-only formulation, purified and free of BSA, sodium azide and glycerol. This conjugation-ready format is designed for use with fluorochromes, metal isotopes, oligonucleotides, and enzymes, which makes them ideal for antibody labelling, functional and cell-based assays, flow-based assays (e.g. mass cytometry) and Multiplex Imaging applications.

Use our conjugation kits for antibody conjugates that are ready-to-use in as little as 20 minutes with 1 minute hands-on-time and 100% antibody recovery: available for fluorescent dyes, HRP, biotin and gold.

Compatibility
This product is compatible with the Maxpar® Antibody Labeling Kit from Fluidigm, without the need for antibody preparation. Maxpar® is a trademark of Fluidigm Canada Inc.

Properties and storage information

Form
Liquid
Purification technique
Affinity purification Protein A
Storage buffer
pH: 7.2 - 7.4 Constituents: PBS
Shipped at conditions
Blue Ice
Appropriate short-term storage conditions
+4°C
Appropriate long-term storage conditions
+4°C
Storage information
Do Not Freeze

Supplementary information

This supplementary information is collated from multiple sources and compiled automatically.

The MERTK protein also known as c-Mer tyrosine kinase plays a mechanical role as a receptor tyrosine kinase with a mass of approximately 110 kDa. It is expressed in multiple tissues including the retina immune cells and some epithelial cells. MERTK functions by binding with its ligands facilitating downstream signaling that affects cellular functions. The receptor is part of the TAM family alongside proteins like AXL and TYRO3.
Biological function summary

The receptor MERTK orchestrates processes critical for maintaining cellular homeostasis such as efferocytosis and immune response regulation. It does not operate alone but often interacts with other cellular components to form functional complexes. This protein contributes significantly to phagocytosis a cellular process for clearing apoptotic cells ensuring a controlled immune environment.

Pathways

Several signal transduction pathways involve c-Mer tyrosine kinase in maintaining cellular communication. Notably it participates in the RAS/MAPK and PI3K/AKT pathways which are essential for cell survival and proliferation. These pathways involve interactions with proteins such as GAB1 and SOS highlighting the receptor's integration in cell signaling networks.

Aberrant activity of MERTK has associations with cancer and autoimmune disorders. In cancers such as leukemia overexpression of the MERTK protein promotes cell survival and proliferation. Its interaction with other proteins like GRB2 can further exacerbate oncogenic pathways. In autoimmune diseases dysregulated MERTK expression can lead to improper clearance of apoptotic cells contributing to systemic inflammation.

Product protocols

For this product, it's our understanding that no specific protocols are required. You can visit:

Target data

Receptor tyrosine kinase that transduces signals from the extracellular matrix into the cytoplasm by binding to several ligands including LGALS3, TUB, TULP1 or GAS6. Regulates many physiological processes including cell survival, migration, differentiation, and phagocytosis of apoptotic cells (efferocytosis). Ligand binding at the cell surface induces autophosphorylation of MERTK on its intracellular domain that provides docking sites for downstream signaling molecules. Following activation by ligand, interacts with GRB2 or PLCG2 and induces phosphorylation of MAPK1, MAPK2, FAK/PTK2 or RAC1. MERTK signaling plays a role in various processes such as macrophage clearance of apoptotic cells, platelet aggregation, cytoskeleton reorganization and engulfment. Functions in the retinal pigment epithelium (RPE) as a regulator of rod outer segments fragments phagocytosis. Also plays an important role in inhibition of Toll-like receptors (TLRs)-mediated innate immune response by activating STAT1, which selectively induces production of suppressors of cytokine signaling SOCS1 and SOCS3.
See full target information Mertk

Publications (1)

Recent publications for all applications. Explore the full list and refine your search

JCI insight 5: PubMed31094704

2019

Protective role of B cells in sterile particulate-induced lung injury.

Applications

Unspecified application

Species

Unspecified reactive species

Shaikh M Atif,Douglas G Mack,Amy S McKee,Javier Rangel-Moreno,Allison K Martin,Andrew Getahun,Lisa A Maier,John C Cambier,Rubin Tuder,Andrew P Fontenot
View all publications

Product promise

We are committed to supporting your work with high-quality reagents, and we're here for you every step of the way. In the unlikely event that one of our products does not perform as expected, you're protected by our Product Promise.
For full details, please see our Terms & Conditions

Please note: All products are 'FOR RESEARCH USE ONLY. NOT FOR USE IN DIAGNOSTIC OR THERAPEUTIC PROCEDURES'.

For licensing inquiries, please contact partnerships@abcam.com