JavaScript is disabled in your browser. Please enable JavaScript to view this website.
AB134109

Anti-Mesothelin antibody [EPR2685(2)]

Be the first to review this product! Submit a review

|

(2 Publications)

Rabbit Recombinant Monoclonal Mesothelin antibody. Suitable for IHC-P, IP, WB and reacts with Human samples. Cited in 2 publications.

View Alternative Names

MPF, MSLN, Mesothelin, CAK1 antigen, Pre-pro-megakaryocyte-potentiating factor

12 Images
Immunohistochemistry (Formalin/PFA-fixed paraffin-embedded sections) - Anti-Mesothelin antibody [EPR2685(2)] (AB134109)
  • IHC-P

Unknown

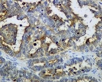
Immunohistochemistry (Formalin/PFA-fixed paraffin-embedded sections) - Anti-Mesothelin antibody [EPR2685(2)] (AB134109)

Immunohistochemical analysis of paraffin embedded Human ovarian carcinoma tissue labelling Mesothelin with unpurified ab134109 at 1/1000.

Perform heat mediated antigen retrieval before commencing with IHC staining protocol.

Immunohistochemistry (Formalin/PFA-fixed paraffin-embedded sections) - Anti-Mesothelin antibody [EPR2685(2)] (AB134109)
  • IHC-P

Unknown

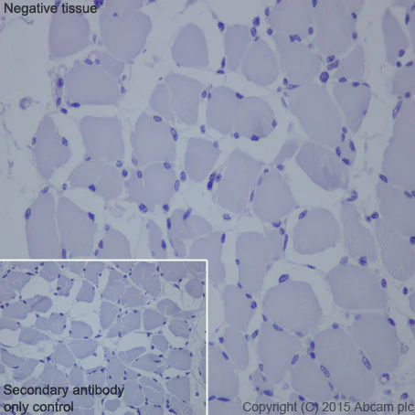
Immunohistochemistry (Formalin/PFA-fixed paraffin-embedded sections) - Anti-Mesothelin antibody [EPR2685(2)] (AB134109)

Immunohistochemical staining of paraffin embedded human skeletal muscle with purified ab134109 at a working dilution of 1/800. The secondary antibody used is ab97051, a goat anti-rabbit IgG (H&L) at a dilution of 1/500. The sample is counter-stained with hematoxylin. Antigen retrieval was perfomed using Tris-EDTA buffer, pH 9.0. PBS was used instead of the primary antibody as the negative control, and is shown in the inset.

Immunohistochemistry (Formalin/PFA-fixed paraffin-embedded sections) - Anti-Mesothelin antibody [EPR2685(2)] (AB134109)
  • IHC-P

Unknown

Immunohistochemistry (Formalin/PFA-fixed paraffin-embedded sections) - Anti-Mesothelin antibody [EPR2685(2)] (AB134109)

Immunohistochemical analysis of paraffin embedded Human Greator omentum tissue using unpurified ab134109 showing +ve staining.

Perform heat mediated antigen retrieval before commencing with IHC staining protocol.

Immunohistochemistry (Formalin/PFA-fixed paraffin-embedded sections) - Anti-Mesothelin antibody [EPR2685(2)] (AB134109)
  • IHC-P

Unknown

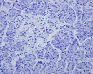
Immunohistochemistry (Formalin/PFA-fixed paraffin-embedded sections) - Anti-Mesothelin antibody [EPR2685(2)] (AB134109)

Immunohistochemical analysis of paraffin embedded normal Human pancreas tissue using unpurified ab134109 showing -ve staining.

Perform heat mediated antigen retrieval before commencing with IHC staining protocol.

Immunohistochemistry (Formalin/PFA-fixed paraffin-embedded sections) - Anti-Mesothelin antibody [EPR2685(2)] (AB134109)
  • IHC-P

Unknown

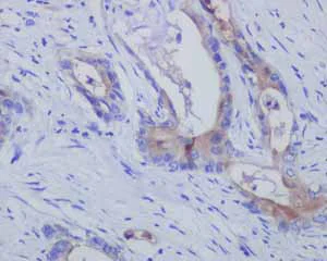
Immunohistochemistry (Formalin/PFA-fixed paraffin-embedded sections) - Anti-Mesothelin antibody [EPR2685(2)] (AB134109)

Immunohistochemical analysis of paraffin embedded Human mesothelioma tissue labelling Mesothelin with unpurified ab134109 at 1/1000.

Perform heat mediated antigen retrieval before commencing with IHC staining protocol.

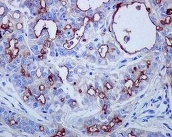
Immunohistochemistry (Formalin/PFA-fixed paraffin-embedded sections) - Anti-Mesothelin antibody [EPR2685(2)] (AB134109)
  • IHC-P

Unknown

Immunohistochemistry (Formalin/PFA-fixed paraffin-embedded sections) - Anti-Mesothelin antibody [EPR2685(2)] (AB134109)

Immunohistochemical analysis of paraffin embedded Human Pancreatic carcinoma tissue using unpurified ab134109 showing +ve staining.

Perform heat mediated antigen retrieval before commencing with IHC staining protocol.

Immunohistochemistry (Formalin/PFA-fixed paraffin-embedded sections) - Anti-Mesothelin antibody [EPR2685(2)] (AB134109)
  • IHC-P

Unknown

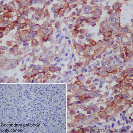
Immunohistochemistry (Formalin/PFA-fixed paraffin-embedded sections) - Anti-Mesothelin antibody [EPR2685(2)] (AB134109)

Immunohistochemical staining of paraffin embedded human mesothelioma with purified ab134109 at a working dilution of 1/800. The secondary antibody used is ab97051, a goat anti-rabbit IgG (H&L) at a dilution of 1/500. The sample is counter-stained with hematoxylin. Antigen retrieval was perfomed using Tris-EDTA buffer, pH 9.0. PBS was used instead of the primary antibody as the negative control, and is shown in the inset.

Immunoprecipitation - Anti-Mesothelin antibody [EPR2685(2)] (AB134109)
  • IP

Unknown

Immunoprecipitation - Anti-Mesothelin antibody [EPR2685(2)] (AB134109)

ab134109 (purified) at 1/40 immunoprecipitating mesothelin in 10 μg HeLa cell lysate (Lanes 1 and 2, observed at 40 and 69 kDa). Lane 3 - Rabbit monoclonal IgG (ab172730). For western blotting, VeriBlot for IP Detection Reagent (HRP) (ab131366), was used for detection at 1/10,000 dilution. Blocking buffer and concentration : 5% NFDM/TBST Dilution buffer and concentration : 5% NFDM/TBST

All lanes:

Immunoprecipitation - Anti-Mesothelin antibody [EPR2685(2)] (ab134109)

Predicted band size: 69 kDa

false

Western blot - Anti-Mesothelin antibody [EPR2685(2)] (AB134109)
  • WB

Lab

Western blot - Anti-Mesothelin antibody [EPR2685(2)] (AB134109)

Blocking buffer : 5% NFDM/TBST
Dilution buffer : 5% NFDM/TBST

All lanes:

Western blot - Anti-Mesothelin antibody [EPR2685(2)] (ab134109) at 1/1000 dilution

All lanes:

HeLa whole cell lysate at 10 µg

Secondary

All lanes:

Western blot - Goat Anti-Rabbit IgG H&L (HRP) (<a href='/en-us/products/secondary-antibodies/goat-rabbit-igg-h-l-hrp-ab97051'>ab97051</a>) at 1/20000 dilution

Predicted band size: 42 kDa,46 kDa,69 kDa,79 kDa

Observed band size: 40 kDa,42 kDa,69 kDa,79 kDa

false

Western blot - Anti-Mesothelin antibody [EPR2685(2)] (AB134109)
  • WB

Lab

Western blot - Anti-Mesothelin antibody [EPR2685(2)] (AB134109)

False colour image of Western blot : Anti-Mesothelin antibody [EPR2685(2)] staining at 1/1000 dilution, shown in green; Mouse anti-GAPDH antibody [6C5] (ab8245) loading control staining at 1/20000 dilution, shown in red. In Western blot, ab134109 was shown to bind specifically to Mesothelin. First, samples were run on an SDS-PAGE gel then transferred onto a nitrocellulose membrane. Membranes were blocked in 3 % milk in TBS-0.1 % Tween® 20 (TBS-T) before incubation with primary antibodies overnight at 4°C. Blots were washed four times in TBS-T, incubated with secondary antibodies for 1 h at room temperature, washed again four times then imaged. Secondary antibodies used were Goat anti-Rabbit IgG H&L (IRDye® 800CW) preabsorbed (ab216773) and Goat anti-Mouse IgG H&L (IRDye® 680RD) preabsorbed (ab216776) at 1/20000 dilution.

All lanes:

Western blot - Anti-Mesothelin antibody [EPR2685(2)] (ab134109) at 1/1000 dilution

Lane 1:

OVCAR-3 cell lysate at 20 µg

Lane 2:

HeLa cell lysate at 20 µg

Lane 3:

A549 cell lysate at 20 µg

Lane 4:

PC-3 cell lysate at 20 µg

Predicted band size: 69 kDa

Observed band size: 45 kDa

false

Western blot - Anti-Mesothelin antibody [EPR2685(2)] (AB134109)
  • WB

Unknown

Western blot - Anti-Mesothelin antibody [EPR2685(2)] (AB134109)

All lanes:

Western blot - Anti-Mesothelin antibody [EPR2685(2)] (ab134109) at 1/1000 dilution

Lane 1:

HeLa cell lysate at 10 µg

Lane 2:

Human fetal lung lysate at 10 µg

Secondary

All lanes:

Goat anti-rabbit HRP conjugated antibody at 1/2000 dilution

Predicted band size: 17 kDa,19 kDa,36 kDa,69 kDa

false

OI-RD Scanning - Anti-Mesothelin antibody [EPR2685(2)] (AB134109)
  • OI-RD Scanning

Unknown

OI-RD Scanning - Anti-Mesothelin antibody [EPR2685(2)] (AB134109)

We have systematically measured KD (the equilibrium dissociation constant between the antibody and its antigen), of more than 840 recombinant antibodies to assess not only their individual KD values but also to see the average affinity of antibody. Based on the comparison with published literature values for mouse monoclonal antibodies, Recombinant antibodies appear to be on average 1-2 order of magnitude higher affinity.

  • Carrier free

    Anti-Mesothelin antibody [EPR2685(2)] - BSA and Azide free

Key facts

Host species

Rabbit

Clonality

Monoclonal

Clone number

EPR2685(2)

Isotype

IgG

Carrier free

No

Reacts with

Human

Applications

IP, IHC-P, WB

applications

Immunogen

The exact immunogen used to generate this antibody is proprietary information.

Reactivity data

{ "title": "Reactivity Data", "filters": { "stats": ["", "Species", "Dilution Info", "Notes"], "tabs": { "all-applications": {"fullname" : "All Applications", "shortname": "All Applications"}, "IHCP" : {"fullname" : "Immunohistochemistry (Formalin/PFA-fixed paraffin-embedded sections)", "shortname":"IHC-P"}, "IP" : {"fullname" : "Immunoprecipitation", "shortname":"IP"}, "WB" : {"fullname" : "Western blot", "shortname":"WB"}, "ICCIF" : {"fullname" : "Immunocytochemistry/ Immunofluorescence", "shortname":"ICC/IF"} }, "product-promise": { "all": "all", "testedAndGuaranteed": "tested", "guaranteed": "expected", "predicted": "predicted", "notRecommended": "not-recommended" } }, "values": { "Human": { "IHCP-species-checked": "testedAndGuaranteed", "IHCP-species-dilution-info": "1/500 - 1/2000", "IHCP-species-notes": "<p></p> Perform heat-mediated antigen retrieval before commencing with IHC staining protocol.", "IP-species-checked": "testedAndGuaranteed", "IP-species-dilution-info": "1/10 - 1/100", "IP-species-notes": "<p></p>", "WB-species-checked": "testedAndGuaranteed", "WB-species-dilution-info": "1/1000 - 1/10000", "WB-species-notes": "<p></p>", "ICCIF-species-checked": "notRecommended", "ICCIF-species-dilution-info": "1/100 - 1/250", "ICCIF-species-notes": "<p></p>" } } }

Product details

Species reactivity
Mouse, Rat: We have preliminary internal testing data to indicate this antibody may not react with these species.
Please contact us for more information.

Patented technology
Our RabMAb® technology is a patented hybridoma-based technology for making rabbit monoclonal antibodies. For details on our patents, please refer to RabMAb® patents.

What are the advantages of a recombinant monoclonal antibody?
This product is a recombinant monoclonal antibody, which offers several advantages including:

  • - High batch-to-batch consistency and reproducibility
  • - Improved sensitivity and specificity
  • - Long-term security of supply
  • - Animal-free batch production

For more information, read more on recombinant antibodies.

Properties and storage information

Form
Liquid
Purification technique
Affinity purification Protein A
Storage buffer
pH: 7.2 - 7.4 Preservative: 0.01% Sodium azide Constituents: PBS, 40% Glycerol (glycerin, glycerine), 0.05% BSA
Shipped at conditions
Blue Ice
Appropriate short-term storage duration
1-2 weeks
Appropriate short-term storage conditions
+4°C
Appropriate long-term storage conditions
-20°C
Aliquoting information
Upon delivery aliquot
Storage information
Stable for 12 months at -20°C

Product protocols

For this product, it's our understanding that no specific protocols are required. You can visit:

Target data

Membrane-anchored forms may play a role in cellular adhesion.. Megakaryocyte-potentiating factor (MPF) potentiates megakaryocyte colony formation in vitro.
See full target information MSLN

Publications (2)

Recent publications for all applications. Explore the full list and refine your search

Clinical cancer research : an official journal of 25:5787-5798 PubMed31263030

2019

Clinical Response of Live-Attenuated, Expressing Mesothelin (CRS-207) with Chemotherapy in Patients with Malignant Pleural Mesothelioma.

Applications

Unspecified application

Species

Unspecified reactive species

Raffit Hassan,Evan Alley,Hedy Kindler,Scott Antonia,Thierry Jahan,Somayeh Honarmand,Nitya Nair,Chan C Whiting,Amanda Enstrom,Ed Lemmens,Takahiro Tsujikawa,Sushil Kumar,Gina Choe,Anish Thomas,Katherine McDougall,Aimee L Murphy,Elizabeth Jaffee,Lisa M Coussens,Dirk G Brockstedt

Oncogene 36:6863-6872 PubMed28869605

2017

Suppression of Sirt1 sensitizes lung cancer cells to WEE1 inhibitor MK-1775-induced DNA damage and apoptosis.

Applications

Unspecified application

Species

Unspecified reactive species

G Chen,B Zhang,H Xu,Y Sun,Y Shi,Y Luo,H Jia,F Wang
View all publications

Product promise

We are committed to supporting your work with high-quality reagents, and we're here for you every step of the way. In the unlikely event that one of our products does not perform as expected, you're protected by our Product Promise.
For full details, please see our Terms & Conditions

Please note: All products are 'FOR RESEARCH USE ONLY. NOT FOR USE IN DIAGNOSTIC OR THERAPEUTIC PROCEDURES'.

For licensing inquiries, please contact partnerships@abcam.com