JavaScript is disabled in your browser. Please enable JavaScript to view this website.
AB300136

Anti-MERTK antibody [EPR26359-12]

  • BOND RX™ Validated
  • 20ul selling size
  • RabMAb
  • Recombinant
  • KO Validated
  • What is this?

Be the first to review this product! Submit a review

|

(9 Publications)

Anti-MERTK antibody [EPR26359-12] (ab300136) is a rabbit monoclonal antibody detecting MERTK in Western Blot, Flow Cytometry, IHC-P, ICC/IF. Suitable for Human, Mouse, Rat.

- Biophysical QC for unrivalled batch-batch consistency

View Alternative Names

MER, MERTK, Tyrosine-protein kinase Mer, Proto-oncogene c-Mer, Receptor tyrosine kinase MerTK

12 Images
Flow Cytometry - Anti-MERTK antibody [EPR26359-12] (AB300136)
  • Flow Cyt

Supplier Data

Flow Cytometry - Anti-MERTK antibody [EPR26359-12] (AB300136)

Flow cytometric analysis of HL-60 (human acute promyelocytic leukemia promyeloblast, Left) / HepG2 (human hepatocellular carcinoma epithelial cell, Right) cells labelling MERTK with ab300136 at 1/50 dilution (Red) compared with a Rabbit monoclonal IgG (ab172730) (Black) isotype control and an unlabelled control (cells without incubation with primary antibody and secondary antibody) (Blue). A Goat anti-Rabbit IgG (Alexa Fluor® 647, ab150083) at 1/2000 dilution was used as the secondary antibody. Gated on viable cells. Negative control : HL-60 (PMID : 23474756).

Flow Cytometry - Anti-MERTK antibody [EPR26359-12] (AB300136)
  • Flow Cyt

Supplier Data

Flow Cytometry - Anti-MERTK antibody [EPR26359-12] (AB300136)

Flow cytometric analysis of WEHI-231 (mouse B cell lymphoma B lymphocyte, Left) / J774A.1 (mouse reticulum cell sarcoma monocyte macrophage, Right) cells labelling MERTK with ab300136 at 1/50 dilution (Red) compared with a Rabbit monoclonal IgG (ab172730) (Black) isotype control and an unlabelled control (cells without incubation with primary antibody and secondary antibody) (Blue). Goat anti-Rabbit IgG (Alexa Fluor® 647, ab150083) at 1/2000 dilution was used as the secondary antibody. Gated on viable cells. Negative control : WEHI-231(PMID : 16652142; PMID : 12884290)

Immunocytochemistry/ Immunofluorescence - Anti-MERTK antibody [EPR26359-12] (AB300136)
  • ICC/IF

Supplier Data

Immunocytochemistry/ Immunofluorescence - Anti-MERTK antibody [EPR26359-12] (AB300136)

Immunofluorescent analysis of 100% methanol-fixed, 0.1% TritonX-100 permeabilized J774A.1(mouse reticulum cell sarcoma monocyte macrophage) cells labeling MERTK with ab300136 at 1/50 dilution, followed by ab150081 Goat Anti-Rabbit IgG H&L (Alexa Fluor® 488) preabsorbed antibody at 1/1000 dilution (Green). Confocal image showing membranous staining in J774A.1 cell line. Negative control : WEHI-231(PMID : 16652142; PMID : 12884290).

Tubulin is detected with ab195889 Anti-alpha Tubulin mouse monoclonal antibody - Microtubule Marker (Alexa Fluor® 594) at 1/200 dilution (Red). The Nuclear counterstain was DAPI (Blue).Secondary antibody only control : Secondary antibody is ab150081 Goat Anti-Rabbit IgG H&L (Alexa Fluor® 488) preabsorbed at 1/1000 dilution.

Immunohistochemistry (Formalin/PFA-fixed paraffin-embedded sections) - Anti-MERTK antibody [EPR26359-12] (AB300136)
  • IHC-P

Lab

Immunohistochemistry (Formalin/PFA-fixed paraffin-embedded sections) - Anti-MERTK antibody [EPR26359-12] (AB300136)

Immunohistochemical analysis of paraffin-embedded (A) Kidney tissue from wild-type C57BL/6J mice and (B) Kidney tissue from MERTK knockout mice tissue labeling MERTK with ab300136 at 1/1000 dilution.

Positive staining on (A) Kidney tissue from wild-type C57BL/6J mice, no staining on (B) Kidney tissue from MERTK knockout mice.

The primary antibody was incubated for 30 mins at room temperature. The immunostaining was performed on a Leica Biosystems BOND® RX instrument. Counterstained with Hematoxylin.

Heat mediated antigen retrieval was performed with Tris-EDTA buffer (pH 9.0, Epitope Retrieval Solution2) for 20 mins.

The tissue samples were kindly provided by GemPharmatech. C57BL/6JGpt wildtype mice and MERTK-KO homozygous mice (Strain ID : T012765).

Flow Cytometry - Anti-MERTK antibody [EPR26359-12] (AB300136)
  • Flow Cyt

Supplier Data

Flow Cytometry - Anti-MERTK antibody [EPR26359-12] (AB300136)

Flow cytometric analysis of NR8383 (rat lung macrophage alveolar) cells labelling MERTK with ab300136 at 1/50 dilution (Red) compared with a Rabbit monoclonal IgG (ab172730) (Black) isotype control and an unlabelled control (cells without incubation with primary antibody and secondary antibody) (Blue). Goat anti-Rabbit IgG (Alexa Fluor® 647, ab150083) at 1/2000 dilution was used as the secondary antibody. Gated on viable cells.

Western blot - Anti-MERTK antibody [EPR26359-12] (AB300136)
  • WB

Lab

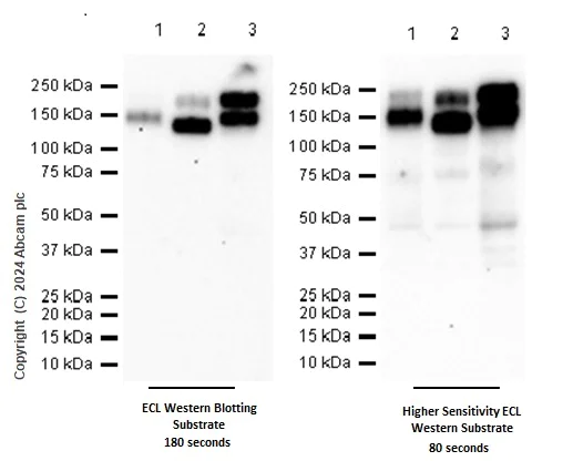
Western blot - Anti-MERTK antibody [EPR26359-12] (AB300136)

Blocking and dilution buffer : 5% NFDM/TBST.

Exposure time : ECL western blotting substrate 180 seconds, higher sensitivity ECL western substrate 80 seconds.

The left image uses the ECL western blotting substrate and the right image uses the higher sensitivity ECL western substrate.

We recommend using a higher sensitive ECL substrate to increase the band intensity.

All lanes:

Western blot - Anti-MERTK antibody [EPR26359-12] (ab300136) at 1/1000 dilution

Lane 1:

HepG2 (human hepatocellular carcinoma epithelial cell), whole cell lysate at 20 µg

Lane 2:

Mouse spleen tissue lysate at 20 µg

Lane 3:

J774A.1 (mouse reticulum cell sarcoma monocyte macrophage), whole cell lysate at 20 µg

Secondary

All lanes:

Western blot - Goat Anti-Rabbit IgG H&L (HRP) (<a href='/en-us/products/secondary-antibodies/goat-rabbit-igg-h-l-hrp-ab97051'>ab97051</a>) at 1/20000 dilution

Predicted band size: 110 kDa

Observed band size: 110-140 kDa,180-210 kDa

false

Western blot - Anti-MERTK antibody [EPR26359-12] (AB300136)
  • WB

Supplier Data

Western blot - Anti-MERTK antibody [EPR26359-12] (AB300136)

Blocking and dilution buffer and concentration : 5% NFDM/TBST.

Negative control : HL-60 (PMID : 23474756)

The expression profile/ molecular weight observed is consistent with what has been described in the literature (PMID : 16652142).

All lanes:

Western blot - Anti-MERTK antibody [EPR26359-12] (ab300136) at 1/1000 dilution

Lane 1:

Mouse spleen tissue lysate at 20 µg

Lane 2:

HepG2 (human hepatocellular carcinoma epithelial cell) whole cell lysate at 20 µg

Lane 3:

HL-60 (human acute promyelocytic leukemia promyeloblast) whole cell lysate at 20 µg

Secondary

All lanes:

Western blot - Goat Anti-Rabbit IgG H&L (HRP) (<a href='/en-us/products/secondary-antibodies/goat-rabbit-igg-h-l-hrp-ab97051'>ab97051</a>) at 1/100000 dilution

Observed band size: 110-140 kDa,180-210 kDa

true

Exposure time: 3min

Western blot - Anti-MERTK antibody [EPR26359-12] (AB300136)
  • WB

Lab

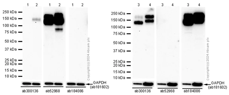
Western blot - Anti-MERTK antibody [EPR26359-12] (AB300136)

ab52968 was used at 1/1000 dilution. ab184086 was used at 1/1000 dilution. ab181602 was used as a loading control at 1/1000000 dilution. Blocking/Diluting buffer and concentration : 5% NFDM/TBST For Western Blot, it is recommended to use ab52968 for detecting human samples and ab184086 for detecting mouse samples.

All lanes:

Western blot - Anti-MERTK antibody [EPR26359-12] (ab300136) at 1/1000 dilution

Lane 1:

HEK-293 (Human embryonic kidney epithelial cell) whole cell lysate at 20 µg

Lane 2:

HepG2 (Human hepatocellular carcinoma epithelial cell) whole cell lysate at 20 µg

Lane 3:

Mouse spleen tissue lysate at 20 µg

Lane 4:

J774A.1 (Mouse reticulum cell sarcoma monocyte macrophage) whole cell lysate at 20 µg

Secondary

All lanes:

Western blot - Goat Anti-Rabbit IgG H&L (HRP) (<a href='/en-us/products/secondary-antibodies/goat-rabbit-igg-h-l-hrp-ab97051'>ab97051</a>) at 1/20000 dilution

Observed band size: 110-140 kDa,180-210 kDa

false

Western blot - Anti-MERTK antibody [EPR26359-12] (AB300136)
  • WB

Lab

Western blot - Anti-MERTK antibody [EPR26359-12] (AB300136)

Blocking and diluting buffer and concentration : 5% NFDM/TBST.

In Western blot, Anti-GAPDH antibody [EPR16891] - Loading Control (ab181602) staining at 1/200000 dilution.

The tissue samples were kindly provided by GemPharmatech. C57BL/6JGpt wildtype mice and Mertk-KO homozygous mice (Strain ID : T012765).

All lanes:

Western blot - Anti-MERTK antibody [EPR26359-12] (ab300136) at 1/1000 dilution

Lane 1:

Wild-type mouse kidney tissue lysate at 40 µg

Lane 2:

Mertk knockout mouse kidney (case 1) tissue lysate at 40 µg

Lane 3:

Mertk knockout mouse kidney (case 2) tissue lysate at 40 µg

Secondary

All lanes:

Western blot - Goat Anti-Rabbit IgG H&L (HRP) (<a href='/en-us/products/secondary-antibodies/goat-rabbit-igg-h-l-hrp-ab97051'>ab97051</a>) at 1/20000 dilution

Observed band size: 110-140 kDa

false

Exposure time: 37s

Western blot - Anti-MERTK antibody [EPR26359-12] (AB300136)
  • WB

Supplier Data

Western blot - Anti-MERTK antibody [EPR26359-12] (AB300136)

Immunohistochemical analysis of paraffin-embedded Mouse spleen tissue labelling MERTK with ab300136 at 1/800 followed by a ready to use Goat Anti-Rabbit IgG H&L (HRP polymer). Membranous staining on mouse spleen (PMID : 25479139) is observed. The section was incubated with ab300136 at 4°C overnight. Counterstained with Hematoxylin.

Secondary antibody only control : PBS was used instead of primary antibody, secondary antibody is a ready to use Goat Anti-Rabbit IgG H&L (HRP polymer).Heat mediated antigen retrieval using ab93684 (Tris/EDTA buffer, pH 9.0)

Western blot - Anti-MERTK antibody [EPR26359-12] (AB300136)
  • WB

Supplier Data

Western blot - Anti-MERTK antibody [EPR26359-12] (AB300136)

Immunohistochemical analysis of paraffin-embedded mouse kidney tissue labelling MERTK with ab300136 at 1/800 followed by a ready to use Goat Anti-Rabbit IgG H&L (HRP polymer). Membranous staining on endothelial cells of mouse kidney (PMID : 29350876) is observed. The section was incubated with ab300136 at 4°C overnight. Counterstained with Hematoxylin.

Secondary antibody only control : Used PBS instead of primary antibody, secondary antibody is a ready to use Goat Anti-Rabbit IgG H&L (HRP polymer).Heat mediated antigen retrieval using ab93684 (Tris/EDTA buffer, pH 9.0).

Western blot - Anti-MERTK antibody [EPR26359-12] (AB300136)
  • WB

Supplier Data

Western blot - Anti-MERTK antibody [EPR26359-12] (AB300136)

Blocking and dilution buffer and concentration : 5% NFDM/TBST.

Negative control : WEHI-231 (PMID : 12884290).

The expression profile/ molecular weight observed is consistent with what has been described in the literature (PMID : 16652142).

This blot was developed using a higher sensitivity ECL substrate.

All lanes:

Western blot - Anti-MERTK antibody [EPR26359-12] (ab300136) at 1/1000 dilution

Lane 1:

J774A.1 (mouse reticulum cell sarcoma monocyte macrophage) whole cell lysate at 20 µg

Lane 2:

WEHI-231 (mouse B cell lymphoma B lymphocyte) whole cell lysate at 20 µg

Secondary

All lanes:

Western blot - Goat Anti-Rabbit IgG H&L (HRP) (<a href='/en-us/products/secondary-antibodies/goat-rabbit-igg-h-l-hrp-ab97051'>ab97051</a>) at 1/100000 dilution

Observed band size: 110-140 kDa,180-210 kDa

false

Exposure time: 92s

Key facts

Host species

Rabbit

Clonality

Monoclonal

Clone number

EPR26359-12

Isotype

IgG

Carrier free

No

Reacts with

Human, Mouse, Rat

Applications

IHC-P, Flow Cyt, ICC/IF, WB

applications

Immunogen

The exact immunogen used to generate this antibody is proprietary information.

Reactivity data

{ "title": "Reactivity Data", "filters": { "stats": ["", "Species", "Dilution Info", "Notes"], "tabs": { "all-applications": {"fullname" : "All Applications", "shortname": "All Applications"}, "WB" : {"fullname" : "Western blot", "shortname":"WB"}, "IHCP" : {"fullname" : "Immunohistochemistry (Formalin/PFA-fixed paraffin-embedded sections)", "shortname":"IHC-P"}, "ICCIF" : {"fullname" : "Immunocytochemistry/ Immunofluorescence", "shortname":"ICC/IF"}, "IP" : {"fullname" : "Immunoprecipitation", "shortname":"IP"}, "FlowCyt" : {"fullname" : "Flow Cytometry", "shortname":"Flow Cyt"} }, "product-promise": { "all": "all", "testedAndGuaranteed": "tested", "guaranteed": "expected", "predicted": "predicted", "notRecommended": "not-recommended" } }, "values": { "Human": { "WB-species-checked": "testedAndGuaranteed", "WB-species-dilution-info": "1/1000", "WB-species-notes": "<p>For Western Blot, it is recommended to use <a href='/en-us/products/primary-antibodies/mertk-antibody-y323-ab52968'>ab52968</a> for detecting human samples and <a href='/en-us/products/primary-antibodies/mertk-antibody-epr17534-139-ab184086'>ab184086</a> for detecting mouse samples.</p>", "IHCP-species-checked": "notRecommended", "IHCP-species-dilution-info": "1/800", "IHCP-species-notes": "<p></p> Perform heat-mediated antigen retrieval with Tris/EDTA buffer pH 9.0 before commencing with IHC staining protocol.", "ICCIF-species-checked": "guaranteed", "ICCIF-species-dilution-info": "", "ICCIF-species-notes": "", "IP-species-checked": "notRecommended", "IP-species-dilution-info": "", "IP-species-notes": "", "FlowCyt-species-checked": "testedAndGuaranteed", "FlowCyt-species-dilution-info": "1/50", "FlowCyt-species-notes": "<p></p>" }, "Mouse": { "WB-species-checked": "testedAndGuaranteed", "WB-species-dilution-info": "1/1000", "WB-species-notes": "<p>For Western Blot, it is recommended to use <a href='/en-us/products/primary-antibodies/mertk-antibody-y323-ab52968'>ab52968</a> for detecting human samples and <a href='/en-us/products/primary-antibodies/mertk-antibody-epr17534-139-ab184086'>ab184086</a> for detecting mouse samples.</p>", "IHCP-species-checked": "testedAndGuaranteed", "IHCP-species-dilution-info": "1/800", "IHCP-species-notes": "<p></p> Perform heat-mediated antigen retrieval with Tris/EDTA buffer pH 9.0 before commencing with IHC staining protocol.", "ICCIF-species-checked": "testedAndGuaranteed", "ICCIF-species-dilution-info": "1/50", "ICCIF-species-notes": "<p></p>", "IP-species-checked": "notRecommended", "IP-species-dilution-info": "", "IP-species-notes": "<p></p>", "FlowCyt-species-checked": "testedAndGuaranteed", "FlowCyt-species-dilution-info": "1/50", "FlowCyt-species-notes": "<p></p>" }, "Rat": { "WB-species-checked": "notRecommended", "WB-species-dilution-info": "1/1000", "WB-species-notes": "<p>For Western Blot, it is recommended to use <a href='/en-us/products/primary-antibodies/mertk-antibody-y323-ab52968'>ab52968</a> for detecting human samples and <a href='/en-us/products/primary-antibodies/mertk-antibody-epr17534-139-ab184086'>ab184086</a> for detecting mouse samples.</p>", "IHCP-species-checked": "notRecommended", "IHCP-species-dilution-info": "1/800", "IHCP-species-notes": "<p></p> Perform heat-mediated antigen retrieval with Tris/EDTA buffer pH 9.0 before commencing with IHC staining protocol.", "ICCIF-species-checked": "notRecommended", "ICCIF-species-dilution-info": "1/50", "ICCIF-species-notes": "<p></p>", "IP-species-checked": "notRecommended", "IP-species-dilution-info": "", "IP-species-notes": "", "FlowCyt-species-checked": "testedAndGuaranteed", "FlowCyt-species-dilution-info": "1/50", "FlowCyt-species-notes": "<p></p>" } } }

Product details

What is this antibody validated in?
Anti-MERTK antibody [EPR26359-12] (ab300136) is a rabbit recombinant monoclonal antibody and is validated for use in Western Blot (WB), Flow Cytometry (Flow Cyt), Immunohistochemistry (IHC-P), Immunocytochemistry/immunofluorescence (ICC/IF) in Human, Mouse, Rat samples.

What is the molecular weight of MERTK?
Anti-MERTK [EPR26359-12] (ab300136) specifically detects a band for MERTK (UniProt: Q60805) at a molecular weight of 110kDa.

Trial sizes available!
Test your antibody or perform pre-screening before committing to a larger quantity. Sold in 10µl. Discover our selection of trial-size antibodies.

Other related products
We have a range of other formats of antibody clone [EPR26359-12] also available for your convenience: ab300136, Carrier free - ab300137

Patented technology
Our RabMAb® technology is a patented hybridoma-based technology for making rabbit monoclonal antibodies. For details on our patents, please refer to RabMAb® patents.

What are the advantages of a recombinant monoclonal antibody?
This product is a recombinant monoclonal antibody, which offers several advantages including:

  • - High batch-to-batch consistency and reproducibility
  • - Improved sensitivity and specificity
  • - Long-term security of supply
  • - Animal-free batch production

For more information, read more on recombinant antibodies.

Properties and storage information

Form
Liquid
Purification technique
Affinity purification Protein A
Storage buffer
pH: 7.2 - 7.4 Preservative: 0.01% Sodium azide Constituents: PBS, 40% Glycerol (glycerin, glycerine), 0.05% BSA
Shipped at conditions
Blue Ice
Appropriate short-term storage duration
1-2 weeks
Appropriate short-term storage conditions
+4°C
Appropriate long-term storage conditions
-20°C
Aliquoting information
Upon delivery aliquot
Storage information
Avoid freeze / thaw cycle

Supplementary information

This supplementary information is collated from multiple sources and compiled automatically.

The MERTK protein also known as c-Mer tyrosine kinase plays a mechanical role as a receptor tyrosine kinase with a mass of approximately 110 kDa. It is expressed in multiple tissues including the retina immune cells and some epithelial cells. MERTK functions by binding with its ligands facilitating downstream signaling that affects cellular functions. The receptor is part of the TAM family alongside proteins like AXL and TYRO3.
Biological function summary

The receptor MERTK orchestrates processes critical for maintaining cellular homeostasis such as efferocytosis and immune response regulation. It does not operate alone but often interacts with other cellular components to form functional complexes. This protein contributes significantly to phagocytosis a cellular process for clearing apoptotic cells ensuring a controlled immune environment.

Pathways

Several signal transduction pathways involve c-Mer tyrosine kinase in maintaining cellular communication. Notably it participates in the RAS/MAPK and PI3K/AKT pathways which are essential for cell survival and proliferation. These pathways involve interactions with proteins such as GAB1 and SOS highlighting the receptor's integration in cell signaling networks.

Aberrant activity of MERTK has associations with cancer and autoimmune disorders. In cancers such as leukemia overexpression of the MERTK protein promotes cell survival and proliferation. Its interaction with other proteins like GRB2 can further exacerbate oncogenic pathways. In autoimmune diseases dysregulated MERTK expression can lead to improper clearance of apoptotic cells contributing to systemic inflammation.

Product protocols

For this product, it's our understanding that no specific protocols are required. You can visit:

Target data

Receptor tyrosine kinase that transduces signals from the extracellular matrix into the cytoplasm by binding to several ligands including LGALS3, TUB, TULP1 or GAS6. Regulates many physiological processes including cell survival, migration, differentiation, and phagocytosis of apoptotic cells (efferocytosis). Ligand binding at the cell surface induces autophosphorylation of MERTK on its intracellular domain that provides docking sites for downstream signaling molecules. Following activation by ligand, interacts with GRB2 or PLCG2 and induces phosphorylation of MAPK1, MAPK2, FAK/PTK2 or RAC1. MERTK signaling plays a role in various processes such as macrophage clearance of apoptotic cells, platelet aggregation, cytoskeleton reorganization and engulfment (PubMed : 32640697). Functions in the retinal pigment epithelium (RPE) as a regulator of rod outer segments fragments phagocytosis. Also plays an important role in inhibition of Toll-like receptors (TLRs)-mediated innate immune response by activating STAT1, which selectively induces production of suppressors of cytokine signaling SOCS1 and SOCS3.
See full target information MERTK

Publications (9)

Recent publications for all applications. Explore the full list and refine your search

Journal of neuroinflammation 22:88 PubMed40108663

2025

SIRPα modulates microglial efferocytosis and neuroinflammation following experimental subarachnoid hemorrhage via the SHP1/STAT6 axis.

Applications

Unspecified application

Species

Unspecified reactive species

Bingtao Zhang,Yan Zou,Qikai Tang,Zixuan Yuan,Kun Jiang,Zhaoxiang Zhang,Shujuan Chen,Qi Wu,Xiaoming Zhou,Xin Zhang

The Journal of clinical investigation 135: PubMed39774471

2025

Tumor-initiating cells escape tumor immunity via CCL8 from tumor-associated macrophages in mice.

Applications

Unspecified application

Species

Unspecified reactive species

Shuang Chen,Chensong Huang,Kang Li,Maosheng Cheng,Caihua Zhang,Jianqi Xiong,Guoli Tian,Ruoxing Zhou,Rongsong Ling,Xiaochen Wang,Gan Xiong,Zhihui Zhang,Jieyi Ma,Yan Zhu,Bin Zhou,Liang Peng,Zhenwei Peng,Heping Li,Demeng Chen

Nature cardiovascular research 3:28-45 PubMed39195894

2024

ATF3 coordinates the survival and proliferation of cardiac macrophages and protects against ischemia-reperfusion injury.

Applications

Unspecified application

Species

Unspecified reactive species

Yihui Shao,Yang Li,Yan Liu,Shuolin Zhu,Jianing Wu,Ke Ma,Guoqi Li,Shan Huang,Haichu Wen,Congcong Zhang,Xin-Liang Ma,Ping Li,Jie Du,Yulin Li

iScience 27:110226 PubMed39021800

2024

Osteopontin regulation of MerTK macrophages promotes Crohn's disease intestinal fibrosis.

Applications

Unspecified application

Species

Unspecified reactive species

Juanhan Liu,Wenbin Gong,Peizhao Liu,Yangguang Li,Haiyang Jiang,Cunxia Wu,Xiuwen Wu,Yun Zhao,Jianan Ren

Journal of nanobiotechnology 22:178 PubMed38614985

2024

Targeted delivery of MerTK protein via cell membrane engineered nanoparticle enhances efferocytosis and attenuates atherosclerosis in diabetic ApoE Mice.

Applications

Unspecified application

Species

Unspecified reactive species

Shuo Qiu,Jiahan Liu,Jianmei Chen,Yangni Li,Te Bu,Zhelong Li,Liang Zhang,Wenqi Sun,Tian Zhou,Wei Hu,Guodong Yang,Lijun Yuan,Yunyou Duan,Changyang Xing

Pharmacology 109:156-168 PubMed38565085

2024

IDN5706 Inhibits Synovial Inflammation via Inducing M2 Polarization of Synovial Macrophages in Osteoarthritis Rats.

Applications

Unspecified application

Species

Unspecified reactive species

Jinling Zhang,Fangyue Cheng,Genxiang Rong,Zhi Tang,Binjie Gui

Redox biology 64:102763 PubMed37354827

2023

NOX2 inhibition stabilizes vulnerable plaques by enhancing macrophage efferocytosis via MertK/PI3K/AKT pathway.

Applications

Unspecified application

Species

Unspecified reactive species

Yue Wang,Xin-Yan Liu,Yue Wang,Wen-Xin Zhao,Fa-Dong Li,Peng-Rong Guo,Qian Fan,Xiao-Fan Wu

Theranostics 13:2914-2929 PubMed37284459

2023

PCSK9 attenuates efferocytosis in endothelial cells and promotes vascular aging.

Applications

Unspecified application

Species

Unspecified reactive species

Shijie Liu,Jinzi Wu,Amanda Stolarz,Huiliang Zhang,Marjan Boerma,Stephanie D Byrum,Nancy J Rusch,Zufeng Ding

Virus research 326:199065 PubMed36754292

2023

Chicken-derived MERTK protein inhibits Newcastle disease virus replication by increasing STAT1 phosphorylation in DF-1 cells.

Applications

Unspecified application

Species

Unspecified reactive species

Lei Tan,Meizhen Huang,Xusheng Qiu,Xuechun Zhi,Lujing Liang,Yingjie Sun,Ying Liao,Cuiping Song,Tao Ren,Chan Ding
View all publications

Product promise

We are committed to supporting your work with high-quality reagents, and we're here for you every step of the way. In the unlikely event that one of our products does not perform as expected, you're protected by our Product Promise.
For full details, please see our Terms & Conditions

Please note: All products are 'FOR RESEARCH USE ONLY. NOT FOR USE IN DIAGNOSTIC OR THERAPEUTIC PROCEDURES'.

For licensing inquiries, please contact partnerships@abcam.com