JavaScript is disabled in your browser. Please enable JavaScript to view this website.
AB271851

Anti-MERTK antibody [Y323] - BSA and Azide free

  • BOND RX™ Validated
  • RabMAb
  • Recombinant
  • KO Validated
  • What is this?

5

(1 Review)

|

(0 Publication)

Rabbit Recombinant Monoclonal MERTK antibody. Carrier free. Suitable for IP, WB, IHC-P, IHC-Fr and reacts with Human samples.

View Alternative Names

MER, MERTK, Tyrosine-protein kinase Mer, Proto-oncogene c-Mer, Receptor tyrosine kinase MerTK

9 Images
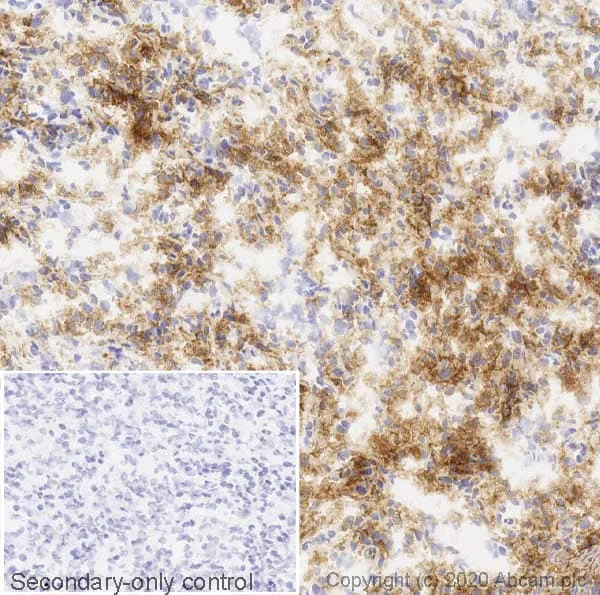
Immunohistochemistry (Frozen sections) - Anti-MERTK antibody [Y323] - BSA and Azide free (AB271851)
  • IHC-Fr

Lab

Immunohistochemistry (Frozen sections) - Anti-MERTK antibody [Y323] - BSA and Azide free (AB271851)

This data was developed using the same antibody clone in a different buffer formulation (ab52968).

IHC image of MERTK staining in a section of frozen normal human spleen performed on a Leica BONDTM system using the standard protocol. The section was fixed in 10% paraformaldehyde (10 min) prior to staining. The section was incubated with ab52968, 1/1000 dilution, for 15 mins at room temperature and detected using an HRP conjugated compact polymer system. DAB was used as the chromogen. The section was then counterstained with haematoxylin and mounted with DPX. The inset secondary-only control image is taken from an identical assay without primary antibody.

For other IHC staining systems (automated and non-automated) customers should optimize variable parameters such as antigen retrieval conditions, primary antibody concentration and antibody incubation times.

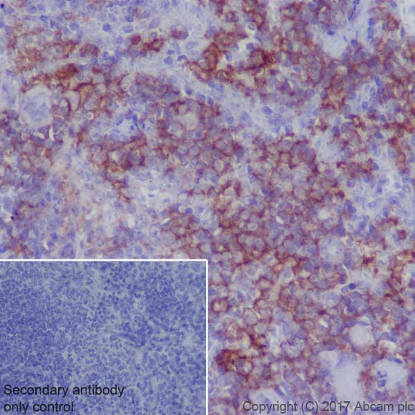
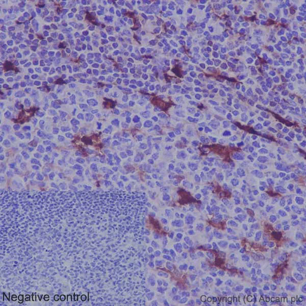
Immunohistochemistry (Formalin/PFA-fixed paraffin-embedded sections) - Anti-MERTK antibody [Y323] - BSA and Azide free (AB271851)
  • IHC-P

Unknown

Immunohistochemistry (Formalin/PFA-fixed paraffin-embedded sections) - Anti-MERTK antibody [Y323] - BSA and Azide free (AB271851)

Immunohistochemistry (Formalin/PFA-fixed paraffin-embedded sections) analysis of human lymphoma tissue labeling MERTK with unpurified ab52968 at a 1/50 dilution.

Perform heat mediated antigen retrieval with Tris/EDTA buffer pH 9.0 before commencing with IHC staining protocol.

This data was developed using the same antibody clone in a different buffer formulation containing PBS, BSA, glycerol, and sodium azide (ab52968).

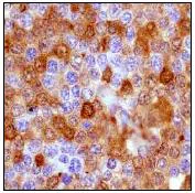
Immunohistochemistry (Formalin/PFA-fixed paraffin-embedded sections) - Anti-MERTK antibody [Y323] - BSA and Azide free (AB271851)
  • IHC-P

Unknown

Immunohistochemistry (Formalin/PFA-fixed paraffin-embedded sections) - Anti-MERTK antibody [Y323] - BSA and Azide free (AB271851)

Immunohistochemistry (Formalin/PFA-fixed paraffin-embedded sections) analysis of human tonsil tissue labeling MERTK with purified ab52968 at 1/500.

Heat mediated antigen retrieval was performed using Tris/EDTA buffer pH 9. ab97051, a HRP-conjugated goat anti-rabbit IgG (H+L) was used as the secondary antibody (1/500). Counterstained with hematoxylin.

Negative control using PBS instead of primary antibody (Inset).

This data was developed using the same antibody clone in a different buffer formulation containing PBS, BSA, glycerol, and sodium azide (ab52968).

Immunoprecipitation - Anti-MERTK antibody [Y323] - BSA and Azide free (AB271851)
  • IP

Unknown

Immunoprecipitation - Anti-MERTK antibody [Y323] - BSA and Azide free (AB271851)

Lane 1 : ab52968 (purified) at 1/20 immunoprecipitating MERTK in HEK-293 (Human epithelial cell line from embryonic kidney) cell lysate.

Lane 2 - PBS.

For western blotting, a HRP-conjugated anti-rabbit IgG, specific to the non-reduced form of IgG was used as the secondary antibody (1/1500).
Blocking/Dilution buffer and concentration : 5% NFDM/TBST.

This data was developed using the same antibody clone in a different buffer formulation containing PBS, BSA, glycerol, and sodium azide (ab52968).

All lanes:

Immunoprecipitation - Anti-MERTK antibody [Y323] (<a href='/en-us/products/primary-antibodies/mertk-antibody-y323-ab52968'>ab52968</a>)

Predicted band size: 110 kDa

Observed band size: 140-180 kDa

false

Western blot - Anti-MERTK antibody [Y323] - BSA and Azide free (AB271851)
  • WB

Supplier Data

Western blot - Anti-MERTK antibody [Y323] - BSA and Azide free (AB271851)

This data was developed using the same antibody clone in a different buffer formulation containing PBS, BSA, glycerol, and sodium azide (ab52968).

Blocking/Dilution buffer and concentration : 5% NFDM/TBST.

All lanes:

Western blot - Anti-MERTK antibody [Y323] - BSA and Azide free (ab271851) at 1/2000 dilution

Lane 1:

HEK-293 (Human epithelial cell line from embryonic kidney) cell lysate at 20 µg

Lane 2:

K562 (Human chronic myelogenous leukemia cell line from bone marrow) cell lysate at 20 µg

Secondary

All lanes:

Peroxidase-conjugated goat anti-rabbit IgG at 1/1000 dilution

Predicted band size: 110 kDa

Observed band size: 140-180 kDa

false

Western blot - Anti-MERTK antibody [Y323] - BSA and Azide free (AB271851)
  • WB

Lab

Western blot - Anti-MERTK antibody [Y323] - BSA and Azide free (AB271851)

This data was developed using the same antibody clone in a different buffer formulation (ab52968 ).

Western blot : Anti-MERTK antibody [Y323] (ab52968) staining at 1/1000 dilution, shown in green; Mouse anti-GAPDH antibody [6C5] (ab8245) loading control staining at 1/20000 dilution, shown in magenta. In Western blot, ab52968 was shown to bind specifically to MERTK. A band was observed at 160 kDa in wild-type A549 cell lysates with no signal observed at this size in MERTK knockout cell line. To generate this image, wild-type and MERTK knockout A549 cell lysates were analysed. First, samples were run on an SDS-PAGE gel then transferred onto a nitrocellulose membrane. Membranes were blocked in 3 % milk in TBS-0.1 % Tween® 20 (TBS-T) before incubation with primary antibodies overnight at 4 °C. Blots were washed four times in TBS-T, incubated with secondary antibodies for 1 h at room temperature, washed again four times then imaged. Secondary antibodies used were Goat anti-Rabbit IgG H&L 800CW and Goat anti-Mouse IgG H&L 680RD at 1/20000 dilution.

All lanes:

Western blot - Anti-MERTK antibody [Y323] (<a href='/en-us/products/primary-antibodies/mertk-antibody-y323-ab52968'>ab52968</a>) at 1/1000 dilution

Lane 1:

Wild-type A549 cell lysate at 20 µg

Lane 2:

MERTK knockout A549 cell lysate at 20 µg

Lane 2:

Western blot - Human MERTK knockout A549 cell line (<a href='/en-us/products/cell-lines/human-mertk-knockout-a549-cell-line-ab301074'>ab301074</a>)

Lane 3:

HAP1 cell lysate at 20 µg

Lane 4:

HeLa cell lysate at 20 µg

Secondary

All lanes:

Goat anti-Rabbit IgG H&L 800CW and Goat anti-Mouse IgG H&L 680RD at 1/20000 dilution

Observed band size: 160 kDa

false

Western blot - Anti-MERTK antibody [Y323] - BSA and Azide free (AB271851)
  • WB

Supplier Data

Western blot - Anti-MERTK antibody [Y323] - BSA and Azide free (AB271851)

This data was developed using the same antibody clone in a different buffer formulation containing PBS, BSA, glycerol, and sodium azide (ab52968).

All lanes:

Western blot - Anti-MERTK antibody [Y323] - BSA and Azide free (ab271851) at 1/1000 dilution

All lanes:

HEK-293 (Human epithelial cell line from embryonic kidney) cell lysate at 10 µg

Secondary

All lanes:

HRP-conjugated goat anti-rabbit IgG at 1/2000 dilution

Predicted band size: 110 kDa

Observed band size: 180 kDa

false

Western blot - Anti-MERTK antibody [Y323] - BSA and Azide free (AB271851)
  • WB

Supplier Data

Western blot - Anti-MERTK antibody [Y323] - BSA and Azide free (AB271851)

This data was developed using the same antibody clone in a different buffer formulation containing PBS, BSA, glycerol, and sodium azide (ab52968).

Lanes 1 - 2 : Merged signal (red and green). Green - ab52968 observed at 110 kDa. Red - loading control, ab8245, observed at 37 kDa.

ab52968 was shown to specifically react with MERTK in wild-type HAP1 cells as signal was lost in MERTK knockout cells. Wild-type and MERTK knockout samples were subjected to SDS-PAGE. The membrane was blocked with 0. ab52968 and ab8245 (Mouse anti GAPDH loading control) were incubated overnight at 4°C at 1/500 dilution and 1/20000 dilution respectively. Blots were developed with Goat anti-Rabbit IgG H&L (IRDye® 800CW) preabsorbed ab216773 and Goat anti-Mouse IgG H&L (IRDye® 680RD) preabsorbed ab216776 secondary antibodies at 1/20000 dilution for 1 hour at room temperature before imaging.

All lanes:

Western blot - Anti-MERTK antibody [Y323] - BSA and Azide free (ab271851) at 1/500 dilution

Lane 1:

Wild-type HAP1 whole cell lysate at 20 µg

Lane 2:

MERTK knockout HAP1 whole cell lysate at 20 µg

Predicted band size: 110 kDa

false

Western blot - Anti-MERTK antibody [Y323] - BSA and Azide free (AB271851)
  • WB

Supplier Data

Western blot - Anti-MERTK antibody [Y323] - BSA and Azide free (AB271851)

This data was developed using the same antibody clone in a different buffer formulation containing PBS, BSA, glycerol, and sodium azide (ab52968).

ab52968 used at a 1/200 dilution, 18 hours at 4°C, 5% BSA in Tween PBS.

Positive cell line : A172

Negative cell lines : CV1 and HeLa.

Secondary used is a goat anti-rabbit polyclonal-HRP at 1/10000 dilution.

Blocked with 5% milk for 1 hour at RT.

All lanes:

Western blot - Anti-MERTK antibody [Y323] - BSA and Azide free (ab271851)

Predicted band size: 110 kDa

false

Key facts

Host species

Rabbit

Clonality

Monoclonal

Clone number

Y323

Isotype

IgG

Carrier free

Yes

Reacts with

Human

Applications

IHC-Fr, IP, WB, IHC-P

applications

Immunogen

The exact immunogen used to generate this antibody is proprietary information.

Reactivity data

{ "title": "Reactivity Data", "filters": { "stats": ["", "Species", "Dilution Info", "Notes"], "tabs": { "all-applications": {"fullname" : "All Applications", "shortname": "All Applications"}, "IP" : {"fullname" : "Immunoprecipitation", "shortname":"IP"}, "FlowCyt" : {"fullname" : "Flow Cytometry", "shortname":"Flow Cyt"}, "WB" : {"fullname" : "Western blot", "shortname":"WB"}, "IHCP" : {"fullname" : "Immunohistochemistry (Formalin/PFA-fixed paraffin-embedded sections)", "shortname":"IHC-P"}, "ICCIF" : {"fullname" : "Immunocytochemistry/ Immunofluorescence", "shortname":"ICC/IF"}, "IHCFr" : {"fullname" : "Immunohistochemistry (Frozen sections)", "shortname":"IHC-Fr"} }, "product-promise": { "all": "all", "testedAndGuaranteed": "tested", "guaranteed": "expected", "predicted": "predicted", "notRecommended": "not-recommended" } }, "values": { "Human": { "IP-species-checked": "testedAndGuaranteed", "IP-species-dilution-info": "", "IP-species-notes": "<p></p>", "FlowCyt-species-checked": "notRecommended", "FlowCyt-species-dilution-info": "", "FlowCyt-species-notes": "<p>(paraformaldehyde or methanol fixed cells)</p><p><a href='/en-us/products/primary-antibodies/rabbit-igg-monoclonal-epr25a-isotype-control-ab172730'>ab172730</a> - Rabbit monoclonal IgG, is suitable for use as an isotype control with this antibody.</p>", "WB-species-checked": "testedAndGuaranteed", "WB-species-dilution-info": "", "WB-species-notes": "<p></p>", "IHCP-species-checked": "testedAndGuaranteed", "IHCP-species-dilution-info": "", "IHCP-species-notes": "<p></p>", "ICCIF-species-checked": "notRecommended", "ICCIF-species-dilution-info": "", "ICCIF-species-notes": "<p></p>", "IHCFr-species-checked": "testedAndGuaranteed", "IHCFr-species-dilution-info": "1/1000", "IHCFr-species-notes": "<p></p>" } } }

Product details

ab271851 is the carrier-free version of ab52968.

Species reactivity
Mouse, Rat: We have preliminary internal testing data to indicate this antibody may not react with these species.
Please contact us for more information.

Patented technology
Our RabMAb® technology is a patented hybridoma-based technology for making rabbit monoclonal antibodies. For details on our patents, please refer to RabMAb® patents.

What are the advantages of a recombinant monoclonal antibody?
This product is a recombinant monoclonal antibody, which offers several advantages including:

  • - High batch-to-batch consistency and reproducibility
  • - Improved sensitivity and specificity
  • - Long-term security of supply
  • - Animal-free batch production

For more information, read more on recombinant antibodies.

Conjugation ready
Our carrier-free antibodies are typically supplied in a PBS-only formulation, purified and free of BSA, sodium azide and glycerol. This conjugation-ready format is designed for use with fluorochromes, metal isotopes, oligonucleotides, and enzymes, which makes them ideal for antibody labelling, functional and cell-based assays, flow-based assays (e.g. mass cytometry) and Multiplex Imaging applications.

Use our conjugation kits for antibody conjugates that are ready-to-use in as little as 20 minutes with 1 minute hands-on-time and 100% antibody recovery: available for fluorescent dyes, HRP, biotin and gold.

Compatibility
This product is compatible with the Maxpar® Antibody Labeling Kit from Fluidigm, without the need for antibody preparation. Maxpar® is a trademark of Fluidigm Canada Inc.

Properties and storage information

Form
Liquid
Purification technique
Affinity purification Protein A
Storage buffer
pH: 7.2 - 7.4 Constituents: PBS
Shipped at conditions
Blue Ice
Appropriate short-term storage conditions
+4°C
Appropriate long-term storage conditions
+4°C
Storage information
Do Not Freeze

Supplementary information

This supplementary information is collated from multiple sources and compiled automatically.

The MERTK protein also known as c-Mer tyrosine kinase plays a mechanical role as a receptor tyrosine kinase with a mass of approximately 110 kDa. It is expressed in multiple tissues including the retina immune cells and some epithelial cells. MERTK functions by binding with its ligands facilitating downstream signaling that affects cellular functions. The receptor is part of the TAM family alongside proteins like AXL and TYRO3.
Biological function summary

The receptor MERTK orchestrates processes critical for maintaining cellular homeostasis such as efferocytosis and immune response regulation. It does not operate alone but often interacts with other cellular components to form functional complexes. This protein contributes significantly to phagocytosis a cellular process for clearing apoptotic cells ensuring a controlled immune environment.

Pathways

Several signal transduction pathways involve c-Mer tyrosine kinase in maintaining cellular communication. Notably it participates in the RAS/MAPK and PI3K/AKT pathways which are essential for cell survival and proliferation. These pathways involve interactions with proteins such as GAB1 and SOS highlighting the receptor's integration in cell signaling networks.

Aberrant activity of MERTK has associations with cancer and autoimmune disorders. In cancers such as leukemia overexpression of the MERTK protein promotes cell survival and proliferation. Its interaction with other proteins like GRB2 can further exacerbate oncogenic pathways. In autoimmune diseases dysregulated MERTK expression can lead to improper clearance of apoptotic cells contributing to systemic inflammation.

Product protocols

For this product, it's our understanding that no specific protocols are required. You can visit:

Target data

Receptor tyrosine kinase that transduces signals from the extracellular matrix into the cytoplasm by binding to several ligands including LGALS3, TUB, TULP1 or GAS6. Regulates many physiological processes including cell survival, migration, differentiation, and phagocytosis of apoptotic cells (efferocytosis). Ligand binding at the cell surface induces autophosphorylation of MERTK on its intracellular domain that provides docking sites for downstream signaling molecules. Following activation by ligand, interacts with GRB2 or PLCG2 and induces phosphorylation of MAPK1, MAPK2, FAK/PTK2 or RAC1. MERTK signaling plays a role in various processes such as macrophage clearance of apoptotic cells, platelet aggregation, cytoskeleton reorganization and engulfment (PubMed : 32640697). Functions in the retinal pigment epithelium (RPE) as a regulator of rod outer segments fragments phagocytosis. Also plays an important role in inhibition of Toll-like receptors (TLRs)-mediated innate immune response by activating STAT1, which selectively induces production of suppressors of cytokine signaling SOCS1 and SOCS3.
See full target information MERTK

Product promise

We are committed to supporting your work with high-quality reagents, and we're here for you every step of the way. In the unlikely event that one of our products does not perform as expected, you're protected by our Product Promise.
For full details, please see our Terms & Conditions

Please note: All products are 'FOR RESEARCH USE ONLY. NOT FOR USE IN DIAGNOSTIC OR THERAPEUTIC PROCEDURES'.

For licensing inquiries, please contact partnerships@abcam.com