JavaScript is disabled in your browser. Please enable JavaScript to view this website.
AB243724

Anti-MESH1 antibody

Be the first to review this product! Submit a review

|

(1 Publication)

Rabbit Polyclonal MESH1 antibody. Suitable for IHC-P, WB, ICC/IF and reacts with Human samples. Cited in 1 publication. Immunogen corresponding to Recombinant Fragment Protein within Human HDDC3 aa 50 to C-terminus.

View Alternative Names

MESH1, HDDC3, HD domain-containing protein 3, Metazoan SpoT homolog 1, Penta-phosphate guanosine-3'-pyrophosphohydrolase, (ppGpp)ase

6 Images
Immunocytochemistry/ Immunofluorescence - Anti-MESH1 antibody (AB243724)
  • ICC/IF

Supplier Data

Immunocytochemistry/ Immunofluorescence - Anti-MESH1 antibody (AB243724)

Paraformaldehyde-fixed, Triton X-100 permeablized U-251 MG (human brain glioma cell line) cells stained for MESH1 (Green) using ab243724 at 4 μg/mL in ICC/IF analysis.

Immunohistochemistry (Formalin/PFA-fixed paraffin-embedded sections) - Anti-MESH1 antibody (AB243724)
  • IHC-P

Supplier Data

Immunohistochemistry (Formalin/PFA-fixed paraffin-embedded sections) - Anti-MESH1 antibody (AB243724)

Immunohistochemistry (Formalin/PFA-fixed paraffin-embedded sections) analysis of human fallopian tube tissue labelling MESH1 with ab243724 at 1/50 dilution. Heat mediated antigen retrieval performed with citrate buffer pH 6 before commencing with IHC staining protocol.

Immunohistochemistry (Formalin/PFA-fixed paraffin-embedded sections) - Anti-MESH1 antibody (AB243724)
  • IHC-P

Supplier Data

Immunohistochemistry (Formalin/PFA-fixed paraffin-embedded sections) - Anti-MESH1 antibody (AB243724)

Immunohistochemistry (Formalin/PFA-fixed paraffin-embedded sections) analysis of human pancreas tissue labelling MESH1 with ab243724 at 1/50 dilution. Heat mediated antigen retrieval performed with citrate buffer pH 6 before commencing with IHC staining protocol.

Immunohistochemistry (Formalin/PFA-fixed paraffin-embedded sections) - Anti-MESH1 antibody (AB243724)
  • IHC-P

Supplier Data

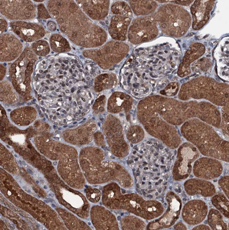
Immunohistochemistry (Formalin/PFA-fixed paraffin-embedded sections) - Anti-MESH1 antibody (AB243724)

Immunohistochemistry (Formalin/PFA-fixed paraffin-embedded sections) analysis of human kidney tissue labelling MESH1 with ab243724 at 1/50 dilution. Heat mediated antigen retrieval performed with citrate buffer pH 6 before commencing with IHC staining protocol.

Immunohistochemistry (Formalin/PFA-fixed paraffin-embedded sections) - Anti-MESH1 antibody (AB243724)
  • IHC-P

Supplier Data

Immunohistochemistry (Formalin/PFA-fixed paraffin-embedded sections) - Anti-MESH1 antibody (AB243724)

Immunohistochemistry (Formalin/PFA-fixed paraffin-embedded sections) analysis of human skeletal muscle tissue labelling MESH1 with ab243724 at 1/50 dilution. Heat mediated antigen retrieval performed with citrate buffer pH 6 before commencing with IHC staining protocol.

Western blot - Anti-MESH1 antibody (AB243724)
  • WB

Supplier Data

Western blot - Anti-MESH1 antibody (AB243724)

All lanes:

Western blot - Anti-MESH1 antibody (ab243724) at 0.4 µg/mL

All lanes:

RT4 (Human urinary bladder cancer cell line) whole cell lysate

Predicted band size: 20 kDa

false

Key facts

Host species

Rabbit

Clonality

Polyclonal

Isotype

IgG

Carrier free

No

Reacts with

Human

Applications

ICC/IF, IHC-P, WB

applications

Immunogen

Recombinant Fragment Protein within Human HDDC3 aa 50 to C-terminus. The exact immunogen used to generate this antibody is proprietary information.

Q8N4P3

Reactivity data

{ "title": "Reactivity Data", "filters": { "stats": ["", "Species", "Dilution Info", "Notes"], "tabs": { "all-applications": {"fullname" : "All Applications", "shortname": "All Applications"}, "IHCP" : {"fullname" : "Immunohistochemistry (Formalin/PFA-fixed paraffin-embedded sections)", "shortname":"IHC-P"}, "WB" : {"fullname" : "Western blot", "shortname":"WB"}, "ICCIF" : {"fullname" : "Immunocytochemistry/ Immunofluorescence", "shortname":"ICC/IF"} }, "product-promise": { "all": "all", "testedAndGuaranteed": "tested", "guaranteed": "expected", "predicted": "predicted", "notRecommended": "not-recommended" } }, "values": { "Human": { "IHCP-species-checked": "testedAndGuaranteed", "IHCP-species-dilution-info": "1/50 - 1/200", "IHCP-species-notes": "<p></p> Perform heat-mediated antigen retrieval with citrate buffer pH 6 before commencing with IHC staining protocol.", "WB-species-checked": "testedAndGuaranteed", "WB-species-dilution-info": "0.04-0.4 µg/mL", "WB-species-notes": "<p></p>", "ICCIF-species-checked": "testedAndGuaranteed", "ICCIF-species-dilution-info": "0.25-2 µg/mL", "ICCIF-species-notes": "<p>Fixation/Permeabilization: PFA/Triton X-100.</p>" } } }

Properties and storage information

Form
Liquid
Purification technique
Affinity purification Immunogen
Storage buffer
pH: 7.2 Preservative: 0.02% Sodium azide Constituents: PBS, 40% Glycerol (glycerin, glycerine)
Shipped at conditions
Blue Ice
Appropriate short-term storage duration
1-2 weeks
Appropriate short-term storage conditions
+4°C
Appropriate long-term storage conditions
-20°C
Aliquoting information
Upon delivery aliquot
Storage information
Avoid freeze / thaw cycle

Supplementary information

This supplementary information is collated from multiple sources and compiled automatically.

MESH1 also known as Metazoan SpoT Homolog 1 functions as a NADPH phosphatase that regulates cellular metabolism by modulating levels of NADPH. This protein weighs approximately 22 kDa and is highly conserved across species. MESH1 shows expression in many tissues including the brain and heart suggesting a broad role in cellular processes. The protein's enzymatic activity impacts the balance of pyridine nucleotides within the cell which is important for proper mitochondrial function and oxidative stress response.
Biological function summary

MESH1 plays a role in maintaining cellular homeostasis. It is not known to form part of a larger protein complex but influences cellular redox states by targeting NADPH a critical cofactor in numerous anabolic reactions. MESH1 adjusts NADPH levels to balance energy production and consumption within cells helping to maintain metabolic equilibrium. This balancing act is especially significant in tissues that rely heavily on oxidative phosphorylation.

Pathways

MESH1 participates in the regulation of the pentose phosphate pathway and redox signaling pathways. Through its impact on NADPH availability MESH1 influences pathways related to cellular anti-oxidative defenses and biosynthetic reactions linking it to glucose metabolism regulation. The protein shares interactions with enzymes like glucose-6-phosphate dehydrogenase within these pathways highlighting its role in maintaining the balance of energy production and lipid synthesis.

MESH1 links to cancer and neurodegenerative disorders. Dysregulation of MESH1 can alter cellular redox states contributing to the uncontrolled cell proliferation seen in cancer. In cancer pathways altered MESH1 activity can affect proteins like p53 which play roles in cell cycle regulation. Similarly in neurodegenerative diseases disturbances in NADPH homeostasis can lead to neuronal damage through oxidative stress a process also involving pathways with enzymes like superoxide dismutase. These connections highlight MESH1's significance in maintaining cellular health.

Product protocols

For this product, it's our understanding that no specific protocols are required. You can visit:

Target data

ppGpp hydrolyzing enzyme involved in starvation response.
See full target information HDDC3

Publications (1)

Recent publications for all applications. Explore the full list and refine your search

Genes 11: PubMed32605180

2020

CircRNA-006258 Sponge-Adsorbs miR-574-5p to Regulate Cell Growth and Milk Synthesis via EVI5L in Goat Mammary Epithelial Cells.

Applications

Unspecified application

Species

Unspecified reactive species

Meng Zhang,Li Ma,Yuhan Liu,Yonglong He,Guang Li,Xiaopeng An,Binyun Cao
View all publications

Product promise

We are committed to supporting your work with high-quality reagents, and we're here for you every step of the way. In the unlikely event that one of our products does not perform as expected, you're protected by our Product Promise.
For full details, please see our Terms & Conditions

Please note: All products are 'FOR RESEARCH USE ONLY. NOT FOR USE IN DIAGNOSTIC OR THERAPEUTIC PROCEDURES'.

For licensing inquiries, please contact partnerships@abcam.com